1/106
Looks like no tags are added yet.
Name | Mastery | Learn | Test | Matching | Spaced | Call with Kai |
|---|
No study sessions yet.
patellar surface
what is #1?

posterior cruciate ligament
what is #2?

medial meniscus
what is #3?

tibal collateral ligament
what is #4?

anterior cruciate ligament
what is #5?

lateral meniscus
what is #6?

fibular collateral ligament
what is #7?

a
what letter is the anterior cruciate ligament?

b
what letter is the lateral meniscus?

c
what letter is the fibular collateral ligament?

d
what letter is the posterior cruicate ligament?

e
what letter is the medial meniscus?

f
what letter is the tibial collateral ligament?

ACL
what is labeled as the star?

PCL
what is labeled as the check mark?

hinge or ginglymus
what is the movement of the knee joint?
synovial or diarthrosis or diarthrodial
what type of joint is the knee & femur/hip joint classified as?
joint in which two bones are spearated by a joint cavity
what is the definition of a synovial/diarthrosis/diarthrodial joint?
medial epicondyle
what is #1?

medial condyle
what is #2?

tibial plateau
what is #3?

tibial tuberosity
what is #4?

patella
what is #5?

lateral epicondyle
what is #6?

lateral condyle
what is #7?

intercondylar eminence
what is #8?

fibula
what is #9?

trochlear groove
what is labeled as the star?

intercondyle fossa
what is labeled as the check mark?

½ inch or 1 finger from the apex to knee joint
how to locate the knee joint?
10-20 degree angle
what is the angle of the plateaus of the top of the tibia?
5-7 degree caudad
For an AP knee with a patient at 18 cm, what angle do we position the tube?
perpendicular
For an AP knee with a patient at 19-24 cm, what angle do we position the tube?
5 degree cephalad
For an AP knee with a patient at 25 cm or above, what angle do we position the tube?
seasmoid
what type of bone is the patella?
anterior
what side of the patella is rough?
posterior
what side of the patella is smooth?
base
what is the top of the patella called?
apex
what is the bottom of the patella called?
ball & socket or spheroidal
what is the movement of the femur/hip joint?
15-20 degrees
what is the average angle of the femoral neck?
head of femur
what is #1?

greater trochanter
what is #2?

body/shaft
what is #3?

lateral epicondyle
what is #4?

lateral condyle
what is #5?

patellar surface
what is #6?

medial condyle
what is #7?

medial epicondyle
what is #8?

lesser trochanter
what is #9?

neck of femur
what is #10?

intertrochanteric line
what is a?

pubic sympysis
what is b?

pubic tubercle
what is c?

ischial tuberosity
what is d?

obturator foramen
what is e?

acetabular rim
what is f?

anterior superior iliac spine (ASIS)
what is g?

liac crest
what is h?

liac fossa
what is i?

sacrum
what is j?

ischial spine
what is k?

AP, medial & lateral oblique, lateral
what are the imaging protocol for an adult trauma knee?
AP & lateral
what are the imaging protocols for an 8 yearold or younger peds for a trauma knee?
AP, medial & lateral oblique, lateral
what are the imaging protocols for a 9 years old or older for a trauma knee?
AP, sunrise, lateral
what are the imaging protocols for 39 years old non-trauma knee?
AP, sunrise, lateral, PA erect
what are the imaging protocols for 40 year old or older non-trauma knee?
AP, lateral
what is the imaging protocols for a 8 year old or younger non-trauma knee?
AP, sunrise, lateral
what is the imaging protocols for 9 year old or older non-trauma knee?
laterally rotated
If the head of the fibula is too superimposed under the tibia for an AP, what direction is it rotated?
medial rotation
If the head of the fibula has space between the tibia & fibilar head for an AP, what direction is it rotated?
separation between the head of fibula & tibia
what is the main critique for a medial oblique?
superimposed fibular head under tibia
what is the main critique for a lateral oblique?
under rotated
increase medially
what is the critique of this medial oblique?

good image
what is the critique of this medial oblique?

over rotated
decrease medially
what is the critique of this medial oblique?

under rotated
increase laterally
what is the critique of this lateral oblique?

good image
what is the critique of this lateral oblique?

20 to 30 degrees
at what anlge should the patient’s knee be flex ed to get a good lateral of a knee?
over rotated
if the medial condyle is closer to the patella in a lateral knee, what is the image critique?
under rotated
if the lateral condyle is closer to the patella in a lateral knee, what is the image critique?
over rotated
what is the image critique for this lateral knee?

under rotated
what is the image critique for this lateral knee?

osgood schlatter
incomplete separation or avulsion of the tibial tuberosity
repeated stress to tibial tuberosity growth palte
stress leads to the tendon pulling away
what is the cause of a osgood schlatter?
pt w/ osgood schlatter
what is this image?

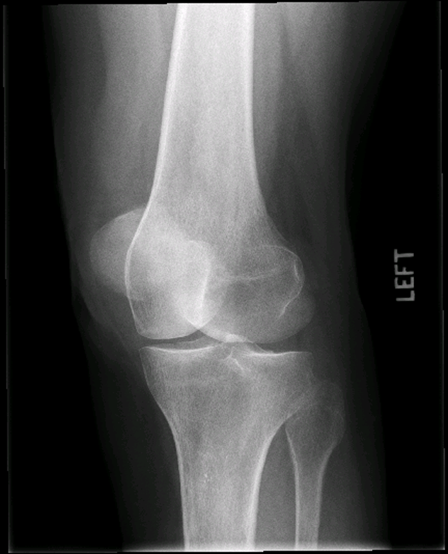
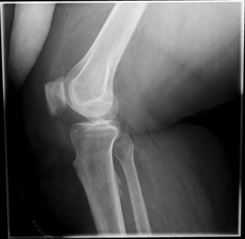
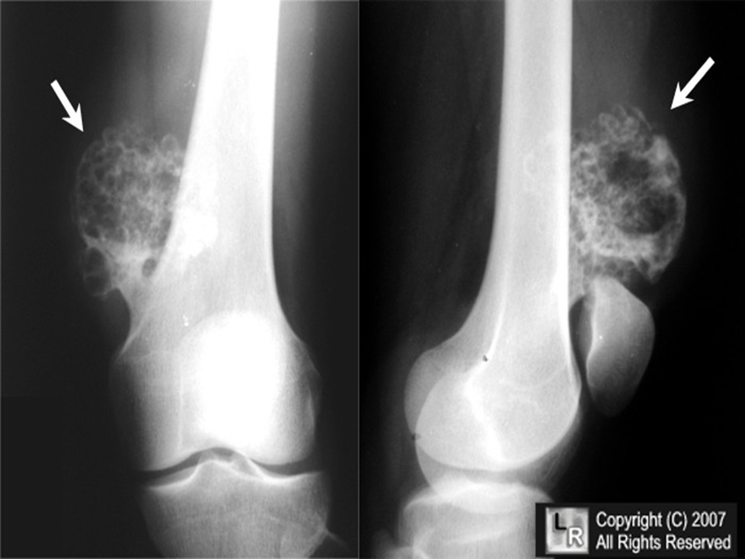
osteochondroma (exostosis)
benign projection of bone w/ a cartilaginous cap
idiopathic, hereditary
what is the cause of osteochondroma?
pt w/ osteochondroma
what is this image?

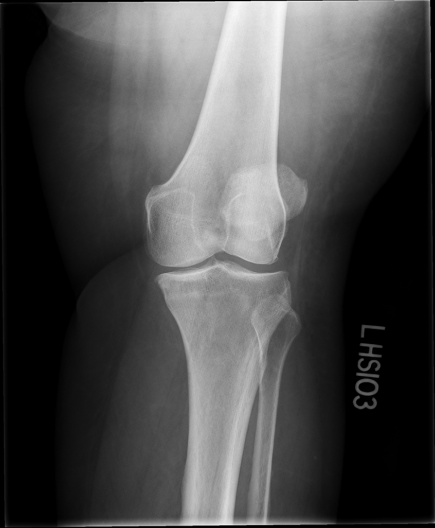
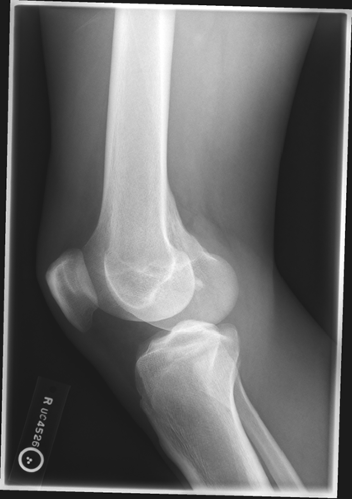
osteoarthritis (degenerative joint disease)
generalized disorder pathologically characterized by loss of joint cartilage & reactive new bone formation
traumatic, stress to joint
what is the casue of osteoarthritis?
advance stage → subtractive disease
what is the technique for a osteoarthritis?
pt w/ osteoarthritis
what is this image?

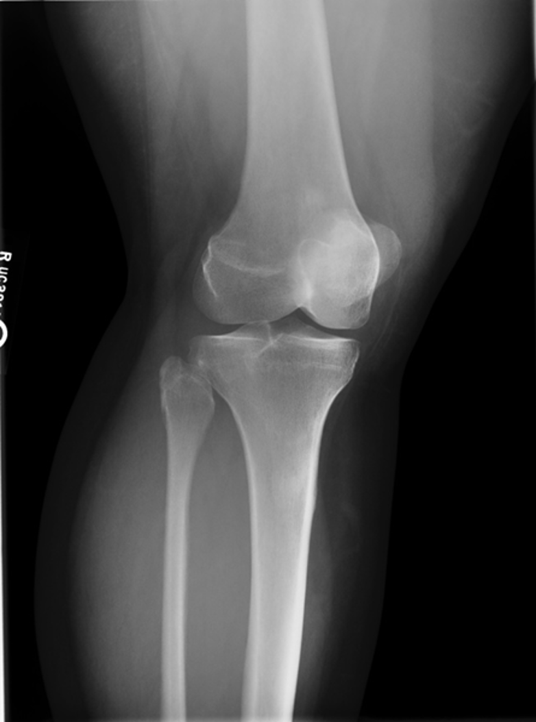
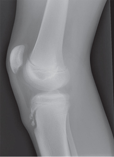
stellate fx
fracture lines radiate from a central point of injury w/ a star like pattern
trauma→ falling onto knees, knee hitting dash
what causes a stellate fx?
pt w/ stellate fx
what is this image?

femoral condyles & intercondylar sulcus
open patellofemoral articulation
what is the main critiques for a non-trauma patella erect settegast method?
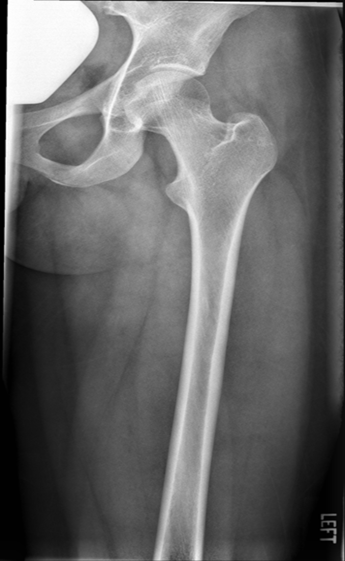
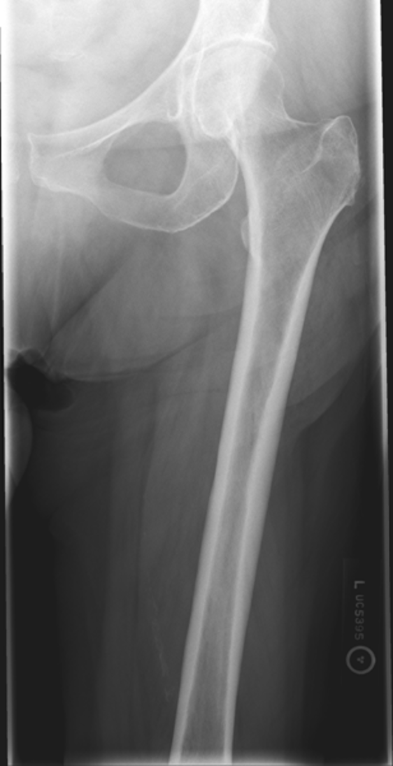
lesser trochanter not seen beyond the medial border of the femur
only very small portion
what is the main critique for an AP femur?
under rotated
what is the image critique of this AP femur?

good image
what is the image critique of this AP femur?
