1/304
Looks like no tags are added yet.
Name | Mastery | Learn | Test | Matching | Spaced | Call with Kai |
|---|
No analytics yet
Send a link to your students to track their progress
b. Vitamin D
In rabbits, consumption of diets high in which nutrient can result in calcification of soft tissues as depicted in the below picture:
a. Calcium
b. Vitamin D
c. Vitamin E
d. Vitamin A

A - M. nemestrina or pig-tailed macaque- also gene therapy and immunology studies)
B: M. arctoides or Stump-tailed macaque used for baldness and behavioral studies. C: M. fuscata or Japanese macaque used for malaria. D: M. radiate or Bonnet macaque used for Kyasanur Forest dz, repro biology, and nonalcoholic fatty liver dz.
Which of the following is utilized as a model in HIV research?

c) Low dissolved oxygen
2.The behavior pictured here indicates what in zebrafish?
a)Spawning
b)Territorial aggression
c)Low dissolved oxygen
d)Viral disease affecting the swim bladder

Exhaust air duct sampling โ media is placed onto a collar mounted in the exhaust manifold ( Pettan-Brewer et. al Mar 2020 (JAALAS) found this method to be 1.4 times more expensive compared to using swabs)
What activity is this picture showing?

Exhaust air duct sampling โ horizontal exhaust plena is being swabbed with a sticky swab (less expensive than media but may have a higher chance of false positive due to poor cleaning; also more technique driven)
What activity is this picture showing?

b)Buprenorphine
"dark discoloration of the gastrointestinal tissue near the site of injection, with marked colonic distension and fecal impaction" -Quantitative and Qualitative Behavioral Measurements to Assess Pain in Axolotls, Llaniguez et al, Mar 2020 JAALAS
1.The axolotl pictured on the right was likely given what drug? Image E & G are normal for comparison.
a)Butorphanol
b)Buprenorphine
c)MS222 (tricaine methanesulfonate)
d)100% Holtfreter's solution

c.FVB
All of these mice have retinal degeneration. CBA and C3H are Agouti colored, the SJL is blind by 2 weeks, and the Swiss is a stock.
This inbred strain of mouse is a model for retinal degeneration and will be blind at weaning
a.CBA/J
b.C3H
c.FVB
d.SJL
e.Swiss

e.Pentastomes
Upon necropsy of a recently acquired cynomologous macaque the following lesion was noticed. What is the etiology for this condition?
a.Strongyloidiasis
b.Nochtia nocti
c.Hydatid cyst
d.Cysticercosis
e.Pentastomes

B. Tribromoethanol
The item pictured here can be used in quality control testing of which of the following anesthetic agents?
A. Inactin
B. Tribromoethanol
C. Metomidate
D. Thiobutabarbital
E. Propofol

d. Streptococcus pneumoniae
What is the most common cause of this condition in Macaca mulatta?
a.Pasteurella multocida
b.Klebsiella pneumonia
c.Listeria monocytogenes
d.Streptococcus pneumoniae

A (pg 306 BB) deer mice: Peromyscus
*1.B is the grasshopper mouse: Onychomys is utilized for studies on predatory behavior, lyme disease, and effect of photoperiod and melatonin on seasonal gonadal cycles. C is the Kangaroo Rat: Dipodomys, used extensively in the study of renal physiology and water conservation, also used for disuse osteoporosis, evolutionary neuroanatomy, decompression sickness, climate change, and biosentinels for environmental contamination by mining operations. D is the wood rat: Neotoma: utilized in behavioral and neurological studies, also a reservoir for a variety of zoonotic disease agents.
Which of the following rodents is utilized for studies in genetics, physiology, aging, cataracts, and behavior?

b.Forced plate apparatus
What is this piece of equipment?
a.Scale
b.Forced plate apparatus
c.Metabolic cage
d.Panepinto sling

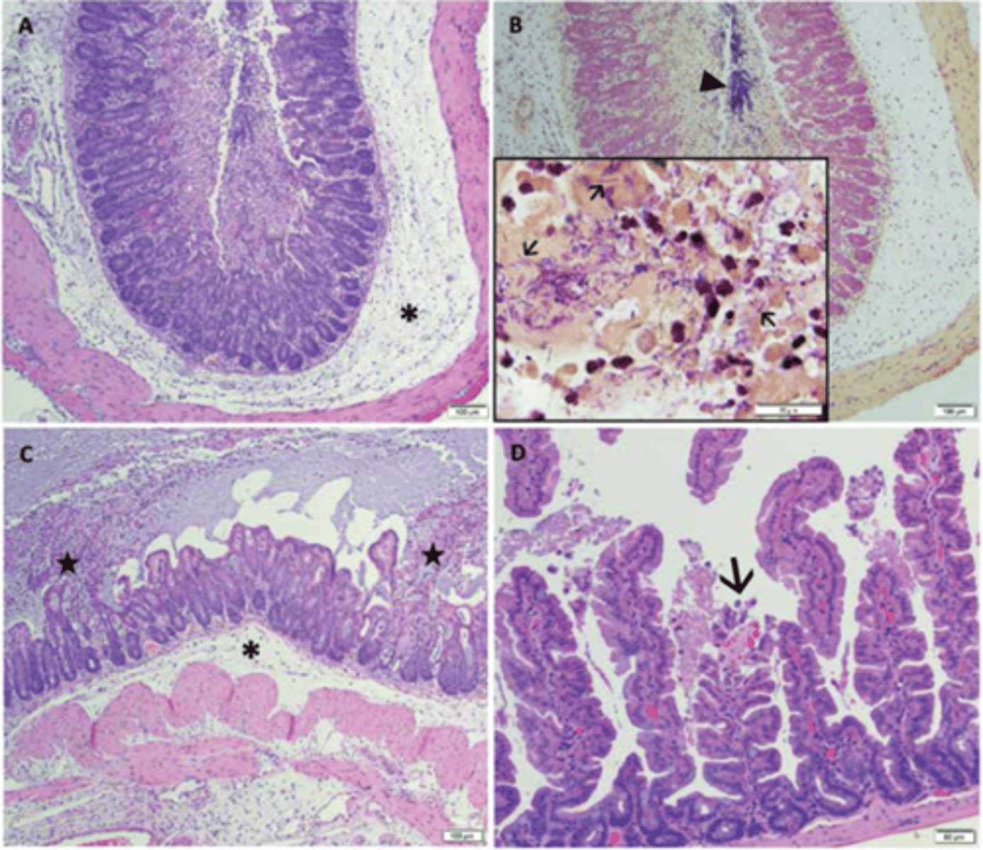
Volcano lesion - characterized by vertical neutrophilic exudation and sloughed off necrotic enterocytes through the damaged mucosa
*from article in Comp Med 2020, Outbreaks of Typhlocolitis Caused by Hypervirulent Group ST1 Clostridioides difficile in Highly Immunocompromised Strains of Mice - Ma, Kathleen G L et al
These images are histologic lesions consistent with Clostridiodies difficile in mice. What do the stars (not asterisk) represent in image C?

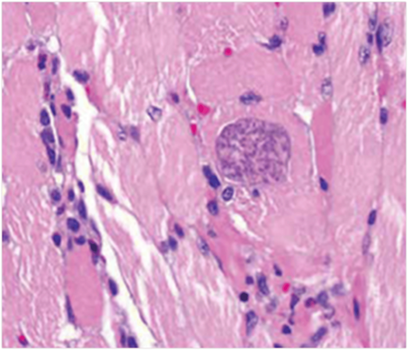
Sarcocystosis - Sarcocyst within myofiber with numerous internal crescen-shaped bradyzoites.
-Comp Med 2020, Sarcocystis Infection in Laboratory Rabbits, Serfilippi, Laurie M et al
This image shows histopathology on the tongue skeletal muscle. What lesion is seen here?

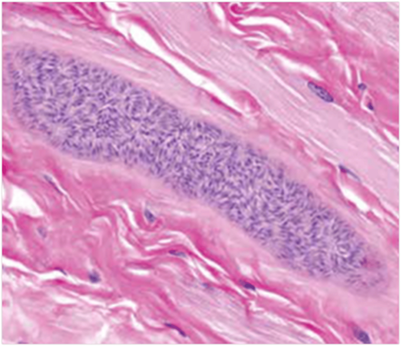
Sarcoystosis - note hyalinized wall, numerous internal crescent-shaped bradyzoites, lack of degeneration or inflammation in associated muscles fibers
-Comp Med 2020, Sarcocystis Infection in Laboratory Rabbits, Serfilippi, Laurie M et al
This image shows histopathology of the skeletal eyelid muscle. What lesion is seen here?

Answer:
1. A
2. B
3. C
(yes, they are in order)
Match
1. Proestrus
2. Estrus
3. Diestrus

Syphacia obvelata (mouse pinworm)
What parasite is this?

Syphacia obvelata (mouse pinworm)
What parasite is this?

D. C57BL/6
the other strains listed are considered highly susceptible. AKR and SJL are considered moderately susceptible
Which of the following strains of mouse are considered highly resistant to lethal mousepox (Ectromelia virus)?
A. BALB/c
B. DBA/2
C. C3H/He
D. C57BL/6

e.Maintaining UV sterilization in filtration system
This is a Pseudomoma neurophilia infection
Which method of sanitation is the most important means of preventing the spread of this organism throughout a fish facility?
a.Using an acid wash in a tunnel washer
b.Using an alkaline wash in a tunnel washer
c.Soaking tanks in 3.175 g/L sodium thiosulfate
d.Soaking tanks in 0.7% bleach
e.Maintaining UV sterilization in filtration system

A. Mycoplasma pulmonis (Murine respiratory mycoplasmosis)
(Cobblestone Lung)
Which pathogen causes the classic lesion seen in the photo (primarily seen in adult rats with endstage disease)?
A. Mycoplasma pulmonis (Murine respiratory mycoplasmosis)
B. CAR Bacillus
C. Pasteurella pneumotropica
D. Pseudomonas aeruginosa

B. Murine Adenovirus - 2
The image is the small intestines from a junvenile mouse demonstrating intranuclear inclusion bodies in enterocytes lineing the villi. This is pathognomonic for which viral infection and can be used to differentiate it from other known viral infections?
A. Mouse Hepatitis Virus
B. Murine Adenovirus - 2
C. Reovirus 3
D. Hanta Virus

C. 'Wet Tail'; Lawsonia intracellularis
The segmental thickening and congestion of the ileum pictured below is pathognomonic for what disease in hamsters?
A. Lymphoma
B. Tyzzers; Clostridium piliforme
C. 'Wet Tail'; Lawsonia intracellularis
D. Clostridium difficile enterotoxemi

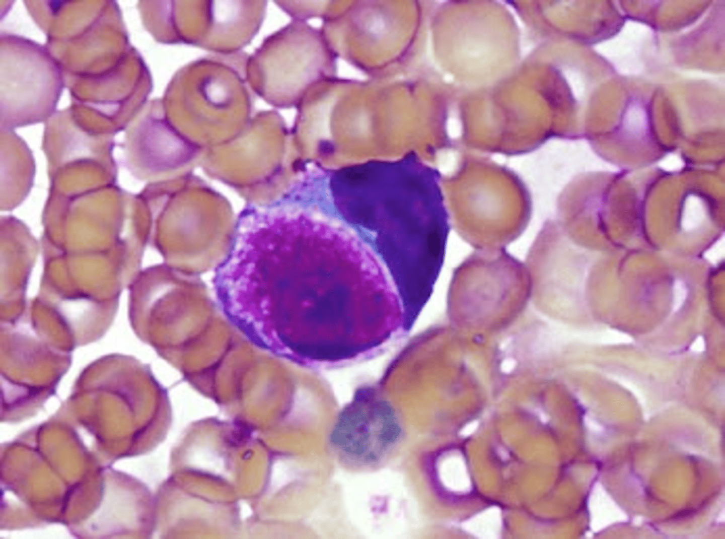
D. Foa-Kurloff cell, estradiol, Natural Killer cells
Peripheral blood smear from a guinea pig. What is the nucleated cell in the center of the image, what hormone is it influenced by, and what is it analogous to in other species?
A. Hofbauer cells, progesterone, plasma cells
B. Foa-Kurloff cell, testosterone, CD4 lymphocyte
C. Kupfer cells, corticosterone, heterophil
D. Foa-Kurloff cell, estradiol, Natural Killer cells

B. Chinchilla
This structure is found in guinea pigs and makes them obligate nasal breathers and hard to intubate. What other animal has this structure?
A. Rabbit
B. Chinchilla
C. Dog
D. Pig
E. Ferret

c. C57BL/6 and AKR
Which two mouse strains are the MOST resistant to the disease depicted?
a. DBA/2 and C3H
b. BALB/c and A
c. C57BL/6 and AKR
d. SJL and CBA

D. nude mouse
Which animal pictured may pose a special risk of harboring a silent chronic infection of LCMV and transmitting it to humans?

d. The disease is highly contagious
(disease is mousepox)
The electron micrograph on the right was prepared from a skin sample from the mouse on the left. Which statement is FALSE concerning the disease found in this mouse?
a. Natural exposure is thought to occur through skin abrasions
b. The etiologic agent is highly stable at room temperature
c. The mouse is the only known host
d. The disease is highly contagious
e. DBA, BALB/c, A, and C3H inbred mice are most susceptible to lethal infection

Amyloidosis
The kidneys on the left are normal hamster kidneys. What do the kidneys on the right represent a classical appearance of ?

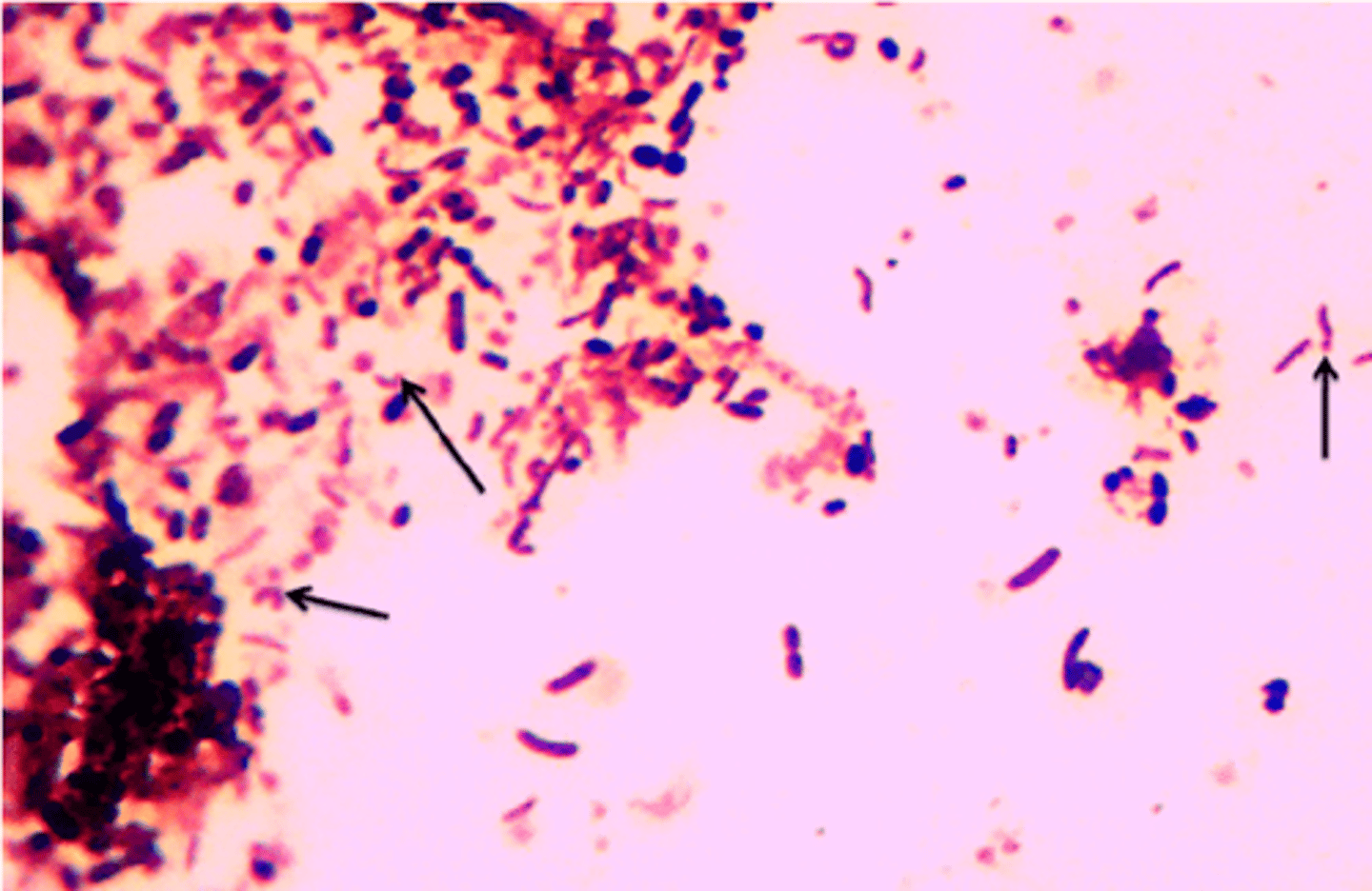
C. Campylobacter jejuni
Gram staining of fecal smear bacteria showing this characteristic "gull-winged rods" would lead to suspicion of which causitive agent?
A. Leptospira serovar Icterohemmorhagiae
B. Listeria monocytogenes
C. Campylobacter jejuni
D. Helicobacter pylori

E. Wilson's Disease
(Copper storage disease, breed is Bedlington Terrier)
This breed is often used as a model to research what human disease?
A. Cyclic hematopoiesis
B. Duchenne Muscular Dystrophy
C. Diabetese Insipidus
D. Narcolepsy
E. Wilson's Disease

B and D
(PHS doesn't cover embryos, horseshoe crab reg by AWA)
Which are regulated by PHS?

D (dead)
AWA covers all
Which one is covered by AWA but NOT PHS?

All!
AWA covers the Chinese hamster (C)
Which ones are regulated by PHS?

Elevated nitrogen and Phosphorus, algae growth encouraged by light
What is the problem?

Nitrites and ammonia
What is the most toxic in this pathway?

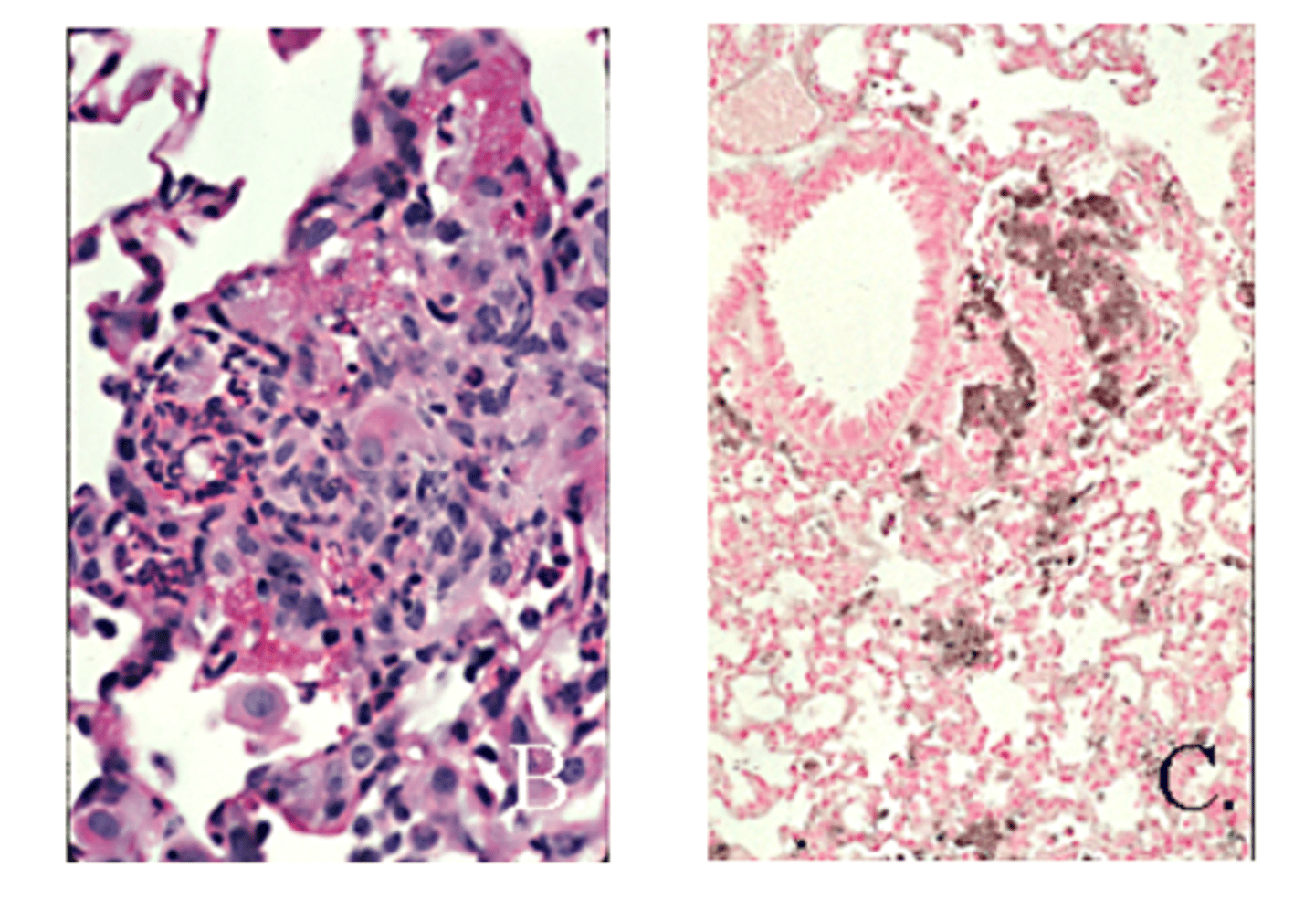
Pneuomocystis murina
The lungs pictured are pale, fleshy (rubbery) and fail to collapse. What is the likely etiologic agent?

Pneuomocystis murina
(Histologically, interstitial pneumonia is accompanied by histiocytic alveolitis, with alveoli filled with eosinophilic foamy material that may contain some degenerated macrophages or few neutrophils (B.). PAS and Giemsa stains are needed to visualize the trophozoite stages, and a silver stain is used to demonstrate the argyrophilic cysts (C.).)
Histolopathololgy on the lungs of a mouse is returned with interstitial alveolitis with thickening of alveolar septa from proteinaceous exudate. What is the likely cause?

Top: Sphyacia obvelata: round esophageal bulb
Bottom: Aspiculuris tetraptera: oval esophageal bulb
What parasite is pictured above? Below ("B") ?

Fur mites
What condition is this?

Myocoptes musculinus
(Note "boxing gloves")
What is this?

Myobia musculi
tarsal claws equal length
What is this?

Radfordia affinis
2 tarsal claws of unequal length
What is this?

C. No, PHS requires inspections of all facilities where animals are housed for more than 24 hours
If this animal shown in the picture is housed in a laboratory for 16 hours. Does the laboratory need to be inspected during IACUC semi-annual inspections, and why or why not?
A. Yes, PHS requires inspections of all facilities where animals are housed for more than 12 hours
B. No, USDA requires inspections of facilities where animals are kept for more than 12 hours
C. No, PHS requires inspections of all facilities where animals are housed for more than 24 hours
D. No since the animal is not covered by the PHS Policy

B. The organism responsible has a life cycle that can be completed in 23 days
Which of the following is TRUE about the most clinically significant organism that causes this appearance in a mouse?
A. The organism responsible can cause keratotic cysts that are noted on histopathological examination of the skin
B. The organism responsible has a life cycle that can be completed in 23 days
C. The organism responsible is the most common ectoparasite of the laboratory mouse.
D. The organism responsible is thought to feed on skin secretions, interstitial fluid, and blood.

D. Methenamine silver stain
An immunodeficient mouse is noted to have poorly collapsing lungs on necropsy. On histopathology the following image is noted. What additional staining method should be utilized to identify the etiologic agent?
A. Romanowsky stain
B. Geimsa stain
C. Acid Fast stain
D. Methenamine silver stain

C. ๐๐ช๐ต๐ณ๐ฐ๐ฃ๐ข๐ค๐ต๐ฆ๐ณ ๐ณ๐ฐ๐ฅ๐ฆ๐ฏ๐ต๐ช๐ถ๐ฎ
A mouse presents with rectal prolapse. A necropsy was performed. The colon from the necropsied mouse is on the left and compared with a normal mouse on the right. What is the most likely cause?
A. ๐๐ฆ๐ญ๐ช๐ค๐ฐ๐ฃ๐ข๐ค๐ต๐ฆ๐ณ ๐ฃ๐ช๐ญ๐ช๐ด
B. ๐๐ข๐ญ๐ฎ๐ฐ๐ฏ๐ฆ๐ญ๐ญ๐ข ๐๐บ๐ฑ๐ฉ๐ช๐ฎ๐ถ๐ณ๐ช๐ถ๐ฎ
C. ๐๐ช๐ต๐ณ๐ฐ๐ฃ๐ข๐ค๐ต๐ฆ๐ณ ๐ณ๐ฐ๐ฅ๐ฆ๐ฏ๐ต๐ช๐ถ๐ฎ
D. ๐๐บ๐ฑ๐ฉ๐ข๐ค๐ช๐ข ๐ฐ๐ฃ๐ท๐ฆ๐ญ๐ข๐ต๐ข
E. ๐๐ต๐ณ๐ฆ๐ฑ๐ต๐ฐ๐ฃ๐ข๐ค๐ช๐ญ๐ญ๐ถ๐ด ๐ฎ๐ฐ๐ฏ๐ช๐ญ๐ช๐ง๐ฐ๐ณ๐ฎ๐ช๐ด

D. palatal ostium
The image depicts which of the following special anatomical characteristics of the chinchilla?
A. double cervix
B. freely moveable conductive apparatus
C. thin-walled tympanic bullae
D. palatal ostium
E. prominent urethral papilla

b.Emergency shut off cable
a.Emergency door release
b.Emergency shut off cable
c.Trip wire to alert operator that equipment is contacting sprayer arms
d.Cable to turn on interior light

a.Between 130 and 325 lux in the room at cage level
According to the Guide for the Care and Use of Laboratory Animals, 8th edition, what is the recommended light level for this animal?
a.Between 130 and 325 lux in the room at cage level
b.Between 325 and 425 lux in the room at cage level
c.Between 130 and 425 lux in the room at cage level
d.Light levels are not measured at cage level.

D. Ichthyophthirius multifilis
("Ich", Life stage is trophont)
What is the most likely agent?
A. Ichthyobodo necatrix
B. Gryodactylus
C. Erysipelothrix rhusiopathiae
D. Ichthyophthirius multifilis
(BONUS: What life stage is on the left??)

A. Complete eradication of fish and disinfection of the system
(This is Mycobacteria)
Your colony of zebrafish is experiencing sudden high mortality, with some showing coelomic distension. Histopathology shows organisms that stains positive with Ziehl-Neelson stain. What is the best course of action?
A. Complete eradication of fish and disinfection of the system
B. Remove stressors and administer oxytetracycline into the system
C. Prolonged immersion in copper sulfate
D. UV sterilization
E. Salt-water immersion at >3 ppt

C. 1 = Ammonia, 2 = Nitrosomonas ssp, 3 = Nitrite, 4 = Nitrobacter spp, 5 = Nitrate
Choose the option that correctly describes the steps of the nitrogen cycle:
A. 1 = Ammonia, 2 = Nitrosomonas spp, 3 = Nitrate, 4 = Nitrobacter spp, 5 = Nitrite
B. 1 = Ammonia, 2 = Nitrobacter spp, 3 = Nitrate, 4 = Nitrospira spp, 5 = Nitrite
C. 1 = Ammonia, 2 = Nitrosomonas ssp, 3 = Nitrite, 4 = Nitrobacter spp, 5 = Nitrate
D. 1 = Ammonia, 2 = Nitrospira spp, 3 = Nitrite, 4 = Nitrosomonas spp, 5 = Nitrate

C. Linguofacial vein
This picture shows routine blood collection from a woodchuck (Marmota monax) in what location?
A. Jugular vein
B. Carotid artery
C. Linguofacial vein
D. Transverse cervical vein

D. wash all with warm water and move to a poultry incubator
(This image shows a variety of normal Japanese Quail eggs)
The below eggs were all laid in the hatchery the same evening. What do you need to do at collection?
A. Wash all with 2 ppm chlorine and warm water
B. Weigh and discard any eggs <8 gms
C. discard the all white one, as it is was likely not fertilized
D. wash all with warm water and move to a poultry incubator

B.This is most likely an adult male mouse
(Tissue is submaxillary salivary gland. Note the columnar epithelium with basal nuclei surrounding the intercalated tubules)
An investigator has requested assistance in identifying the gender of this 1-year old mouse based solely on histoanalysis of this specific tissue. The tissue reflects columnar epithelium with basal nuclei. Which statement is correct?
A.There are no gender differences in mice with this tissue so a distinction cannot be made
B.This is most likely an adult male mouse
C.This is most likely an adult female mouse
D.The PI is mistaken regarding the age of the animal; this is most likely a male mouse less than 28-days old

a. Femoral vein
What is one commonly used blood collection site in the pig, as demonstrated in this image?
a. Femoral vein
b. Gracilis vein
c. Internal iliac vein
d. Medial saphenous vein

a.Metastasize to the brain
(This is - Streptococcus equi zooepidemicus)
The causative agent of this disease is not known to do which of the following?
a.Metastasize to the brain
b.Cause focal hepatitis
c.Present with enlarged cervical lymph nodes as the only clinical sign
d.Present with torticollis, nasal or ocular discharge

E. None of the above
The diagram represents which type of Biosafety Cabinet?
A. Class I
B. Class II, A1
C. Class II, A2
D. Class II, B1
E. None of the above

D. The cabinet shown is a Class II Type A1 BSC, which is not safe to use when hazardous chemicals or toxic gases are used under the hood.
You are helping to purchase new equipment for a new BSL-3 laboratory. The lead technician you are working with presents you with a picture of this diagram for a Biosafety Cabinet (BSC) workstation where the investigators plan to mix and add various carcinogens to the cultures prior to incubation. Your recommendation is:
A. This is an adequate cabinet for this type of work, however it can be enhanced if the exhaust is hard ducted to the building exhaust.
B. The cabinet shown is a Class II Type A1 BSC, and provides adequate protection against volatile or hazardous chemicals.
C. The cabinet shown is a Class II Type B1 BSC, and provides adequate protection against volatile or hazardous chemicals.
D. The cabinet shown is a Class II Type A1 BSC, which is not safe to use when hazardous chemicals or toxic gases are used under the hood.

d)4
Hantavirus (Hemorrhagic Fever with renal Syndrome and Nephropathia Endemica)
ABSL 2 for rodent species know NOT to excrete the virus.
ABSL 4 for all permissive species (Peromyscus maniculatus) deer mouse
If injecting this virus into this species, what ABSL precautions should be taken?
a)1
b)2
c)3
d)4
e)5

b. A parapox virus (orf)
The fingers of these goat farmers are infected with what organism?
a. An orthopox virus
b. A parapox virus (orf)
c. Tanapox virus
d. Monkeypox virus
f. Mycobacterium marinum

D. ABSL-3
Which facility biosafety level should be used for the experimentally infected animal in the image?
A. none
B. ABSL-1
C. ABSL-2
D. ABSL-3
E. ABSL-4

Class II A1
How do I tell? HEPA filtered Air coming down = Class II
Not hard ducted = A; Blower at the bottom =A1
Also positive air plenum is NOT surrounded by negative air plenum = A1 (vs. A2)
โ
** NO volatile chemicals or radionuclides!*
What type of BSC is this?

Class I BSC - rodent cage changing
NO PRODUCT PROTECTION (because air coming down isn't HEPA filtered)
What type of BSC is this?

Class II B2
How can I tell? Hard ducted and 100% of air exhausted, also blower at the top
What type of BSC is this?

Class III
Don't need PPS if using this in BSL-4
What type of BSC is this?

Class II B1
What type of BSC is this?

Class II A2
All positive pressure plenums surrounded by neg pressure plenums
What type of BSC is this?

Trick question!
This is a vertical laminar flow bench NOT A BSC!!! Air should never blow in your face!
What type of BSC is this?

A. National Science Foundation (NSF)
This piece of PPE is certified to perform appropriately by Standard 49 established by which of the following?
A. National Science Foundation (NSF)
B. American Conference of Governmental Industrial Hygienists (ACGIH)
C. National Institute for Occupational Safety and Health (NIOSH)
D. Occupational Safety and Health Administration (OSHA)
E. American Society of Mechanical Engineers (ASME)

A. Between the 5th and 9th backcrosses (N5-N9) these mice are properly termed incipient congenic strains
The graph pictured here represents the effects of backcrossing on heterozygosity and homozygosity in mice. Which statement is true concerning backcrossing?
A. Between the 5th and 9th backcrosses (N5-N9) these mice are properly termed incipient congenic strains
B. Like inbred mouse strains, congenic mouse strains take 20 generations to become homozygous
C. Speed congenics can produce homozygous congenic strains in as little as 5generations through the use phenotypic characteristics (i.e. coat color) to select breeding mice
D. The nomenclature B6;Cg-Ay/J describes a congenic mouse strain that has gone through at least 10 backcrosses (>10N)

C. C
According to National Institute for Occupational Safety and Health (NIOSH), which of the following images represents the most effective step in reducing waste anesthetic gas?
A. A
B. B
C. C
D. D
E. E

C. 12
According to the USDA Animal Welfare Regulations, how many adult, non-conditioned animals of the species shown may be housed in the same primary enclosure?
A. 6
B. 8
C. 12
D. 16
E. 24

B. ๐๐บ๐ฑ๐ฉ๐ข๐ค๐ช๐ข ๐ฐ๐ฃ๐ท๐ฆ๐ญ๐ข๐ต๐ข
Which rodent parasite egg CANNOT easily be diagnosed by the means illustrated in the picture?
A. ๐๐ฐ๐ฅ๐ฆ๐ฏ๐ต๐ฐ๐ญ๐ฆ๐ฑ๐ช๐ด ๐ฏ๐ข๐ฏ๐ข
B. ๐๐บ๐ฑ๐ฉ๐ข๐ค๐ช๐ข ๐ฐ๐ฃ๐ท๐ฆ๐ญ๐ข๐ต๐ข
C. ๐๐ด๐ฑ๐ช๐ค๐ถ๐ญ๐ถ๐ณ๐ช๐ด ๐ต๐ฆ๐ต๐ณ๐ข๐ฑ๐ต๐ฆ๐ณ๐ข
D. ๐๐ณ๐บ๐ฑ๐ต๐ฐ๐ด๐ฑ๐ฐ๐ณ๐ช๐ฅ๐ช๐ถ๐ฎ ๐ฎ๐ถ๐ณ๐ช๐ด

A. A
Which of the mice shown is most likely to be susceptible to ๐๐ฐ๐ณ๐บ๐ฏ๐ฆ๐ฃ๐ข๐ค๐ต๐ฆ๐ณ๐ช๐ถ๐ฎ ๐ฃ๐ฐ๐ท๐ช๐ด?
A. A
B. B
C. C
D. D

A. Intracage supply/intracage exhaust (direct)
This image of a ventilated cage is an example of what type of caging system?
A. Intracage supply/intracage exhaust (direct)
B. Intracage supply/intracage exhaust (indirect)
C. Intracage supply/intracage exhaust (combination)
D. Intracage supply/perimeter capture

A. Animal identification
For what purpose is the pictured equipment used?
A. Animal identification
B. Heart rate and respiratory rate monitor
C. Pulse oximetry
D. Imaging
E. Calorimetry

D. ๐๐ช๐ต๐ณ๐ฐ๐ฃ๐ข๐ค๐ต๐ฆ๐ณ ๐ณ๐ฐ๐ฅ๐ฆ๐ฏ๐ต๐ช๐ถ๐ฎ
Clinical signs in the mouse shown here included ruffled fur, diarrhea, retarded growth, and rectal prolapse. The causative organism was isolated on MacConkey agar. What is the most likely causative organism?
A. ๐๐ญ๐ฐ๐ด๐ต๐ณ๐ช๐ฅ๐ช๐ถ๐ฎ ๐ฑ๐ช๐ญ๐ช๐ง๐ฐ๐ณ๐ฎ๐ฆ
B. ๐๐ฆ๐ญ๐ช๐ค๐ฐ๐ฃ๐ข๐ค๐ต๐ฆ๐ณ spp
C. ๐๐ข๐ญ๐ฎ๐ฐ๐ฏ๐ฆ๐ญ๐ญ๐ข
D. ๐๐ช๐ต๐ณ๐ฐ๐ฃ๐ข๐ค๐ต๐ฆ๐ณ ๐ณ๐ฐ๐ฅ๐ฆ๐ฏ๐ต๐ช๐ถ๐ฎ

D. Mammary fibroadenoma
This photomicrograph is from an aged Sprague-Dawley Rat. This neoplasm is histologically composed of two cell populations: well-differentiated mesenchymal cells (i.e. fibroblasts) associated with dense collagenous stroma and tubules. What is the most likely diagnosis?
A. Interstitial cell tumor
B. Mammary carcinoma
C. Large granular lymphocytic leukemia
D. Mammary fibroadenoma

C. Guinea pig (๐๐ข๐ท๐ช๐ข ๐ฑ๐ฐ๐ณ๐ค๐ฆ๐ญ๐ญ๐ถ๐ด)
The depicted nesting/burrowing enrichment materials would NOT be suitable for which species?
A. Mouse (๐๐ถ๐ด ๐ฎ๐ถ๐ด๐ค๐ถ๐ญ๐ถ๐ด)
B. Rat (๐๐ข๐ต๐ต๐ถ๐ด ๐ฏ๐ฐ๐ณ๐ท๐ฆ๐จ๐ช๐ค๐ถ๐ด)
C. Guinea pig (๐๐ข๐ท๐ช๐ข ๐ฑ๐ฐ๐ณ๐ค๐ฆ๐ญ๐ญ๐ถ๐ด)
D. Syrian hamster (๐๐ฆ๐ด๐ฐ๐ค๐ณ๐ช๐ค๐ฆ๐ต๐ถ๐ด ๐ข๐ถ๐ณ๐ข๐ต๐ถ๐ด)

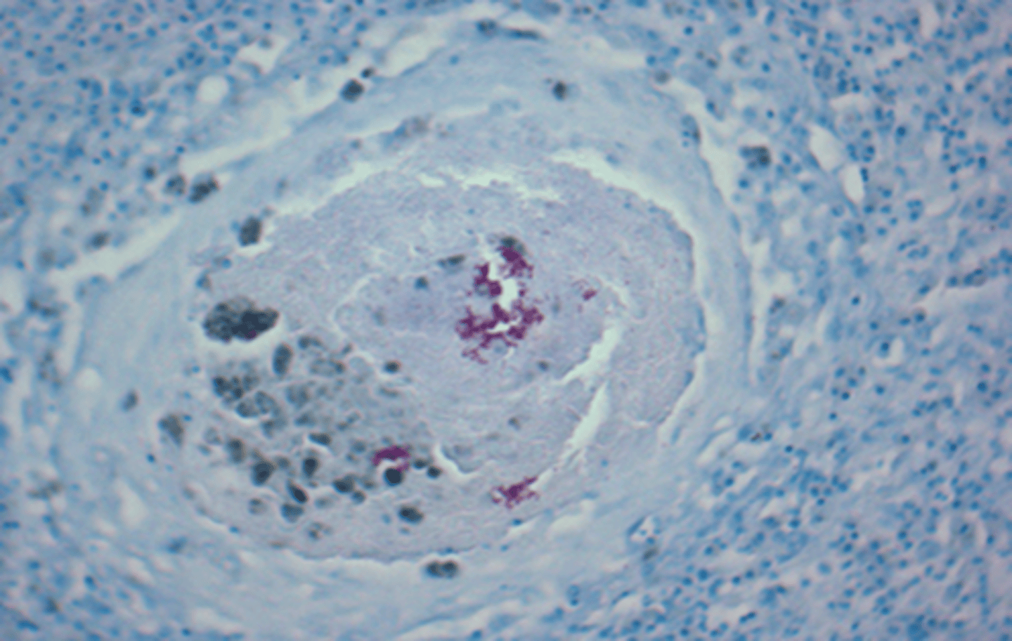
A. Diagnosis can be made with fecal float or concentration techniques
What statement concerning the etiologic agent responsible for causing the lesions shown in this ๐๐ณ๐บ๐ค๐ต๐ฐ๐ญ๐ข๐จ๐ถ๐ด spp. is correct?
A. Diagnosis can be made with fecal float or concentration techniques
B. Bilirubin levels remain normal throughout the course of the disease
C. Clinical signs are apparent in adult rabbits
D. Immunity is short lived, averaging 6 weeks

D. Seasonal variation (non-pathogenic)
Animal caretakers working with the outdoor group housed species (shown in a photograph taken in January) are reporting an increase in clinically apparent alopecia in many of the animals in the colony. What is the most likely etiology of this condition?
A. ๐๐ต๐ข๐ฑ๐ฉ๐บ๐ญ๐ฐ๐ค๐ฐ๐ค๐ค๐ถ๐ด ๐ช๐ฏ๐ต๐ฆ๐ณ๐ฎ๐ฆ๐ฅ๐ช๐ถ๐ด infection
B. ๐๐ถ๐ณ๐ฌ๐ฉ๐ฐ๐ญ๐ฅ๐ฆ๐ณ๐ช๐ข spp infection
C. Behavioral trichotillomania
D. Seasonal variation (non-pathogenic)
E. Increased huddling

C. Bain
Your technician shows you this inhalant anesthesia circuit for anesthetizing several rats within your lab animal facility. What is the name of this circuit?
A. Mapleson A
B. Jackson-Rees
C. Bain
D. Ayre's T-tube
C. Jackson-Rees

D. Bathyergidae
To what family does the animal pictured here belong?
A. Cuniculidae
B. Erethizontidae
C. Heteromyidae
D. Bathyergidae

A. Respiratory rate and tidal volume
What does this device modulate?
A. Respiratory rate and tidal volume
B. Anesthetic depth
C. Blood oxygen level
D. Narcosis
E. Blood pressure

C. Class II, Type B2
Which type of biological safety cabinet is shown here?
A. Class II, Type BI
B. Class I
C. Class II, Type B2
D. Class II, Type A2
E. Class III

C. Melanoma
Your facility maintains a colony of Sinclair mini swine and one of your technicians noted a flat black spot on one of the pigs several weeks ago, now that spot is raised and growing and an additional mass has appeared. Based on this information what is the most likely diagnosis?
A. Lymphosarcoma
B. Porcine Papilloma Virus (PPV)
C. Melanoma
D. Reaction to topical treatment for |Sarcoptes scabiei|
E. Abscess

B. Cage change station
Which of the following is a typical application of this biological safety cabinet in a vivarium?
A. Handling an ABSL-2 housed animal
B. Cage change station
C. Cell culture of BSL-1 microorganisms
D. Handling a BSL-3 agent

B. B (FASEB - Federation of American Societies for Experimental Biology)
Which organization has the mission to advance health and well-being by promoting research and education in biological and biomedical sciences through collaborative advocacy?
A. A
B. B
C. C
D. D
E. E

A. It is used to develop stereotaxic atlases
What is the significance of the interaural line pictured in this Wistar Rat in stereotaxonomy?
A. It is used to develop stereotaxic atlases
B. It represents the intersection of the coronal and sagittal skull sutures
C. It is also know as Bregma
D. It is a ridge of protruding bone that complicates intracerebral injection

A. Decreased fertility
On examination of an adult male ๐๐ฐ๐ต๐ถ๐ณ๐ฏ๐ช๐น ๐ซ๐ข๐ฑ๐ฐ๐ฏ๐ช๐ค๐ข, you note a white foamy material in the cloaca (see image). You prescribe enrofloxacin for this apparent infection. Which of the following is a documented adverse consequence that may result from your poor treatment decision?
A. Decreased fertility
B. Hearing loss
C. Uric acid deposition in joints
D. Ulcerative dermatitis
E. Nephropathy

C. BSL 3
The pictures show diagnostic results from blood smears and culture from a sheep found acutely recumbent with marked ventral edema (upper left: blood agar culture; right: H&E stain; lower left: new methylene blue stain). Which biosafety level (BSL) should be used when working with this organism for large scale or aerosol production?
A. BSL 1
B. BSL 2
C. BSL 3
D. BSL 4

C. Left - 1500 L/min and Right - 5 L/min
The picture shows the float/bobbin of two different anesthetic gas flow meters. What is the correct reading for both the left and right bobbins respectively?
A. Left - 1500 L/min and Right - 4 L/min
B. Left - 1100 L/min and Right - 4 L/min
C. Left - 1500 L/min and Right - 5 L/min
D. Left - 1100 L/min and Right - 5 L/min

A. ๐๐ญ๐ฐ๐ด๐ต๐ณ๐ช๐ฅ๐ช๐ถ๐ฎ ๐ฑ๐ช๐ญ๐ช๐ง๐ฐ๐ณ๐ฎ๐ฆ
The animal shown in picture A presented with depression, ruffled hair coat, hunched posture, anorexia ,and watery diarrhea prior to death. Based on these clinical signs and the histopathology in picture B, what is the most likely diagnosis?
A. ๐๐ญ๐ฐ๐ด๐ต๐ณ๐ช๐ฅ๐ช๐ถ๐ฎ ๐ฑ๐ช๐ญ๐ช๐ง๐ฐ๐ณ๐ฎ๐ฆ
B. ๐๐ข๐ญ๐ฎ๐ฐ๐ฏ๐ฆ๐ญ๐ญ๐ข
C. ๐๐ช๐ต๐ณ๐ฐ๐ฃ๐ข๐ค๐ต๐ฆ๐ณ ๐ณ๐ฐ๐ฅ๐ฆ๐ฏ๐ต๐ช๐ถ๐ฎ
D. ๐๐ฆ๐ญ๐ช๐ค๐ฐ๐ฃ๐ข๐ค๐ต๐ฆ๐ณ ๐ฑ๐บ๐ญ๐ฐ๐ณ๐ช

A. Bottom dwelling
The picture included depicts a type of environmental enrichment for zebrafish (๐๐ข๐ฏ๐ช๐ฐ ๐ณ๐ฆ๐ณ๐ช๐ฐ). Which of the following is an abnormal behavior of zebrafish which could be addressed using enrichment methods such as this?
A. Bottom dwelling
B. Shoaling
C. Occupying the entire water column
D. Infrequent aggression

D. D
Which animal may pose a special risk of harboring a silent chronic infection of LCMV and transmitting it to humans?
A. A
B. B
C. C
D. D

C. Parvovirus
What is the most likely infection in the weanling pups shown here?
A. Polyoma virus
B. Adenovirus
C. Parvovirus
D. Lymphocytic choriomeningitis virus

B. Food and Drug Administration (FDA)
The device pictured produces X-rays used to irradiate small animals or cells and replaces cesium or cobalt source irradiators. Which government agency would regulate its use in a USDA registered research facility?
A. Nuclear Regulatory Commission (NRC)
B. Food and Drug Administration (FDA)
C. Occupational Safety and Health Administration (OSHA)
D. Environmental Protection Agency (EPA)
E. None of the above

C. To prevent damage to the recurrent laryngeal nerve
The picture is displaying swine blood collection from the cranial vena cava on the right side. What is the reason this blood draw is typically taken from the right side?
A. Due to easier access on the right side
B. Due to dominant blood flow on the right side
C. To prevent damage to the recurrent laryngeal nerve
D. To prevent damage to the left vagal nerve
