1/135
Looks like no tags are added yet.
Name | Mastery | Learn | Test | Matching | Spaced | Call with Kai |
|---|
No analytics yet
Send a link to your students to track their progress
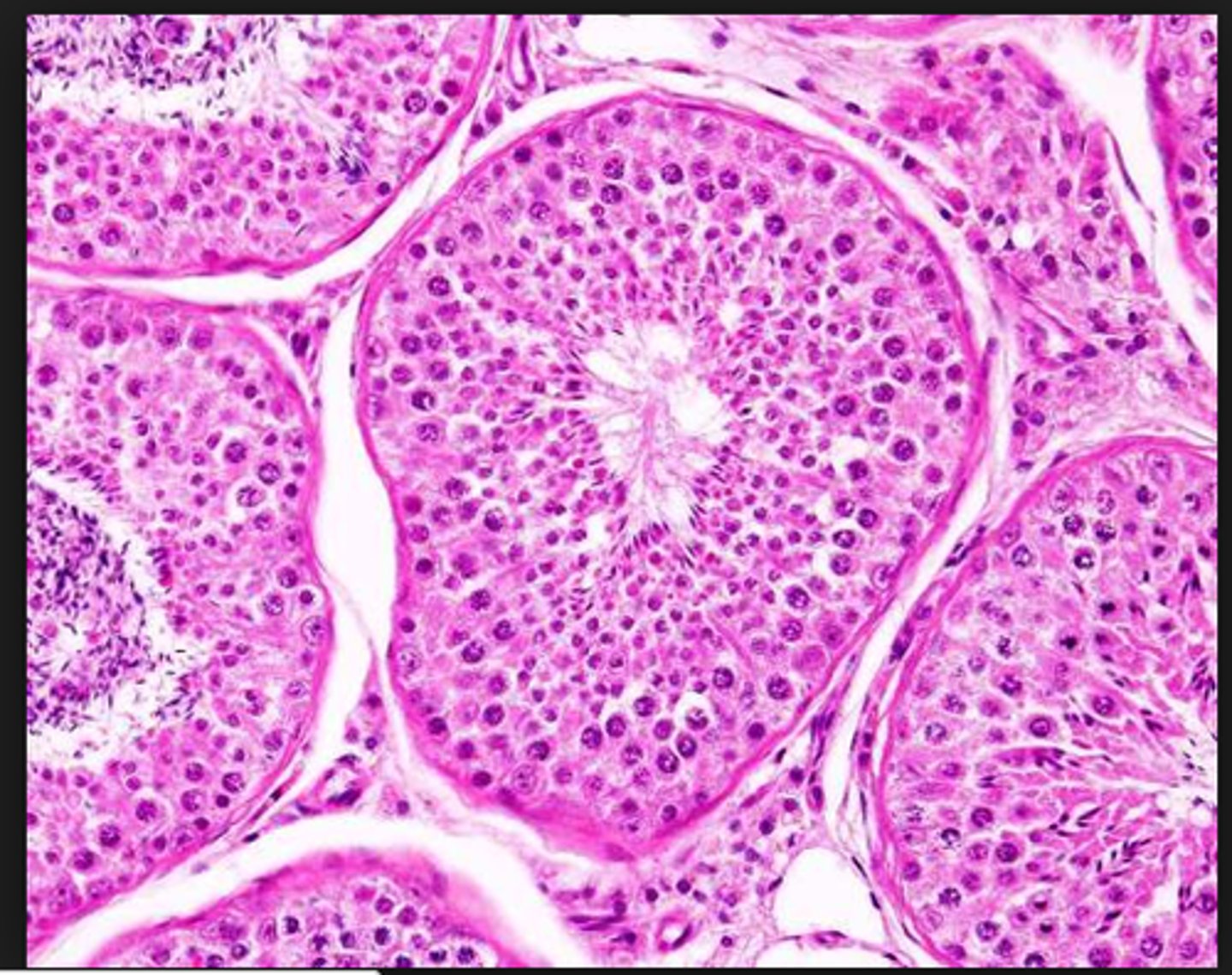
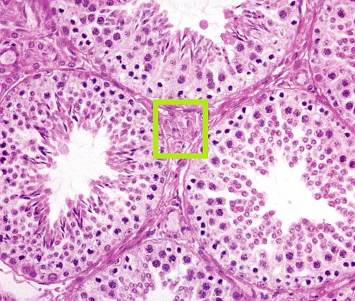
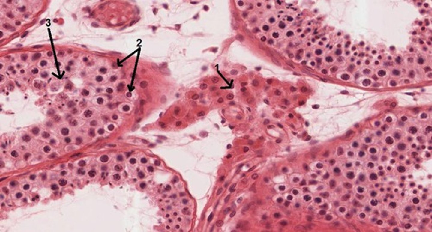
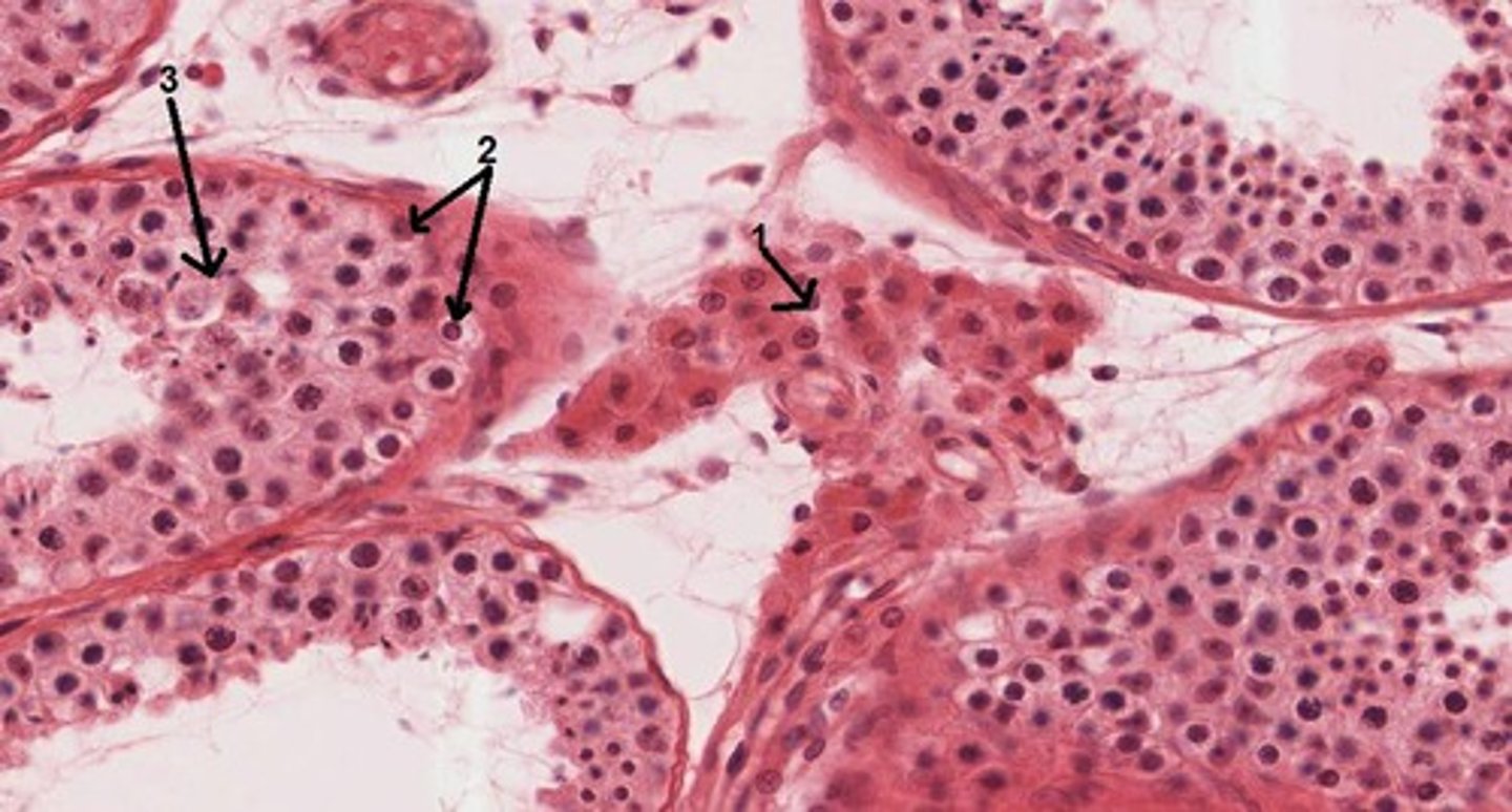
seminiferous tubules (testis)
Which part of the male reproductive system produces sperm cells?

interstitial cells (testis)
Which part of the male reproductive system produces and secretes male sex hormones?

epididymis
Which part of the male reproductive system promotes sperm cell maturation, stores sperm cells, and conveys sperm cells to the ductus deferens?
ductus deferens
Which part of the male reproductive system conveys sperm cells to the ejaculatory duct?

seminal vesicle
Which part of the male reproductive system secretes an alkaline fluid containing nutrients and prostaglandins that helps regulate the pH of semen?

prostate gland
Which part of the male reproductive system secretes a slightly acidic fluid that contains citrate, a nutrient for sperm?

bulbourethral gland
Which part of the male reproductive system secretes fluid that lubricates the end of the penis?

scrotum
Which part of the male reproductive system encloses, protects, and regulates the temperature of the testes?
dartos
The scrotum contains the _____ muscle.

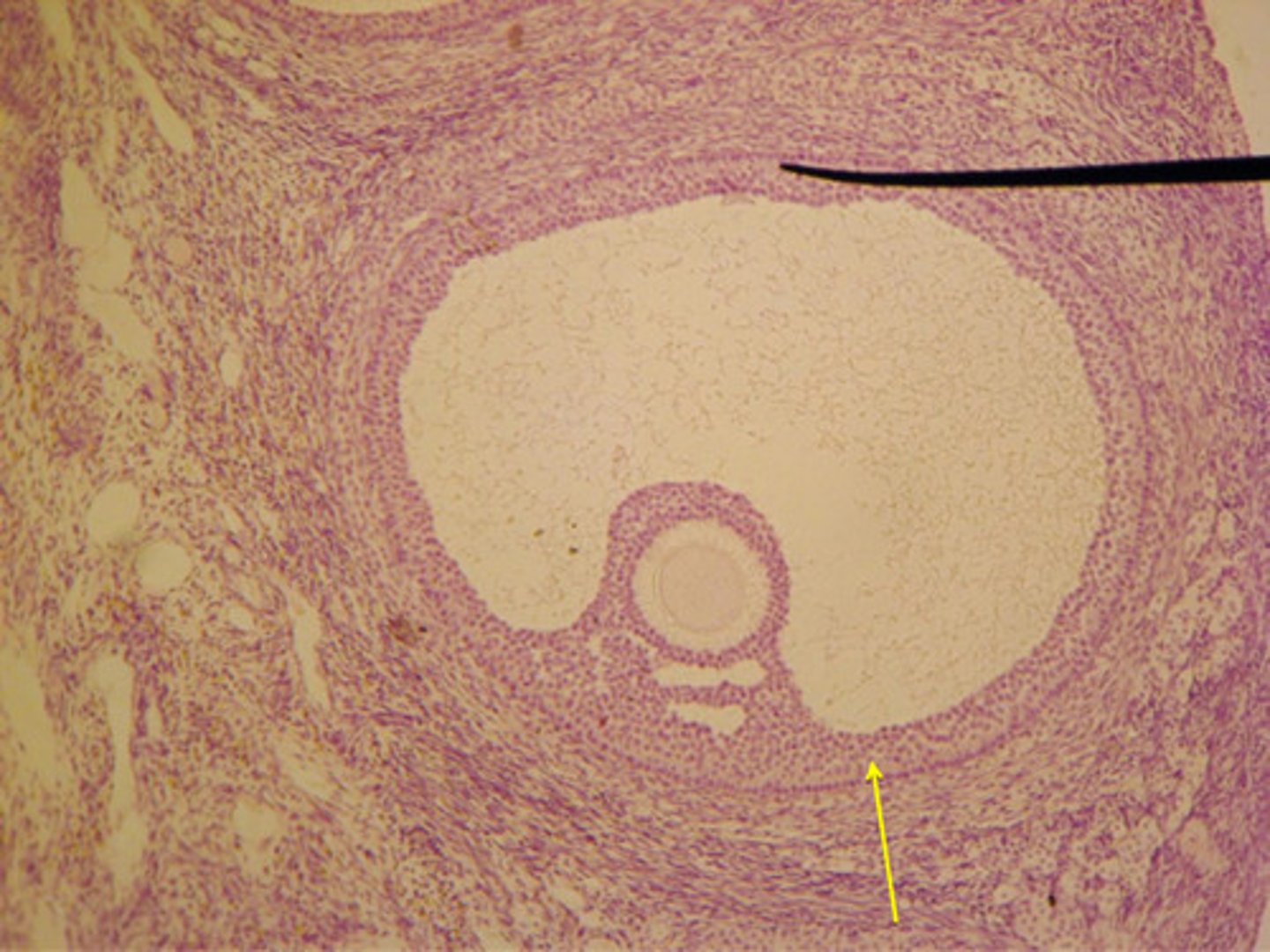
ovary
Which part of the female reproductive system produces oocytes and female sex hormones?

uterine tube (fallopian tube)
Which part of the female reproductive system conveys the secondary oocyte toward the uterus, is the site of fertilization, and conveys the developing embryo to the uterus?
uterus
Which part of the female reproductive system protects and sustains the embryo during pregnancy?
labia majora
Which part of the female reproductive system encloses and protects other external reproductive organs?
labia minora
Which part of the female reproductive system forms the margin of the vestibule and protects the openings of the vagina and urethra?
clitoris
Which part of the female reproductive system produces feelings of pleasure during sexual stimulation due to abundant sensory nerve endings in the glans?
vestibule
Which part of the female reproductive system is the space between the labia minora that contains vaginal and urethral openings?
vestibular gland
Which part of the female reproductive system secretes fluid that moistens and lubricates the vestibule?
mitosis
What process produces two genetically identical diploid cells?
meiosis
What process produces sperm and oocytes?
meiosis
What process produces four genetically unique daughter cells?
meiosis
Which process offers tremendous variety of genetically unique individuals?
zygote
What do you call a large, fertilized egg cell?

spermatogenesis
What do you call the combined processes of meiosis and spermiogenesis?
spermiogenesis
What is the process of the further development of spermatids into sperm?
rete testis
Sperm passes from the seminiferous tubules through the _____ in order to arrive at the epididymis.

acrosome, nucleus, DNA
Name the 3 things contained in the head of the sperm.
mitochondria, ATP, flagellum
The midpiece of the sperm contains many _____ which are used to make _____ and provide energy for the _____.
follicular
The corona radiata is a mantle of _____ cells.
corona radiata
Processes from the _____ supply nutrients to the oocyte.
glycoprotein
The zona pellucida is a layer of _____.
zona pellucida
What part of the ovum separates the primary oocyte from the granulosa cells?

sustentacular cells (Sertoli cells)
What do you call the cells of the seminiferous tubules that support and nourish the sperm-producing cells?

sustentacular cells
Which cells protect developing sperm from the immune system?

seminiferous tubule, rete testis, epididymis, ductus deferens, ejaculatory duct, urethra
List the 6-step pathway that sperm travel.
ovary follicle, fimbriae, uterine tube, uterus
List the 4-step pathway that an egg cell travels.
hypothalamus
GnRH is secreted by the _____.
adenohypophysis (anterior pituitary gland)
Where does GnRH find its target cells?
Luteinizing hormone, follicle-stimulating hormone
GnRH triggers the release of which two hormones?
adenohypophysis
LH is secreted from the _____.
interstitial cells (testes)
Which are the target cells of LH?
luteinizing hormone
Which hormone promotes the development of the interstitial cells of the testes?
luteinizing, testosterone
In response to _____ hormone, the interstitial cells of the testes release the hormone _____.
interstitial
Testosterone is released from _____ cells.
adenohypophysis
FSH is secreted by the _____.
spermatogonia
The receptors for FSH are found on _____.

follicle-stimulating hormone
Which hormone stimulates the sustentacular cells of the seminiferous tubules to proliferate, grow, mature, and respond to testosterone?
follicle-stimulating hormone, testosterone
Spermatogenesis is triggered by the presence of which two hormones?
inhibin
Sustentacular cells secrete the hormone _____ to stop sperm production by preventing the oversecretion of FSH.
ovary
In nonpregnant women, what is the primary source of estrogen?
estrogen
Which female hormone stimulates secondary sex characteristics?
progesterone
Which hormone promotes changes in the uterus during the reproductive cycle, affects the mammary glands, and helps regulate the secretion of gonadotropins from the adenohypophsis?
granulosa cells (ovary)
Which cells secrete estrogen?

follicle-stimulating hormone
An immense wave of which hormone will cause the follicle to burst open and release an oocyte?
hCGH
When an egg implants in the uterus, it releases the hormone _____, which tells the corpus luteum not to die until the placenta develops.
progesterone, placenta
The corpus luteum secretes the hormone _____ until the _____ develops and can take over production.
luteinizing, corpus luteum
Under the influence of the _____ hormone, the post-ovulation follicle forms the _____.
nitric oxide
During sexual arousal, the vasodilator _____ is released, dilating the arteries in the erectile tissues.
parasympathetic
Arousal is a result of the _____ nervous system.
sympathetic
Upon orgasm, the _____ nervous system is switched on.
corpora cavernosa
The penis consists of two columns of _____ tissue on the dorsal side.
corpus spongiosum
The inferior side of the penis, as wells as the glans, consists of the tissue _____.
corpora cavernosa
The clitoris is composed of _____ tissue.
corpus spongiosum
The vestibular bulbs are composed of _____ tissue.
emission
The movement of semen and sperm through the reproductive tract is known as _____.
ejaculation
The movement of semen through the urethra to the outside is known as _____.
neurohypophysis, oxytocin
During ejaculation, the _____ releases the hormone _____ to stimulate contractions of the epididymides, seminiferous tubules, and prostate gland to aid in the movement of sperm.
bulbourethral glands, prostate gland, sperm cells, seminal vesicles
List in order the 4 phases of release during ejaculation.
apocrine glands
Which glands are responsible for the body odor that develops during male puberty?
epiphyseal growth plates
During puberty, people grow taller rapidly due to increased activity at the _____.
seminal vesicles, alkaline
The _____ secrete an _____ fluid to help regulate the pH of tubular contents and neutralize the acidic secretions of the vagina.
seminal vesicles, fructose
The _____ secrete _____ to aid sperm in the production of ATP.
seminal vesicles, prostaglandins
The _____ secrete _____ to stimulate muscular contractions of female reproductive organs, aiding movement of sperm towards the egg cell.
acidic
The thin, milkly fluid from the prostate is slightly _____.
citrate
The thin, milkly fluid from the prostate contains _____, a nutrient for sperm.
prostate-specific antigen
The thin, milkly fluid from the prostate contains _____, an enzyme which helps liquefy semen following ejaculation.
bulbourethral
The _____ glands secrete a mucus-like fluid to lubricate the end of the penis in preparation for sex.
23
What is the number of the sex chromosomes?
somatic
Chromosomes 1-22 are _____ chromosomes.
XX
What is the chromosomal arrangement for a female?
XY
What is the chromosomal arrangement for male?
luteinizing
Ovulation is triggered by a spike in levels of _____ hormone in the blood.
LH, FSH, estrogen, progesterone
During ovulation, there is an increase in which 4 hormones?
estrogen, progesterone
Menstruation begins when there is a sharp decline in which 2 hormones?
46
How many chromosomes do oogonia contain?
capacitation
_____ is the activation of sperm.
hyaluronidase
Acrosomes use the enzyme _____ to burn their way into the ovum.
bulbospongiosus
The _____ muscle is a skeletal muscle near the ejaculatory duct that becomes involuntary during orgasm.
testes
the male gonads
gonads
organs that produce gametes; a testis or ovary.
ovaries
the female gonads
sperm
produced by testes
oocytes
produced by ovaries; eggs
hermaphrodites
organisms having both male and female reproductive organs in one body
gametogenesis
the production of functional sex cells
spermatogenesis
sperm production
seminiferous tubules
spermatogenesis occurs in the _____ of the testes
oogenesis
egg production
vas deferens
Long, narrow tube carrying sperm from epididymis to ejaculatory duct
ejaculatory duct
tube through which semen enters the urethra

glans
The tip of the penis