1/22
Looks like no tags are added yet.
Name | Mastery | Learn | Test | Matching | Spaced |
|---|
No study sessions yet.

Acanthocephela

Amblyomma americanum

Anclystoma caninum

Ascaris lumbricoides (female)

Demodex folliculorum

Ixodes dammini

Necator americanum

Onchocerca volvulus

Loa Loa

Sarcoptes scabei

Strongyloides stercoralis

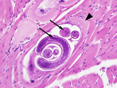
Trichinella spiralis

Trichuris trichiura

Ascaris lumbricoides (male)

(hint, teeth)
Anclystoma caninum

Enterobius vermicularis (male)

Enterobius vermicularis (female)

(hint: teeth)
Necator americanum

Trichuris trichiura egg

Enterobius vermicularis egg
What sex and 2 species are genital aperatures found on?
Females; Amblyomma americanum and Ixodes dammini
Name a key difference in the morphology between Amblyomma americanum and Ixodes dammini
Festoons
What is the single structure inside Strogyloides stercorlais?
Esophageal bulb