1/90
Looks like no tags are added yet.
Name | Mastery | Learn | Test | Matching | Spaced | Call with Kai |
|---|
No analytics yet
Send a link to your students to track their progress

Which muscle type is non-striated, can replicate, and is myogenic?
Smooth muscle

Which muscle type is branched, myogenic, forms scar tissue, and pumps blood?
Cardiac muscle

Which muscle type is multinucleated, pulls on bones, and can function voluntarily or myogenically?
Skeletal muscle
The following are functions of which muscle type?
Production of movement
Maintain body posture and position
Support soft tissue
Regulate entrance/exit of material
Maintain body temperature
Skeletal muscle

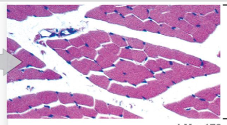
What tissue is pictured?
Skeletal muscle

What is structure #1?
Epimysium

What is structure #2?
Muscle fascicle

What is structure #3?
Endomysium

What is structure #4?
Perimysium

What is structure #5?
Nerve

What is structure #6?
Muscle fibers

What is structure #7?
Blood vessels

What is the structure pictured?
Muscle fascicle

What is structure #1?
Perimysium

What is structure #2?
Muscle fiber

What is structure #3?
Endomysium

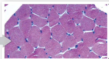
What is the structure pictured?
Muscle Fiber

What is structure #1?
Sarcolemma

What is structure #2?
Myofibril

What is structure #3?
Endomysium

What is structure #4?
Myosatellite cell

What is structure #1?
Endomysium

What is structure #2?
Capillary

What is structure #3?
Perimysium

What is structure #4?
Muscle cell

What is structure #5?
Nucleus
What is the smallest functional unit of muscle?
Sarcomere

What is structure #1?
Mitochondria

What is structure #2?
Sarcolemma

What is structure #3?
Myofibril

What is structure #4?
Thin filament

What is structure #5?
Thick filament

What is structure #6?
Triad

What is structure #7?
Sarcoplasmic reticulum

What is structure #8?
T tubules

What is structure #9?
Terminal cisterna

What is structure #10?
Sarcolemma

What is structure #11?
Sarcoplasm

What structure is #12?
Myofibrils

What is structure #1?
Myofilaments

What is structure #2?
Sarcomere

What is structure #3?
Myofibril

What is structure #4?
Muscle fiber

What is structure #5?
Fascicle

What is structure #6?
Muscle

What is the structure pictured?
Sarcomere

What is structure #1?
Sarcomere

What is structure #2?
H band

What is structure #3?
Myofibril

What is structure #4?
Z line

What is structure #5?
M line

What is structure #6?
M line

What is structure #7?
Titin

What is structure #8?
Myosin head

What is the sliding filament theory?
The concept explaining how muscles contract to generate force:
Myosin filaments slide past actin filaments during contraction
Filament lengths remain relatively constant
ONLY the sarcomere shortens
What is action potential?
Rapid change in membrane potential over the surface of a cell
Which cells experience action potentials?
Muscle cells
Sensory cells
Neurons
Some endocrine cells
Which neurotransmitter is released during APs?
Acetylcholine (ACh)
What is the name of the muscle surface that ACh binds to?
Motor end plate
What is the enzyme responsible for the degradation of ACh in the synaptic cleft?
Acetylcholinesterase (AChE)

What steps are involved in the initiation of muscle contraction?
ACh is released and binds receptors
AP reaches T tubule
Sarcoplasmic reticulum releases Ca2+
Active site is exposed and cross-bridge forms
Contraction begins

What steps are involved in ending muscle contraction?
ACh removed by AChE
Sarcoplasmic reticulum recaptures Ca2+
Active sites covered, no cross-bridge interaction
Contraction ends
Relaxation occurs, passive return to resting strength
What is a reflex arc?
An automatic pathway that mediates a response to a stimulus

What are the parts of a reflex arc?
Sensory receptor
Afferent neuron
IC
Efferent neuron
Effector organ
T/F: Motor units function in an all or nothing manner.
T; a motor unit will contract or it will not
T/F: Tension strength per contraction is constant per motor unit.
T; but tension is additive
What causes increases in muscle tension?
Increased frequency of motor unit stimulation
Recruitment
Which muscles lack slow fibers?
Hand and eye muscles

What are characteristics of slow fibers?
Smaller diameter
Darker color (myoglobin)
Fatigue resistant

What are characteristics of fast fibers?
Larger diameter
Paler color
Easily fatigued
What is muscle tone?
Tension in a resting muscle
What muscle structure acts as stretch receptors and play a role in tone and growth?
Muscle spindles
What is hypertrophy?
Increase in cell size and increase in number of myofibrils
Cell number stays CONSTANT
T/F: Atrophy results in increased mitochondria, glycolytic enzyme concentration and glycogen reserves.
F; Hypertrophy results in the above actions
What is atrophy?
Reduction in muscle size, tone and power due to disuse, age or disease
Can also be caused by decrease in cell number
The applied force and load are on opposite sides of the fulcrum in which lever type?
First-Class lever; changes the amount of force transmitted to the load and alters the direction and speed of movement
The load is between the applied force and the fulcrum in which lever type?
Second-Class lever; increases force at the expense of distance and speed, direction of movement remains unchanged
Applied force is between the load and fulcrum in which lever type?
Third-class lever; increases speed and distance moved, but requires a larger applied force
Which is the most common lever type in the body?
Third-class lever
What anatomical structures is responsible for the redirection of tension?
Anatomical pulleys (i.e. patella and lateral malleolus)
What is an origin?
Muscle attachment point that remains stationary
What is an insertion?
Muscle attachment point that moves
T/F: Muscles can be grouped by primary actions.
T
What are agonsists?
Muscles responsible for producing a particular movement
What are antagonists?
Muscles opposing action of agonist
What are synergists?
Muscles assisting the agonist in performing an action
What are fixators?
Agonist and antagonist contracting at the same time to stabilize a joint

What muscle type increases in diameter as it contracts?
Parallel muscle

Which muscle type has a varying direction of tension and is weaker than parallel muscle cells?
Convergent muscle
Which muscle type has the shortest contraction distance and produces more force than parallel muscles?
Pennate muscle
Which muscle type regulates the opening and closing of an orifice?
Circular muscles