1/16
Looks like no tags are added yet.
Name | Mastery | Learn | Test | Matching | Spaced |
|---|
No study sessions yet.

kmen: PORIFERA (houbovci)
Spongilla lacustris - houba rybniční
třída: Demospongiae, řád: Spongilida
typ leukon
gemule = křemičité jehlice, preparát v lihu


kmen: PORIFERA (houbovci)
gemule činkovité
Ephydatia fluviatilis - houba říční
třída: Demospongiae, řád: Spongilida
gemule = křemičité jehlice, preparát v lihu

kmen: CNIDARIA (žahavci)
gonangium + hydrant
Obelia geniculata - pohárovka asymetrická
třída: Hydrozoa
trvalé a preparáty v lihu

kmen: CNIDARIA (žahavci)
nezmar
třída: Hydrozoa
trvalé a preparáty v lihu

kmen: CNIDARIA (žahavci)
Craspedacusta sowerbyi - medúzka sladkovodní
třída: Hydrozoa

kmen: PLATYHELMINTHES (ploštěnci)
Dugesia polychroa - ploštěnka říční
řád: Tricladida
kokony, preparáty v lihu, živé ploštěnky

kmen: PLATYHELMINTHES (ploštěnci)
Dendrocoelum lacteum - ploštěnka mléčná
řád: Tricladida
kokony, preparáty v lihu, živé ploštěnky

kmen: PLATYHELMINTHES (ploštěnci)
Polyceris nigra - ploštěnka černá
řád: Tricladida
drobná černá očka po obvodu přední 1/3 těla
kokony, preparáty v lihu, živé ploštěnky

kmen: PLATYHELMINTHES (ploštěnci)
řád: Tricladida
rhabdity - řez ploštěnkou
tyčinkovité útvary ve vodě bobtnaní a tvoří sliz okolo živočicha

kmen: PLATYHELMINTHES (ploštěnci)
Dicrocoelium dendriticum - motolice kopinatá
třída: Trematoda
v lihu a trvalé preparáty

kmen: PLATYHELMINTHES (ploštěnci)
Fasciola hepatica - motolice jaterní
třída: Trematoda
v lihu a trvalé preparáty

kmen: NEMATODA (hlístice)
Ascaris lumbicoides - škrkavka dětská
v lihu a trvalé preparáty

kmen: NEMATODA (hlístice)
řez - Ascaris - škrkavka
v lihu a trvalé preparáty

kmen: NEMATODA (hlístice)
Enterobius vermicularis - roup dětský
v lihu a trvalé preparáty

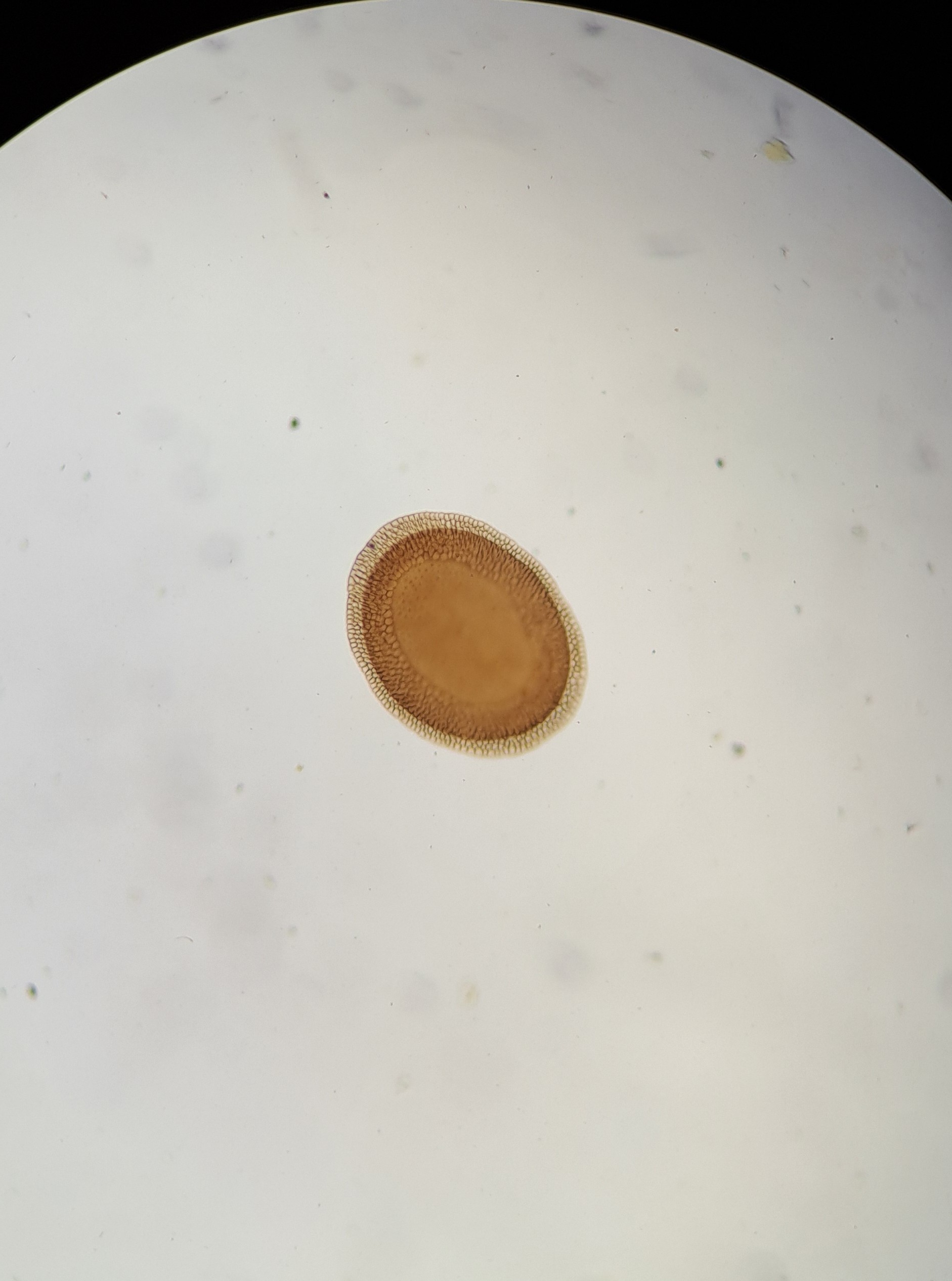
kmen: BRYOZOA/ECTOPROCTA (mechavky)
statoblast
Plumantella fungosa - chvostnatka houbovitá
statoblasty, preparáty v lihu


kmen: BRYOZOA/ECTOPROCTA (mechavky)
statoblasty
Cristatella mucedo - mechovka hadovitá
statoblasty, preparáty v lihu


kmen: BRYOZOA/ECTOPROCTA (mechavky)
Pectinatella magnifica - bochnatka americká
statoblasty, preparáty v lihu