N236: Viral Infections of Humans

0.0(0)
studied byStudied by 0 people
0.0(0)
full-widthCall with Kai
GameKnowt Play
New
learnLearn
examPractice Test
spaced repetitionSpaced Repetition
heart puzzleMatch
flashcardsFlashcards
Card Sorting

1/110

encourage image

There's no tags or description

Looks like no tags are added yet.

Study Analytics
Name
Mastery
Learn
Test
Matching
Spaced

No study sessions yet.

111 Terms

1
New cards

Chickenpox pathogen

Varicella zoster virus

<p>Varicella zoster virus</p>
2
New cards

Chickenpox (Varicella) mode of transmission

Direct contact, or inhaling aerosols from vesicular fluid

<p>Direct contact, or inhaling aerosols from vesicular fluid</p>
3
New cards

Chickenpox (Varicella) S+S

Fever, malaise, rash on chest that spreads to limbs, macular --> papular --> vesicular --> crust

<p>Fever, malaise, rash on chest that spreads to limbs, macular --&gt; papular --&gt; vesicular --&gt; crust</p>
4
New cards

Chickenpox (Varicella) prevention

Varicella vaccine

Dose 1 at 12-15 months, dose 2 at 4-6 yrs

<p>Varicella vaccine</p><p>Dose 1 at 12-15 months, dose 2 at 4-6 yrs</p>
5
New cards

Shingles (Herpes Zoster) pathogen

Varicella zoster virus

<p>Varicella zoster virus</p>
6
New cards

Shingles (Herpes Zoster) S+S

Tingling/burning/stinging → one sided vesicular rash on neck or chest, pain can persist for months-years after rash clears (post herpetic neuralgia)

<p>Tingling/burning/stinging → one sided vesicular rash on neck or chest, pain can persist for months-years after rash clears (post herpetic neuralgia)</p>
7
New cards

Shingles (Herpes Zoster) prevention

Shingrix vaccine

2 doses 2-6 mos apart in people > 50 yo

<p>Shingrix vaccine</p><p>2 doses 2-6 mos apart in people &gt; 50 yo</p>
8
New cards

Shingles (Herpes Zoster) recurrence

Latent lives in the dorsal root ganglia neurons of the cervical/thoracic spinal nerves

<p>Latent lives in the dorsal root ganglia neurons of the cervical/thoracic spinal nerves</p>
9
New cards

Smallpox pathogen

Variola virus

<p>Variola virus</p>
10
New cards

Smallpox (Variola) S+S

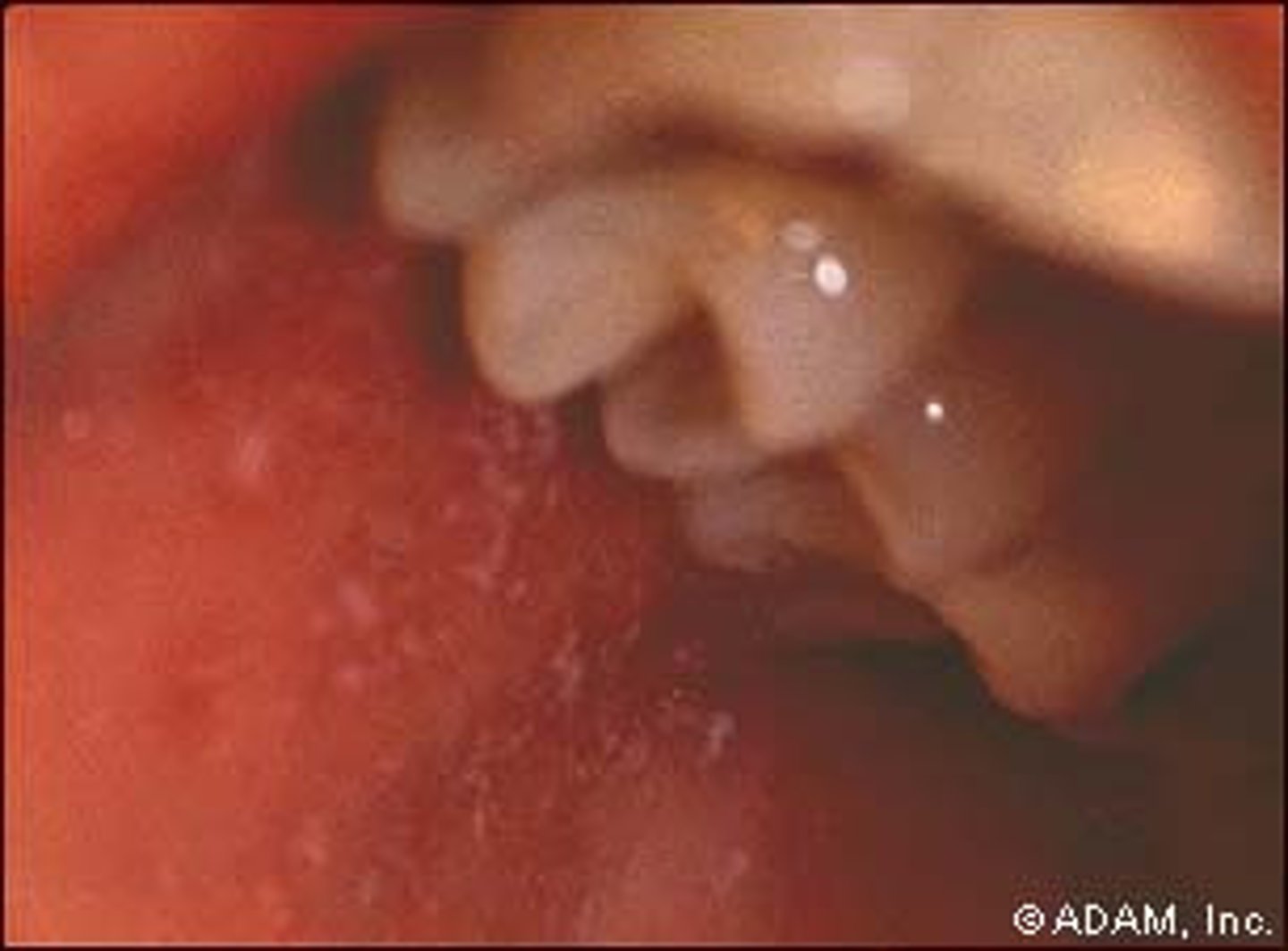
High fever, exhaustion, widespread rash that leaves permanent scars (macular --> papules --> vesicles --> crust)

<p>High fever, exhaustion, widespread rash that leaves permanent scars (macular --&gt; papules --&gt; vesicles --&gt; crust)</p>
11
New cards

Smallpox (Variola) transmission

Direct contact, inhalation of vesicular secretions

<p>Direct contact, inhalation of vesicular secretions</p>
12
New cards

Measles pathogen

Rubeola virus

<p>Rubeola virus</p>
13
New cards

Measles (Rubeola) S+S

Fever, runny nose, cough, conjunctivitis, photosensitivity, Koplik spots in the mouth, skin rash on the face that spreads

<p>Fever, runny nose, cough, conjunctivitis, photosensitivity, Koplik spots in the mouth, skin rash on the face that spreads</p>
14
New cards

Measles (Rubeola) transmission

Inhalation or contact w/ oropharyngeal or respiratory secretions

<p>Inhalation or contact w/ oropharyngeal or respiratory secretions</p>
15
New cards

Measles (Rubeola) prevention

MMR vaccine (measles, mumps, and rubella)

Doses at 12-15 months and 4-6 years

<p>MMR vaccine (measles, mumps, and rubella)</p><p>Doses at 12-15 months and 4-6 years</p>
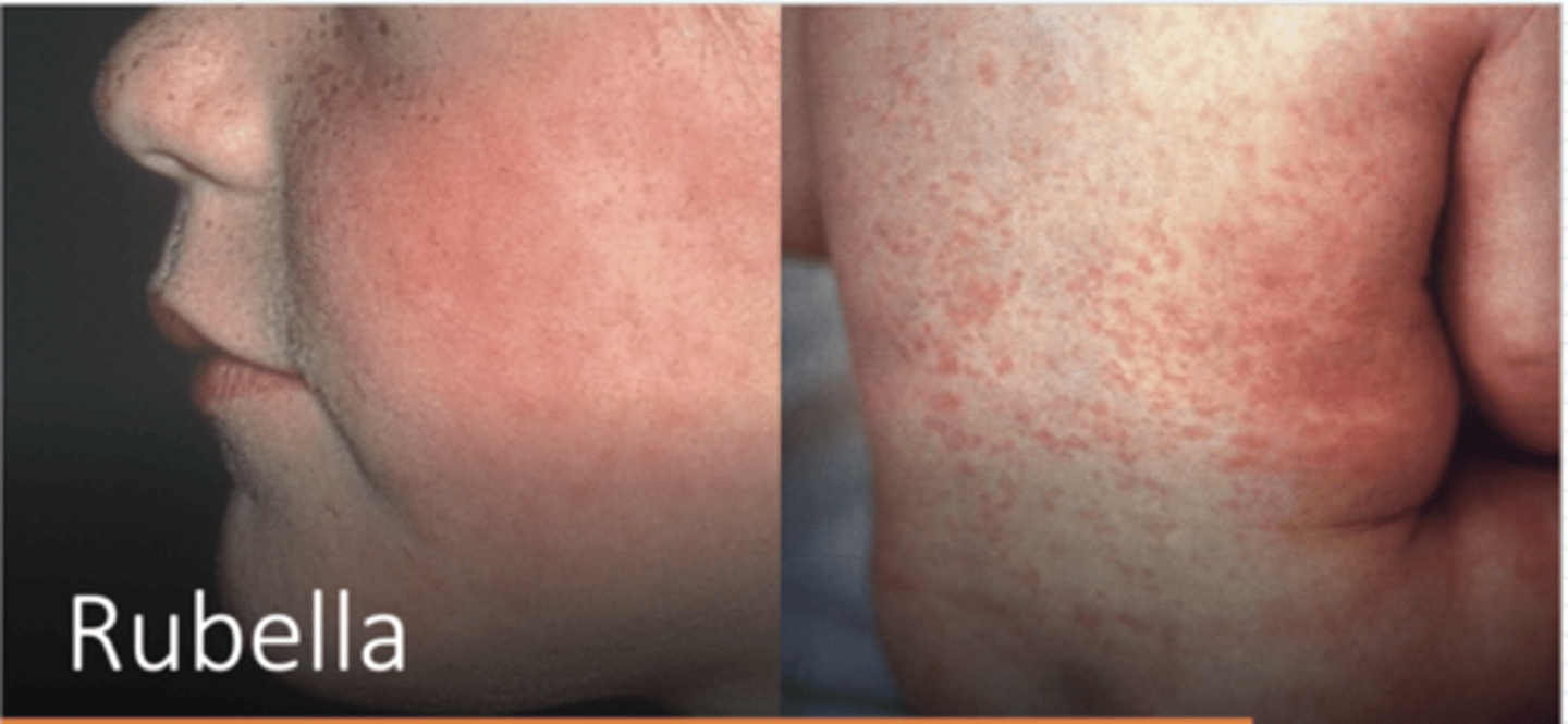
16
New cards

German Measles pathogen

Rubella virus

<p>Rubella virus</p>
17
New cards

German Measles (Rubella) S+S

Mild fever, malaise, followed by maculopapular skin rash (face → body), milder than measles, resolves in 3 days

<p>Mild fever, malaise, followed by maculopapular skin rash (face → body), milder than measles, resolves in 3 days</p>
18
New cards

Congenital rubella syndrome

A birth defect that occurs when the mother becomes infected with the rubella virus in her first trimester

Hearing loss, heart defects, eye anomalies

<p>A birth defect that occurs when the mother becomes infected with the rubella virus in her first trimester</p><p>Hearing loss, heart defects, eye anomalies</p>
19
New cards

German Measles (Rubella) transmission

Inhalation or contact w/ oropharyngeal or respiratory secretions

<p>Inhalation or contact w/ oropharyngeal or respiratory secretions</p>
20
New cards

German Measles (Rubella) prevention

MMR vaccine

Doses at 12-15 months and 4-6 years

<p>MMR vaccine</p><p>Doses at 12-15 months and 4-6 years</p>
21
New cards

Acute Viral Rhinitis pathogen

160 types of rhinovirus

<p>160 types of rhinovirus</p>
22
New cards

Acute Viral Rhinitis S+S

Malaise, inflammation of mucous membranes of URT (common cold symptoms)

<p>Malaise, inflammation of mucous membranes of URT (common cold symptoms)</p>
23
New cards

Acute Viral Rhinitis transmission

Inhalation or contact with infected respiratory and oropharyngeal secretions

<p>Inhalation or contact with infected respiratory and oropharyngeal secretions</p>
24
New cards

Acute Viral Rhinitis prevention

Handwashing, avoid people who are sick

<p>Handwashing, avoid people who are sick</p>
25
New cards

Croup pathogen

Parainfluenza virus

<p>Parainfluenza virus</p>
26
New cards

Croup alternate names

Laryngotracheitis, Laryngotracheobronchitis

27
New cards

Croup S+S

Begins as common cold, then within 24 hours, airways narrow and cause barking cough and stridor

<p>Begins as common cold, then within 24 hours, airways narrow and cause barking cough and stridor</p>
28
New cards

Croup transmission

Inhalation or contact with infected respiratory and oropharyngeal secretions

<p>Inhalation or contact with infected respiratory and oropharyngeal secretions</p>
29
New cards

Croup prevention

Handwashing, no vaccine

<p>Handwashing, no vaccine</p>
30
New cards

Influenza (Flu) pathogen

Influenza viruses A, B, and C

<p>Influenza viruses A, B, and C</p>
31
New cards

Influenza (Flu) S+S

High fever, chills, dry cough, nasal congestion, aches and pains, pneumonia = serious complication

<p>High fever, chills, dry cough, nasal congestion, aches and pains, pneumonia = serious complication</p>
32
New cards

Influenza (Flu) transmission

Inhalation or contact with infected respiratory and oropharyngeal secretions

<p>Inhalation or contact with infected respiratory and oropharyngeal secretions</p>
33
New cards

Influenza (Flu) prevention

Annual flu vaccine

<p>Annual flu vaccine</p>
34
New cards

What do H and N stand for?

Hemagglutinin and Neuraminidase; different surface proteins of influenza viruses

Cute n fun vid:

https://www.youtube.com/watch?v=Z2Y0GMCFWq0&feature=share&si=ELPmzJkDCLju2KnD5oyZMQ

35
New cards

Bird Flu pathogen

Avian influenza virus

<p>Avian influenza virus</p>
36
New cards

Avian Influenza (Bird Flu) S+S

High fever, chills, dry cough, nasal congestion, aches and pains, pneumonia = serious complication

<p>High fever, chills, dry cough, nasal congestion, aches and pains, pneumonia = serious complication</p>
37
New cards

Avian Influenza (Bird Flu) Reservoir

Infected wild and domesticated birds

<p>Infected wild and domesticated birds</p>
38
New cards

Avian Influenza (Bird Flu) transmission

Contact with infected poultry or surfaces with excretions from infected birds

<p>Contact with infected poultry or surfaces with excretions from infected birds</p>
39
New cards

Hantavirus Pulmonary Syndrome pathogen

Hantavirus

<p>Hantavirus</p>
40
New cards

Hantavirus Pulmonary Syndrome S+S

High fever, chills, headache, fatigue, hypotension, myalgia, SOB due to fluid in alveoli

"tight band around chest" or "pillow over face"

<p>High fever, chills, headache, fatigue, hypotension, myalgia, SOB due to fluid in alveoli</p><p>"tight band around chest" or "pillow over face"</p>
41
New cards

Hantavirus Pulmonary Syndrome Reservoirs

Infected rodents (deer mice, rice rats)

<p>Infected rodents (deer mice, rice rats)</p>
42
New cards

Hantavirus Pulmonary Syndrome transmission

Inhalation of rodent feces, urine, or saliva

<p>Inhalation of rodent feces, urine, or saliva</p>
43
New cards

Hantavirus Pulmonary Syndrome prevention

Stay AWAY from the rats

<p>Stay AWAY from the rats</p>
44
New cards

Coronavirus Infections

SARS-CoV, MERS-CoV, SARS-CoV-2

ranging from upper respiratory infection to bronchitis progressing to SARDS

<p>SARS-CoV, MERS-CoV, SARS-CoV-2</p><p>ranging from upper respiratory infection to bronchitis progressing to SARDS</p>
45
New cards

SARS-CoV

Severe acute respiratory syndrome; Coronavirus

<p>Severe acute respiratory syndrome; Coronavirus</p>
46
New cards

MERS-CoV

Middle East Respiratory Syndrome; Coronavirus

<p>Middle East Respiratory Syndrome; Coronavirus</p>
47
New cards

SARS-CoV-2

Coronavirus Disease 2019

<p>Coronavirus Disease 2019</p>
48
New cards

Coronavirus S+S

Fever, chills, cough, fatigue, headache, myalgia, malaise

<p>Fever, chills, cough, fatigue, headache, myalgia, malaise</p>
49
New cards

Coronavirus Reservoirs

Bats (for SARS-CoV and SARS-CoV-2) camels (for MERS-CoV)

<p>Bats (for SARS-CoV and SARS-CoV-2) camels (for MERS-CoV)</p>
50
New cards

Coronavirus transmission

Contact or inhalation of respiratory secretions

51
New cards

Herpes Labialis pathogen

Herpes simplex virus (usually type 1)

<p>Herpes simplex virus (usually type 1)</p>
52
New cards

Herpes Labialis S+S

Burning pain, vesicles form around lips, blisters break, crust, and heal, no scarring

<p>Burning pain, vesicles form around lips, blisters break, crust, and heal, no scarring</p>
53
New cards

Herpes Labialis transmission

Direct contact with vesicle or vesicular fluid

<p>Direct contact with vesicle or vesicular fluid</p>
54
New cards

Herpes Labialis prevention

Handwashing, avoiding kissing or oral sex during an active outbreak, no vaccine

<p>Handwashing, avoiding kissing or oral sex during an active outbreak, no vaccine</p>
55
New cards

Herpes Labialis reoccurrence

Virus lives in the sensory neurons of the trigeminal (5th cranial nerve) ganglion (which relays sensory information from the face and head to the CNS)

<p>Virus lives in the sensory neurons of the trigeminal (5th cranial nerve) ganglion (which relays sensory information from the face and head to the CNS)</p>
56
New cards

Viral Gastroenteritis (Stomach Flu) pathogen

Rotavirus, norovirus, adenovirus

<p>Rotavirus, norovirus, adenovirus</p>
57
New cards

Viral Gastroenteritis (Stomach Flu) S+S

Nausea, vomiting, abdominal pain, dysentery, severe dehydration, fever; self-limiting lasting ≈ 48 hours

<p>Nausea, vomiting, abdominal pain, dysentery, severe dehydration, fever; self-limiting lasting ≈ 48 hours</p>
58
New cards

Viral Gastroenteritis (Stomach Flu) transmission

Fecal-oral route, from infected humans or shellfish

<p>Fecal-oral route, from infected humans or shellfish</p>
59
New cards

Viral Gastroenteritis (Stomach Flu) prevention

Handwashing, disinfecting surfaces (especially in the bathroom and kitchen), rotavirus vaccine

<p>Handwashing, disinfecting surfaces (especially in the bathroom and kitchen), rotavirus vaccine</p>
60
New cards

Viral Hepatitis pathogens

Hepatitis A virus (HAV)

Hepatitis B virus (HBV)

Hepatitis C virus (HCV)

Hepatitis D virus (HDV)

Hepatitis E virus (HEV)

61
New cards

Acute viral hepatitis

HAV and HEV

62
New cards

Pre-icterus phase

Myalgia, arthralgia, fatigue, loss of appetite, nausea, vomiting, abdominal pain, elevated ALT and AST

63
New cards

Icterus phase

Abdominal pain, increased serum bilirubin

<p>Abdominal pain, increased serum bilirubin</p>
64
New cards

Convalescent phase

Increased sense of well-being, return of appetite, disappearance of jaundice

<p>Increased sense of well-being, return of appetite, disappearance of jaundice</p>
65
New cards

Chronic viral hepatitis

HBV, HCV, and HDV

66
New cards

Hepatitis A

Pathogen: HAV

Transmission: Fecal-oral route

Prognosis: Benign and self-limiting, does not cause chronic hepatitis or induce a carrier state

Prevention: HAV vaccine

<p>Pathogen: HAV</p><p>Transmission: Fecal-oral route</p><p>Prognosis: Benign and self-limiting, does not cause chronic hepatitis or induce a carrier state</p><p>Prevention: HAV vaccine</p>
67
New cards

Hepatitis B

Pathogen: HBV

Transmission: Unprotected sex, injected drug use

Prognosis: Serious, can cause chronic hepatitis or induce a carrier state

Prevention: HBV vaccine

<p>Pathogen: HBV</p><p>Transmission: Unprotected sex, injected drug use</p><p>Prognosis: Serious, can cause chronic hepatitis or induce a carrier state</p><p>Prevention: HBV vaccine</p>
68
New cards

Hepatitis C

Pathogen: HCV

Transmission: injection drug use

Prognosis: Serious, can cause chronic hepatitis or induce a carrier state

Prevention: NO VACCINE

<p>Pathogen: HCV</p><p>Transmission: injection drug use</p><p>Prognosis: Serious, can cause chronic hepatitis or induce a carrier state</p><p>Prevention: NO VACCINE</p>
69
New cards

Hepatitis D

Pathogen: HDV

Transmission: Requires the presence of HBV for its replication, so it can only cause an infection in people who have an HBV infection

Prognosis: Serious, can cause chronic hepatitis or induce a carrier state

Prevention: HBV vaccine

<p>Pathogen: HDV</p><p>Transmission: Requires the presence of HBV for its replication, so it can only cause an infection in people who have an HBV infection</p><p>Prognosis: Serious, can cause chronic hepatitis or induce a carrier state</p><p>Prevention: HBV vaccine</p>
70
New cards

Hepatitis E

Pathogen: HEV

Transmission: Fecal-oral route

Prognosis: Benign and self-limiting, does not cause chronic hepatitis or induce a carrier state

Prevention: HEV vaccine

<p>Pathogen: HEV</p><p>Transmission: Fecal-oral route</p><p>Prognosis: Benign and self-limiting, does not cause chronic hepatitis or induce a carrier state</p><p>Prevention: HEV vaccine</p>
71
New cards

Herpes Genitalis (anogenital herpes) pathogen

Herpes simplex virus (usually type 2)

<p>Herpes simplex virus (usually type 2)</p>
72
New cards

Herpes Genitalis S+S

Itching, then vesicular eruptions that break and crust, cause scarring

<p>Itching, then vesicular eruptions that break and crust, cause scarring</p>
73
New cards

Herpes Genitalis transmission

Sexual contact (w/ infected secretions)

74
New cards

Herpes Genitalis prevention

Use condoms

<p>Use condoms</p>
75
New cards

Herpes Genitalis recurrence

Virus lives in the dorsal root ganglion of the sacral spinal nerves

<p>Virus lives in the dorsal root ganglion of the sacral spinal nerves</p>
76
New cards

Condyloma Acuminatum pathogen

Human papillomavirus (>200 types)

77
New cards

Condyloma Acuminatum S+S

Genital warts: rapid growing, tiny, moist, pink/red, may become cauliflower like

<p>Genital warts: rapid growing, tiny, moist, pink/red, may become cauliflower like</p>
78
New cards

Condyloma Acuminatum transmission

Sexual contact

79
New cards

Condyloma Acuminatum prevention

HPV vaccine

2 doses usually given 11-12 years

<p>HPV vaccine</p><p>2 doses usually given 11-12 years</p>
80
New cards

HIV Infection & AIDS pathogen

Human immunodeficiency viruses (types 1 and 2)

<p>Human immunodeficiency viruses (types 1 and 2)</p>
81
New cards

Acute HIV Infection

Flu-like symptoms that appear 2 weeks after contraction of virus

<p>Flu-like symptoms that appear 2 weeks after contraction of virus</p>
82
New cards

Chronic HIV infection

No specific S+S (can last 10 years or longer)

83
New cards

AIDS

Fatigue, recurrent fever, chronic diarrhea, weight loss, rashes

CD4+ helper T cell count < 200 cells per mm3 of blood

<p>Fatigue, recurrent fever, chronic diarrhea, weight loss, rashes</p><p>CD4+ helper T cell count &lt; 200 cells per mm3 of blood</p>
84
New cards

Candida albicans infection

HIV opportunistic infection --> causing yeast infection in the mouth, thrush

<p>HIV opportunistic infection --&gt; causing yeast infection in the mouth, thrush</p>
85
New cards

Human herpesvirus 8 infection

HIV opportunistic infection --> affects the endothelial lining of small blood vessels (resulting in Kaposi sarcoma)

<p>HIV opportunistic infection --&gt; affects the endothelial lining of small blood vessels (resulting in Kaposi sarcoma)</p>
86
New cards

Mycobacterium tuberculosis infection

HIV opportunistic infection --> Bacterium that can affect the lungs (resulting in pulmonary tuberculosis)

<p>HIV opportunistic infection --&gt; Bacterium that can affect the lungs (resulting in pulmonary tuberculosis)</p>
87
New cards

HIV Infection & AIDS transmission

Sexual contact, blood contact, mother-to-baby

<p>Sexual contact, blood contact, mother-to-baby</p>
88
New cards

Pre-exposure prophylaxis (PrEP)

Pill containing antiviral drugs that is taken before exposure to HIV to prevent infection

<p>Pill containing antiviral drugs that is taken before exposure to HIV to prevent infection</p>
89
New cards

Post-exposure prophylaxis (PEP)

Antiviral drugs used after possible HIV exposure

<p>Antiviral drugs used after possible HIV exposure</p>
90
New cards

Treatment as prevention (TasP)

The use of antiretroviral therapy among infected individuals to decrease their risk of transmitting HIV to their partners

91
New cards

Infectious Parotitis pathogen

Mumps virus

<p>Mumps virus</p>
92
New cards

Infectious Parotitis (Mumps) S+S

Fever, poor appetite, fever, myalgia, malaise → painful swelling of parotid glands

Complications: oophoritis, orchitis

<p>Fever, poor appetite, fever, myalgia, malaise → painful swelling of parotid glands</p><p>Complications: oophoritis, orchitis</p>
93
New cards

Infectious Parotitis (Mumps) transmission

Inhalation or contact with oropharyngeal secretions

<p>Inhalation or contact with oropharyngeal secretions</p>
94
New cards

Infectious Parotitis (Mumps) prevention

MMR Vaccine

<p>MMR Vaccine</p>
95
New cards

Viral Hemorrhagic Fevers pathogens

1. Ebola virus

2. Marburg virus

3. Dengue virus

4. Zika virus

5. Yellow fever virus

<p>1. Ebola virus</p><p>2. Marburg virus</p><p>3. Dengue virus</p><p>4. Zika virus</p><p>5. Yellow fever virus</p>
96
New cards

Viral Hemorrhagic Fevers S+S

High fever, fatigue, dizziness, myalgia, arthralgia, bleeding under the skin, in internal organs, or from facial cavities

<p>High fever, fatigue, dizziness, myalgia, arthralgia, bleeding under the skin, in internal organs, or from facial cavities</p>
97
New cards

Viral Hemorrhagic Fevers transmission

Ebola/Marburg: body fluid contact

Zika/Dengue/Yellow fever: Aedes mosquito bite

<p>Ebola/Marburg: body fluid contact</p><p>Zika/Dengue/Yellow fever: Aedes mosquito bite</p>
98
New cards

Viral Meningitis pathogen

Several types of viruses

<p>Several types of viruses</p>
99
New cards

Viral Meningitis S+S

Fever, headache, nuchal rigidity, altered mental status (aseptic meningitis)

<p>Fever, headache, nuchal rigidity, altered mental status (aseptic meningitis)</p>
100
New cards

Viral Meningitis transmission

Varies depending upon the type of virus