Med Imaging- Lungs Pt. 2

0.0(0)
studied byStudied by 0 people
full-widthCall with Kai
GameKnowt Play
learnLearn
examPractice Test
spaced repetitionSpaced Repetition
heart puzzleMatch
flashcardsFlashcards
Card Sorting

1/51

encourage image

There's no tags or description

Looks like no tags are added yet.

Study Analytics
Name
Mastery
Learn
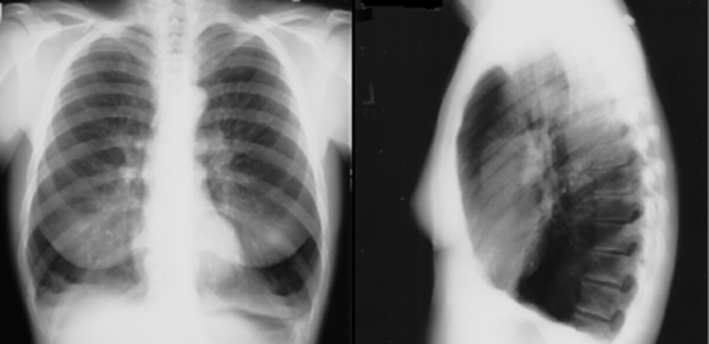
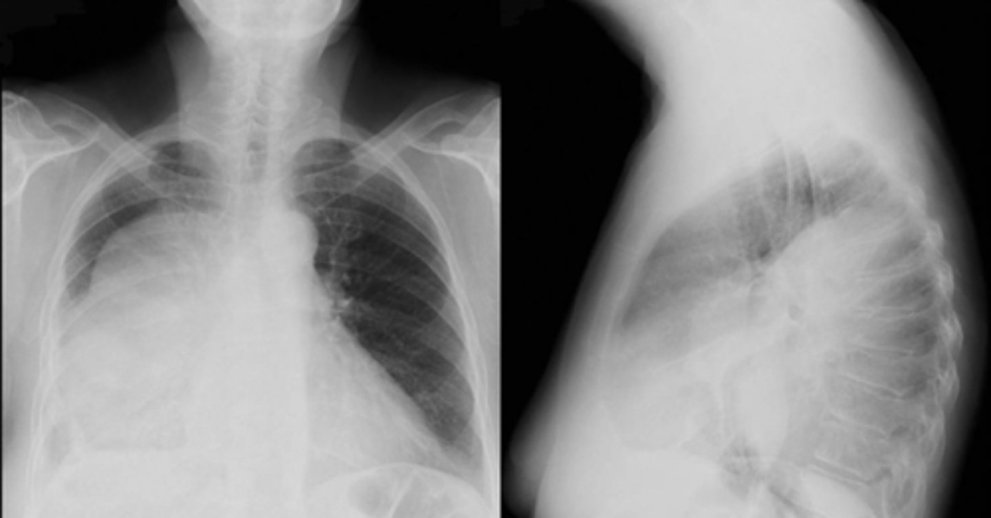
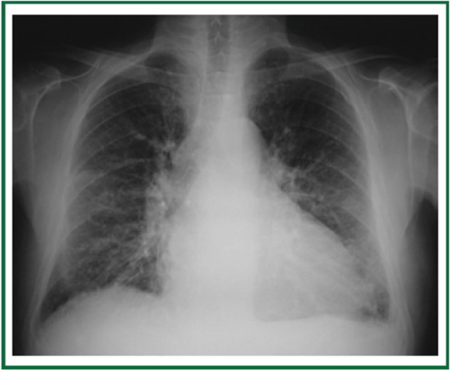
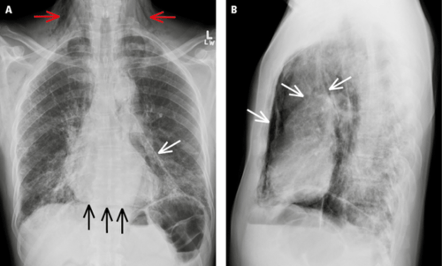
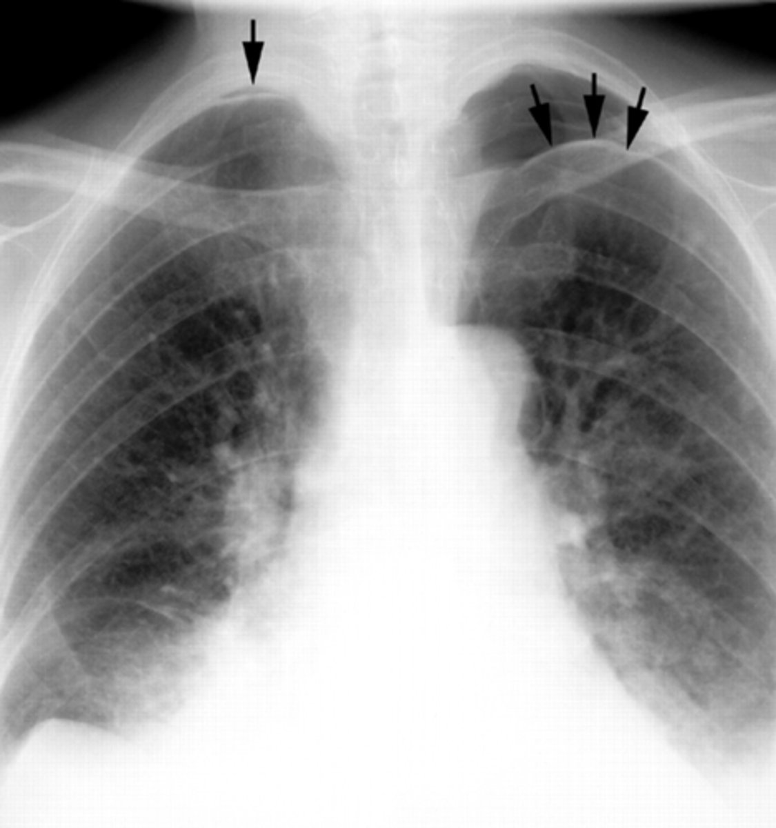
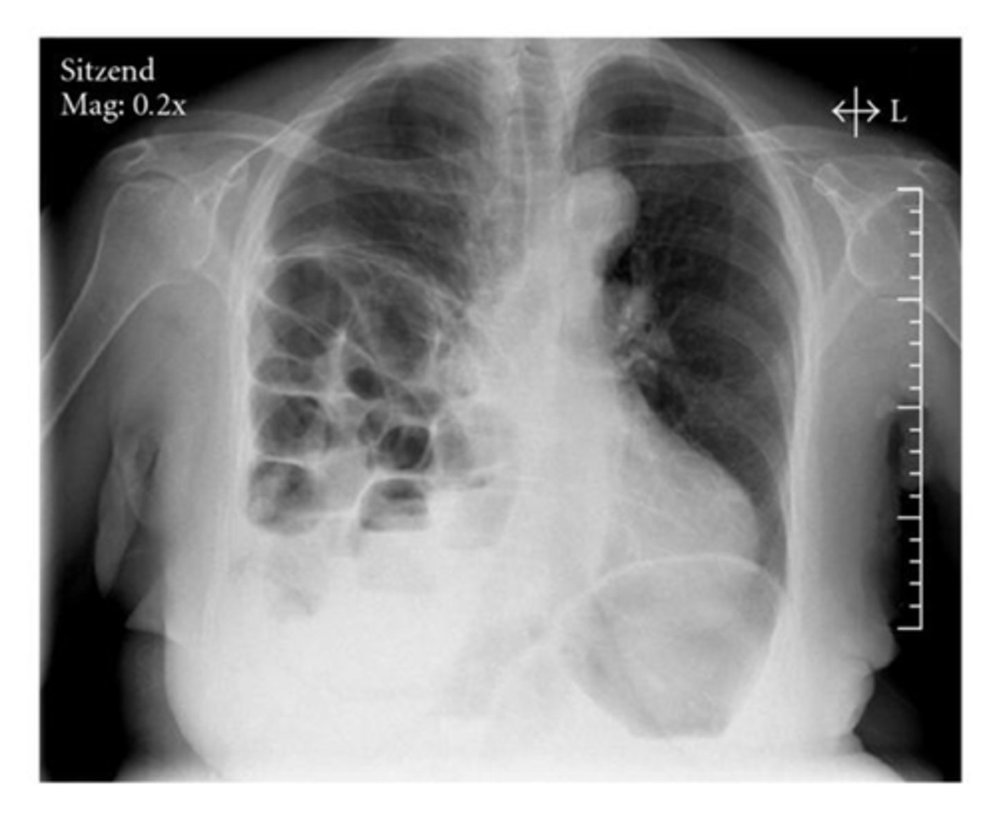
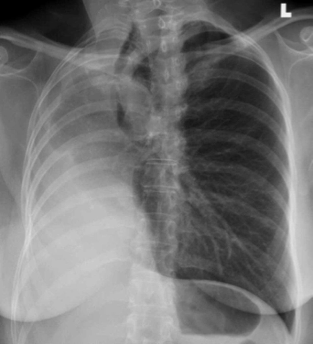
Test
Matching
Spaced

No study sessions yet.

52 Terms

1
New cards

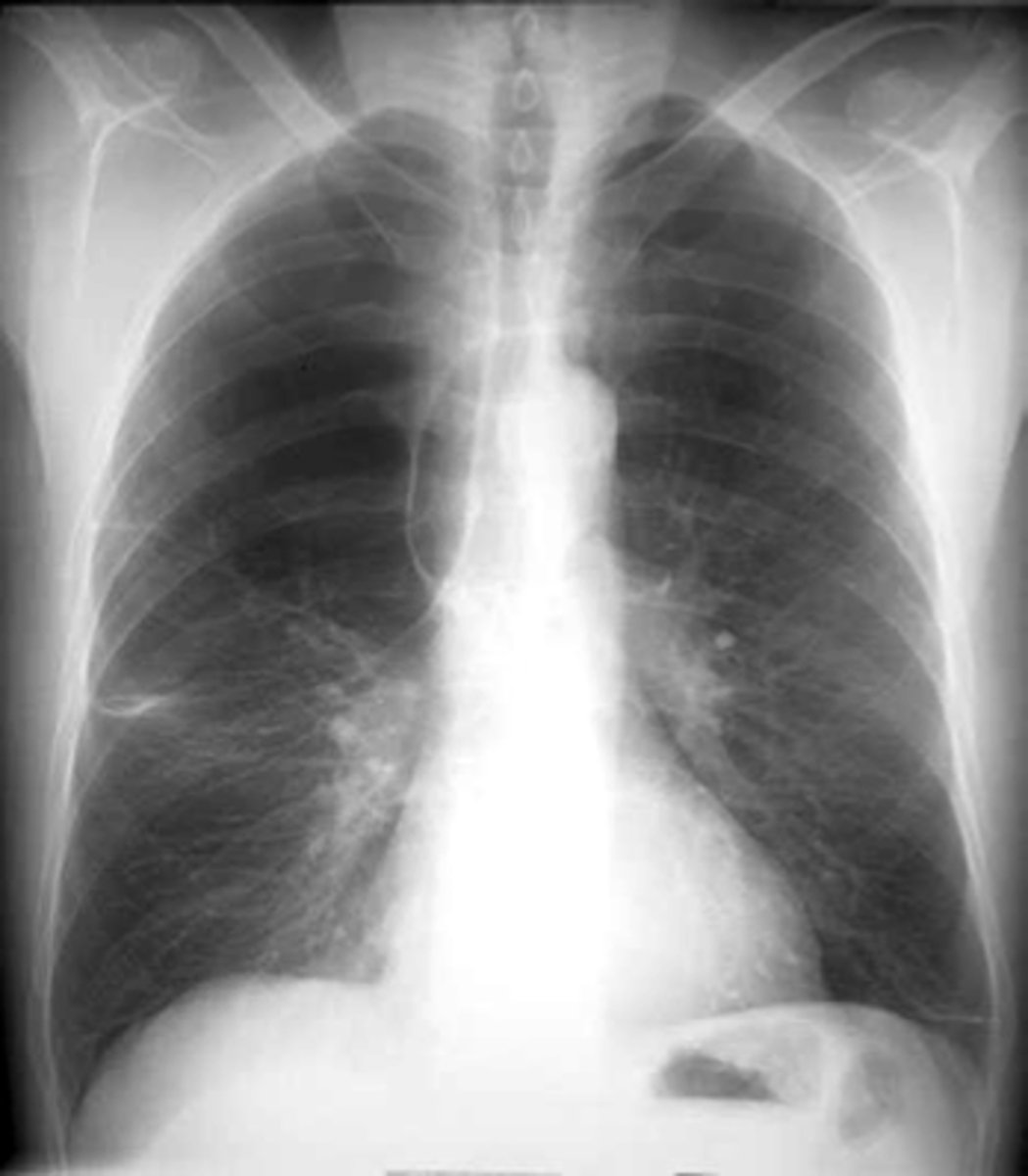
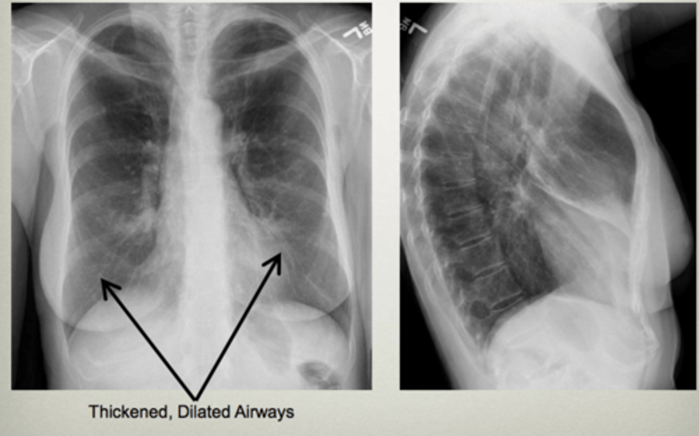
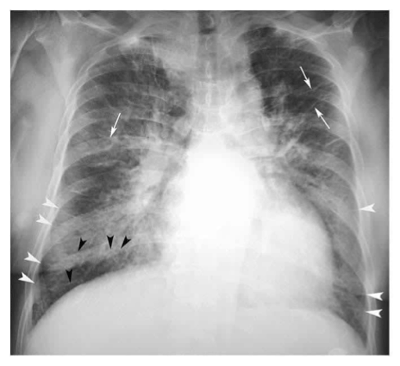
Walls of the bronchi thickened by inflammation or infection, may be diffuse or focal

Bronchiectasis

2
New cards

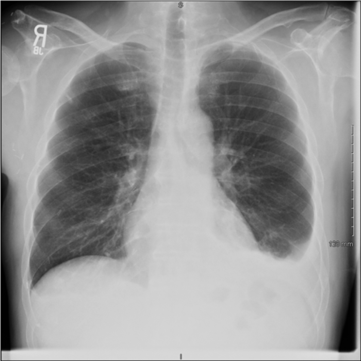
CXR in affected individuals is often normal or shows non-specific findings

Bronchiectasis

3
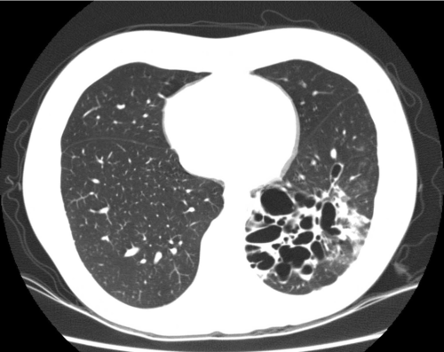
New cards

Bronchiectasis

knowt flashcard image
4
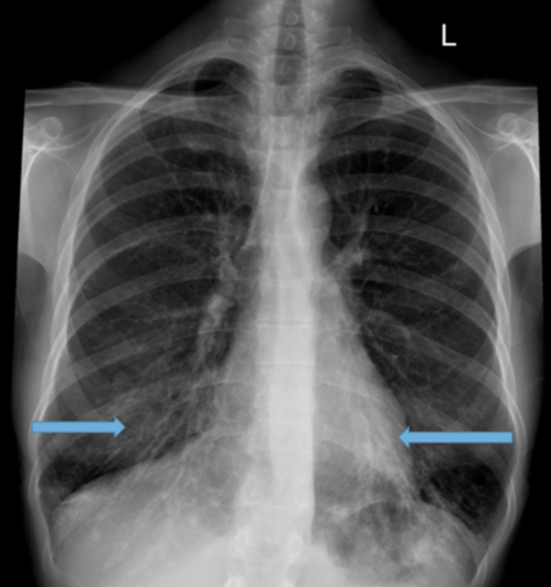
New cards

Tram track lines

knowt flashcard image
5
New cards

Bronchiectasis

knowt flashcard image
6
New cards

Condition that can cause bronchiectasis

Cystic fibrosis

7
New cards

Lung tissues with air space but no alveoli thats less than 1 cm in diameter

Bleb

8
New cards

Lung tissues with air space but no alveoli thats greater than 1 cm in diameter

Bullae

9
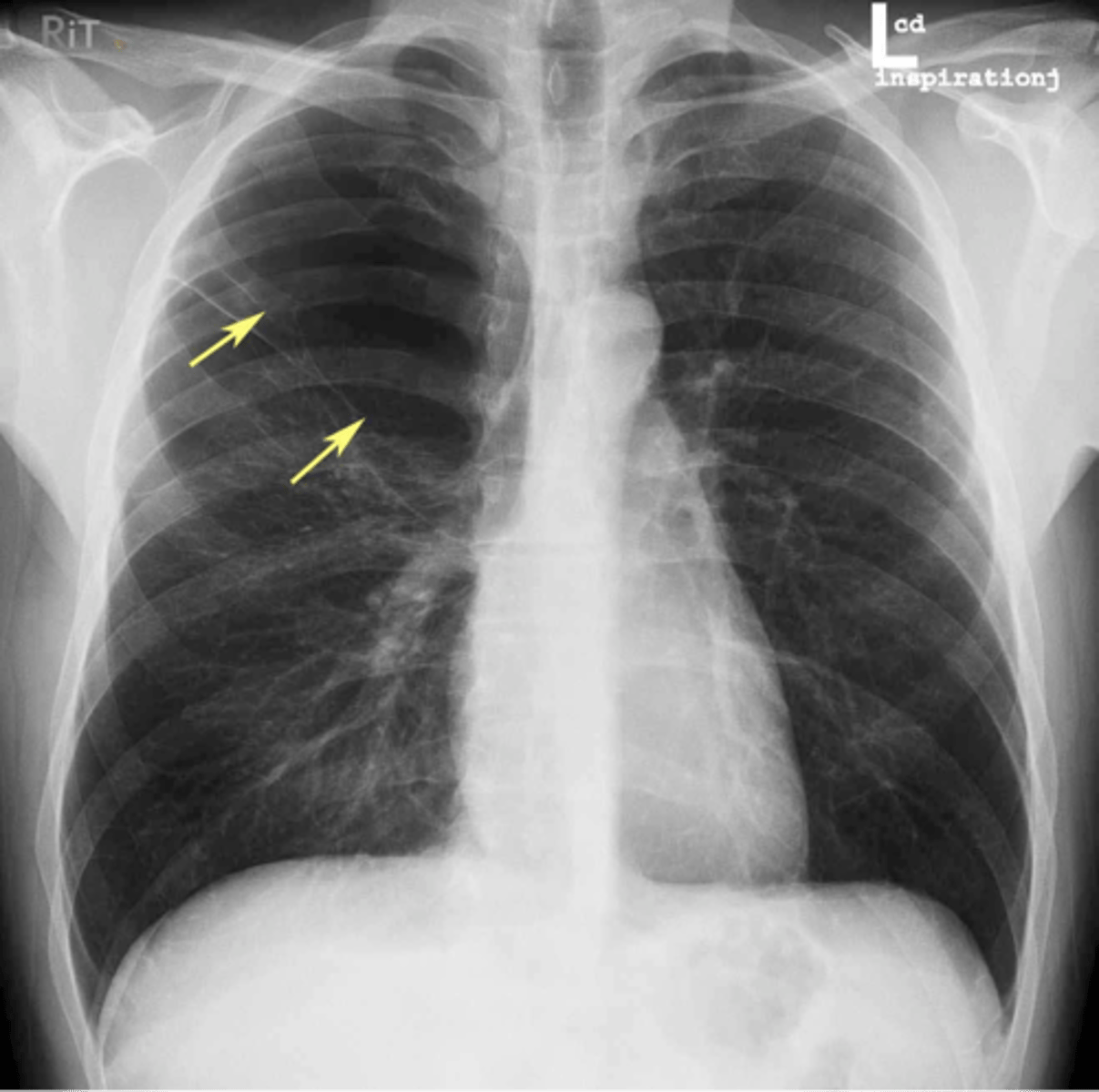
New cards

RUL bullae

knowt flashcard image
10
New cards

Flattening of hemidiaphragms

& blunting of costophrenic angles, Increased AP diameter (barrel chest), bullae or large air cavities indicates

hyperinflation

11
New cards

COPD/Emphysema

knowt flashcard image
12
New cards

COPD/Emphysema

knowt flashcard image
13
New cards

Occurs when alveoli become deflated (complete or partial collapse) or possibly filled with alveolar fluid

Atelectasis

14
New cards

Atelectasis

knowt flashcard image
15
New cards

Atelectasis (RUL)

knowt flashcard image
16
New cards

Linear atelectasis (often seen post-op)

knowt flashcard image
17
New cards

Asthma (hyperinflation with tram lines)

knowt flashcard image
18
New cards

asthma

knowt flashcard image
19
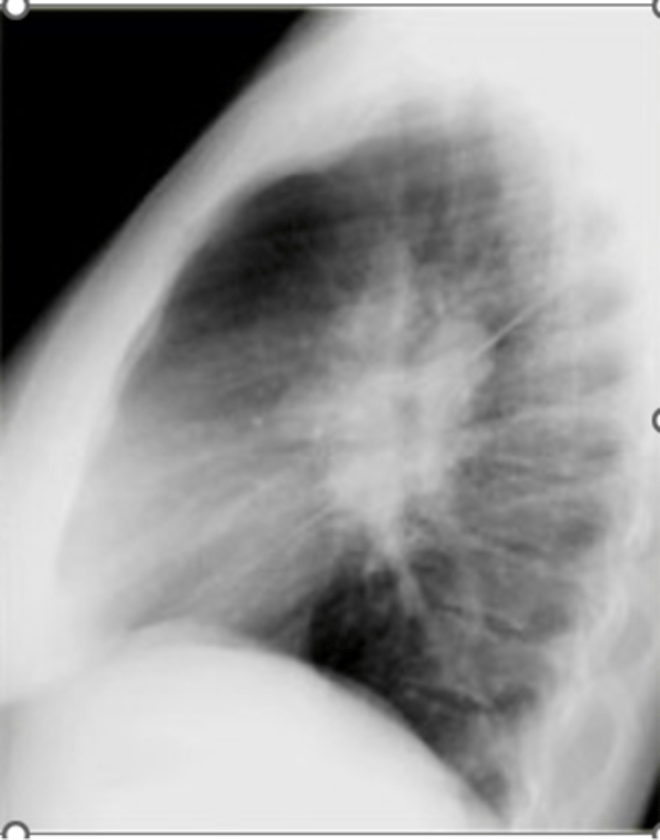
New cards

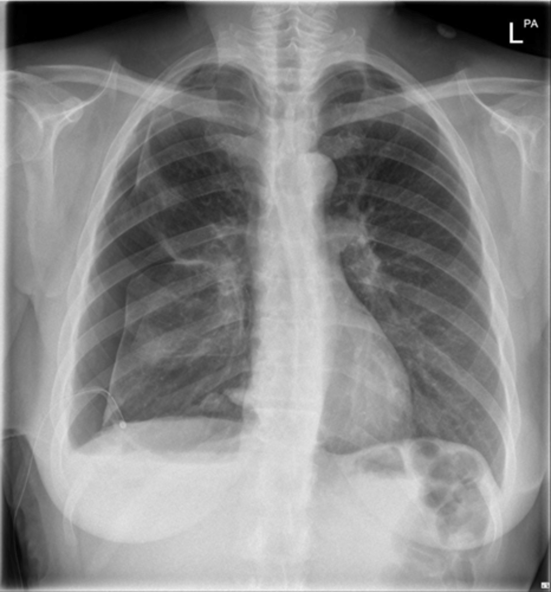
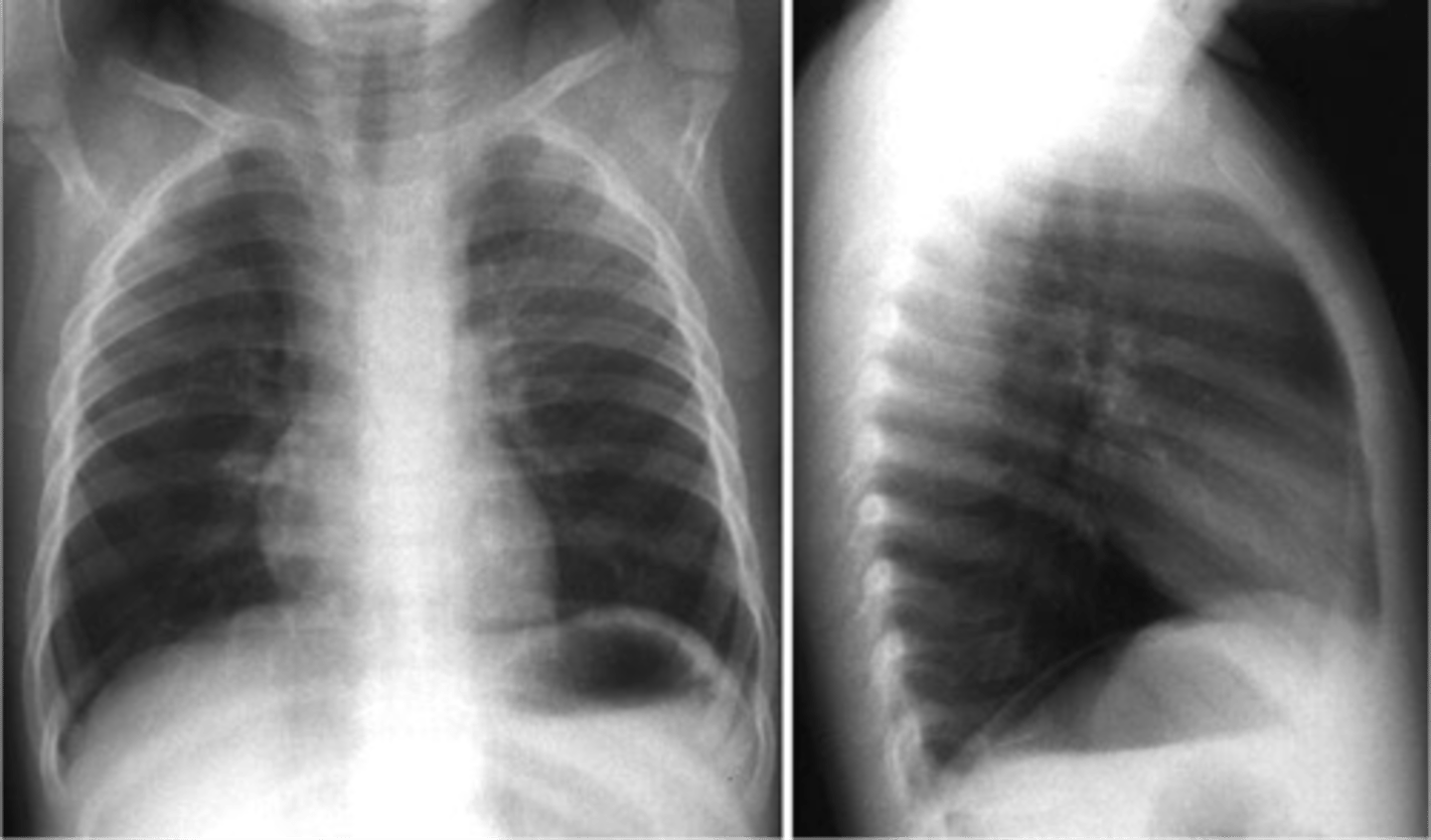
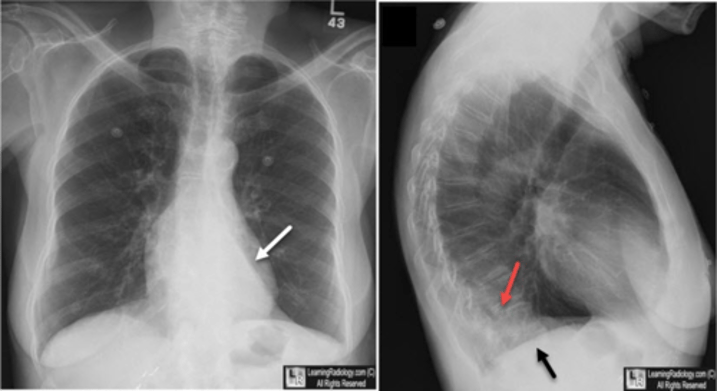
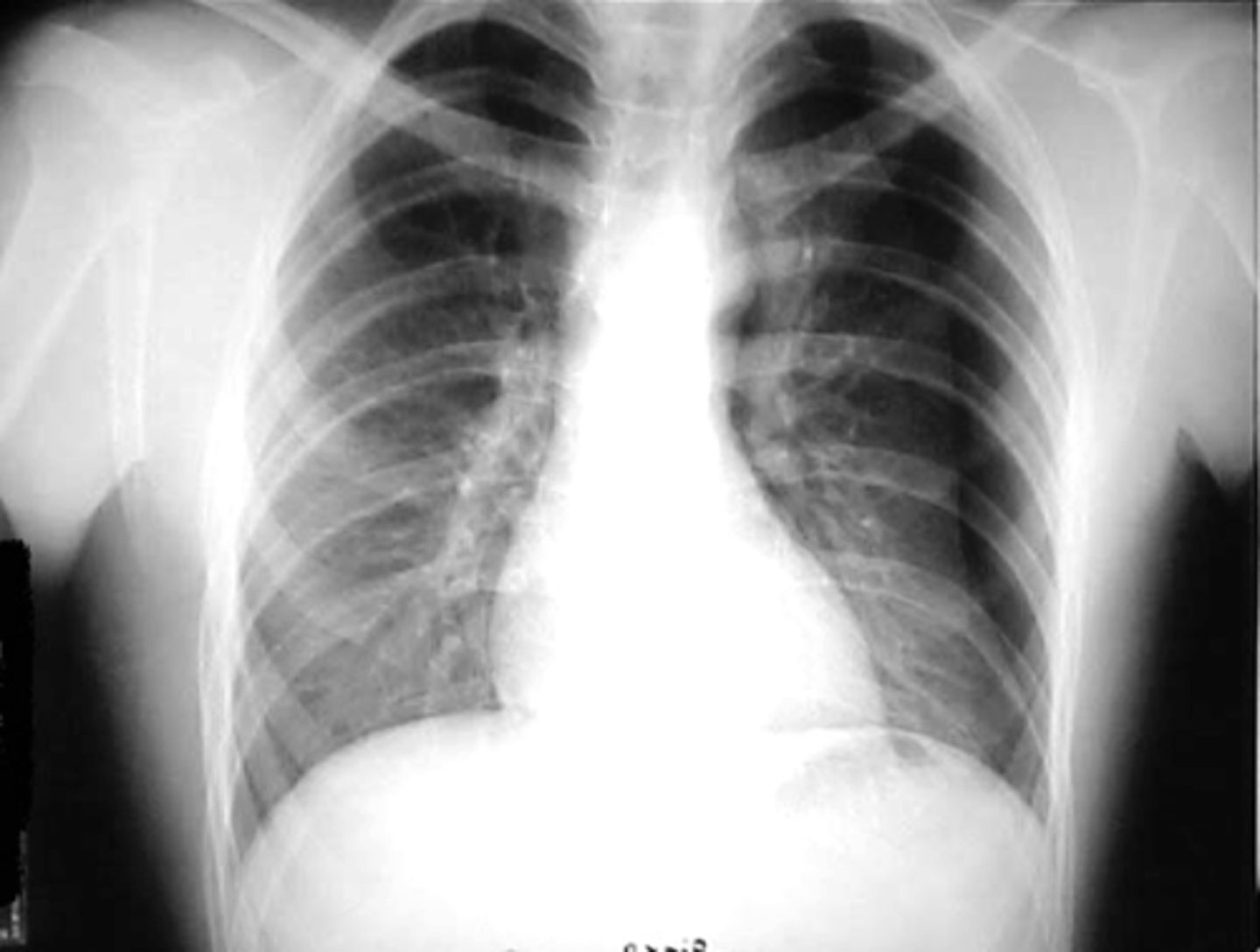
Air in the pleural space that causes collapse of the lung usually seen in the apices if pt is upright

Pneumothorax

20
New cards

Pneumothorax (apices)

knowt flashcard image
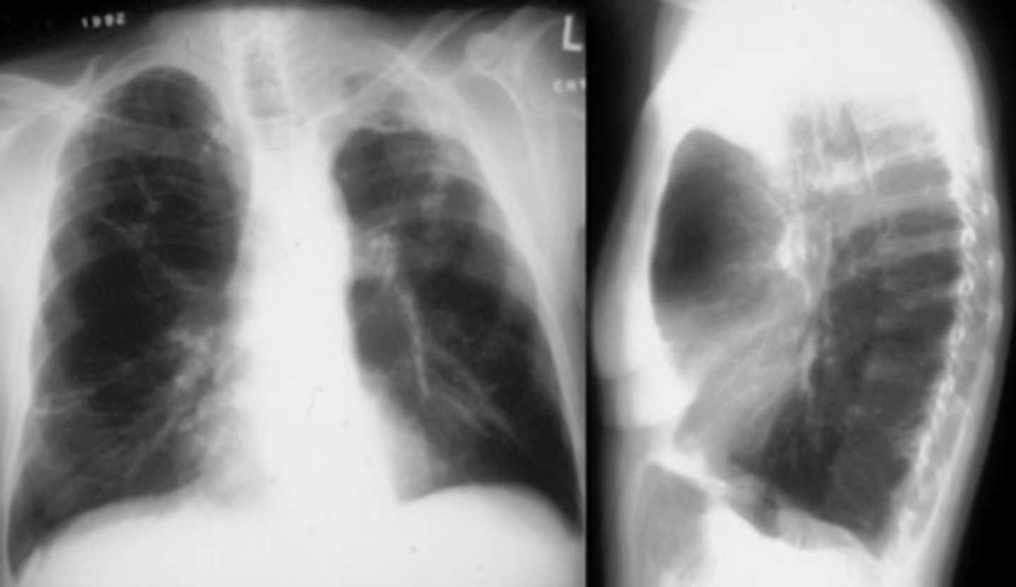
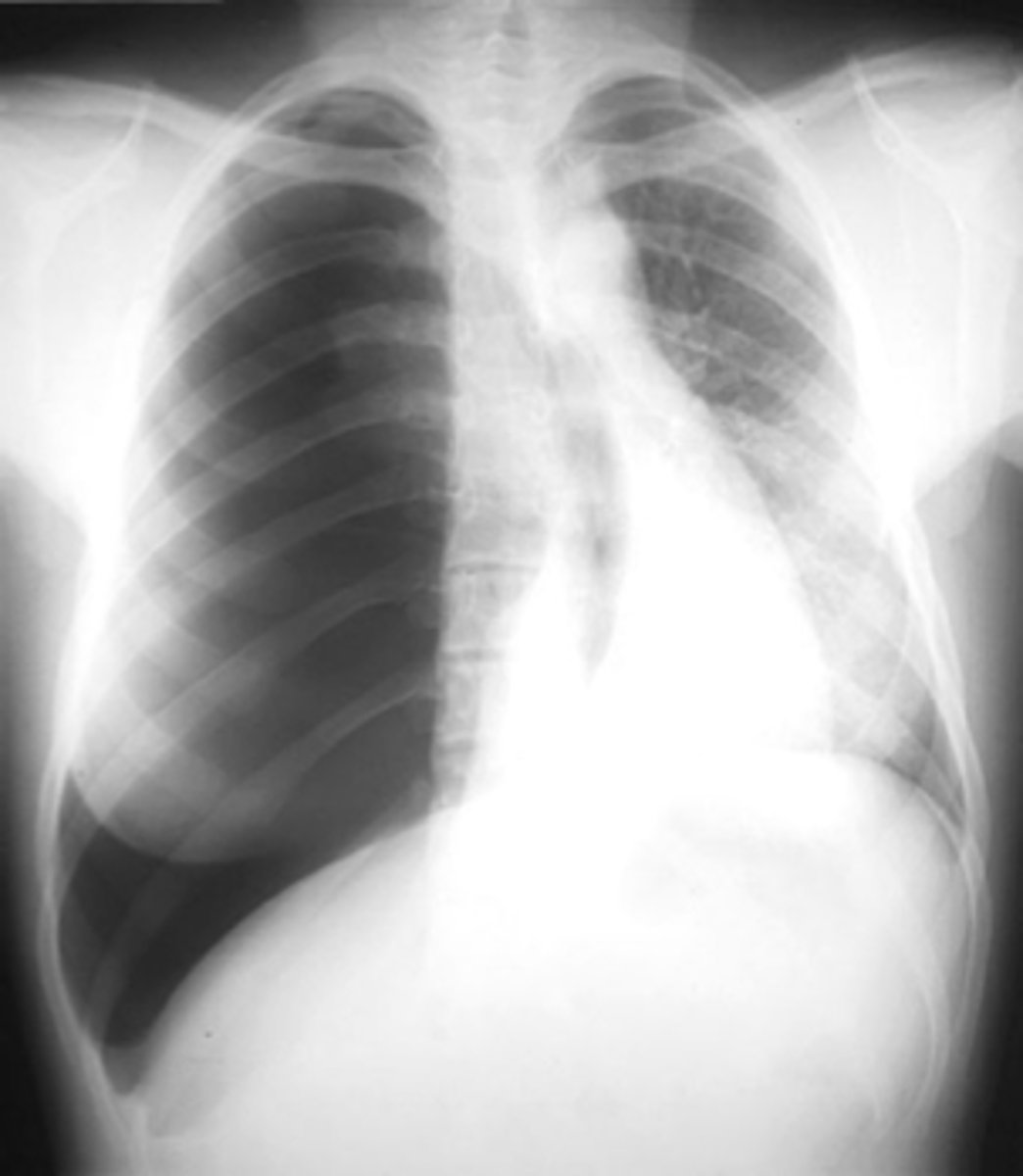
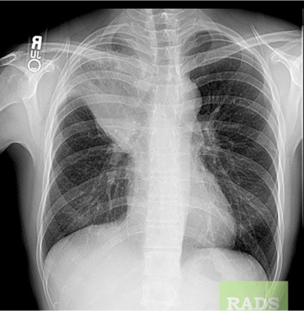
21
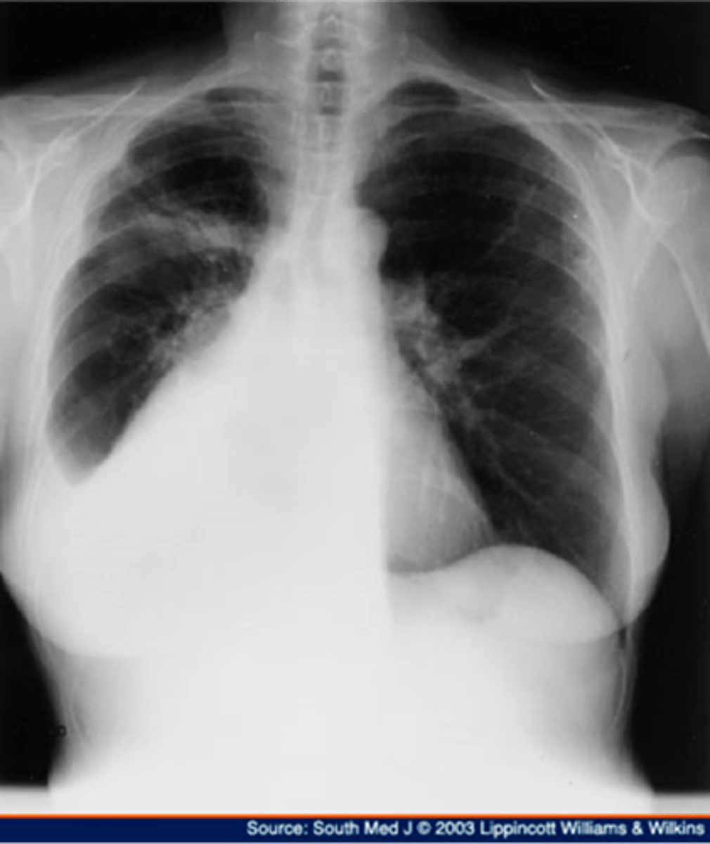
New cards

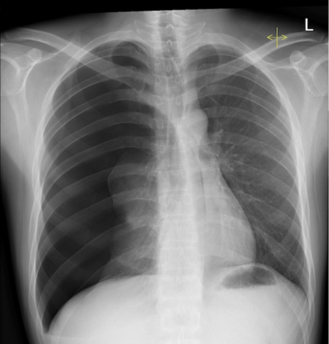
Pneumothorax (moderate, non tension)

knowt flashcard image
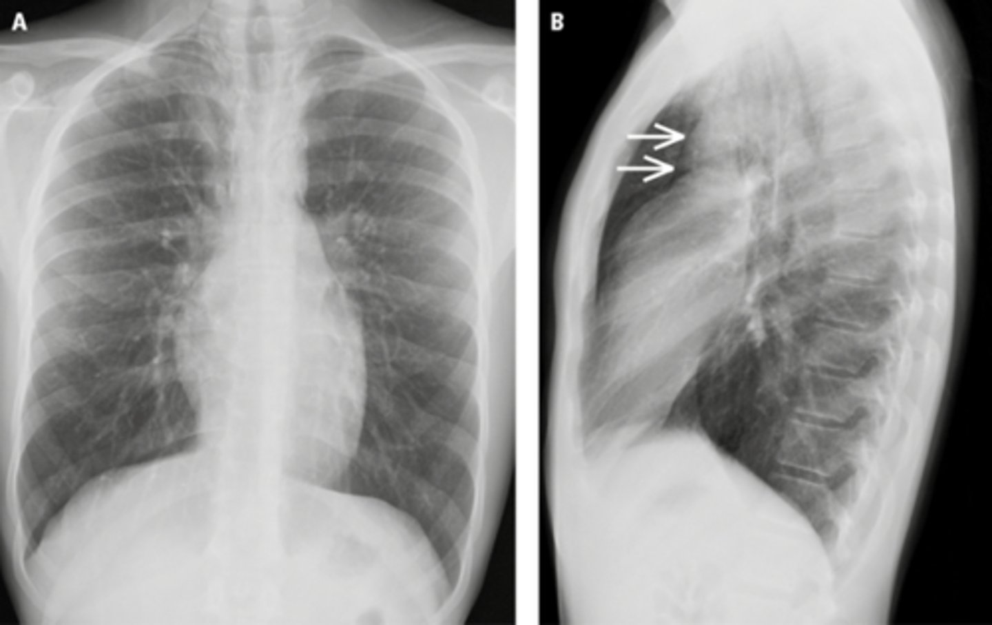
22
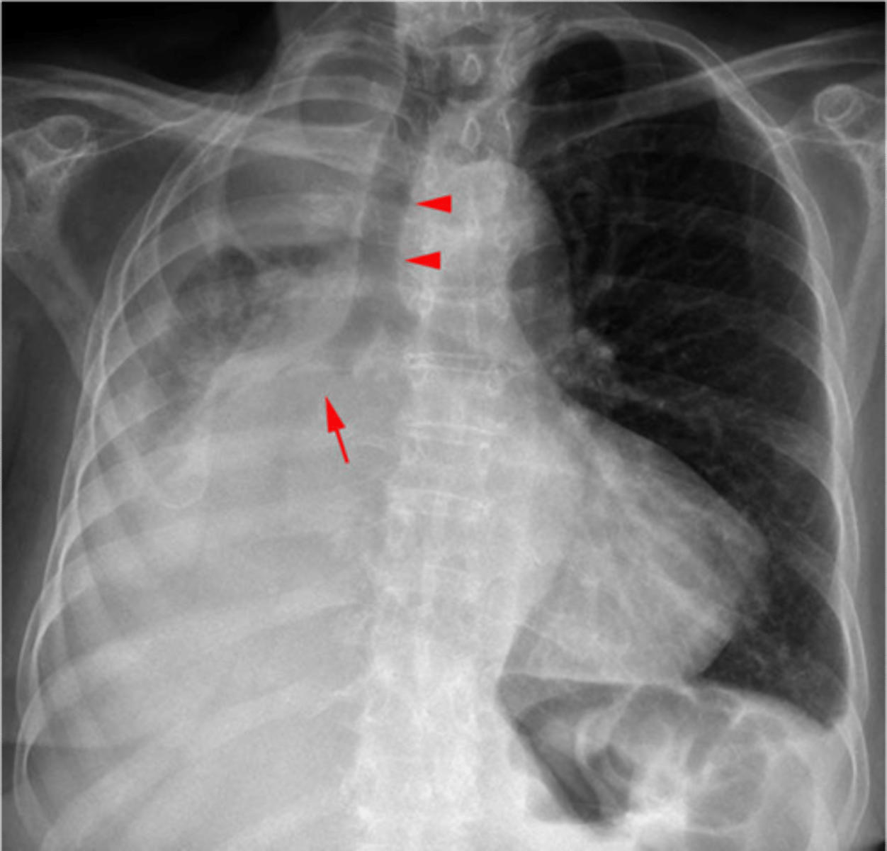
New cards

Tension pneumothorax

knowt flashcard image
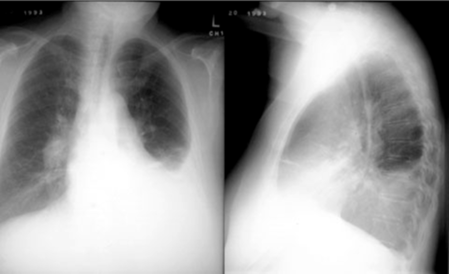
23
New cards

Hemopnuemothorax

knowt flashcard image
24
New cards

Pneumomediastinum (mediastinal emphysema)

knowt flashcard image
25
New cards

Pneumomediastinum

knowt flashcard image
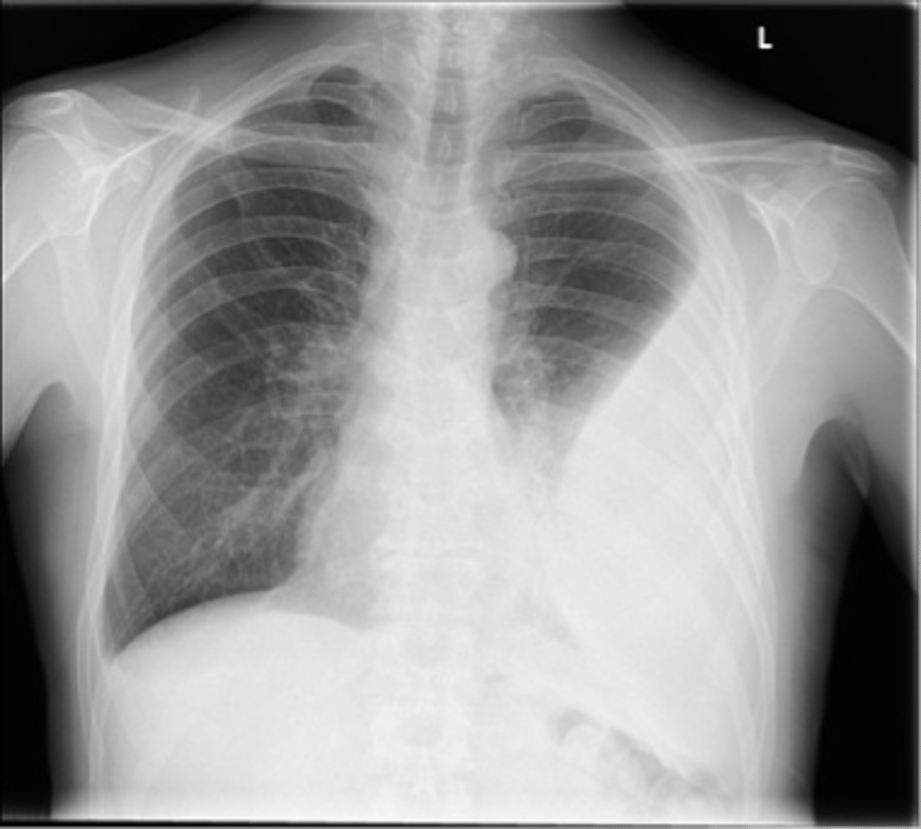
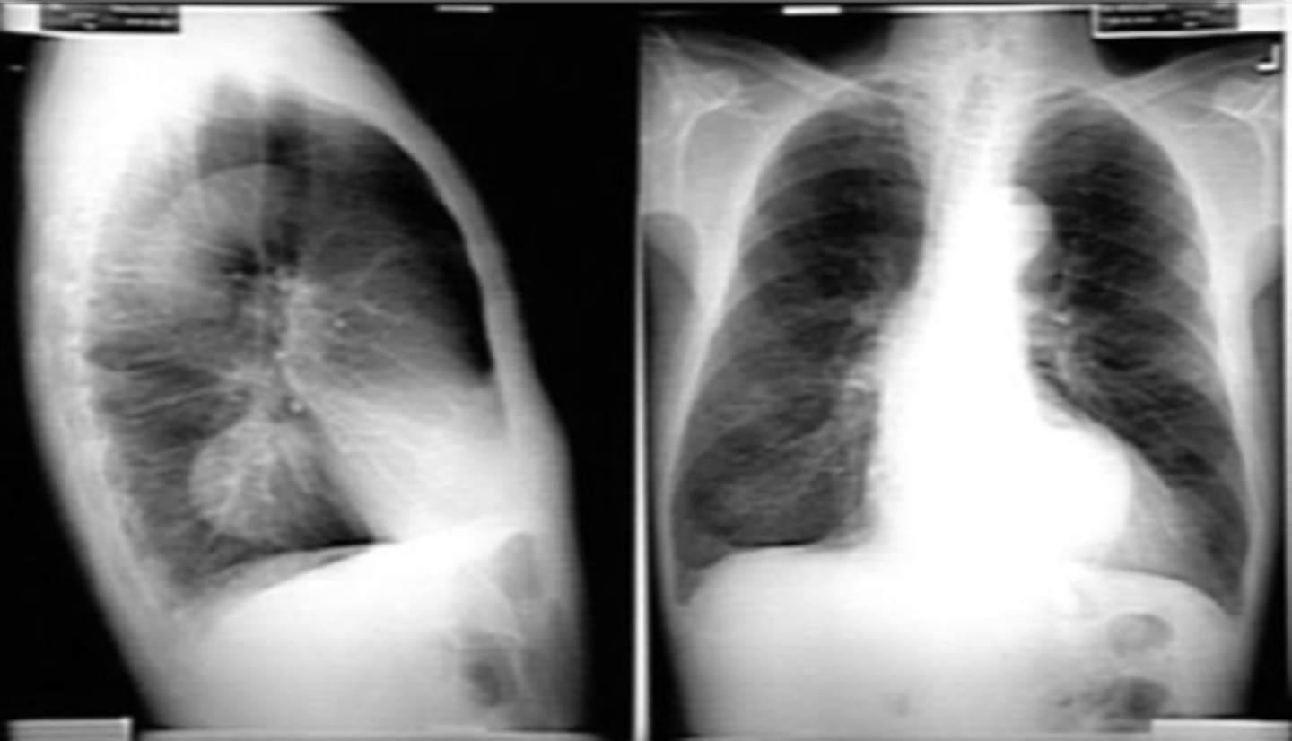
26
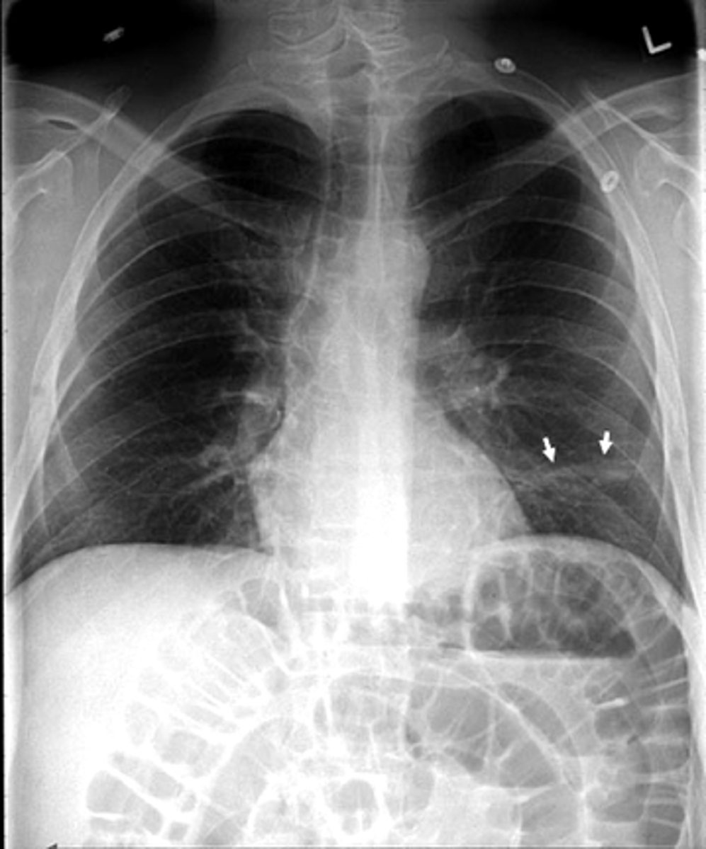
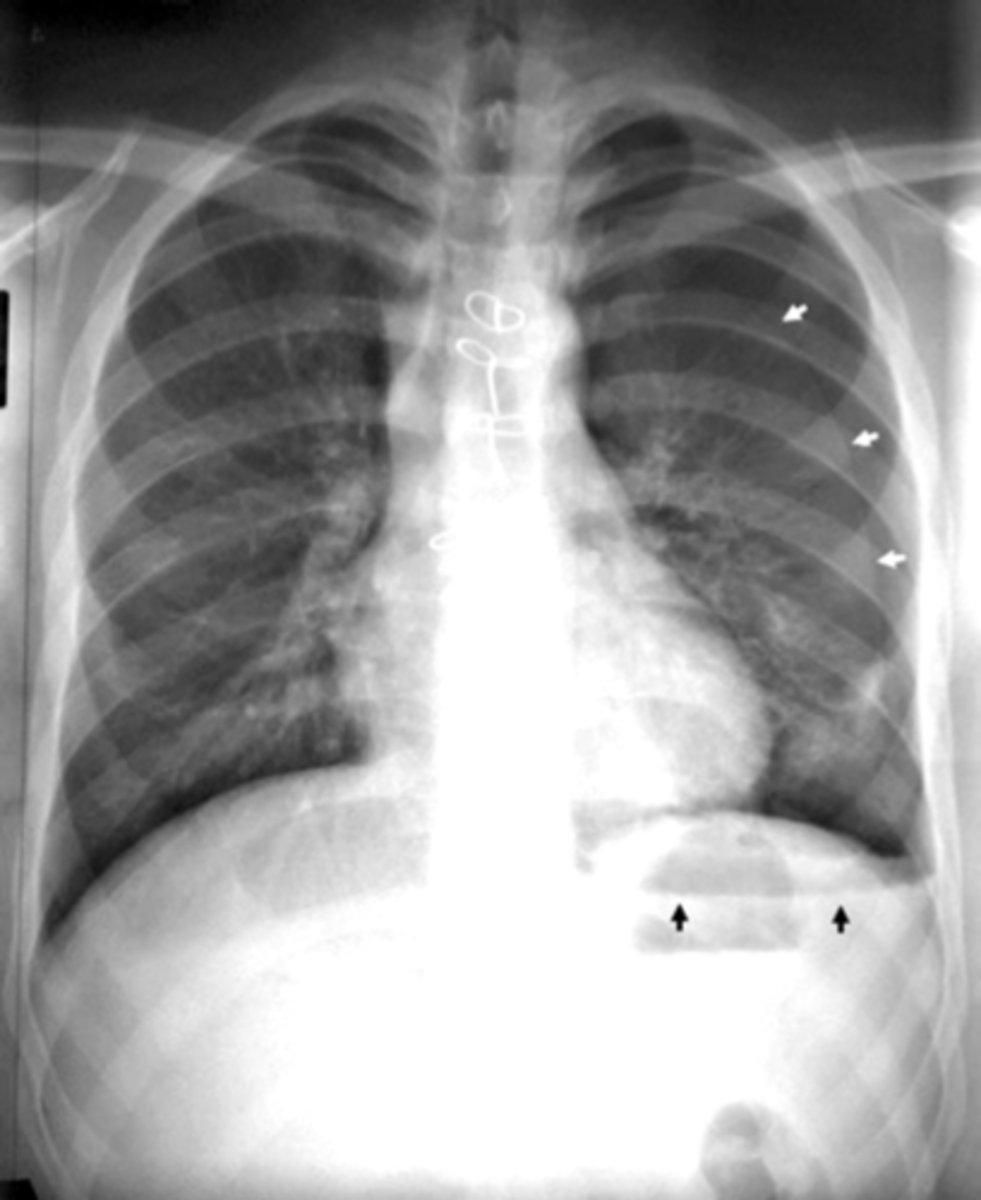
New cards

Pleural effusion

knowt flashcard image
27
New cards

Pleural effusion

knowt flashcard image
28
New cards

Pleural effusion (right sided)

knowt flashcard image
29
New cards

Empyema

knowt flashcard image
30
New cards

Empyema

knowt flashcard image
31
New cards

Pleural classifications and masses

knowt flashcard image
32
New cards

Diaphragmatic rupture

knowt flashcard image
33
New cards

Diaphragmatic rupture

knowt flashcard image
34
New cards

Diaphragmatic hernia

knowt flashcard image
35
New cards

congestive heart failure

knowt flashcard image
36
New cards

congestive heart failure

knowt flashcard image
37
New cards

Most common anterior mediastinal mass

Thymoma

38
New cards

Most frequent cause of a middle mediastinal mass

Enlarged lymph nodes

39
New cards

Middle mediastinal masses

knowt flashcard image
40
New cards

Posterior mediastinal masses

knowt flashcard image
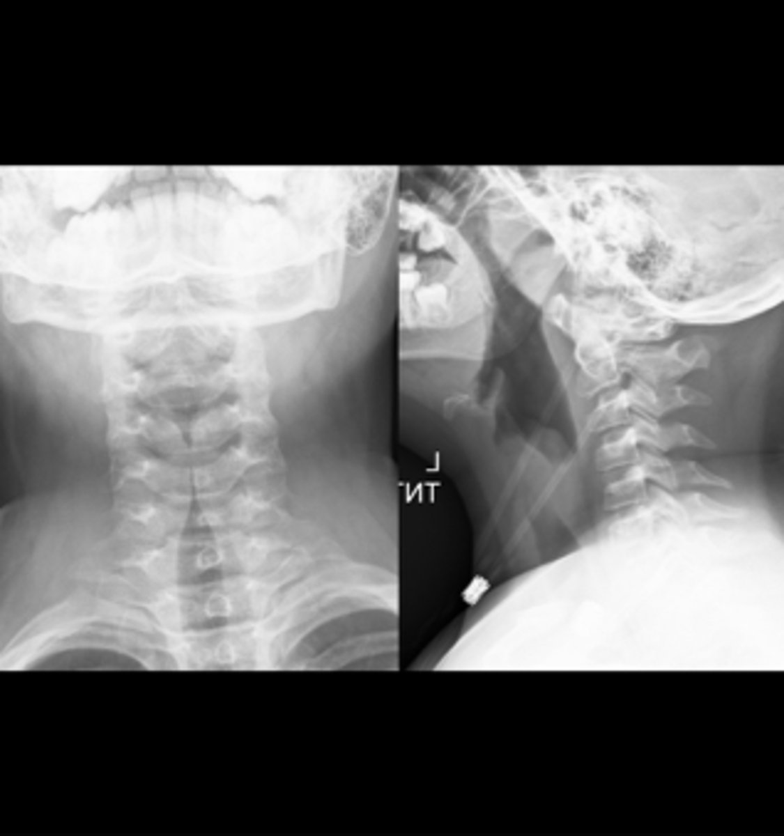
41
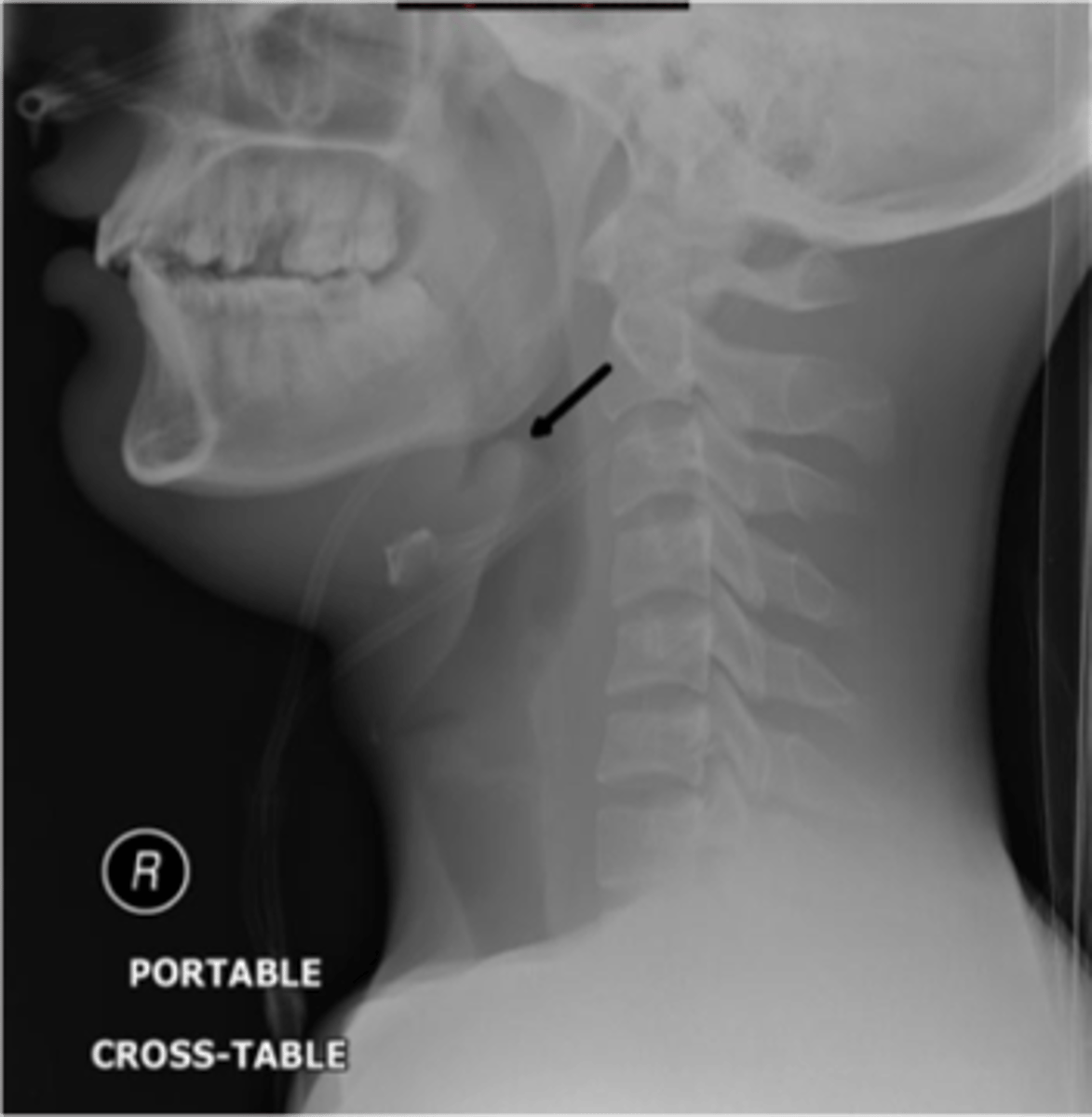
New cards

Epiglottitis (thumb sign)

knowt flashcard image
42
New cards

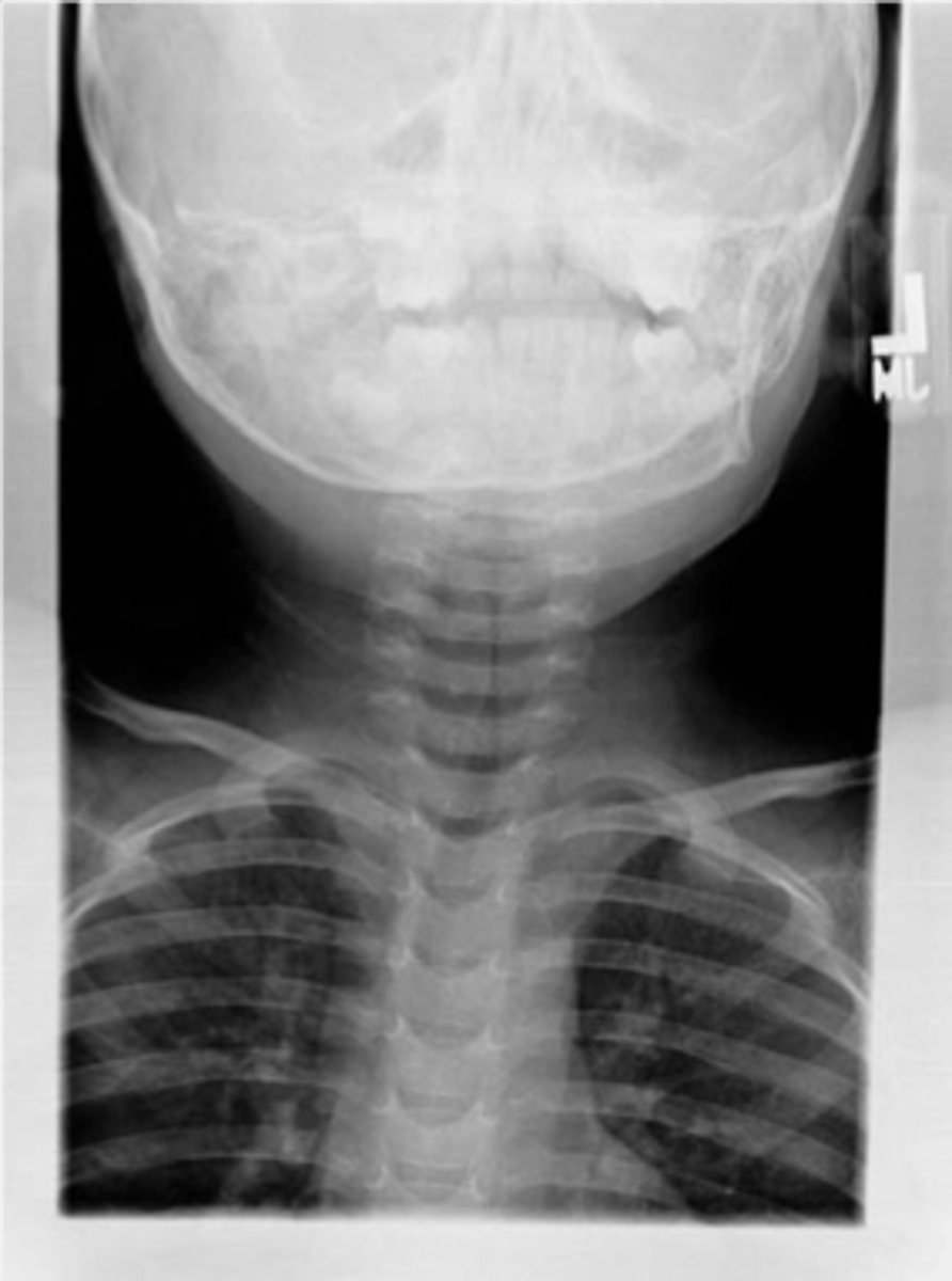
steeple sign (croup)

knowt flashcard image
43
New cards

steeple sign (croup)

knowt flashcard image
44
New cards

Croup

knowt flashcard image
45
New cards

Right sided atelectasis

knowt flashcard image
46
New cards

Right sided non tension pneumothorax

knowt flashcard image
47
New cards

Atelectasis (right)

knowt flashcard image
48
New cards

Bullae RUL

knowt flashcard image
49
New cards

Atelectasis LLL

knowt flashcard image
50
New cards

CHF - severe alveolar infiltrate

knowt flashcard image
51
New cards

Tension pneumothorax (right)

knowt flashcard image
52
New cards

Steeple sign- group

knowt flashcard image