1/41
Looks like no tags are added yet.
Name | Mastery | Learn | Test | Matching | Spaced | Call with Kai |
|---|
No analytics yet
Send a link to your students to track their progress
cancer epidemiology

inherited syndromes

epidemiology of CRC

polyps

hereditary colorectal cancer syndromes

lifetime risk of colorectal cancer (CRC)

major genes associated with risk of colorectal cancer

molecular models for colorectal carcinogenesis

colon cancer underlying molecular pathways

CRC tumor progression in sporadic and high-risk genetic syndromes

clinical features of FAP

diagnosis of FAP

classic FAP- risk of colonic adenomas

FAP surveillance

prophylactic colectomy for FAP

desmoids

risk of duodenal cancer in FAP

MYH-associated polyposis

management of MYH-associated polyposis

who to test for APC or MYH?

lynch syndrome

lynch syndrome results from

mismatch repair failure leads to

lynch syndrome clinical features

Amsterdam criteria

clinical criteria for the identification of Lynch syndrome

pathology features of lynch-related CRC

“screening for lynch syndrome” with molecular tumor testing


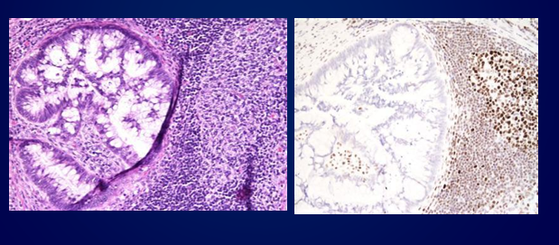
-CRC with loss of MSH2 protein expression
surgical management of cancer risk in lynch syndrome

Hamartomatous polyposis

Peutz Jeghers syndrome

PJS surveillance

family history of pancreatic cancer

incidence of pancreatic cancer based on number of affected first degree relatives

definition of a familial pancreatic cancer kindred

familial pancreatic cancer
-surveillance eligible
-offer genetic testing
frequency of germline mutations in familial pancreatic cancer

hereditary diffuse gastric cancer

clinical criteria for hereditary diffuse gastric cancer

genetic evaluation

rationale for genetic testing for hereditary cancer syndromes
