1/398
Looks like no tags are added yet.
Name | Mastery | Learn | Test | Matching | Spaced | Call with Kai |
|---|
No analytics yet
Send a link to your students to track their progress
Visual pathway
-map it out
L/R eye
Optic never
Optic chiasm
Optic tract
LGN
Splits into Baum’s loop(parietal lobe) and Myer’s loop(temporal lobe)

What does the optic chiasm do?
-crosses fibers from the middle of both retina
Left side of world connects to left/right cortex?
Right side of world connects to left/right cortex?
-right cortex
-left cortex
The lateral geniculate nuclei plays a part in __, and is found in the __.
The lateral geniculate nuclei communicate with the __, which are the __(of the __ lobe) and __(of the __ lobe)
-vision; thalamus
-visual cortex; meyer’s loop; temporal; baum’s loop; parietal
Anopia
-define
-if it takes out total vision in one eye, it is likely from same-sided __, or a same-sided __
-loss of vision
-nerve compression; lesion

Optic neuritis
-describe
-highly associated with __(condition)
-causes __
-inflammatory, demyelinating disease
-MS
-vision loss of one eye
Amaurosis fugax
-describe
-classically described by patient as __
-comes from damage to the __ or __
-stereotypical symptom of __(condition)
-generally from an embolism of the __ artery, coming from the __ artery
-painless, transient vision loss in one eye
-a curtain shade over vision
-optic nerve; retina
-TIAs
-retinal; carotid
If vision loss involves a single eye, the damage of the vision pathway is most likely pre-__
-chiasmal
Bitemporal hemianopsia
-describe
-it is likely from __ or __
-vision loss of the lateral field of both eyes
-optic chiasm compression; pituitary tumor

Homonymous hemianopsia
-describe
-right-sided visual loss can come from __ or __
-left-sided visual loss can come from __ or __
-loss of vision of either the left field in both eyes, or the right field in both eyes
-LEFT PCA stroke; LEFT optic tract lesion
-RIGHT PCA stroke; RIGHT optic tract lesion

Macular sparing
-the __ field of vision is spared during a __
-this is because the macula has __ blood supply, from both the __ and __, so a PCA stroke spares the macula
-central; homonymous hemianopsia
-dual; MCA and PCA

Quadrantic anopia
-describe
-if the damage is in the __ loop, which is in the __ lobe, the patient describes the vision loss as a “__”
-if the damage is in the __ loop, which is in the __ lobe, the patient describes the vision loss as a “__”
-one quadrant of both visual fields is lost
-meyer’s; temporal; pie in the sky
-baum’s; parietal; pie in the floor

Paralytics/Neuromuscular blocking agents
-primarily used as __ drugs
-examples
-the only depolarizing neuromuscular blocking agent is __, while the rest are __
-the non-depolarizing drugs are __ and compete with __, producing paralysis. They can also cause release of __, which may cause __ and a compensatory __. This can be treated/reversed, however, with giving a __. Examples of these are __ and drugs ending in __
-anesthetic
-succinylcholine, tubocurarine, and drugs that end in -curonium(atra-, miva-, pan-, ve-, and ro-)
-succinylcholine; non-depolarizing
-competitive antagonists; Ach; histamine; hypotension; tachycardia; Ache inhibitor
-edrophonium; -stigmine(physo-, neo-, and pyrido-)
Succinylcholine
-a drug that works as a __, used as an __/__
-a unique kind of neuromuscular blocker that is __
-it’s MOA is an __ that sustains __, therefore preventing __
-it functions in 2 phases, phase 1 being the __ phase, where __ occur, and phase 2 being the __ phase, where __
MORE ON PHASE 1…
-in a normal setting, __ will hydrolyze Ach, but because succinylcholine is not metabolized by Ache, it creates a __ depolarization
MORE ON PHASE 2…
-in a normal setting, Ach is hydrolized and washed out quickly, so there’s __, but since succinylcholine is __, it causes this desensitization
-unlike other neuromuscular blocking agents, this drug is not __
-the main side effect it can cause is an increased __
-it may cause __, which will present with textbook __ and __ following the surgery. this is thought to be caused by faulty __ receptors, which normally move __ into the SR. In these patients, calcium gets dumped, which pushes consumption of __, and therefore produces __. This can be treated with __
-neuromuscular blocking agent; anesthetic/paralytic
-depolarizing
-acetylcholine agonist; depolarization; muscle contraction
-depolarizing; muscle fasciculations; desensitizing; the muscle is depolarized and no longer reacts to ACh
MORE ON PHASE 1…
-Ache; prolonged
MORE ON PHASE 2…
-no desensitization; prolonged
-reversible
-potassium
-malignant hyperthermia
-fever and muscle rigidity; ryanodine; calcium; ATP; heat; dantrolene
ICU weakness
-describe
-a common problem after a patient has been in the ICU for a prolonged period of time, and thought to be due to paralytics that are given while on a ventilator, to improve oxygen flow
Train of 4 pulses
-a method used to assess __ of a patient while they’re __
-involves 4 __ to the __, with the goal usually being __/4 or __/4
-neuromuscular blockade; under anesthesia
-electrical stimulations; nerve; 1; 2

Rapid sequence intubation
-commonly used when there’s a code __ in the hospital, when a patient need a tube, so the anesthesiologist makes the patient __ and __
-this is done through an anesthetic inducer, normally __, followed by __(due to its rapid __)
-blue; sedated and flaccid
-etomidate; succinylcholine; onset
Blood brain barrier
-location
-function
-method of function
-what easily crosses?
-what needs transporter-assistance?
-around CNS blood vessels
-control content of CNS interstitial fluid
-tight junctions and astrocyte foot processes
-water, some gases, and lipid soluble small molecules
-glucose and amino acids
Circumventricular Organs(CVOs)
-location(look at name)
-function
-is there a blood brain barrier present here?
-main CVOs include…
-special note, what other brain areas don’t have a BBB?
-surround the ventricles
-helps CNS communicate to bloodstream
-no
-area postrema, OVLT, subfornical organ, and median eminence of hypothalamus
-posterior pituitary gland and pineal gland

Area postrema
-one of your main __(so is there a blood brain barrier present here?)
-location
-interacts with __, and it relays signals to the __ center in the medulla
-CVOs(circumventricular organs); NO!
-the causal end of your 4th ventricle in the medulla
-chemoreceptor; vomiting

OVLT(organum vasculosum of the lamina terminalis)
-one of your main __(so is there a blood brain barrier present here?)
-location
-interacts with __
-CVOs(circumventricular organs); NO!
-anterior wall of the 3rd ventricle
-osmosensory neurons

SFO(subfornical organ)
-one of your main __(so is there a blood brain barrier present here?)
-location
-it responds to __, to regulate __, __, and __
-CVOs(circumventricular organs); NO!
-anterior wall of 3rd ventricle
-angiotensin II; blood pressure, ADH, and thirst

Median eminence of hypothalamus
-one of your main __(so is there a blood brain barrier present here?)
-allows the hypothalamus to regulate the __ by releasing __
-CVOs(circumventricular organs); NO!
-pituitary; hormones

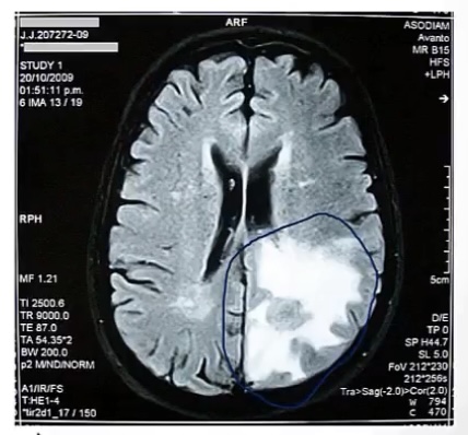
Cerebral edema
-pathophysiological cause is due to breakdown of the __
-commonly due to __ or __
-leads to __ of brain tissue
-blood brain barrier
-trauma or stroke
-swelling

Neuron action potential
-resting voltage is __
-this is maintained by __
-to depolarize, __ channels open to move into cell and __ the voltage
-the opening of __ channels continues along the axon, leading to __
-at the end/terminal, __ channels open, triggering release of __
-vesicles fuse with membrane, leading to __
-Anesthetics that end in __ can block the initial __ channels, inhibiting these action potentials
-~70mV
-K+ leak out of the cell
-Na; raise
-Na; propagation
-Ca, neurotransmitter
-exocytosis
-caine; Na

Astrocytes
-CNS/PNS?
-function
-a major marker for astrocyte activation is __
-clinically, these can be involved with astrocytomas, which are commonly tumors in the __ of __, and are positive for __ marker.
-also clinically important in __ virus, which infects both these and oligodendrocytes, and causes __ in HIV patients
-CNS
-removes excess neurotransmitter; rapids/scar formation
-GFAP
-cerebellum; children; GFAP
-JC; PML
Microglia
-CNS/PNS?
-function?
-these cells do allow __ to persist, as __ encephalitis will form nodules with these cells
-CNS
-macrophages; proliferate in response to injury and differentiate into larger phagocytes after injury
-HIV; HIV
Oligodendroglia
-CNS/PNS?
-function?
-each oligodendroglia can myelinate one/multiple axons?
-this is the most common cell of __ matter
-the cell is what is destroyed in the condition __
-CNS
-myelinates axons
-multiple axons
-white
-multiple sclerosis/MS
Schwann cells
-CNS/PNS?
-function?
-each Schwann cell can myelinate one/multiple axons?
-the cell is what is destroyed in the condition __
-clinically, these can also be targeted in certain tumors called __/__, which classically target CN __
-PNS
-myelinates axons
-one axon
-guillain-barre syndrome
-schwannomas; acoustic neuromas; 8
Myelin
-made up of __ and __
-function?
-completes function through what special process? describe
-laid down in the CNS by __
-laid down in the PNS by __
-lipids and proteins
-speeds up action potentials along axons
-saltatory conduction; you only need to depolarize along the nodes of ranvier, not the entire axon, thus increasing conducting velocity
-oligodendroglia
-Schwann cells
Nerve fiber classification
-ranked based on __
-the order is as folllows…
A-ALPHA…
-large/small?
-myelinated/unmyelinated?
-responds to __
A-DELTA…
-large/small?
-myelinated/unmyelinated?
-responds to __
C FIBERS…
-large/small?
-myelinated/unmyelinated?
-responds to __
-diameter and amount of myelin
-A-alpha, A-delta, and C fibers
A-ALPHA…
-large
-myelinated
-touch, vibration, position
A-DELTA…
-small
-myelinated
-cold and pain
C FIBERS…
-smallest
-unmyelinated
-warm and pain
There are 4 structures on nerve endings that allow us to sense the world…
1. Free nerve endings
-mostly found on __
-these sense __ and __(separates cold from warm)
-comprised of __ and __ fibers
2. Meissner’s corpuscles
-mostly found __, at concentrated sensitive areas like __
-these sense __
-comprised of __ fibers
3. Pacinian corpuscles
-mostly found at __
-these sense __
-these surround __ in layers of tissue
-comprised of __ fibers
4. Merkel’s corpuscles
-mostly found at __
-these sense __
-comprised of __ fibers
-these are different than Pacinian and Meissner’s corpuscles, are these have a __ response, and are thus more important for __
1. free nerve endings
-skin
-pain and temp
-C fibers and A-delta
2. Meissner’s corpuscles
-near the surface of skin; fingers
-pressure changes
-A-alpha
3. Pacinian corpuscles
-deep skin, joints, and ligaments
-vibration and pressure
-free nerve endings
-A-alpha
4. Merkel’s corpuscles
-hair follicles
-pressure and position
-A-alpha
-sustained; continued information
Umbilicus
-correlates with what spinal level?
-refers pain for what condition?
-T10
-appendicitis
Phrenic nerve
-what spine root levels?
-innervates what important structure?
-irritation at the previously mentioned structure causes referred pain where? And this irritation can cause what else? This irritation can be present in many problems, a couple common ones being __ or __
-C3-C5
-diaphragm
-shoulder; dyspnea and hiccups
-gallbladder disease; lower lung mass
Herpes Zoster
-reactivation of latent __ virus, ie- __; which when latent, will lie dormant in the __
-causes a rash along dermatome/myotome?
-crosses midline/doesn’t cross midline?
-varicella-zoster; chickenpox; dorsal root ganglia
-dermatome
-doesn’t cross midline

Important reflexes
Biceps: spinal root level __
Triceps: spinal root level __
Patella: spinal root level __
Achilles: spinal root level __
Look at picture for reflex ranking
-C5
-C7
-L4
-S1

L5 Nerve Root Syndrome(most common)
-pain at the __, that travels __
-reduced strength in __
-reflexes are __
-back; down the lateral leg
-foot
-normal
S1 Never Root Syndrome(second most common)
-pain at __
-weakness with __
-reflexes?
-back of leg
-plantar flexion
-ankle reflex lost
Babinski reflex
-how to test?
-in normal test for adults?
-in normal test for infants? This is because of __
-in abnormal test for adults? This is because of __, that suppresses the reflex
-run hand up the bottom of the foot
-toes curl downwards/plantarflex
-toes curl upwards/dorsiflex; incomplete myelination
-toes curl upwards/dorsiflex; upper motor neuron damage

Primitive reflexes
-present at __, and lost during __
-can reappear with __
MORO REFLEX…
-also called the __
-to engage…
-what should happen?
ROOTING…
-describe
SUCKING…
-describe
PALMAR…
-describe
PLANTAR…
-describe
GALANT…
-describe
-birth; first year of life or less
-frontal lobe pathology
MORO REFLEX…
-startle reflex
-lie baby on back, lift slightly off back, and let go
-spreading of arms, unspreading of arms, and crying
ROOTING…
-Stroke cheek, baby turns toward side of stroke
SUCKING…
-Baby will suck anything touching roof of mouth
PALMAR…
-Stroke baby's palm, fingers will grasp
PLANTAR…
-Babinski reflex → normal up to 1 year
GALANT…
-Stroke skin along baby's back, baby swings legs to that side
Peripheral nerve damage
Rank axonotmesis, neuromesis, and neurapraxia in order from mild to severe, and describe each
MORE ON AXONOTMESIS…
-distal to the site of the lesion, __ degeneration occurs, where the axon __, and the myelin sheath __
-axon regeneration can occur if __ cells maintain integrity
-proximal to the site of the lesion, __/__ occurs, where there’s __, followed by __ of the cell body, as well as __(disappearance of the Nissl bodies), and the nucleus moves to the __ of the cell
-most mild is neurapraxia(focal demyelination; intact axon distant to the injury)
-moderate is axonotmesis(demyelination with axonal damage, the endoneurium and perineurium remain intact)
-severe is neuromesis(irreversible damage to axon and sheath, no regeneration occurs)
MORE ON AXONOTMESIS…
-wallerian; degenerates; involutes
-Schwann
-axonal reaction/central chromatolysis; protein synthesis; swelling; chromatolysis; periphery

Central nerve damage
-repair becomes irreversible after about __ minutes of ischemia, this is because neurons are (more/less) sensitive than glial cells?
-changes begin around __ hours, with the first stages at __ hours, where the first changes occur in __, as they become a __ color, coined “__”
-after about 24-48 hours, when __ begins
-following days to weeks, you will see __ form, and astrocytes will undergo __(you will see the foot processes form a __ around the __)
-4-5 minutes; more
-12 hours; 12-24 hours; neurons; deep pink/red; “red neurons”
-liquefactive necrosis
-cysts; gliosis; wall; cyst

UMN and LMN
UMN: connects __ to __; problems here indicate damage to places such as the __
LMN: connects __ to __; problems here indicate damage to places such as the __
Location of damage will be evident by symptoms, so UMN damage will see __ paralysis, __, and __ muscle; LMN damage will see __ paralysis, __, and loss of __
-brain; second nerve; cortex, internal capsule, or corticospinal tract
-second nerve; muscle/target; brainstem, spinal cord/anterior horn
-spastic, hyperreflexia, and overactive muscle; flaccid, muscle twitches/fasciculations, and loss of reflexes

Decussation
-occurs right below the __
-can help point to general area of a lesion, as lesions above the decussation create a __ dysfunction, and lesions below the decussation create a __ dysfunction
-medulla
-contralateral; ipsilateral

Bulbar muscles are muscle of the __/__, and supplied by cranial nerve in the __
-examples below
-weakness in these muscles is what’s called a __, and this will give (UMN/LMN) symptoms, signifying __ damage
-if there are UMN signs, this indicates damage to the __, and is then a __
-reminder of UMN and LMN signs in picture
-head/neck; brainstem
-V (jaw)
-VII (face)
-IX (swallowing)
-X (palate)
-XI (head)
-XII (tongue)
-bulbar palsy; LMN; cranial nerve
-corticobulbar tract; pseuobulbar palsy

Central NTs
-list
Peripheral NTs:
-list
-Norepinephrine, Acetylcholine, Dopamine, Serotonin, gamma-aminobutyric acid(GABA), and Glutamate
-Norepinephrine, Acetylcholine, and Dopamine
Norepinephrine
-increased with __
-decreased with __; some drugs work to increase these levels, such as __, __, and __
-source of NE is from the __
-anxiety
-depression; SNRIs, TCAs, MAOIs
-locus ceruleus

Dopamine
-increased in __
-decreased in __ and __
-produced in the __ and __
-schizophrenia
-depression; Parkinson’s
-ventral tegmentum and substantia nigra

GABA(gamma-aminobutyric acid)
-a key __ neurotransmitter
-decreased in __ and __
-produced in the __(this area is activated in both __ and __)
-Anesthetics activate the GABA receptor, causing sedation, and examples of these drugs are __
-MOA: GABA binding to its receptor causes influx of __ into cell
-the enzyme that produces GABA is __, and the enzyme that breaks it down is __, and both of these need vitamin __ to function
-there are 3 subtype of GABA, labeled __ to __, with __ and __ being in the brain, and __ being in the retina
-alcohol, zolpidem, benzodiazepines, and barbiturates work on __
-inhibitory
-anxiety and Huntington’s
-nucleus accumbens; drug addiction and fear
-propofol, etomidate, barbiturate, benzodiazepines
-Cl-
-glutamate decarboxylase; GABA transaminase; B6 cofactor
-GABA(A) to GABA(C); GABA(A) and GABA(B); GABA(C)
-GABA(A)

Serotonin
-decreased in __ and __
-certain drugs for depression target this, such as __, __, and __
produced in the __
-caution with any drugs that increase serotonin levels, as they can cause a condition called __, which has a textbook symptom triad of the 3 As, __, __(__), and __(__). This is treated with __(a __)
-anxiety and depression
-SSRIs, SNRIs, and MAOIs
-raphe nucleus
-serotonin syndrome; agitation, autonomic hyperactivity(tachycardia and hyperthermia), and neuromuscular hyperactivity(hyperreflexia); cyproheptadine(serotonin antagonist)

Acetylcholine
-produced in the __
-increased in __
-decreased in __ and __
-basal nucleus of Meynert
-REM sleep
-Alzheimer’s and Huntington’s
Glutamate
-a key __ neurotransmitter
-targets __ receptors
-toxicity of this neurotransmitter causes neuronal death in __ disease
-excitatory
-NMDA
-Huntington’s
How do we hear?
-generally describe

Hearing loss(2 types)
1. Conductive hearing loss
-problem is that __
-due to something __ the path, such as __(earwax), infection(otitis media), or __(bony overgrowth of stapes)
2. Sensorineural hearing loss
-due to a __/__ problem, such as __, __(acoustic neuroma), or __
-sound waves can’t convert to nerve signals
-blocking; obstruction; infection; otosclerosis
-internal/neural; cochlea disease; cochlear nerve failure; CN damage
Presbycusis
-hearing loss due to __
-caused by degeneration of the __
-leads to __ hearing loss(one of 2 main types)
-age
-organ of corti
-sensorineural
Weber test
-test used to assess __
-the tool used during the test is called a __, and it is placed __
-in a normal test, it should be __ in both ears
-in conductive hearing loss, it is louder in the __ ear
-in sensorineural hearing loss, it is louder in the __ ear
For picture: AC= air conduction; BC= bone conduction
-hearing
-tuning fork; on the bridge of the forehead
-equal
-bad
-good

Rinne test
-test used to assess __
-the tool used during the test is called a __, and it is placed __, where you keep it until the patient __, when you then move the tuning fork __, and ask the patient __
-in a normal test, it should be __ in both ears
-in conductive hearing loss, __
-in sensorineural hearing loss, __
For picture: AC= air conduction; BC= bone conduction
-hearing
-tuning fork, at the mastoid process behind the ear; no longer hears it; to just outside the ear; if they can still hear it
-air conduction greater than bone conduction
-patient CANNOT hear when it’s next to the ear, so bone conduction is greater than air conduction
-patient CAN hear when it’s next to the ear, but both bone conduction and air conduction are reduced, but air conduction is still greater

Noise-induced hearing loss
-is sudden after a very __ noise(likely from rupture of the __), or more long-term from __ noises(likely from damaged __ cells in the __)
-loud; consistent; tympanic membrane; cilia/hair; organ of corti
Basal Ganglia
-made up of 5 important pieces, __
-some of these are coupled into structures, so as the striatum, which is made up of the __ and __, and it is the major input from the __. Or also the lentiform nucleus, which is made up of the __ and __
-its major function is __, both stimulating and inhibiting
-movements disorders stem from damage to this part of the brain, and this includes __
DIRECT PATHWAY…
-goal:
-moa: striatum inhibits __ and __, so they stop inhibiting the __, so it’s free to activate the __
-can be modified: by the __, using __
INDIRECT PATHWAY…
-goal:
-moa: striatum inhibits __, so it stops inhibiting the __, so it can stimulate __, which further inhibits the __
-can be modified: by the __, using __
-substantia nigra, subthalamic nucleus, putamen, caudate nucleus, and globus pallidus(picture)
-putamen and caudate; cortex; putamen and globus pallidus
-modifying voluntary movements
-Parkinson’s, Huntington’s, Hemiballism, and Wilson’s(connections shown in picture)
DIRECT PATHWAY…(picture)
-create movement
-GABA and pars reticulata; thalamus; cortex
-substantia nigra pars compacta; D1
INDIRECT PATHWAY…(picture)
-inhibit movement
-GABA; subthalamic nucleus; GPi; thalamus
--substantia nigra pars compacta; D2

Brodmann areas
-describe
-a way to divide the brain

Frontal lobe
-in general, plays role in __ and __
-key areas within the frontal lobe are __(motor), __(vision), __(speech), and __(executive function)
-motor and planning
-motor cortex; frontal eye fields; broca’s speech area; prefrontal cortex
Motor cortex
-part of the __ lobe
-visually displayed using the __
-note it can help distinguish what parts of the body would be affected in a stroke, so an MCA stroke would cause issues with __ and __, and an ACA stroke would cause issues with __
-frontal
-homunculus
-upper limbs and face; lower limbs

Frontal eye fields
-part of the __ lobe, more specifically brodmann’s area number __
-plays a big role in moving eyes __, as well as assisting in __
-lesions to this region will cause both eyes to __
-frontal; 8
-side-to-side; tracking objects
-shift to the side of the lesion

Broca’s speech area
-part of the __ lobe
-plays a role in __
-destruction of this area can cause __, which can show as __, where the patient __, or __ and __ repeatedly
-frontal
-speech production
-broca’s aphasia; broken speech; stutters; stops and starts
Wernicke’s aphasia
-destruction of the __ hemisphere’s __ lobe
-failure of __(not production, like in __), so the patient will have __ but __ speech
-again differentiating from broca’s aphasia, there will be no __, or frequent __/__
-left; temporal
-speech comprehension(broca’s aphasia); fluent; meaningless
-stutter; start/stops
Global aphasia
-a combination of both __ and __
-the patients are often __, and cannot __
-may follow the occurrence of a __
-broca’s aphasia and wernicke’s aphasia
-mute; follow commands
-stroke
Prefrontal cortex
-part of the __ lobe
-lesions to this area can cause many issues, such as __
-frontal
-disinhibition, concentration deficits, disorientation, poor judgement, and reemergence of primitive reflexes
Parietal lobe
-contains the __
-it also contains __
-sensory cortex
-baum’s loop
Sensory cortex
-part of the __ lobe
-damage to the right side of this portion of the lobe can cause a __, meaning they will not __
-parietal
-contralateral spatial neglect/hemispatial neglect; report or respond to stimuli on that side, and they can’t perceive objects in that space
Baum’s loop
-part of the __ lobe
-damage to this can cause a __(vision loss of both eyes in a singular quadrant) that is classically described as a “__”
-parietal
-quadrantic anopia; pie in the floor
Temporal lobe
-contains the __(sound), __(speech), __(smell), __(vision), __(emotion), __(memory)
-lesion to the ‘sound’ blank can cause __
-lesion to the ‘speech’ blank can cause __
-primary auditory cortex; wernicke’s speech area; olfactory bulbs; meyer’s loop; amygdala; hippocampus
-cortical deafness
-wernicke’s aphasia
Olfactory bulb
-part of the __ lobe
-destruction leads to __
-if a patient has temporal lobe epilepsy, and they get irritation of the olfactory bulb, they have develop __, which is when you __
-temporal
-ipsilateral anosmia(can’t smell on that side)
-psychomotor epilepsy; see, hear, or smell things that aren’t there
Meyer’s loop
-part of the __ lobe
-damage to this can cause a __(vision loss of both eyes in a singular quadrant) that is classically described as a “__”
-temporal
-quadrantic anopia; pie in the sky
Amygdala
-part of the __ lobe
-part of the __ system
-damage to bilateral amygdala can cause __ syndrome, where the patient has __, __, and most notably __. This can also be a rare complication of __
-temporal
-system
-Kluver-Bucy syndrome; hyperphagia; hyperorality; inappropriate sexual behavior; HSV1 encephalitis
Occipital lobe
-plays a major role in __
-lesions can therefore cause __
-blood supply is from the __
-vision
-cortical blindness
-PCA
Acetylcholine
-interacts with __ receptors(a type of __ receptor, the other type being __)
-activation of this neurotransmitter causes __, so blockade causes __
-nicotinic(cholinergic; miscarinic)
-spasms/fasciculations; paralysis
Cholinergic toxidrome
-presentation includes many features… (trick: DUMBELS)
-a textbook cause of cholinergic toxidrome is __, which are found in __ and inhibit __
-treatment includes __(to antagonize the muscarinics), and __(to replenish the AchE)
•Diarrhea
•Urination
•Miosis
•Bronchospasm(Wheezing)/Bradycardia
•Emesis
•Lacrimation
•Salivation/Sweating
-organophosphates; pesticides; AchE
-atropine; pralidoxime

Acetylcholine agonists
-a trick is drugs that have __ in the name
-have have an __ grouping their chemical structure
PILOCARPINE…
-the only __ amine, meaning it can __(so this drug could cause __)
-stimulates both __ and __ receptors
-used to treat __, __, and used in the __ for cystic fibrosis
BETHANECHOL…
-has a __ amine
-has an NH2 group that functions to resist __, and increase the __
-also has a beta-methyl group so it has reduced __ activity, meaning it won’t interact with __ muscle
-used to treat __ and __
CARBACHOL…
-has a __ amine
-has an NH2 group that functions to resist __, and increase the __
-lacks the beta-methyl group, so it does act at nicotinic and therefore __ muscle
-used to __
METHACHOLINE…
-has a __ amine
-no NH2 group, so there’s only some __
-does have a beta-methyl group, so there’s reduced activity with __ receptors and __ muscle
-used to diagnose __
-all of these drugs, and AchE inhibitors, can worsen COPD and peptic ulcers, due to causing __(COPD) and increased __(peptic ulcers)
-chol
-amine
PILOCARPINE…
-tertiary; penetrate the BBB(seizures)
-nicotinic and muscarinic
-glaucoma, sjogren’s; sweat test
BETHANECHOL…
-quaternary
-AchE; duration
-nicotinic; skeletal
-ileus and urinary retention
CARBACHOL…
-quaternary
-AchE; duration
-skeletal
-constrict the pupil
METHACHOLINE…
-quaternary
-AchE resistance
-nicotinic; skeletal
-asthma
-bronchoconstriction; gastric acid
Cholinesterase inhibitors
-a trick is drugs that end in __(2 special cases, __ and __)
-these work to __ activity of acetylcholine at __ and __ receptors
-all of these drugs can be used for __(condition)
-donepezil is the only one with a __ amine, and can therefore cross the __. It is used to treat __
-all of these drugs, and Ach agonists, can worsen COPD and peptic ulcers, due to causing __(COPD) and increased __(peptic ulcers)
-stigmine(neo-, pyrido-, and physo-); edrophonium and donepezil
-increase; nicotinic; muscarinic
-myasthenia gravis
-tertiary; BBB; Alzheimer’s
Anticholinergic toxidrome
-presentation includes many features…(trick in picture)
-can be caused by excess exposure to __, __, __, and even __(this is a plant that contains __)
-treatment is __(inhibits __ to increase __)
•Red(flushing)
•Dry(no sweat, tears)
•Blind
•Mad(delirium)
•Hot(from loss of sweat)
-antihistamines, TCAs, atropine; jimson weed; atropine
-physostrigmine; AchE; Ach

Atropine
-is a __
-used to treat __ in a __ patient
-overdose of this drug can cause __
-muscarinic antagonist
-bradycardia; cardiac arrest
-anticholinergic toxidrome
Scopolamine
-is a __
-used to treat __
-can cause side effects of __
-muscarinic antagonist(M1)
-motion sickness
-urinary retention, dry mouth, and constipation
Spinal cord
-there are __ cervical roots
-there are __ thoracic roots
-there are __ lumbar roots
-there are __ sacral roots
-the spinal cord ends at levels __, at the __
-while the spinal cord ends there, nerve roots will continue on as the __
-8
-12
-5
-5
-L1/L2; conus medullaris
-cauda equina

Spinothalamic tract
-carries __ info to __
-it senses __
-the 1st neuron carries info from the __, to the __, where the 2nd neuron takes it from the __ to the __, and finally the 3rd neuron takes it from the __ to the __
-important to note that these tracts cross at the __(not the medulla, like the __)
-sensory; the brain
-pain, temperature, and crude touch
-spinal nerves; spinal cord; dorsal horn; thalamus; VPL thalamus; cortex
-cord level; posterior column tracts

Posterior column tract
-carries __ info to __
-it senses __
-the 1st neuron carries info from the __, to the __, where the 2nd neuron takes it to the __, and finally the 3rd neuron takes it from the __ to the __
-important to note that these tracts cross at the __(not the cord level, like the __)
-sensory; the brain
-vibration, proprioception, and fine touch
-spinal nerves; spinal cord; gracilis(lower) and cuneatus(upper); VPL thalamus; cortex
-medulla; spinothalamic tracts

Corticospinal tract
-carries __ info to __
-the 1st neuron carries info from the __, to the __, where the 2nd neuron takes it from the __ to the __
-there is a crossing of fibers, that occurs in the lower __
-motor; muscle
-cortex; anterior horn; anterior horn; muscle
-medulla

Pathway of CSF
1. lateral ventricle
2. __
3. __
4. __
-3rd ventricle
-4th ventricle
-central canal of the spinal cord

CSF
-2 main purposes
-produced by __ cells of the __
-absorbed by __
-drains into the __ sinus, where it will drain into the __ system
-cysts can develop in the choroid plexus, but is generally a normal finding, and found from an __
-Cushion/shock absorber, and move nutrients/removes waste
-ependymal cells; choroid plexus
-arachnoid villi
-superior sagittal sinus; venous system
-US
Hydrocephalus
-dilation of __, and accumulation of __
-2 main types…
COMMUNICATING HYDROCEPHALUS…
-named because there is communication between __
-due to decreased __ by the __, causing increased __
-a key sign of this is __
-a key sign on CT is __
-commonly occurs post-__, due to __
NON-CUMMUNICATING HYDROCEPHALUS…
-named because due to severe blockage, there is no communication between __
-due to __
-this is often a __ issue, most commonly caused by 3 main conditions(__, __, and __)
-ventricles; CSF
COMMUNICATING HYDROCEPHALUS…
-ventricles
-CSF absorption; arachnoid villi; ICP
-papilledema of eyes
-dilation of ALL ventricles
-meningitis; scarring
NON-CUMMUNICATING HYDROCEPHALUS…
-ventricles
-structural blockage
-congenital; aqueductal stenosis, chiari malformations, and dandy walker malformations

Aqueductal stenosis
-congenital/acquired?
-stenosis of the __, the connecting channel between the __ and __
-presents as mother having an __ such as __, and the infant now has an __
-a common cause of __
-congenital
-cerebral aqueduct; 3rd ventricle and 4th ventricle
-intrauterine infection; rubella, CMV, toxo, or syphilis; enlarging head circumference
-non-communicating hydrocephalus
Chiari malformation
-congenital/acquired?
-describe; causes a compression of what part of the CSF pathway?
-co-morbidity with a __(describe)
-death of infant is most strongly due to the __
-congenital
-downward displacement of cerebellum and medulla; outflow of the 4th ventricle into the spinal cord
-myelomeningocele/spina bifida(cord/meninges outside of the spine)
-non-communicating hydrocephalus

Dandy Walker malformation
-congenital/acquired?
-describe; causes a compression of what part of the CSF pathway?
-affected children will classically have __, with __ and __
-congenital
-anomaly of the 4th ventricle, causing cysts that form a massive 4th ventricle and small cerebellum, leading to a non-communicating hydrocephalus
-hydrocephalus; delayed development and motor dysfunction

Pseudotumor cerebri/idiopathic intracranial hypertension
-there is an increased ICP without the presence of a __
-patient will have __, __ that could escalate to __, and textbook __
-the classic presentation is an __ woman of __ age
-diagnosis will be through a __
-treatment will be with __
-tumor or other cause
-terrible headaches; papilledema; visual loss; pulsatile tinnitus
-overweight; child-bearing
-spinal tap
-acetazolamide
Normal Pressure Hydrocephalus(NPH)
-this will present with __ ventricles, but a lumbar tap will show __
-the suspected mechanism is __
-common presentation triad is “__”
-treatment is a __, which drains the CSF to the __
-enlarged; normal opening pressure
-impaired absorption of CSF
-wet, wobbly, and whacky(urinary incontinence, gait disturbance, and dementia)
-VP shunt; abdomen
Hydrocephalus ex vacuo
-enlargement of ventricles that occurs __(usually after the age of __) as the __ atrophies from a co-morbidity of __
-there will be shrinkage of __, with enlargement of __
-with age; 60; cortex; Alzheimer’s, HIV, Pick, etc.)
-the brain; the ventricles
Dural sinuses
-structures that drain blood from __, and remove CSF from __
-these eventually empty into the __
-one important sinus of note is the cavernous sinus, which there’s __ of. These collect blood from the __ and __, and drain into the __. It also contains many important structures, such as CNs __, as well as the __ artery
-one condition, cavernous sinus syndrome, can occur primarily by thrombus or fistula. A thrombus can form from an __ that spreads to the sinus and causes a __. A fistula can form from one of the __ arteries __. Symptoms will present as __
-cerebral veins; arachnoid granulations
-internal jugular vein
-2; eyes and cortex; internal jugular vein; 3, 4, 5(1), 5(2), and 6; internal carotid
-infection; septic thrombus; carotid; rupturing; Horner’s syndrome, swollen eyes, and a headache

AV malformations
-where no __ forms, causing eventual __ over time
-a common location for this to occur is the __
-this will usually occur __
-can be asymptomatic until __
-can cause __ or __
-capillary; enlargement
-Vein of Galen
-in utero
-adolescence/adulthood
-headaches or seizures

Vestibular system
-found within the __ bone
-important in __
-coordinates movements between __ and __
-there are __ semicircular canals, each for the different __; and each contain __. They have a bulge at the base, called the __, which is covered in small __. These release __, which create __
-temporal
-balance, posture, and equilibrium
-head and eyes
-3; planes of motion; endolymph; ampulla; hair cells; neurotransmitters; action potentials
Utricle and saccule
-parts of the __ that are important for __ motion, such as __, or moving __ and __
-these structures contain __(small __) that sit on top of __ and drag these cells in response to __
-inner ear; linear; gravity; forward and back
-otoliths(calcium crystals); hair cells; motion

Vestibulocochlear nerve
-contains 2 nerves in 1 sheath, the __ nerve and __ nerve
-vestibular nerve; cochlear nerve