1/19
Looks like no tags are added yet.
Name | Mastery | Learn | Test | Matching | Spaced | Call with Kai |
|---|
No analytics yet
Send a link to your students to track their progress
The zygomatic arches are a part of which bone?
Frontal
Parietal
Temporal
Sphenoid
Temporal
The largest and most dense bone of the face is the:
maxilla.
mandible.
frontal.
sphenoid.
mandible.
The orbit is made up of _____ cranial bones and _____ facial bones.
three; four
two; five
four; five
three; two
three; four
For the submentovertical projection of the zygomatic arches, the central ray is directed perpendicular to the _____ line.
mentomeatal
orbitomeatal
infraorbitomeatal
acanthiomeatal
infraorbitomeatal
Both zygomatic arches can be demonstrated on one projection for which of the following projections?
1. Tangential
2. SMV
3. AP axial
1 and 2
1 and 3
2 and 3
1, 2, and 3
2 and 3
For the tangential projection of the zygomatic arch, the head is positioned so that the midsagittal plane of the skull is _____ degrees _____ the side being examined.
10; toward
15; toward
10; away from
15; away from
15; toward
Which line is placed perpendicular to the plane of the image receptor for the AP axial projection of the zygomatic arches?
Orbitomeatal line
Mentomeatal line
Acanthiomeatal line
Glabellomeatal line
Orbitomeatal line
What is the central-ray angulation for the PA axial projection of the mandibular rami?
15 to 20 degrees cephalad
20 to 25 degrees cephalad
25 to 30 degrees cephalad
30 to 35 degrees cephalad
20 to 25 degrees cephalad
Several methods area available to perform the axiolateral oblique projection of the mandible to demonstrate the symphysis, body, or ramus. What is the central-ray angulation for all of these projections?
15 degrees cephalad
15 degrees caudad
25 degrees cephalad
25 degrees caudad
25 degrees cephalad
What is the central-ray angulation for the AP axial projection of the TMJ?
25 degrees caudad
25 degrees cephalad
35 degrees caudad
35 degrees cephalad
35 degrees caudad
At which level will the central ray be placed for the SMV projection of the zygomatic arches?
Level of the EAM
Level of the TMJ
Level of the outer canthi
At a level 1 inch posterior to the outer canthi
At a level 1 inch posterior to the outer canthi
How is the head positioned to demonstrate the ramus of the mandible in the axiolateral oblique projection?
True lateral
30 degrees toward the IR
45 degrees toward the IR
30 to 45 degrees toward the IR
True lateral
How is the head positioned to demonstrate the body of the mandible in the axiolateral oblique projection?
True lateral
15 degrees toward the IR
30 degrees toward the IR
45 degrees toward the IR
30 degrees toward the IR
Which two parts of the patient’s face touch the table for a PA axial projection (Caldwell method)? (Select all that apply.)
Nose
Acanthion
Chin
Forehead
Nose
Forehead
What 3 structures of the face should touch the IR to help with positioning of the Rheese method for Orbits?
forehead, nose, cheek
forehead, nose, chin
chin, cheek, nose
chin, cheek, forehead
chin, cheek, nose
Where should the optic canal/foreman be projected in the orbit?
lower inner third
upper outer third
lower outer third
upper inner third
lower outer third
Which of the following projections will clearly demonstrate any medial or lateral displacement of fractures of the mandibular rami?
1. PA
2. PA axial
3. Axiolateral oblique
1 & 2
1 & 3
2 & 3
1, 2 & 3
1 & 2
What is the central-ray angulation for the axiolateral projection of the TMJ?
15 degrees caudal
15 degrees cephalic
30 degrees caudal
30 degrees cephalic
30 degrees caudal

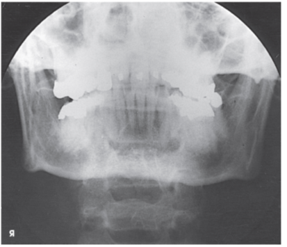
What projection and anatomy is demonstrated in the image below?
AP axial of the TMJs
PA axial of the mandibular rami
PA of the mandibular body
Axiolateral oblique of the mandibular body
PA of the mandibular body

Name the structures in the image below.
A
C
E
F
A: Frontal sinuses
C: Superior orbital margin
E: Ethmoid sinuses
F: Petrous ridge