Lungs Pt 2 (E1)

0.0(0)
studied byStudied by 0 people
full-widthCall with Kai
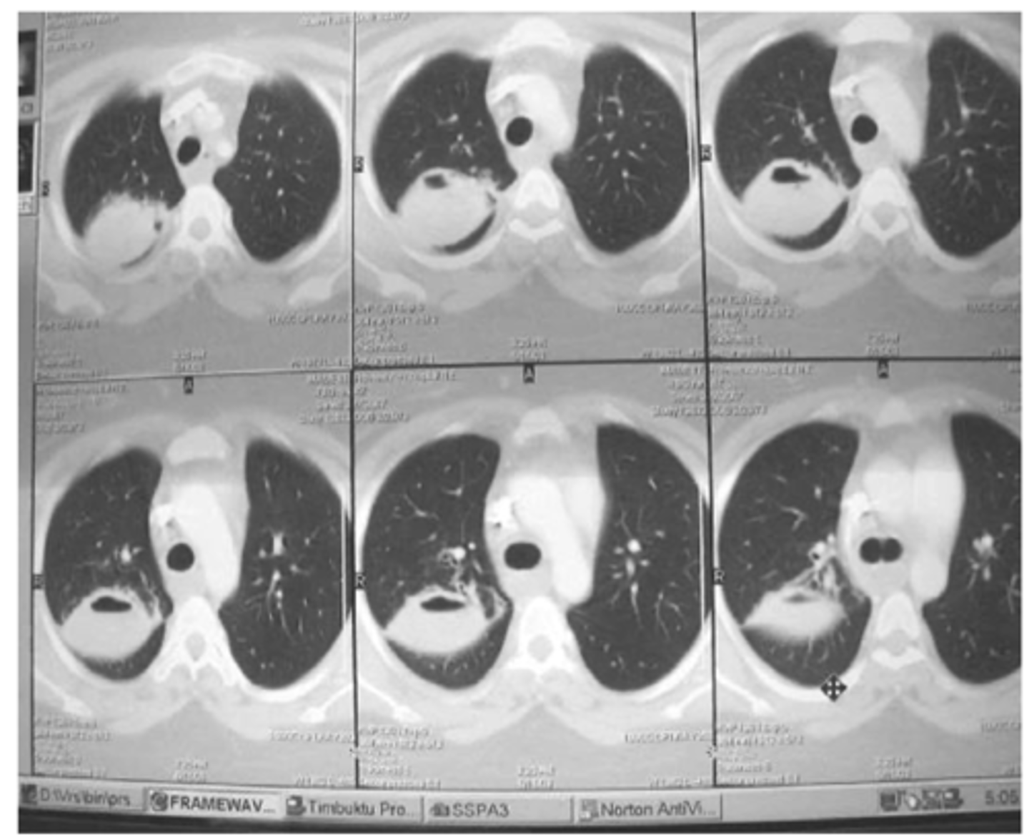
GameKnowt Play
learnLearn
examPractice Test
spaced repetitionSpaced Repetition
heart puzzleMatch
flashcardsFlashcards
Card Sorting

1/57

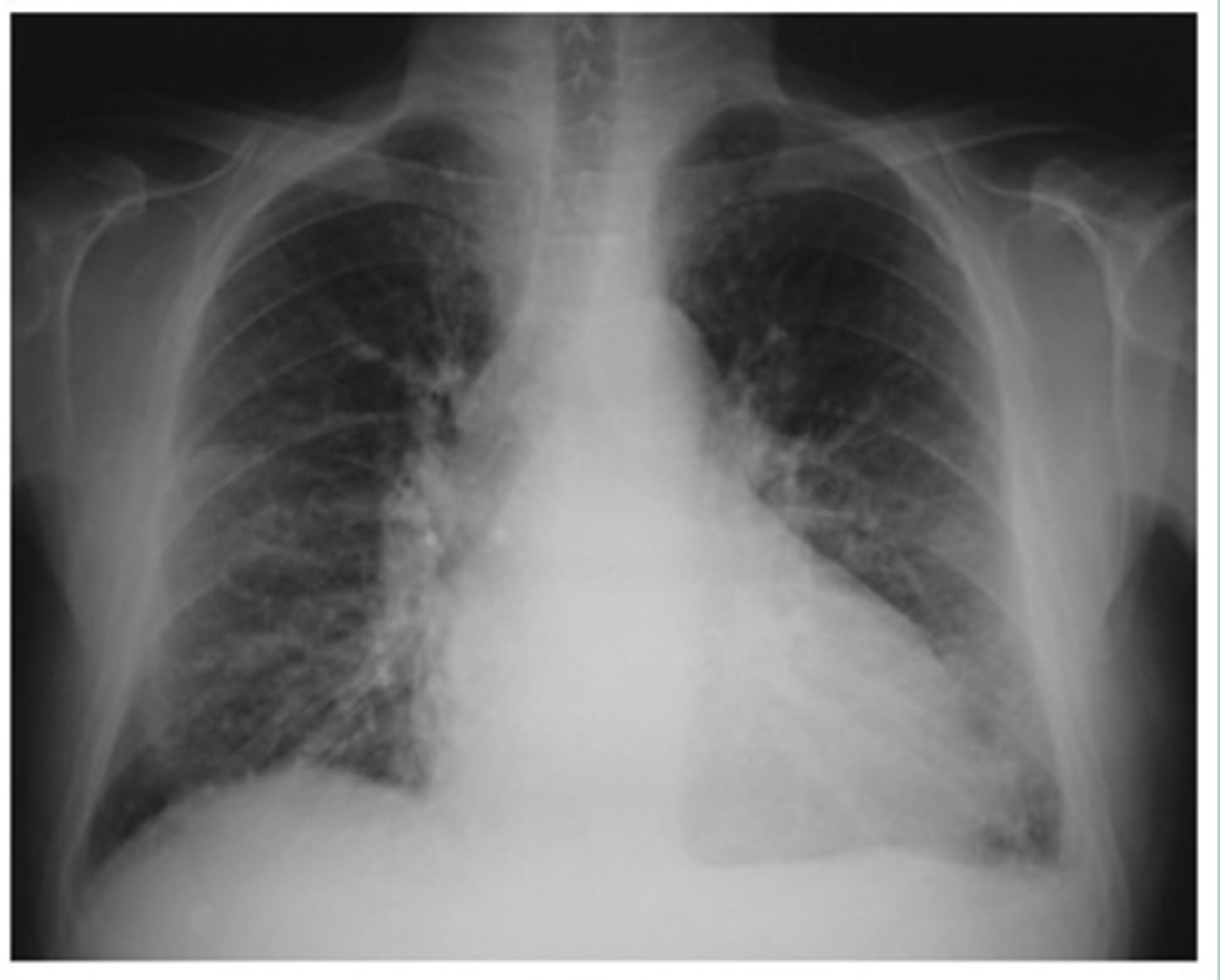
encourage image

There's no tags or description

Looks like no tags are added yet.

Study Analytics
Name
Mastery
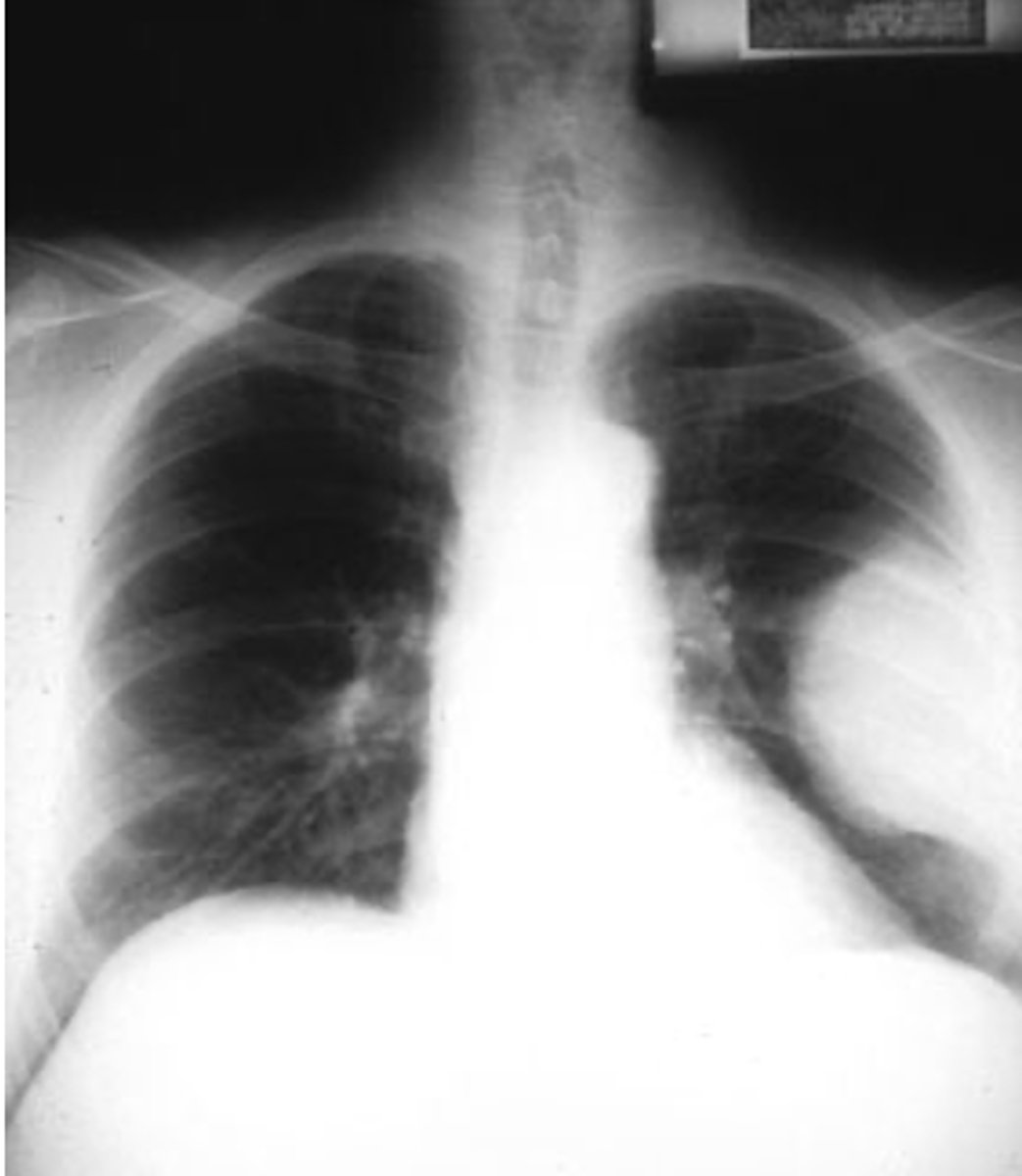
Learn
Test
Matching
Spaced

No study sessions yet.

58 Terms

1
New cards

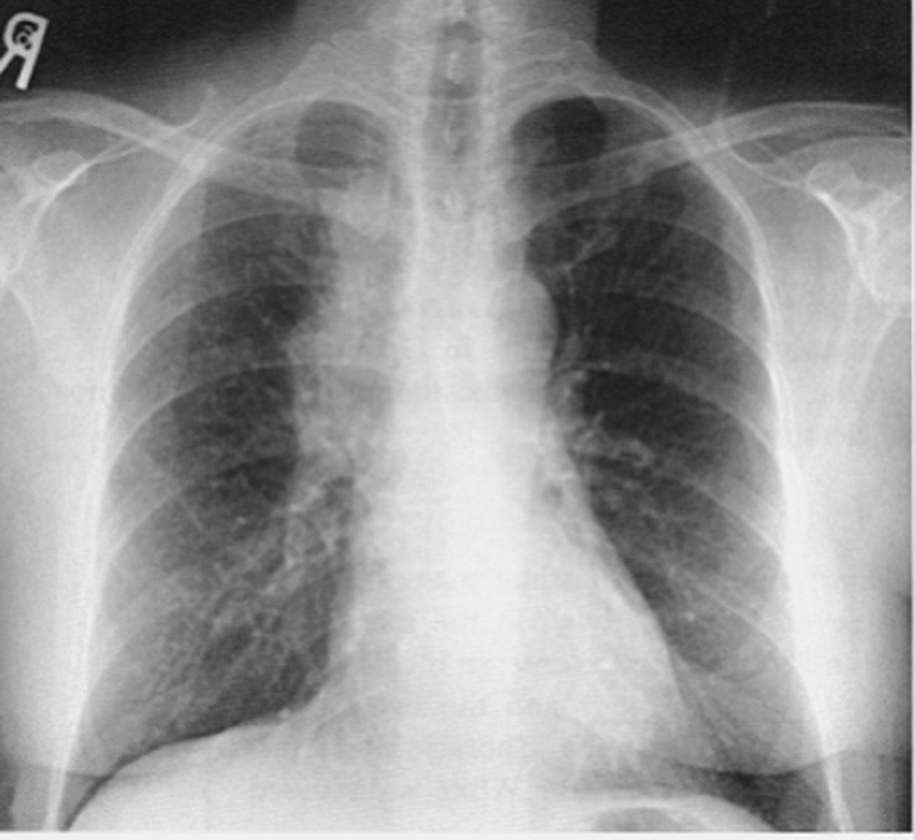
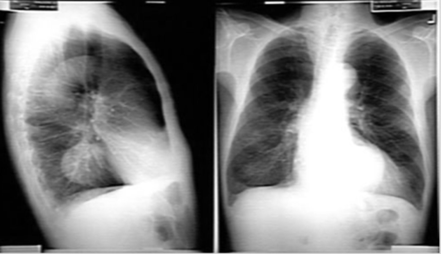
Bronchiectasis = walls of bronchi thickened by inflammation or infection., may be diffuse or focal

**The CXR in affected individuals is often normal or shows non specific findings

What is bronchiectasis?

2
New cards

The CXR in affected individuals is often normal or shows non specific findings

Later: “tram-tracking” and honeycomb type infiltrates on medial aspects of lower lobes.

oEasily seen on CT scan.

What does in x-ray in those with bronchiectasis show? (early vs late)

3
New cards

oTypical organisms include Klebsiella species, Staphylococcus aureus, Mycobacterium tuberculosis, Mycoplasma pneumoniae, nontuberculous mycobacteria, Mycobacterium avium-intracellulare complex, measles, pertussis, influenza, respiratory syncytial virus, herpes simplex virus, and certain types of adenovirus

What are typical organisms causing bronchiectasis (idk if this will actually be on exam but it's bolded and red)

4
New cards

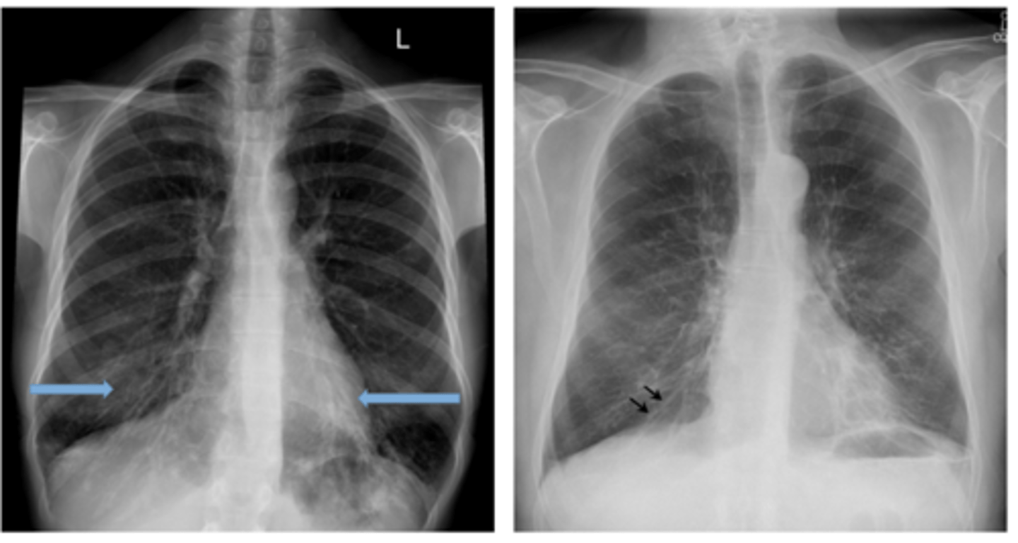
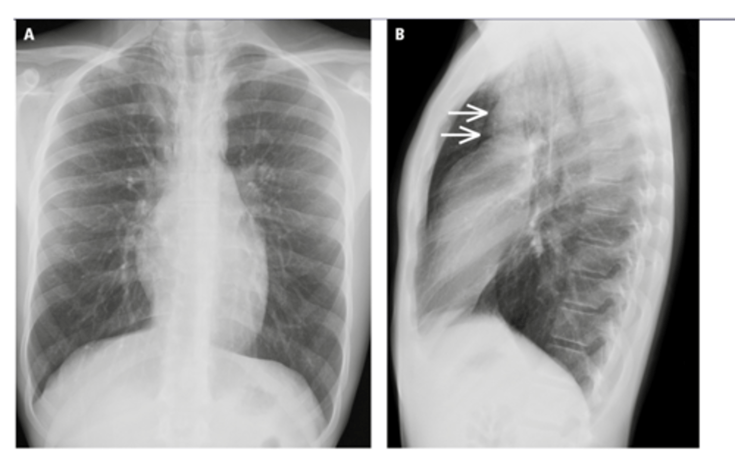
Bronchiectasis

-tram lines

Dx. What is this finding?

<p>Dx. What is this finding?</p>
5
New cards

bronchiectasis

Dx

<p>Dx</p>
6
New cards

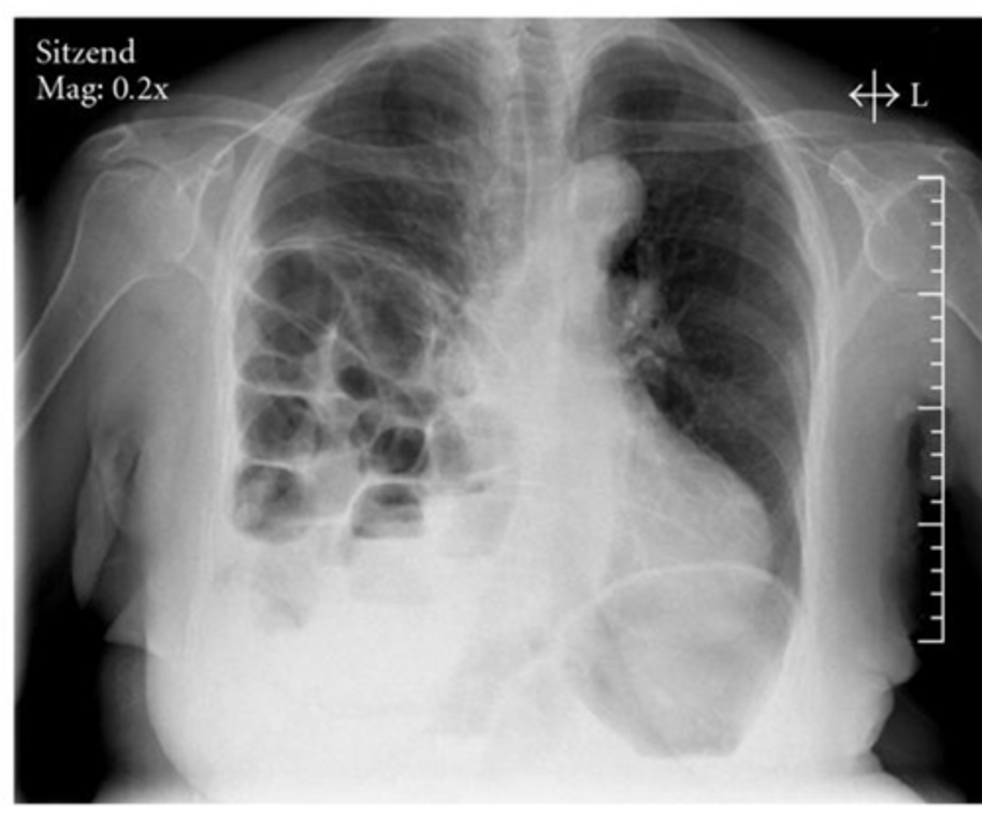
o Both terms refer to lung tissue with air space but no alveoli – (non-functioning).

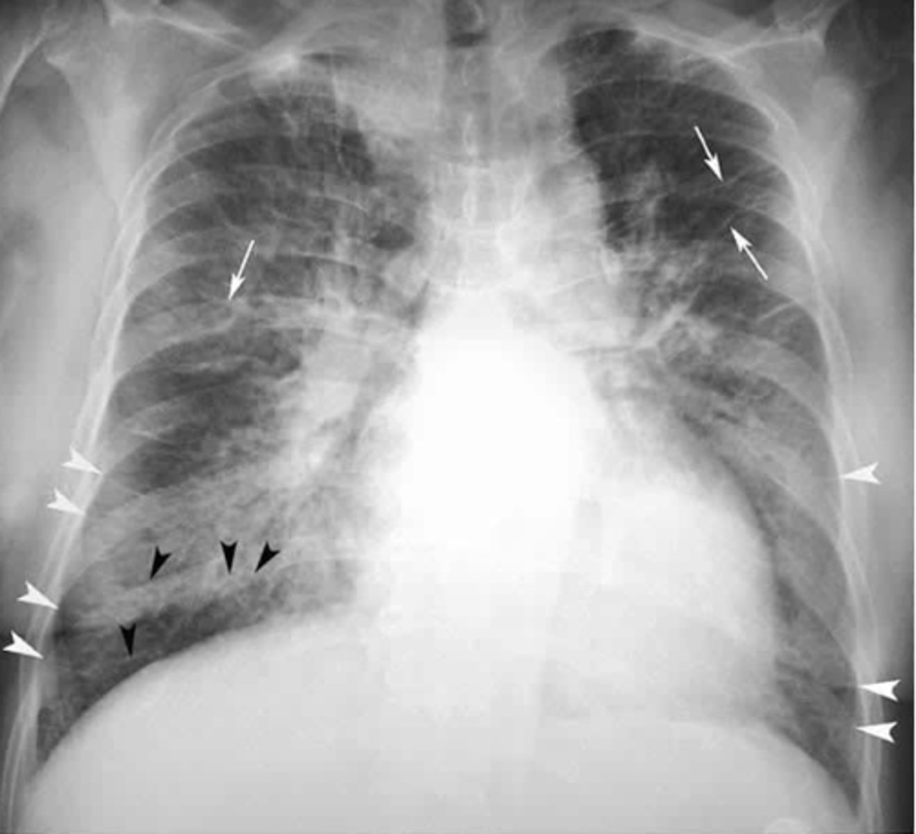
o Bleb = less than 1 cm diameter

o Bullae = greater than 1 cm but often much larger

o Walls of lesion are very thin (often invisible)

o Difficult to see on CXR – can be seen as absence of pulmonary markings.

o Easy to see on CT scan.

What are blebs and bullae - what findings would you find on xray?

<p>What are blebs and bullae - what findings would you find on xray?</p>
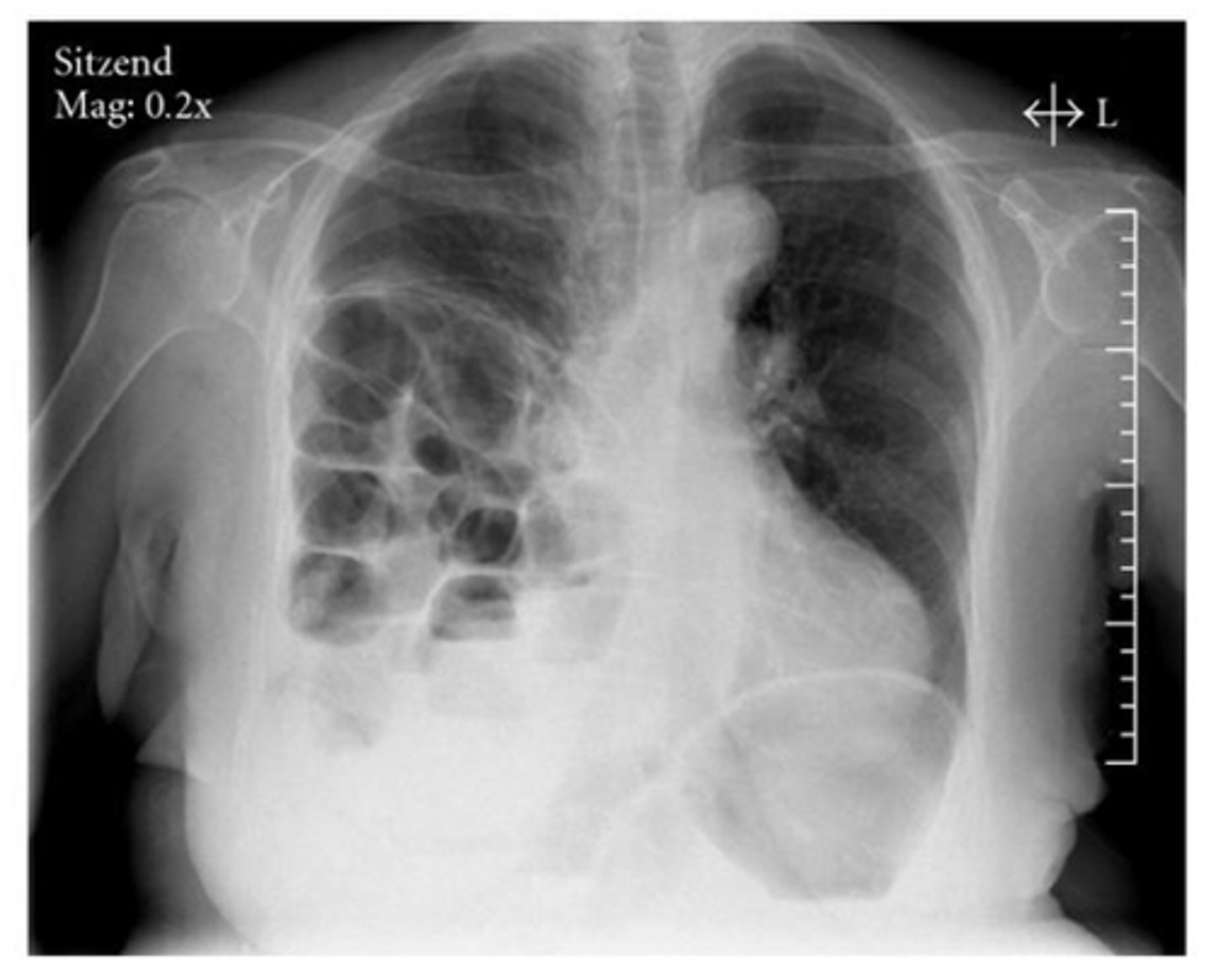
7
New cards

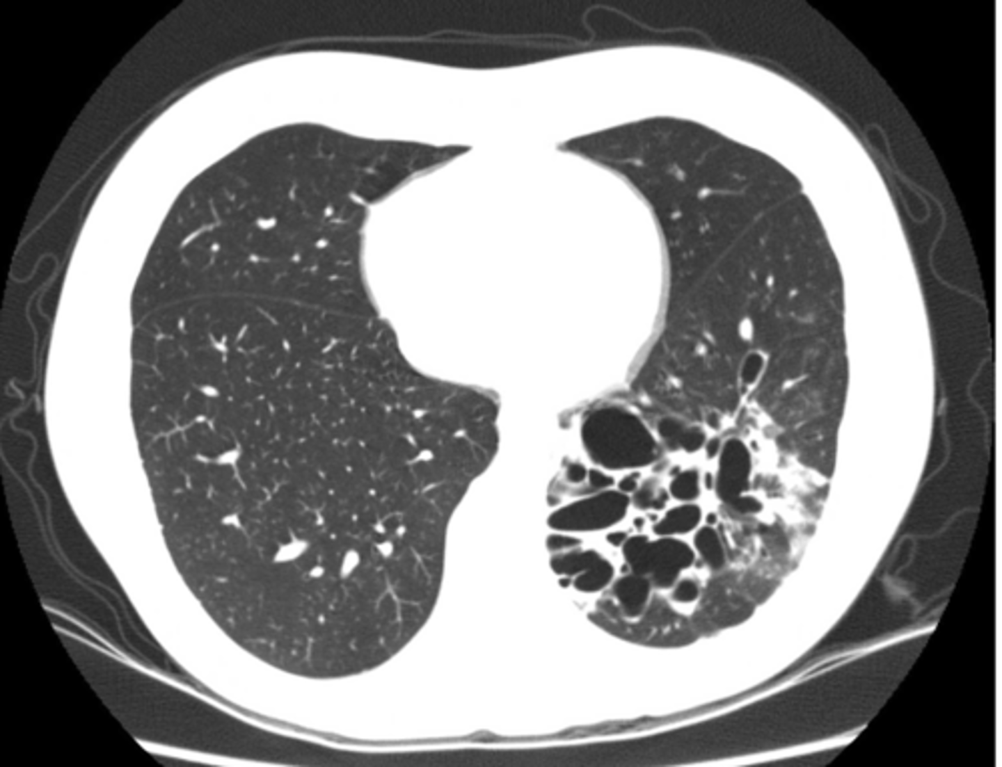
Often associated with COPD or emphysema but bullae can be present in normal asymptomatic patients. (this pt has emphysema)

What dz are blebs and bullae associated with?

<p>What dz are blebs and bullae associated with?</p>
8
New cards

-Flattening of hemidiaphragms with blunting of costophrenic angles.

-Increased AP diameter of chest on lateral view (barrel chest)

-Presence of bullae or large air cavities

What x-ray findings are found in advanced stages of COPD/emphysema?

9
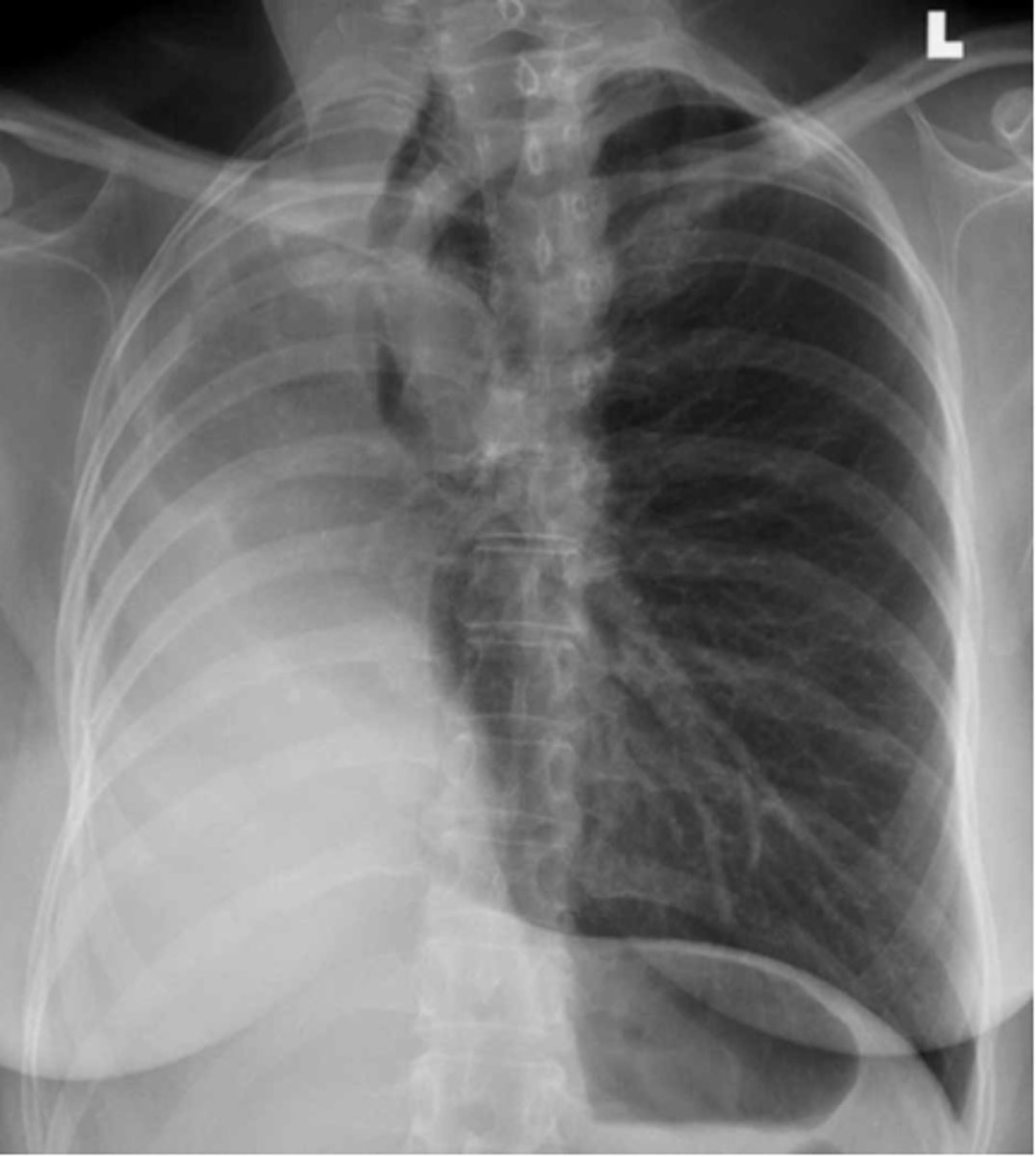
New cards

Flattened diaphragms, ant mediastinal space increased --> COPD/emphysema

Dx and ID radiological findings

<p>Dx and ID radiological findings</p>
10
New cards

complete or partial collapse of the entire lung or area (lobe) of the lung. It occurs when the tiny air sacs (alveoli) within the lung become deflated or possibly filled with alveolar fluid

What is atelectasis?

11
New cards

in patients who have difficulty taking a deep breath as with rib fractures or post operatively

What pts is atelectasis commonly seen in?

12
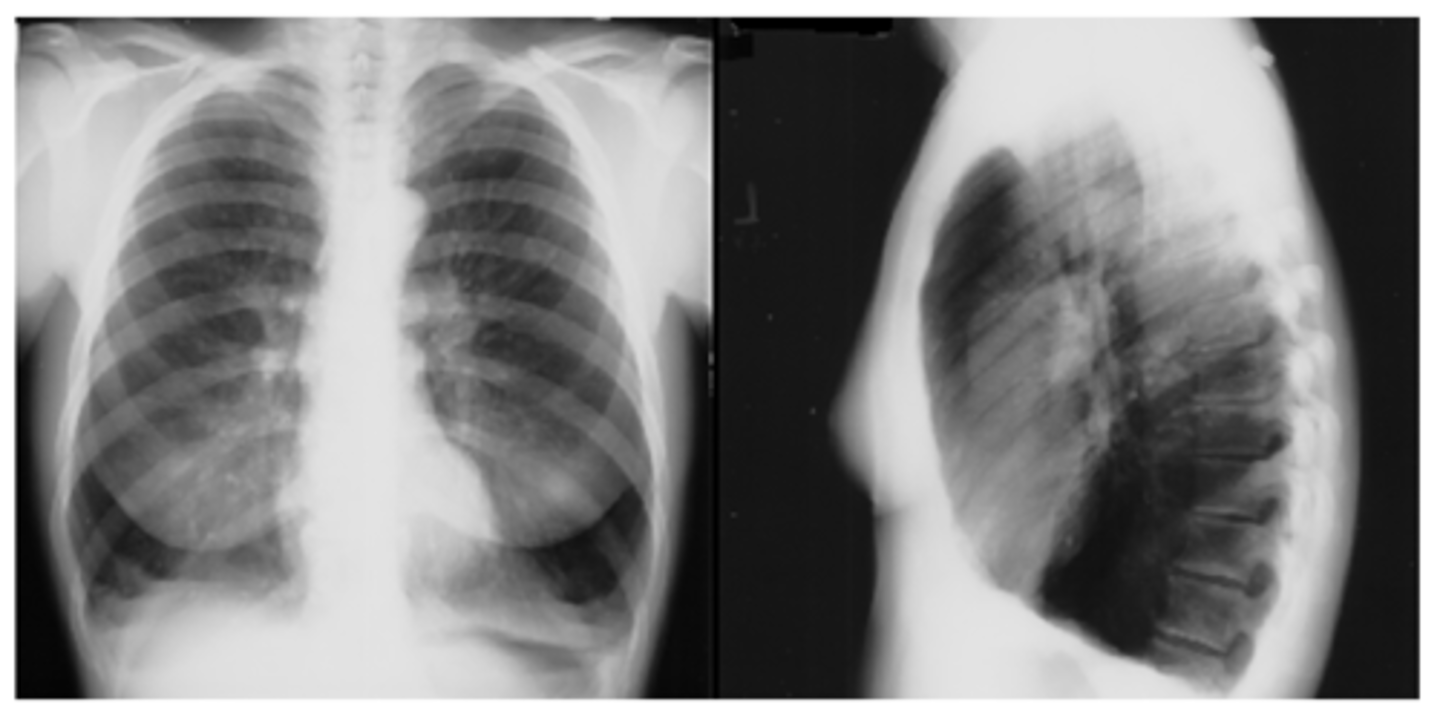
New cards

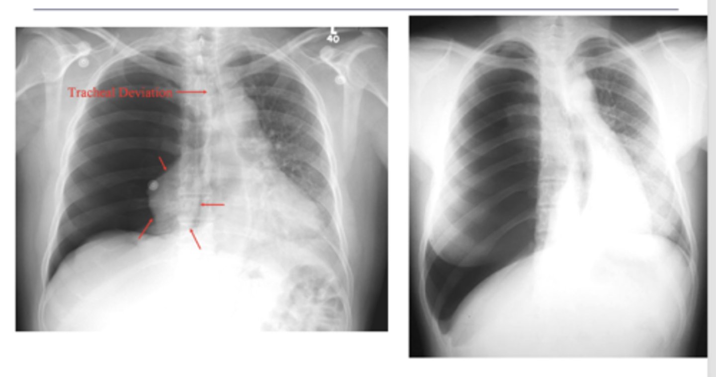
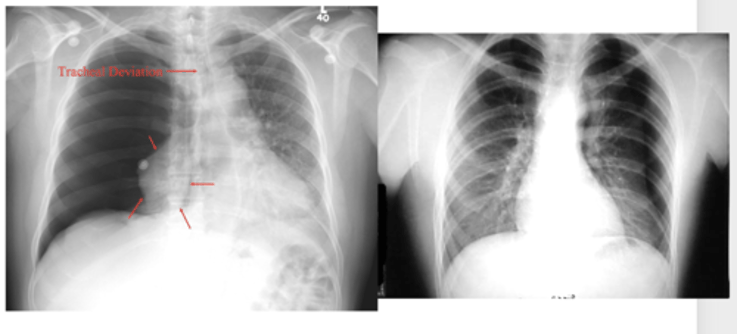
atelectasis - R lung collapse

--note: collpased lung pulling mediastinum towards R

Dx

<p>Dx</p>
13
New cards

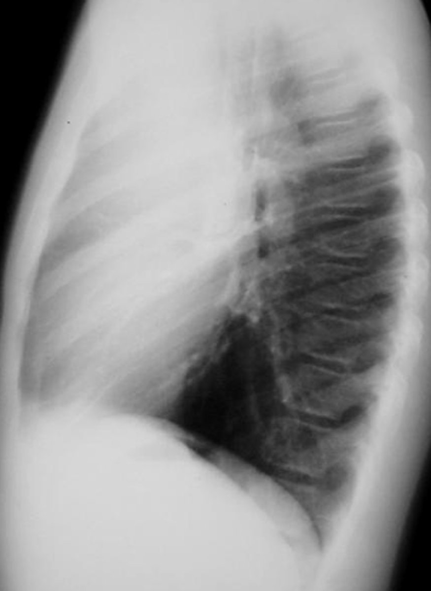
oLinear (discoid or plate-like) atelectasis.

oOften seen in post-op patients who fail to take a deep breath due to pain.

Dx

<p>Dx</p>
14
New cards

F

T/F, CXR is indicated for an acute asthma exacerbation?

15
New cards

radiologic signs that are usually accompanied by pulmonary edema in cases of congestive heart failure and bronchiectasis

What are tram lines/tracks? What dz states might they indicate?

<p>What are tram lines/tracks? What dz states might they indicate?</p>
16
New cards

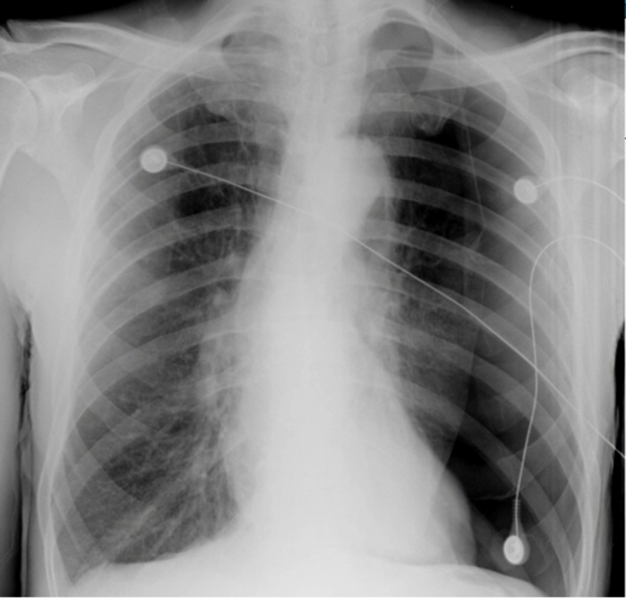
oAir in the pleural space (pneumothorax) is usually seen in the apices if the patient is upright.

Seen as an area of no vascularity and a thin white line representing the visceral pleura

**air has no density (so air will show up as darker)

What will pneumothorax look like on imaging? What area of the lungs does pneumothorax affect?

<p>What will pneumothorax look like on imaging? What area of the lungs does pneumothorax affect?</p>
17
New cards

Shift of mediastinum

-if you're able to see t-spine in view, heart is not in the right place, likely laterally shifted

-hemidiaphragm

What is the main radiologic finding that differentiates tension and non-tension pneumothorax?

<p>What is the main radiologic finding that differentiates tension and non-tension pneumothorax?</p>
18
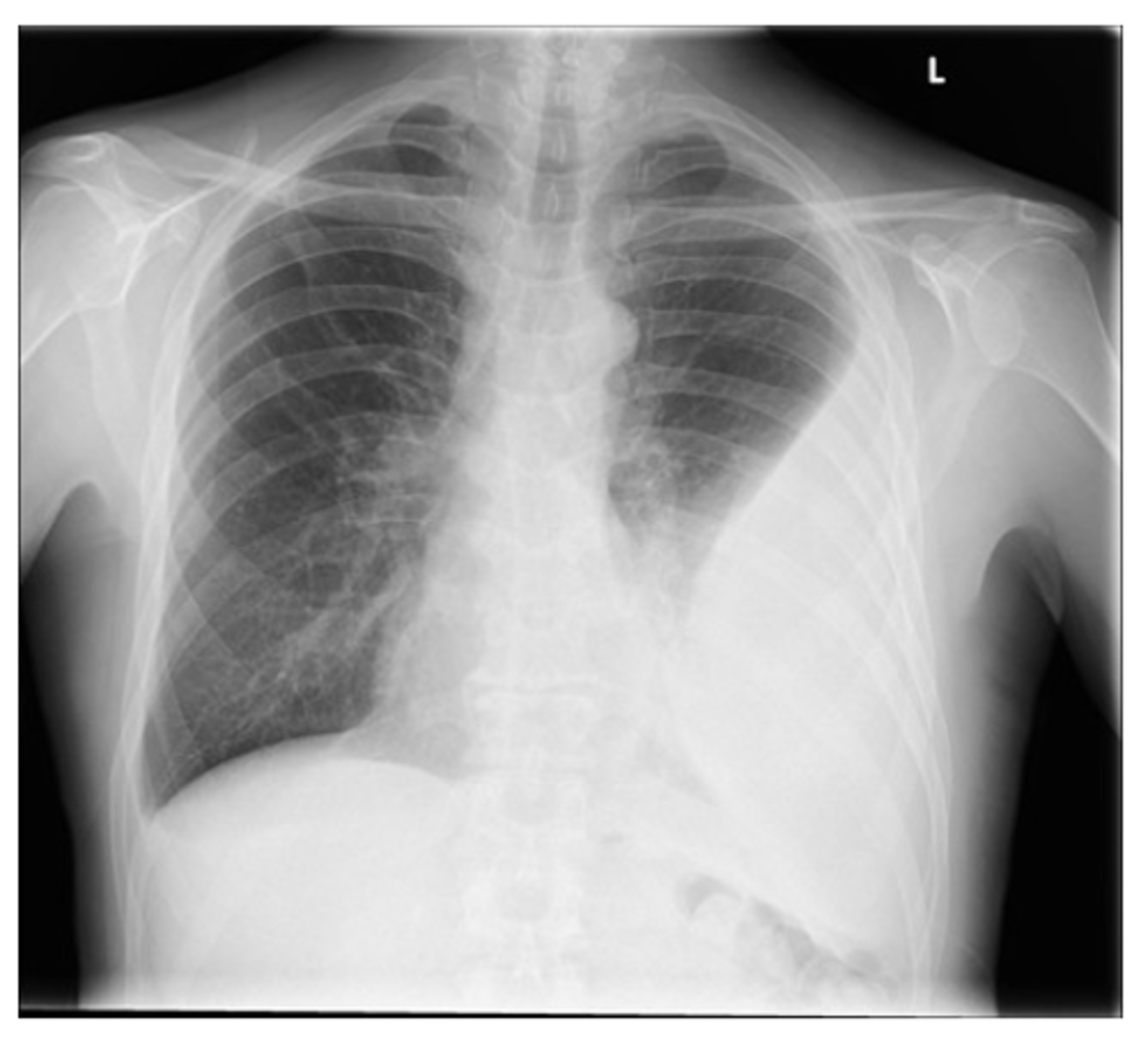
New cards

L sided moderate pneumothorax

Dx

<p>Dx</p>
19
New cards

-mediastinal shift

-less density (darker)

-sharp line if non-tension pneumothorax

3 key findings for pneumothorax

20
New cards

Seems like biggest difference is shift of mediastinum

Difference between tension and moderate pneumothorax

<p>Difference between tension and moderate pneumothorax</p>
21
New cards

refer to picture

ID findings in red

<p>ID findings in red</p>
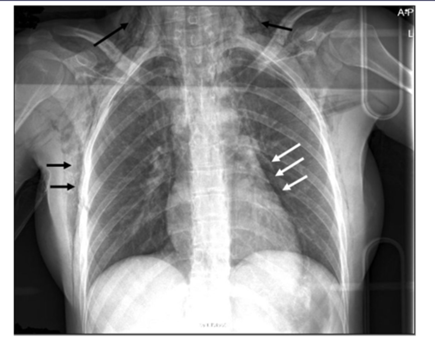
22
New cards

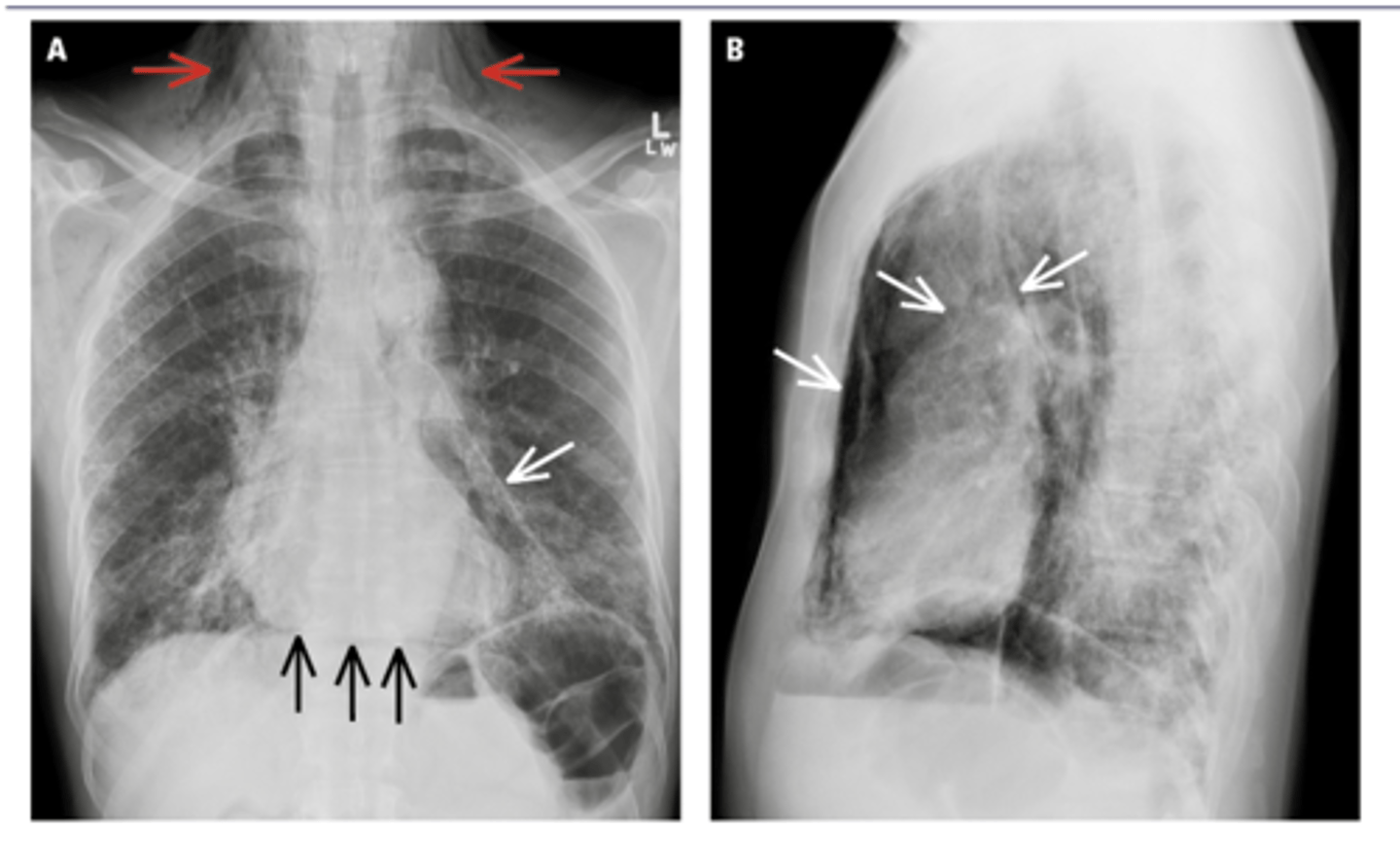
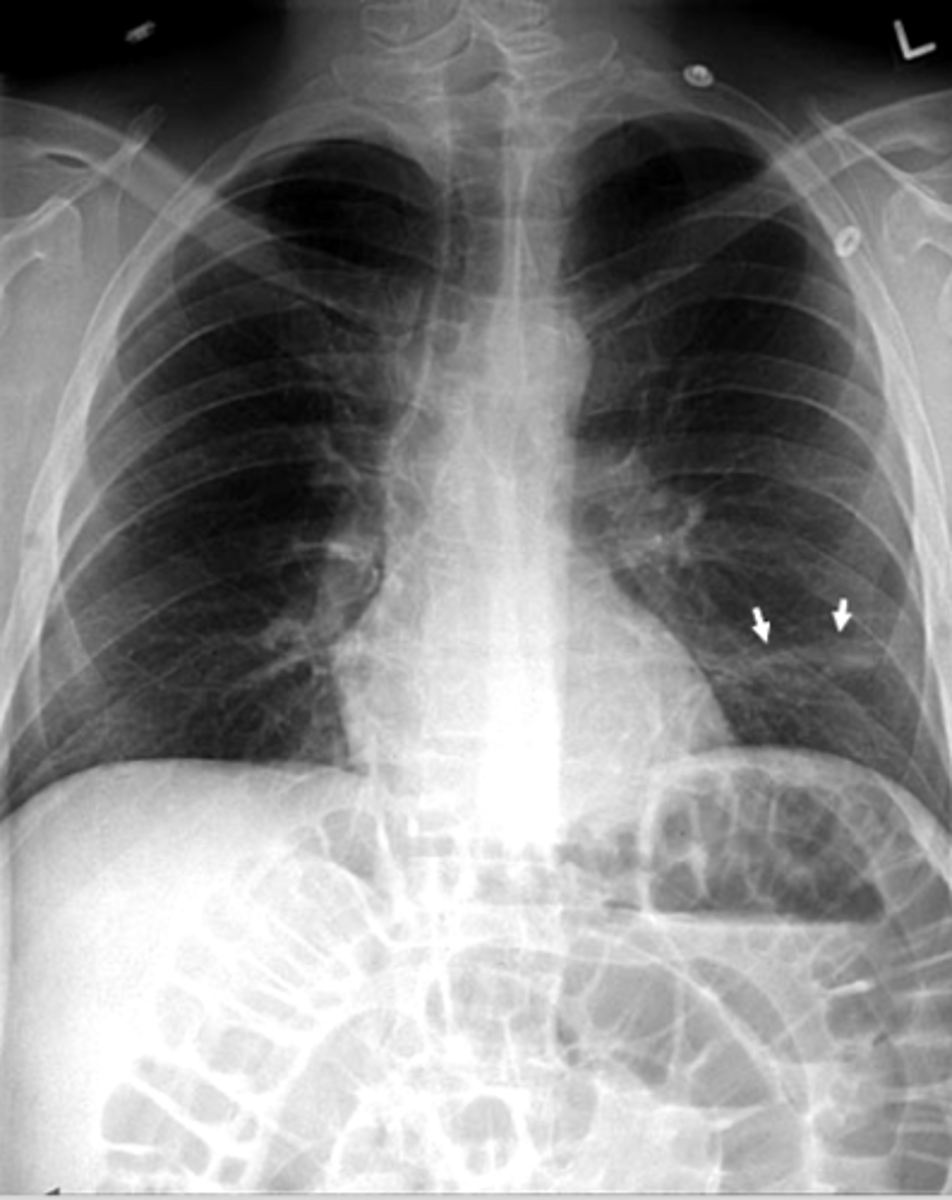
Pneumothorax (caused by stabbing)

visceral pleural line in the left chest (white arrows).

horizontal line along the base of the left hemithorax, which represents an air-fluid level (black arrows), showing that the patient has a hemopneumothorax.

2 key findings in this x-ray and dx

<p>2 key findings in this x-ray and dx</p>
23
New cards

•Pneumomediastinum aka mediastinal emphysema - is air or gas in the space between your lungs (mediastinum).

•Spontaneous or secondary cause (injury or illness)

Leads to increased pressure

What is pneumomediastinum?

24
New cards

Pneumomediastinum

-increased pressure results in pushing down of mediastinum and pushing up of diaphragm

Dx

<p>Dx</p>
25
New cards

When pt supine, xray findings support pneumothorax

It represents lucency of the lateral costophrenic angle extending toward the hypochondrium

What sign is this?

<p>What sign is this?</p>
26
New cards

-Severe injury (trauma) to your chest.

-Surgery.

-Rupture of the small sacs of your lungs

-Tear in your airways or gastrointestinal (GI) tract.

-Infections

-Excessive coughing, sneezing, vomiting and other body functions that increase pressure in your chest suddenly.

-Bearing down while going to the bathroom.

-Pushing during childbirth.

-Scuba diving

-Mechanical vent.

Common causes of pneumomediastinum

27
New cards

pneumomediastinum - i literally dont know why,

dx

<p>dx</p>
28
New cards

Black arrows: subcutaneous emphysema. White arrows: pneumomediastinum

ID black and white arrows

<p>ID black and white arrows</p>
29
New cards

Blunting of costrophenic angle when upright

Fluid along lateral chest wall (gravity)

**normal diaphragm border obscured by pleural effusion

What are findings that indicate pleural effusion?

<p>What are findings that indicate pleural effusion?</p>
30
New cards

-Congestive heart failure (CHF) - bilateral effusions with cardiomegaly

-Pneumonia - 40% have a small effusion

-Pancreatitis - L sided effusion

-Cirrhosis - R sided effusion

-Malignancy - massive effusion

Causes of pleural effusion

<p>Causes of pleural effusion</p>
31
New cards

Pleural effusion

-fluid build up is pushing the mediastinum laterally which causes the t spine to be more visible

-can use lateral decubitus position to confirm presence of effusion/fluid

Dx

<p>Dx</p>
32
New cards

pus in pleural space

What is empyema?

33
New cards

Fluid is more viscous so...

1. Fluid doesn't move as freely and less affected by gravity

2.sharper line of demarcation

What is the main differentiator between empyema and emphysema on x-ray?

<p>What is the main differentiator between empyema and emphysema on x-ray?</p>
34
New cards

CT is best study

What is best study for empyema?

<p>What is best study for empyema?</p>
35
New cards

pleural calcifications - asbestos exposure (asbestositis will be bilateral)

Dx - what is the most common cause of this finding? Bilateral or unilateral?

<p>Dx - what is the most common cause of this finding? Bilateral or unilateral?</p>
36
New cards

Mesothelioma - A mesothelioma is a primary malignant neoplasm of pleura

It occurs in patients with prior exposure to asbestos.

It has no correlation with cigarette smoking

Dx. What is the most common cause of this finding?

<p>Dx. What is the most common cause of this finding?</p>
37
New cards

Diaphragmatic rupture

o Usually due to trauma – more common on the left side. Can be a post-op complication of upper GI surgery.

o Most common appearance is loops of bowel in the lower chest cavity (R lung in pic)

-Can cause mediastinal shift

Dx. What is the most common radiologic finding for this dz state?

<p>Dx. What is the most common radiologic finding for this dz state?</p>
38
New cards

Diaphragmatic rupture

Dx

<p>Dx</p>
39
New cards

Diaphragmatic rupture/hernia

-GI goes to area of least resistance

Dx

<p>Dx</p>
40
New cards

o dyspnea if your exam is abnormal or if the patient is over 40 years old or is at risk for early cardiovascular disease.

o In most cases, you would not be wrong to get a CXR.

When is CXR inficated for chest pain or dyspnea?

41
New cards

Yes, CXR ois indicated for diagnosis and progression.

Is CXR indicated for CHF?

42
New cards

No, not really!

Is CXR indicated for HTN?

43
New cards

If it's true hemoptysis, yes

oMost common cause is bronchitis, however a neoplasm or PE is possible.

oIf CXR is normal and pt is low risk for cancer, CT scan is next step.

oIf patient is at risk for cancer then bronchoscopy is indicated.

Is CXR indicated for hemoptysis?

44
New cards

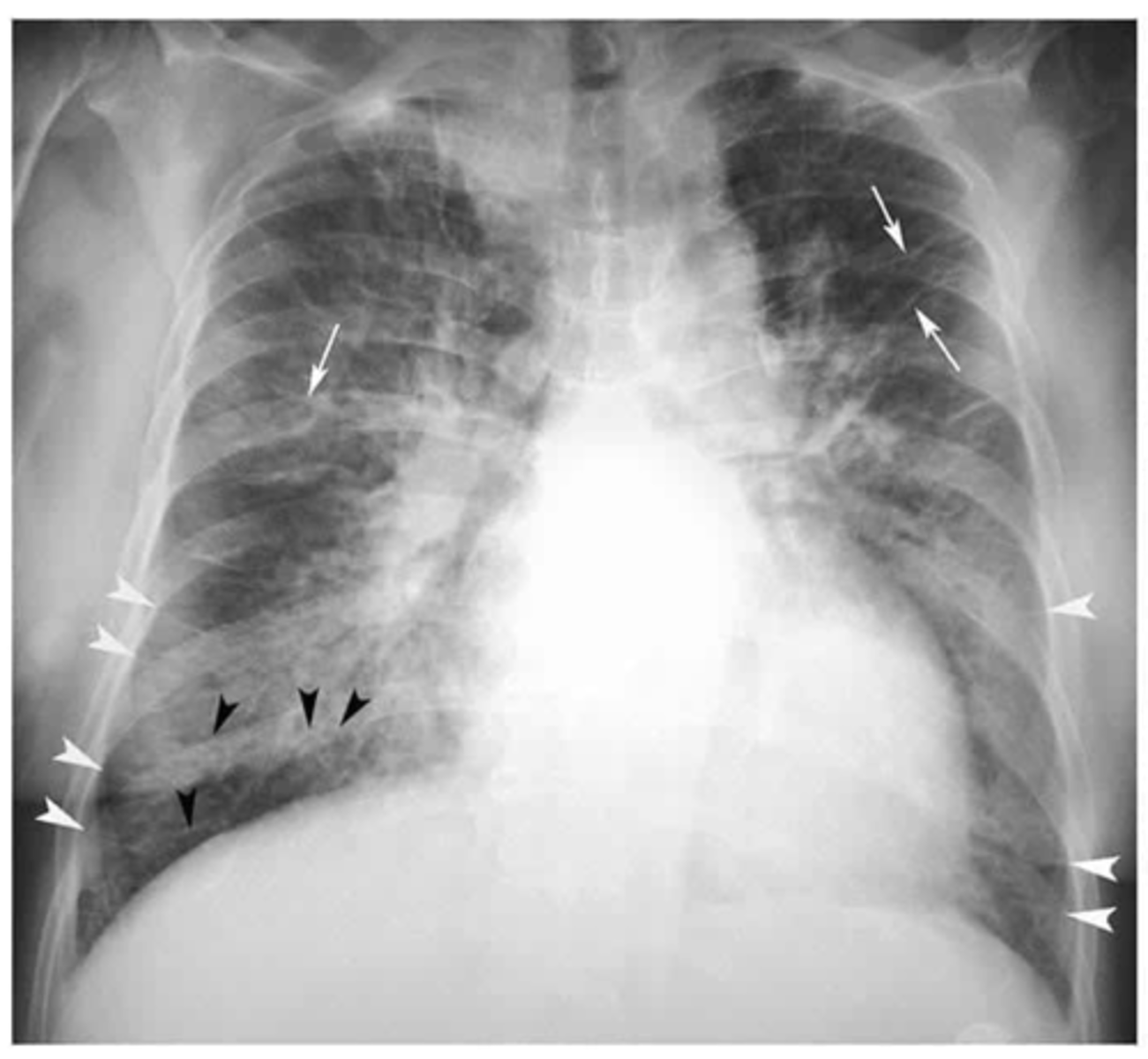
1. Mild: increased fluid into vasculature and seen by increased markings in upper lobes

2. Mod: Kerley B lines in lateral basilar regions

3. Severe: pulmonary edema – bilateral perihilar and basilar alveolar infiltrates

Kerley B lines (arrows) are horizontal lines in the lung periphery that extend to the pleural surface. They denote thickened, edematous interlobular septa often due to pulmonary edema

Radiological findings - CHF mild vs moderate vs severe

<p>Radiological findings - CHF mild vs moderate vs severe</p>
45
New cards

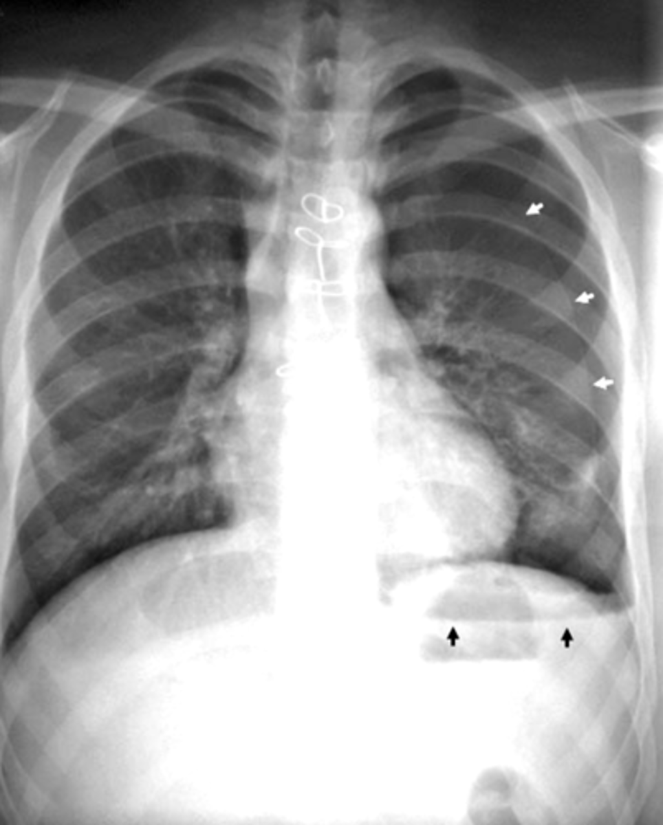
Moderate CHF with:

-redistribution of pulmonary vasculature (pulm vasculature should not be visible at all, esp in apices, but they are visible here)

-cardiomegaly and L sided pleural effusion

Dx - what kind of CHF is this?

<p>Dx - what kind of CHF is this?</p>
46
New cards

Mild to moderate CHF with redistribution of pulmonary vasculature, indistinct hila, mild cardiomegaly and Kerley B lines.

What signs on radiograph indicate CHF?

<p>What signs on radiograph indicate CHF?</p>
47
New cards

alveolar infiltrates

What does "fluffiness" on CXR indicate?

48
New cards

Left image: Thymoma in patient with Myasthenia Gravi

-Focal lesions are caused by masses

-Diffuse lesions are caused by infection, bleeding or infiltrating tumor

Identify focal vs diffuse mediastinal lesions. What do focal lesions typically indicate and diffuse lesions idnicate?

49
New cards

ascending aorta, aortic knob, heart, lymph nodes, thyroid, and thymus

What structures are located in the anterior mediastinal compartment?

<p>What structures are located in the anterior mediastinal compartment?</p>
50
New cards

esophagus, trachea, lymph nodes, and aortic arch

What structures are located in the middle mediastinal compartment?

<p>What structures are located in the middle mediastinal compartment?</p>
51
New cards

descending aorta, lymph nodes, spinal nerves, and vertebral bodies.

What structures are located in the posterior mediastinal compartment?

<p>What structures are located in the posterior mediastinal compartment?</p>
52
New cards

thymoma

-no need to interpret image

What is the most common anterior mediastinal mass?

<p>What is the most common anterior mediastinal mass?</p>
53
New cards

enlarged lymph nodes

Mass obscuring the right tracheal border - lymphadenopathy

What is the most frequent cause of a middle mediastinal mass? What finding on this x-ray would indicate this dz?

<p>What is the most frequent cause of a middle mediastinal mass? What finding on this x-ray would indicate this dz?</p>
54
New cards

middle

What compartment is this lesion in?

<p>What compartment is this lesion in?</p>
55
New cards

ganglionic lesion

-posterior compartment because neurogenic

-Posterior mediastinal masses can show a double density over left side of heart.

dx

<p>dx</p>
56
New cards

thumb sign (L)

-indicates inflammation of epiglottis

Classic radiologic finding for epiglottitis (ID L or R)

<p>Classic radiologic finding for epiglottitis (ID L or R)</p>
57
New cards

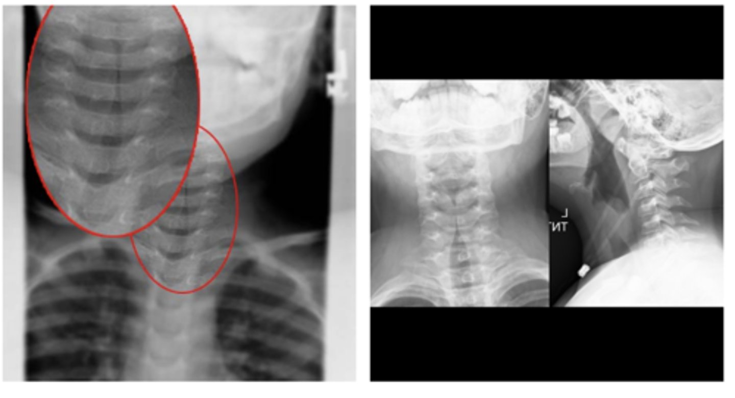
Croup "steeple's sign"

oNarrowing of the trachea due to edema

oCauses: Respiratory Syncytial Virus, Human parainfluenza virus (HPIV-1)

ID abnormality - what dz is this indicative of?

<p>ID abnormality - what dz is this indicative of?</p>
58
New cards

oUsually 6mo-3years old, up to 15 years old

oS/S: Inspiratory stridor, hoarse voice, barky seal-like cough, fever, runny nose

Who does croup typically affect? What are typical S/S