1/38
Looks like no tags are added yet.
Name | Mastery | Learn | Test | Matching | Spaced | Call with Kai |
|---|
No study sessions yet.
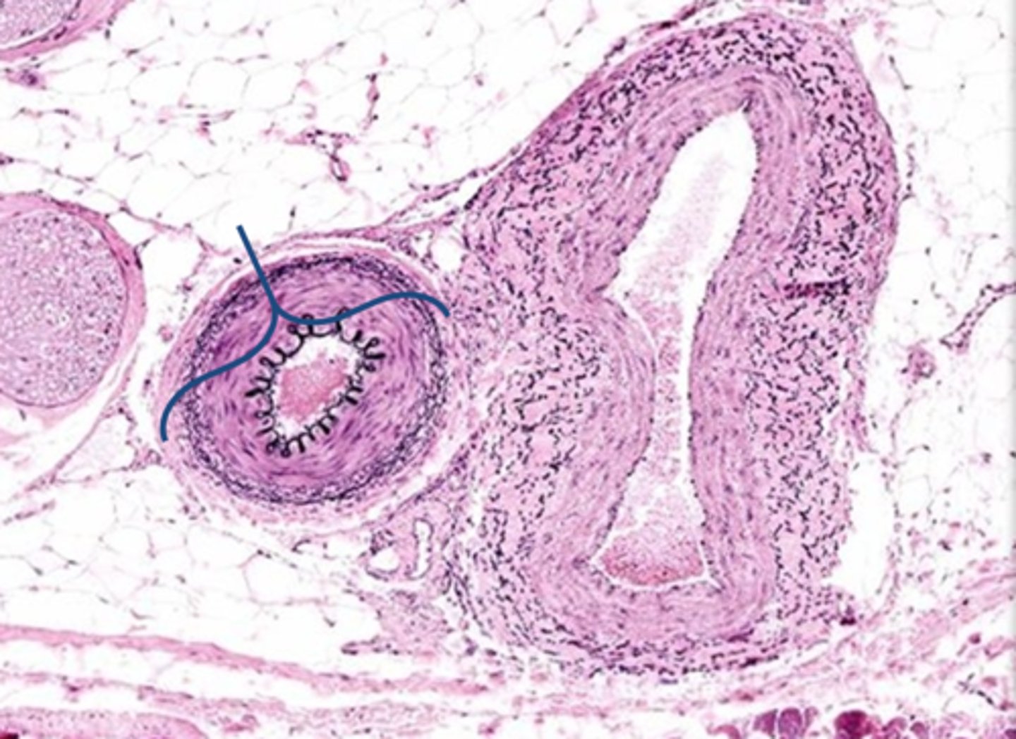
Artery
Is this an artery or a vein?

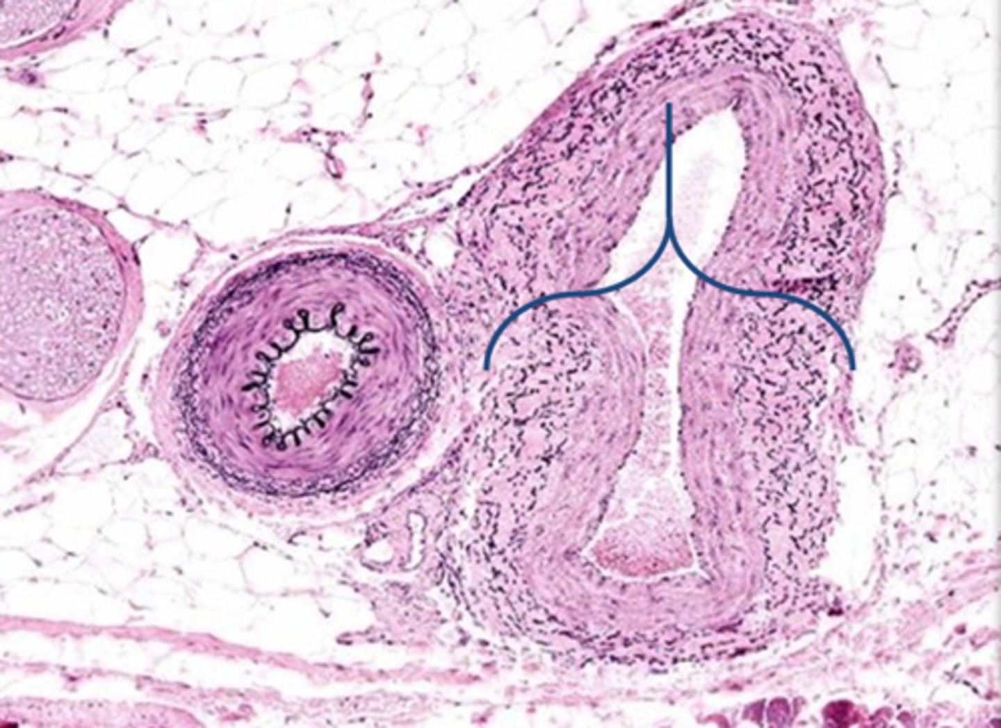
Vein
Is this an artery or a vein?

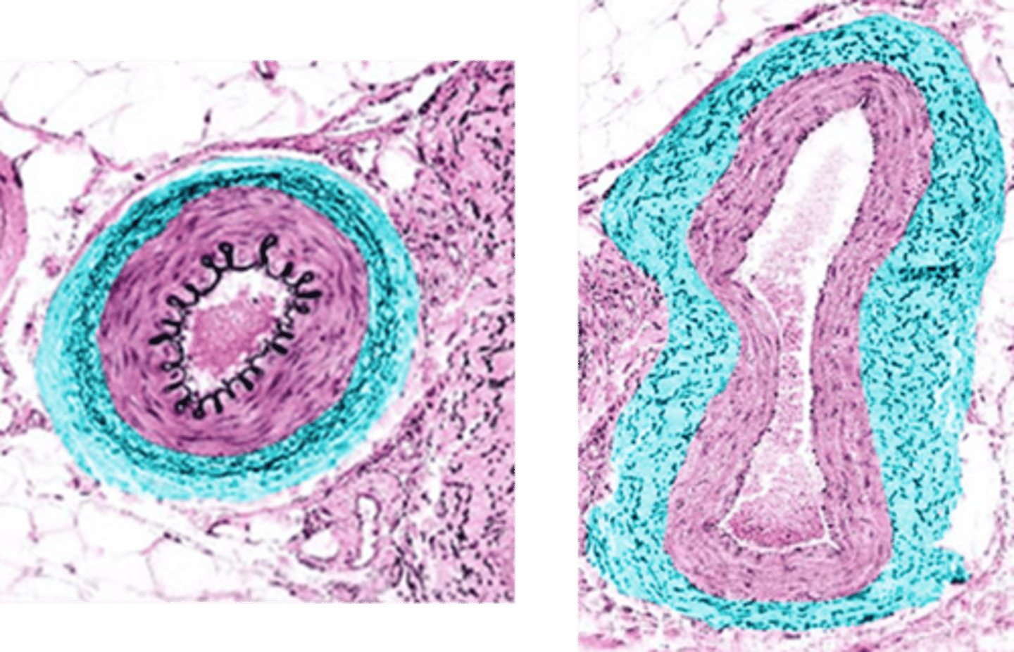
Tunica Externa
Identify this vessel layer.

Tunica Media
Identify this vessel layer.

Tunica Intima
Identify this vessel layer.

Right Coronary Artery
Name this specific vessel (include the side).

Ascending Aorta
Name this vessel and be specific to the part of the vessel that is highlighted.

Aortic Arch
Name this vessel and be specific as to which part is highlighted.

Brachiocephalic Trunk
Name this vessel.

Right Common Carotid Artery
Name this specific vessel (include the side).

Left Common Carotid Artery
Name this specific vessel (include the side).

External Carotid Artery
Name this specific vessel.

Internal Carotid Artery
Name this specific vessel.

Cerebral Arterial Circle
Identify this specific vessel network. This network is also called the Circle of Willis.

Right Subclavian Artery
Name this specific vessel (include the side).

Left Subclavian Artery
Name this specific vessel (include the side).

Vertebral Arteries
Name these vessels.

Axillary Artery
Name this vessel.

Brachial Artery
Name this vessel.

Radial Artery
Name this vessel.

Right Renal Artery
Name this specific vessel (include the side).

Ulnar Artery
Name this vessel.

Thoracic Aorta
Name this vessel and include what part it is.

Abdominal Aorta
Name this vessel and include what part it is.

Celiac Trunk
Name this structure.

Common Hepatic Artery
Name this vessel.

Left Gastric Artery
Name this vessel (include the side).

Splenic Artery
Name this vessel.

Superior Mesenteric Artery
Name this vessel.

Left Renal Artery
Name this vessel (include the side).

Gonadal Arteries
Name these vessels.

Inferior Mesenteric Artery
Name this vessel.

Common Iliac Arteries
Name these vessels.

Internal Iliac Artery
Name this vessel.

External Iliac Artery
Name this vessel.

Femoral Artery
Name this vessel.

Popliteal Artery
Name this vessel.

Posterior Tibial Artery
Name this vessel.

Anterior Tibial Artery
Name this vessel.
