week 14 physics- ch. 15 CT of head, cerebral vessels, neck and spine

0.0(0)
studied byStudied by 0 people
full-widthCall with Kai
GameKnowt Play
learnLearn
examPractice Test
spaced repetitionSpaced Repetition
heart puzzleMatch
flashcardsFlashcards
Card Sorting

1/54

encourage image

There's no tags or description

Looks like no tags are added yet.

Study Analytics
Name
Mastery
Learn
Test
Matching
Spaced

No study sessions yet.

55 Terms

1
New cards

neuroradiology

The subspecialty of radiology that deals with the central nervous system (CNS) and conditions affecting the head and neck is:

2
New cards

cerebral infarction

What pathologic condition describes the result of a loss of adequate blood supply to a portion of the brain?

3
New cards

chronic subdural hematoma

Which of the following is the most common condition evaluated by repeated computed tomographic head scanning?

4
New cards

metastasis

Computed tomography (CT) provides rapid information about each of the following traumatic injuries except:

Select one:

a. contusions.

b. fractures.

c. hematomas.

d. metastasis.

5
New cards

coronal

Orbital computed tomographic images should always be available in which plane because of the pyramidal shape of the bony orbit?

6
New cards

acute cerebral infarction

An important use of computed tomographic angiography of the head is in the evaluation of:

7
New cards

polyps

Indications for a computed tomographic scan of the neck include all of the following except:

Select one:

a. carotid stenosis.

b. goiter.

c. mass.

d. polyps.

8
New cards

strokes

Indications for a computed tomographic scan of the spine include all of the following except:

Select one:

a. disk herniations.

b. osteomyelitis.

c. strokes.

d. spondylolisthesis.

9
New cards

computed tomographic scan of the head without contrast.

To ensure that no life-threatening condition exists, the first examination performed should be:

10
New cards

axial

Image acquisition is primarily obtained in the ___________ plane.

11
New cards

coronal

Which images are particularly useful for assessing bone when the plane of the bone runs parallel to the axial slice?

12
New cards

ventricles

Coronal images are valuable for scans of the following except:

Select one:

a. top of the cranial vault.

b. roof of the orbit.

c. skull base.

d. ventricles.

13
New cards

patient should not eat 6 hours prior to the exam.

Preparation of the patient for a computed tomographic scan of the head or spine should include all of the following except:

Select one:

a. metallic objects should be removed.

b. explanation of contrast media (if indicated).

c. patient should not eat 6 hours prior to the exam.

d. patient should be made comfortable.

14
New cards

OML

In adults, what is the preferred scanning line when imaging the head?

15
New cards

transverse

The __________ plane is still the most used plane for image interpretation of the skull and its contents.

16
New cards

computed tomographic perfusion

Which of the following is a form of computed tomographic angiography used in suspected acute brain infarction to determine the amount of brain tissue at risk for permanent damage?

17
New cards

thin

Studies requiring reformatted images are acquired with ________ slices.

18
New cards

512'512

The matrix size on most of the current equipment is:

19
New cards

lung

All of the following are algorithms used for the brain, neck, and spine except:

Select one:

a. bone.

b. detail.

c. lung.

d. standard.

20
New cards

6-8

Because enhancement persists for hours, at least ___________ hours should elapse after a contrasted examination before an unenhanced scan is obtained.

21
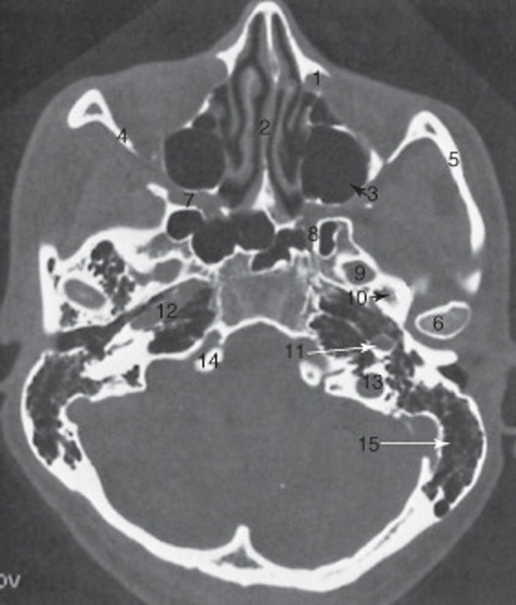
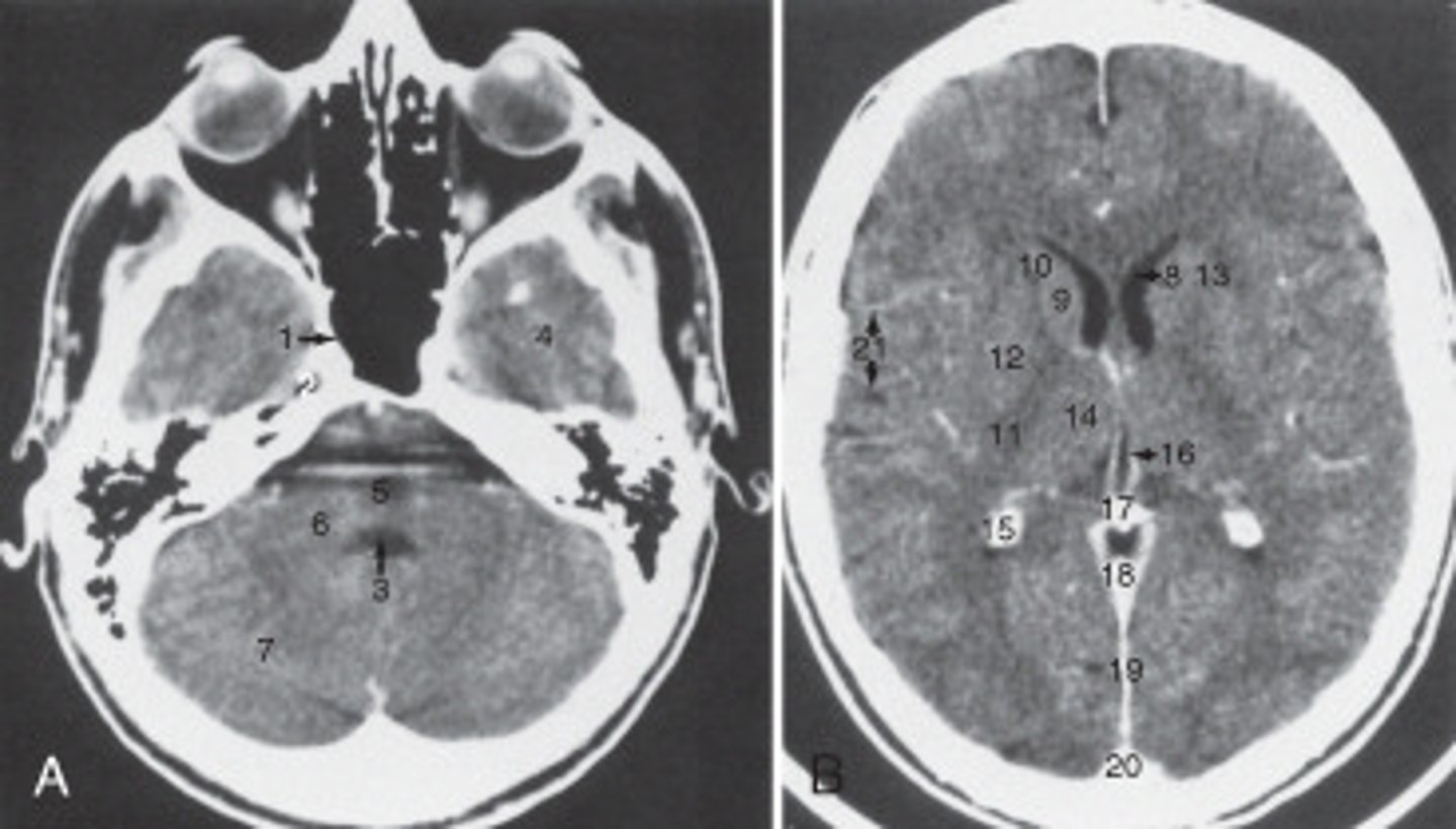
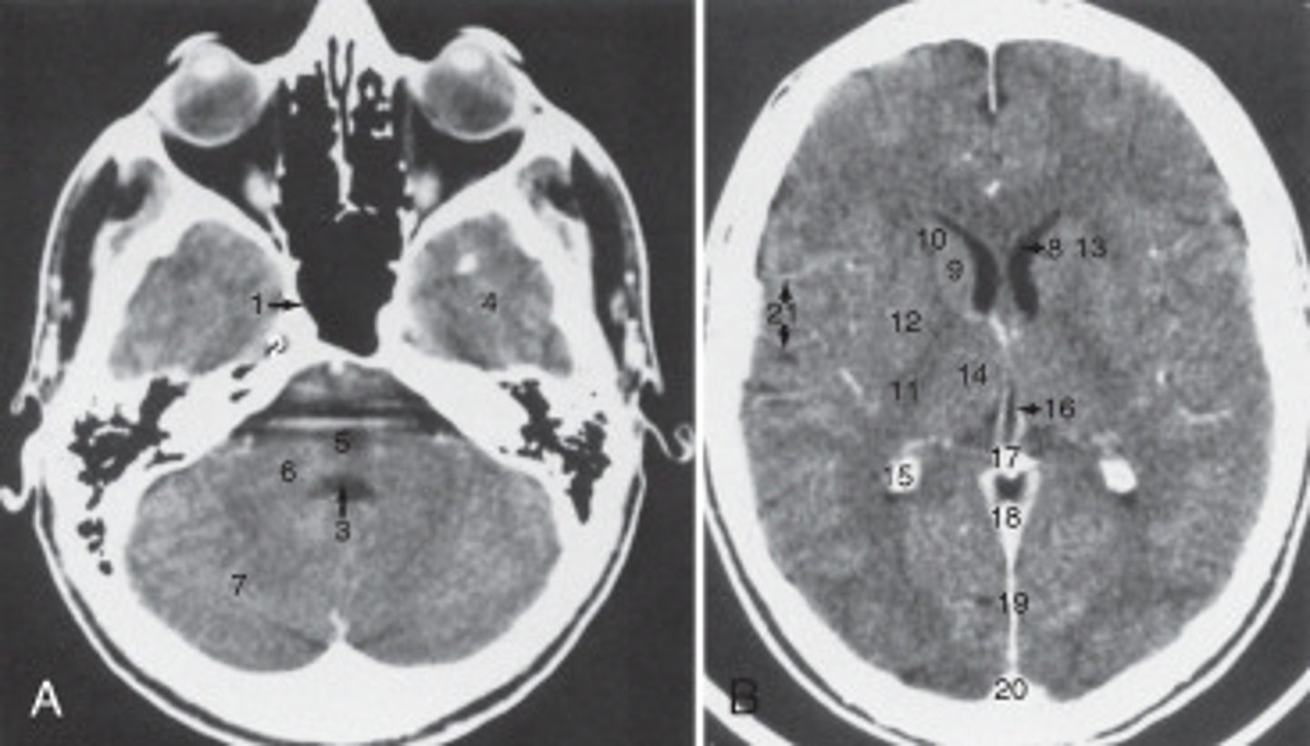
New cards

2

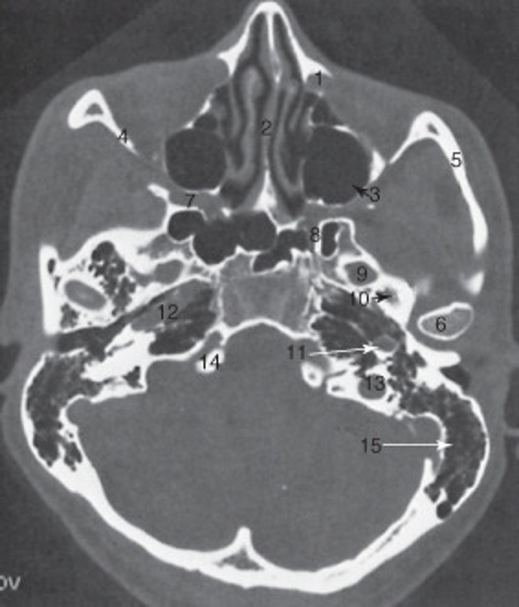
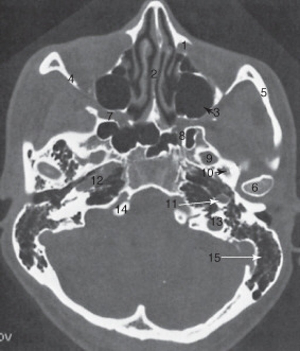
the nasal septum is labeled:

<p>the nasal septum is labeled:</p>
22
New cards

15

the mastoid air cells are labeled:

<p>the mastoid air cells are labeled:</p>
23
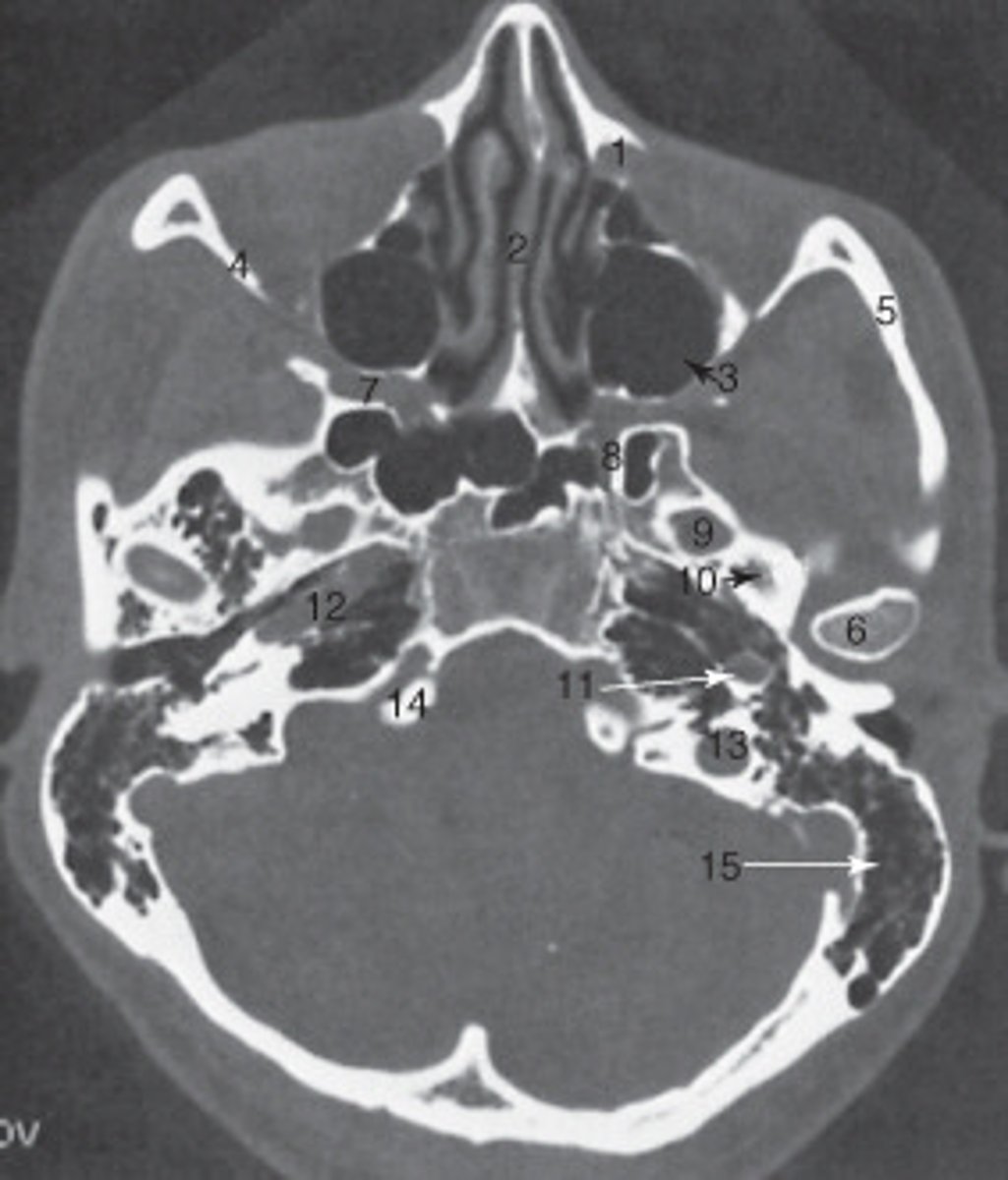
New cards

manidubular condyle

the structure labeled 6 is the:

<p>the structure labeled 6 is the:</p>
24
New cards

zygomatic arch

the structure labeled 5 is the:

<p>the structure labeled 5 is the:</p>
25
New cards

2

the ethmoid sinuses are labeled:

<p>the ethmoid sinuses are labeled:</p>
26
New cards

9

the zygoma is labeled:

<p>the zygoma is labeled:</p>
27
New cards

8

the lateral orbital wall is labeled:

<p>the lateral orbital wall is labeled:</p>
28
New cards

maxillary sinus

the structure labeled 3 is the:

<p>the structure labeled 3 is the:</p>
29
New cards

roof of the orbit

the structure labeled 7 is the:

<p>the structure labeled 7 is the:</p>
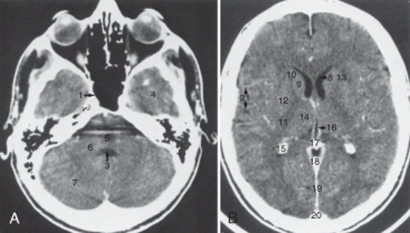
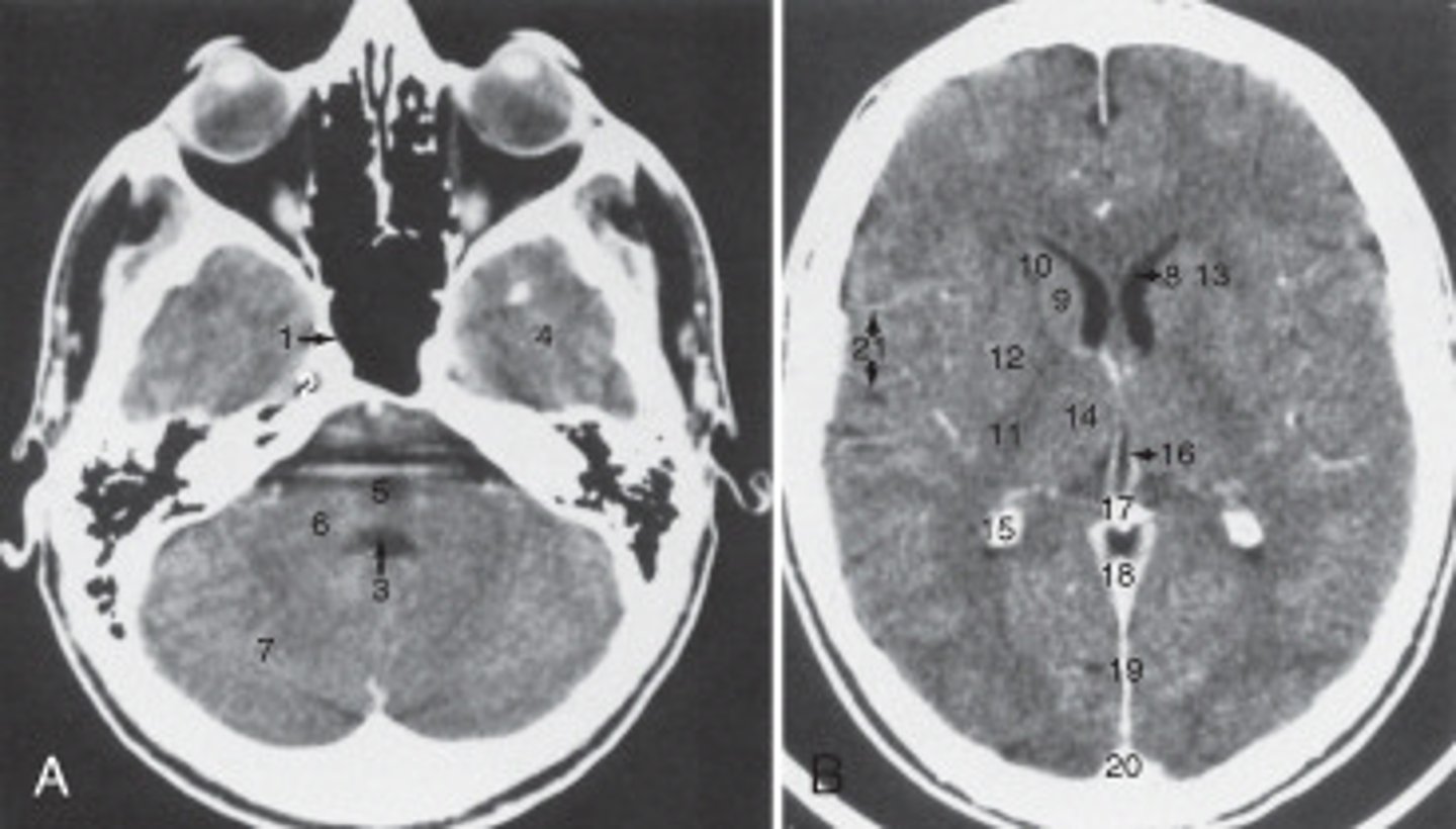
30
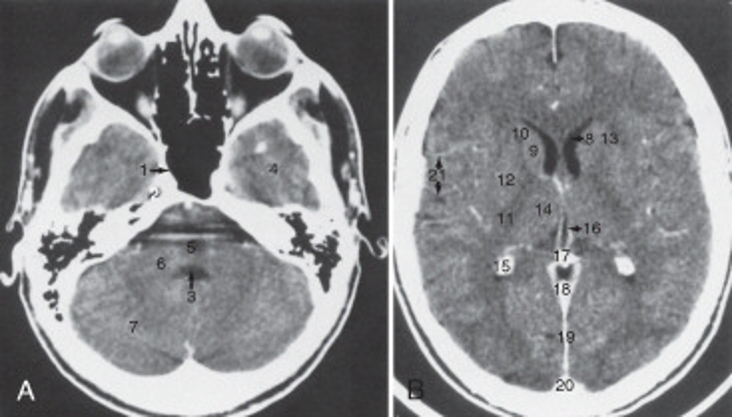
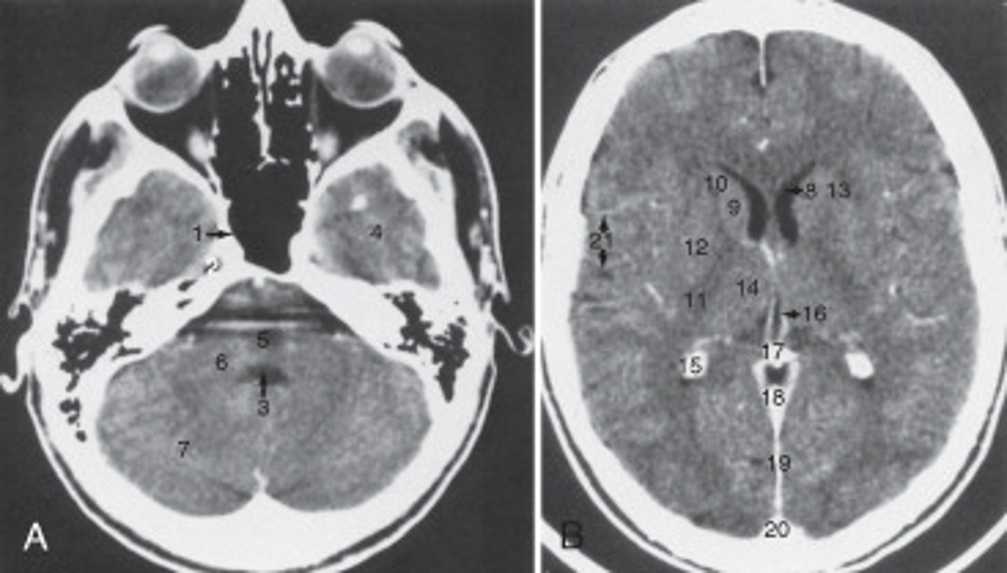
New cards

8

The anterior (frontal) horn of the lateral ventricle is labeled as:

<p>The anterior (frontal) horn of the lateral ventricle is labeled as:</p>
31
New cards

1

The sphenoid sinus is labeled:

<p>The sphenoid sinus is labeled:</p>
32
New cards

14

The thalamus is labeled:

<p>The thalamus is labeled:</p>
33
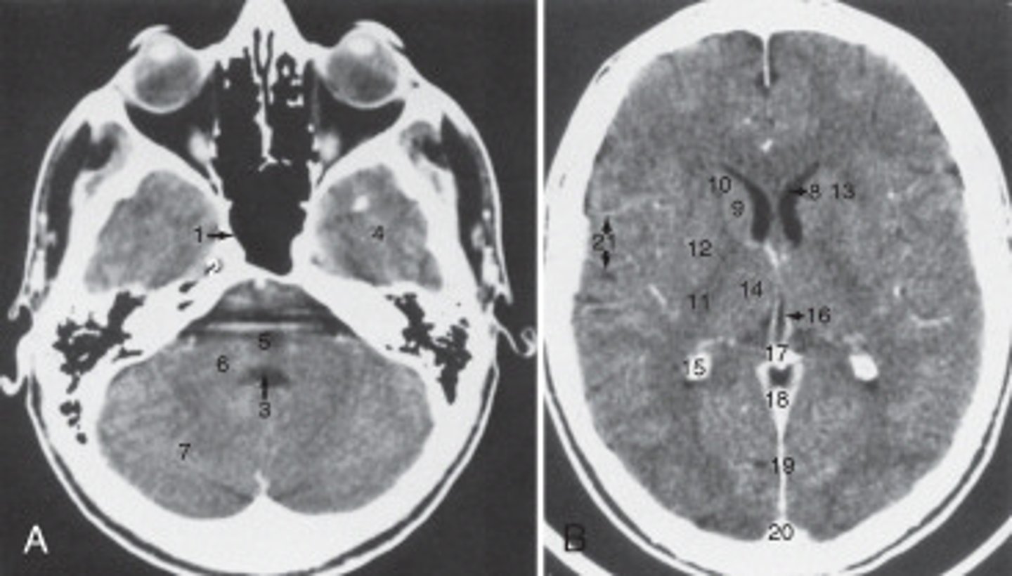
New cards

19

the fall cerebri is labeled:

<p>the fall cerebri is labeled:</p>
34
New cards

calcified choroid plexus

The structure labeled 15 is the:

<p>The structure labeled 15 is the:</p>
35
New cards

fourth ventricle

The structure labeled 3 is the:

<p>The structure labeled 3 is the:</p>
36
New cards

cerebellar hemisphere

The structure labeled as 7 is the:

<p>The structure labeled as 7 is the:</p>
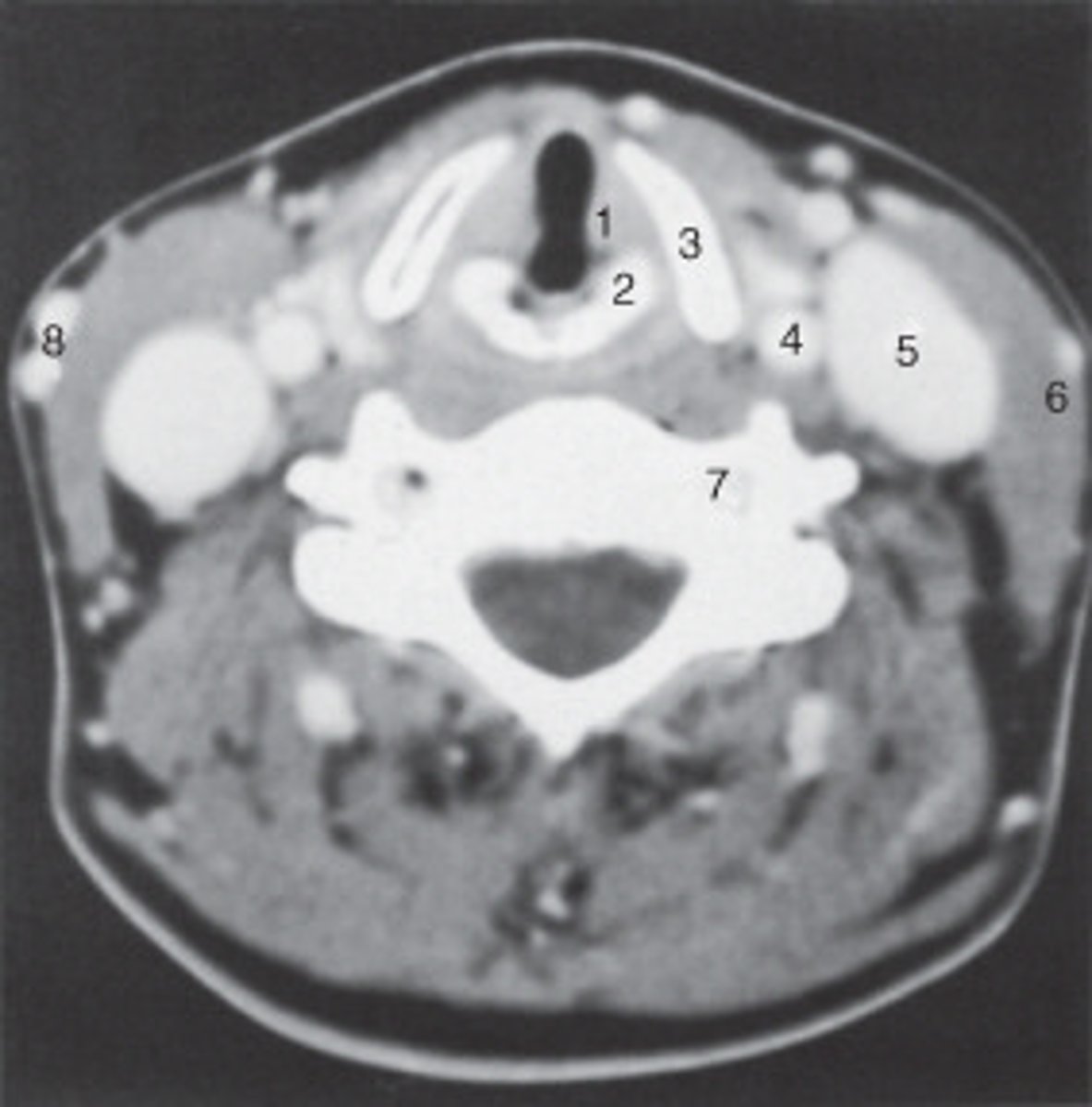
37
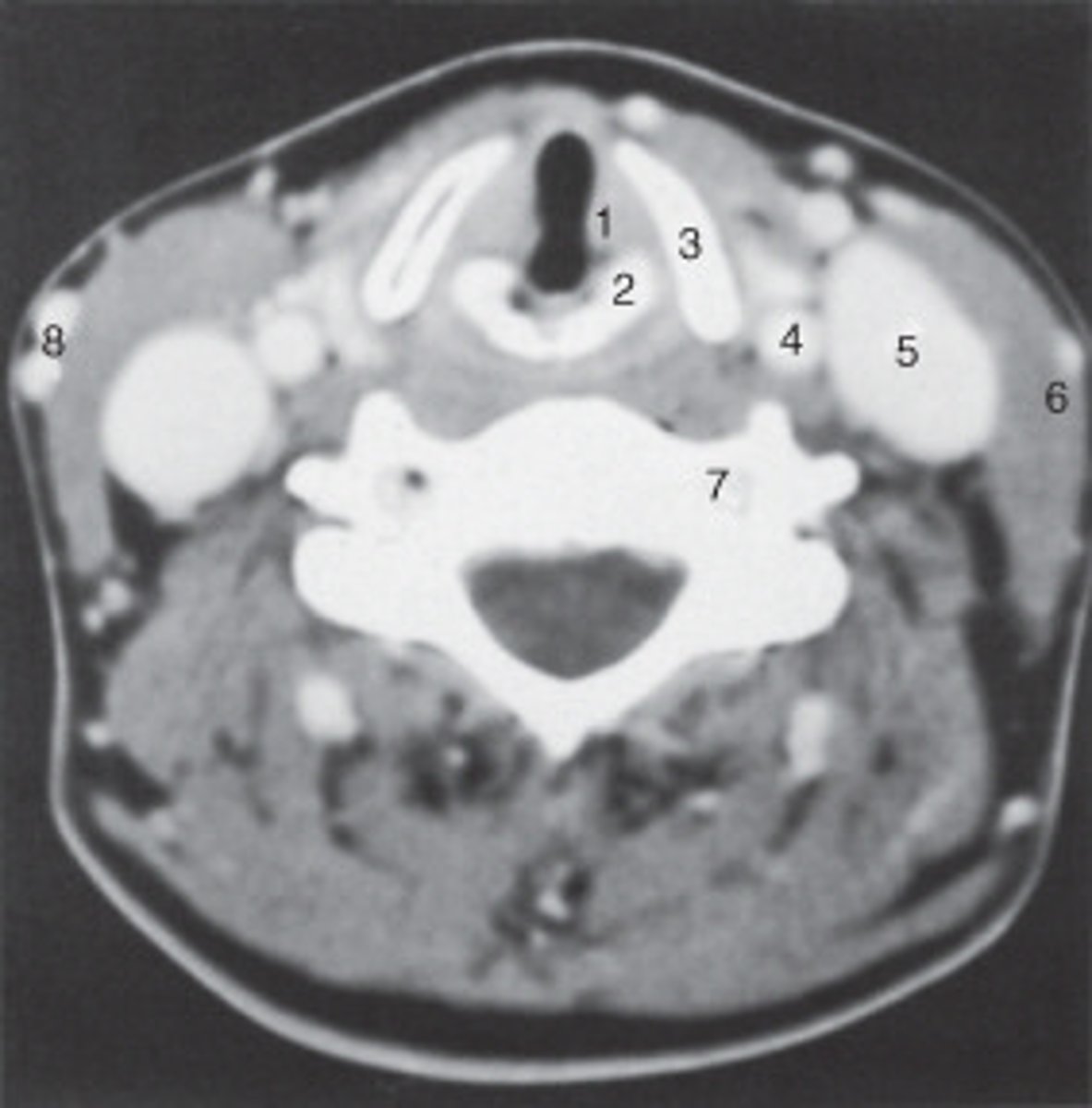
New cards

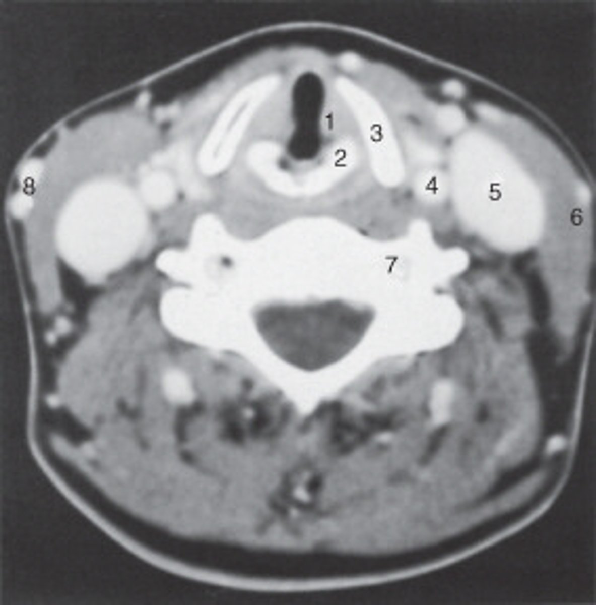
7

The internal jugular vein is labeled:

<p>The internal jugular vein is labeled:</p>
38
New cards

10

the parotid gland is labeled:

<p>the parotid gland is labeled:</p>
39
New cards

internal carotid artery

the structure labeled as 8 is the:

<p>the structure labeled as 8 is the:</p>
40
New cards

spinal cord

The structure labeled as 1 is the:

<p>The structure labeled as 1 is the:</p>
41
New cards

3

The thyroid cartilage is labeled:

<p>The thyroid cartilage is labeled:</p>
42
New cards

4

The common carotid artery is labeled:

<p>The common carotid artery is labeled:</p>
43
New cards

internal jugular vein

The structure labeled as 5 is the:

<p>The structure labeled as 5 is the:</p>
44
New cards

6

the intervertebral disk is labeled:

<p>the intervertebral disk is labeled:</p>
45
New cards

esophagus

The structure labeled as 4 is the:

<p>The structure labeled as 4 is the:</p>
46
New cards

false

true/false: Sinus disease is not well demonstrated by CT.

47
New cards

true

true/false: CT has largely replaced plain films of the cervical spine in cases of trauma.

48
New cards

true

true/false: As with plain radiographs, transverse images and coronal reformatted images are viewed as if facing the individual.

49
New cards

false

true/false: Sagittal images of the temporal bone can highlight the relationships of the ossicles and the structures along the medial wall of the middle ear.

50
New cards

true

true/false: Sagittal sections are helpful in evaluating midline structures.

51
New cards

true

true/false: In children, a steeply angled plane is used to scan the brain to avoid radiating the ocular lens.

52
New cards

false

true/false: Contrast enhancement is well visualized on bone algorithm or bone windows.

53
New cards

true

true/false: A standard dose of contrast is administered for each type of examination on the basis of the patient's weight, up to a maximum.

54
New cards

true

true/false:A CT venogram (CTV) visualizes the jugular veins and dural sinuses for sites of possible thrombosis.

55
New cards

false

true/false: Contrast-induced nephropathy indicates a deteriorated liver function as a result of iodine-based contrast.