1/113
Looks like no tags are added yet.
Name | Mastery | Learn | Test | Matching | Spaced | Call with Kai |
|---|
No analytics yet
Send a link to your students to track their progress
M cells
What type of cell indicated by the red box functions to transfer antigens across the mucosa to dendritic cells and immune cells in the nodule ?

LPS
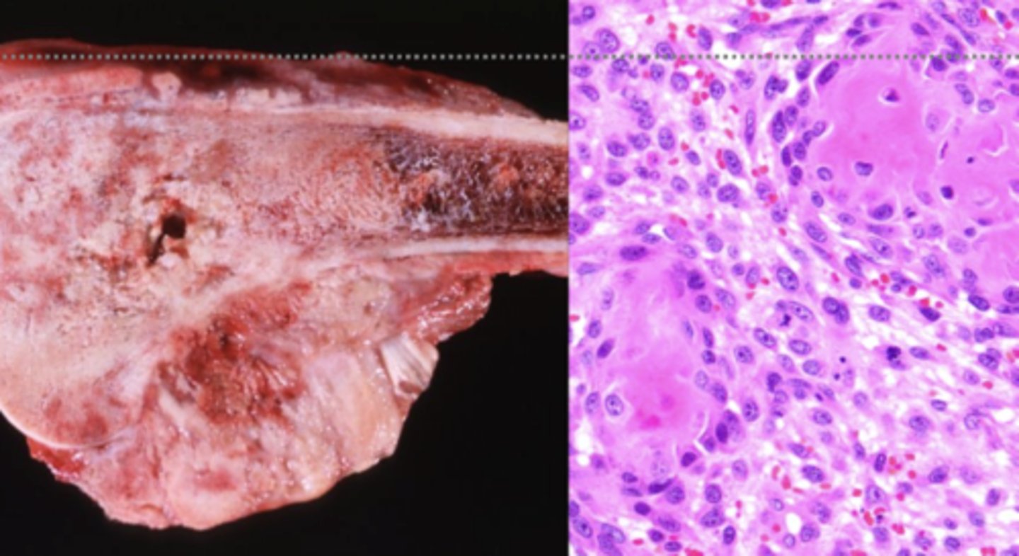
What type of virulence factor is used by actinobacillus ligneresi to cause this pyogranulomatous inflammatory response?

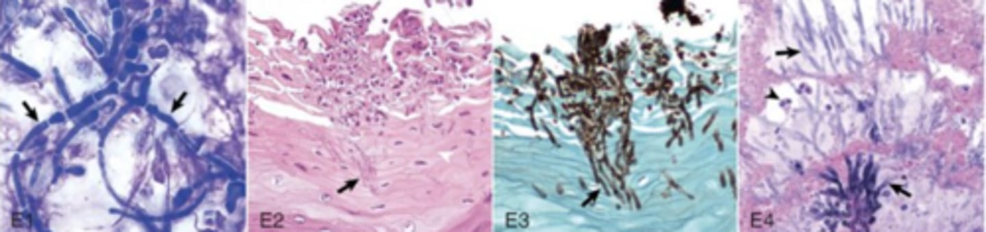
Fungi
What broad group of pathogens does these images indicate ?

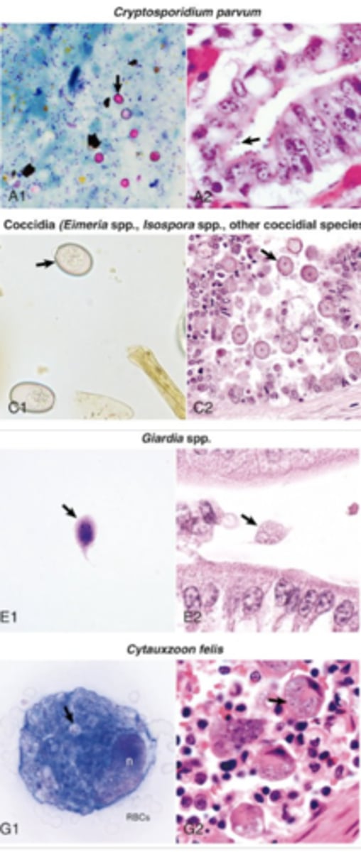
protozoa
What broad group of pathogens does these images indicate ?

Type IV hypersensitivity (delayed type hypersensitivity)
What type of hypersensitivitiy is demonstrated by this reaction?

Multifocal, rasied proliferations with diffuse discoloration
How would you describe this lesion?

Milk spots - scars from ascaris suum migrating through the liver
Pig liver: What are these white sunken spots known as ?

Capsular fibrosis
What is the name for the gross appearance of this liver, causing these discrete fibrous tags or plaques?

Hepatic lipidosis - glycogen caused
-very common
-notice the sinusoids are pushed out of the way in the histopath image
-can see in starvation cases + obesity
What has caused this gross and histologic lesions?

Hepatic lipidosis
Cat liver: What is wrong here?

Hyperlipemia
Pony liver: What caused this gross appearance?

Fatty liver- caused by hepatocellular steatosis (lipidosis)
Monkey liver: What caused this gross appearance?

Bovine Fatty Liver Syndrome
- Caused by accumulation of lipid within the liver due to increased mobiliazation of lipids from adipose tissue = influx of fatty acids to the liver
Bovine liver: What has caused this gross appearance ?

Tension Lipidosis
- doesn't have to effect the whole liver- can be regionally
-consequence of hypoxia
- where tension/ fat accumulation was= paler area
What has caused this gross appearance of this liver?

Amyloidosis
-result of abnormal folding of pathologic proteins
-deposited extracellularly
-waxy + hard liver
What has caused this gross appearance of this liver?

amyloidosis
-liver is enlarged, friable, and pale - can easily rupture
What has caused this gross appearance of this liver?

Amyloidosis
-red lines are from rib impressions
-caused by inflammation
What has caused this gross appearance of this liver?

Chronic passive congestion
-NUT MEG LIVER
-branching fibrosis
-centrilobular fibrosis
-result of right-sided heart disease
-result of hypoxia
What has caused this gross appearance of this liver?

Chronic passive congestion
What has caused this gross appearance of this liver?

Chronic passive congestion
-classic Nut Meg liver
-brnahcing fibrosis + hepatocellular loss
What has caused this gross appearance of the liver?

Hepatic Lipidosis
-has areas of pooled blood
-seen in cattle + cats
What has caused this gross appearance of this liver?

Hepatiocellular necrosis
-can see depressions on the surface where there has been hepatocyte loss

Nodular hyperplasia
-benign tumor - encapsulated
What has caused this gross appearance of this liver?

Hepatocellular adenoma
-discrete masses
-benign epithelial tumor
What has caused this gross appearance of this liver?

Hepatocellular carcinoma
-firm tissue
-malignant
-
What has caused this gross appearance of this liver?
Hepatocellular carcinoma
What has caused this gross appearance of this liver?

Hepatocellular carcinoma caused by a viral infection
What has caused this gross appearance of this liver?

Hepatocellular adenomas
-benign epithelial tumor
What has caused this gross appearance of this mouse liver?

Cholangiocarcinoma
-tumor of the bile ducts
What has caused this gross appearance of this liver?

Oncogenic virus- mareks disease
What has caused this gross appearance of this chicken liver?

BLV Lymphoma
-nodular
What has caused this gross appearance of this bovine liver?

Mast cell tumor !!
-granulated
-red
What has caused this gross appearance of this liver?

Cholangiohepatitis
-inflammation of the biliary ducts and parenchyma
-expanded bile ducts
What has caused this histologic appearance of this liver?

Parasite migration
-black lines indicate where parasites have migrated through
(hemorrhagic tracts)
- white spots/lines are scars from previous migrations
What has caused this gross appearance of this sheep liver?

large bile ducts- suggest the presence of biliary flukes
What has caused this gross appearance of this cow liver?

Flukes!!
-migration of flukes through liver parenchyma
What caused this lesion in the liver of a deer?

Fascioloides magna migration
-black lines
-hepatocytes have filled with fat (white spots) due to hypoxia
-fibrous connective tissue from damage
What has caused this gross appearance of this liver?

Fascioloides magna
What is this adult leaf-shaped parasite called?

extensive fibrosis of biliary ducts from fluke migration
What has caused this gross appearance of this liver?

Hepatosis Dietetica
-caused by vitamin E/Selenium deficiency in rapidly growing pigs
-massive hepatic necrosis due to oxidative injury
What has caused this gross appearance of this pig liver?

skeletal muscle necrosis from Hepatosis Dietetica
What has caused this gross appearance ?

Cobalt deficiency causing hepatocellular steatosis (lipidosis)
-"white liver disease" in small ruminants
-vitamin B12 deficient
-lipid accumulation

Copper toxicity
-swollen, pale to orange liver
-necrosis of the liver
-affects the centrilobular + midzonal region... can be panlobular necrosis
What has caused this gross appearance of this sheep's liver

Cirrhosis caused by long term exposure to toxic substances
What has caused this gross appearance of this dog liver

Papilloma
-benign epithelial neoplasm
What kind of tumor is this?

Squamous cell carcinoma
What kind of tumor is this?

Polyp
-has a steam
-benign epithelail tumor projecting from mucosal surface
What kind of tumor is this?

polyp from canine uterus
What kind of tumor is this?

adenocarcinoma
-malignant tumor of epithelial origin
-tubular patterns on histopath
What kind of tumor is this?

schirrous response
What type of response is produced by this carcinoma?

Hemangioma
What kind of tumor is this?

Hemiangiosarcoma
What kind of tumor is this?

Osteosarcoma
What kind of tumor is this?

Lymphoma
-lymphocytic tumor originating in the peripheral tissues
What kind of tumor is this?

Multiple myeloma
-plasma cell infilitrate
-hypercalemia
-osetolytic bone lesions
What kind of tumor is this?

Mast cell tumor
What kind of round cell tumor is this?

Histiocytoma
-button tumor
- caused by langhans cells
-will self regress
What kind of round cell tumor is this?

Transmissible Venereal Tumor (TVT)
-TRANSMISSIBLE tumor thru direct contact
What kind of round cell tumor is this?

Tasmanian Devil Facial Tumor
-spread by biting
What kind of round cell tumor is this?

Neural Crest tumors
-derived from neural crest cells from neuroectoderm
-melanoma from melanocytes
What kind of round cell tumor is this?

Mixed tumor
What kind of tumor is this?

Mixed tumor
-arise from totipotent germ cells
-can differentiate into variety of mature cell types
What kind of tumor is this?

Collison Tumor
-2 seperate tumor types COLLIDING in one spot
What kind of tumor is this?

Harmatoma
-excess of normal tissue
What kind of tumor is this?

Choriostoma
-normal tissue in an abnormal location
What kind of tumor is this?

malignant
-poorly differentiated
-tissue origin unclear
-infiltrative growth !!
Is this a benign or malignant mass?

Benign
-well-differentiated
-little necrosis
-capsulated
Is this a benign or malignant mass?

Metastatic tumor
What kind of tumor is this? (broad category)

Hematogenous metastasis
What kind of tumor is this? (broad category)

Transcolemic metastasis
What kind of tumor is this? (broad category)

Humoral Hypercalcemia of Malignancy
-neoplasm assoicated with PTHrP production
What kind of tumor is this? (broad category)

Hypertrophic Osteopathy
-due to periosteal new bone growth on the long bones
What kind of tumor is this? (broad category)

Chachexia
-fat/muscle loss due to inflammatory states or cancer
What has caused this poor body condition of this lamb?

BLV lymphoma
-HULAS = affacted areras
(heart, uterus, lymph node, abomasum, and spinal cord)
What has caused the gross appearance of this bovine liver?

BLV
What has caused the gross appearance of this bovine heart?

Feline Leukemia Virus (FeLV)
What has caused the gross appearance of this feline liver?

Diffuse
What kind of distribution is this?

Focal/focus
What kind of distribution is this?

Locally extensive
What kind of distribution is this?

Multifocal
-sepsis
-neoplasia
What kind of distribution is this?

Multifocal to coalescing
What kind of distribution is this?

Miliary
What kind of distribution is this?

Raised
what kind of contour is this?

depressed
What kind of contour is this?

focal or locally extensive
Describe the distribution of this lesion.

spleen, diffuse enlargement, rounded edges, mottled red color
splenomegaly - splenic lymphoma
Describe this lesion + diagnosis

Copper toxicity
What has caused this kidney to be gunmetal black, dark red color?

Acute to subacute fibrinous pleural effusion
severe chronic active multifocal hepatic pylogranuloma from rhodococcus equi
Describe these lesions in this goat.

severe chronic active necrotizing + proliferative dermatitis
Describe the lesion in this turkey.

Heart: severe chronic active necrosuppurative endocarditis
Describe this lesion in a horse.

severe verminous abomasitis from Haemonchus contortus
Lesions: disseminated, dozens, round/cylindrical nematodes, off white with distinct red barber pole
Describe these abomasal contents from a goat.

Zonal Hepatocellular degeneration
-pale
-enlarged margins
increased friability
What kind of degeneration is this?

Random hepatocellular degeneration/necrosis
-typical pattern of infectious agents
What kind of degeneration is this?

Panlobular necrosis
-ALL hepatocytes are necrotic
What kind of necrosis?

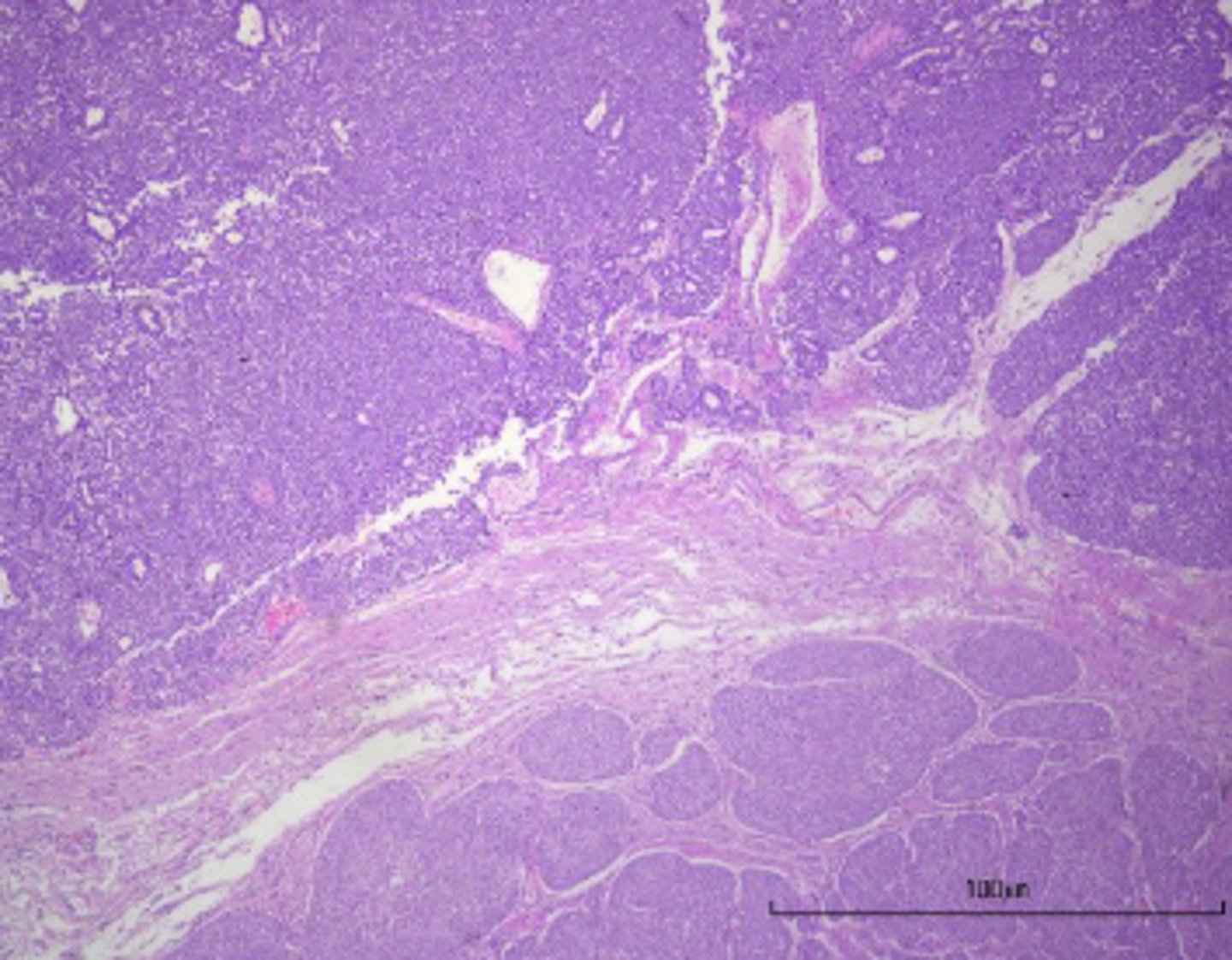
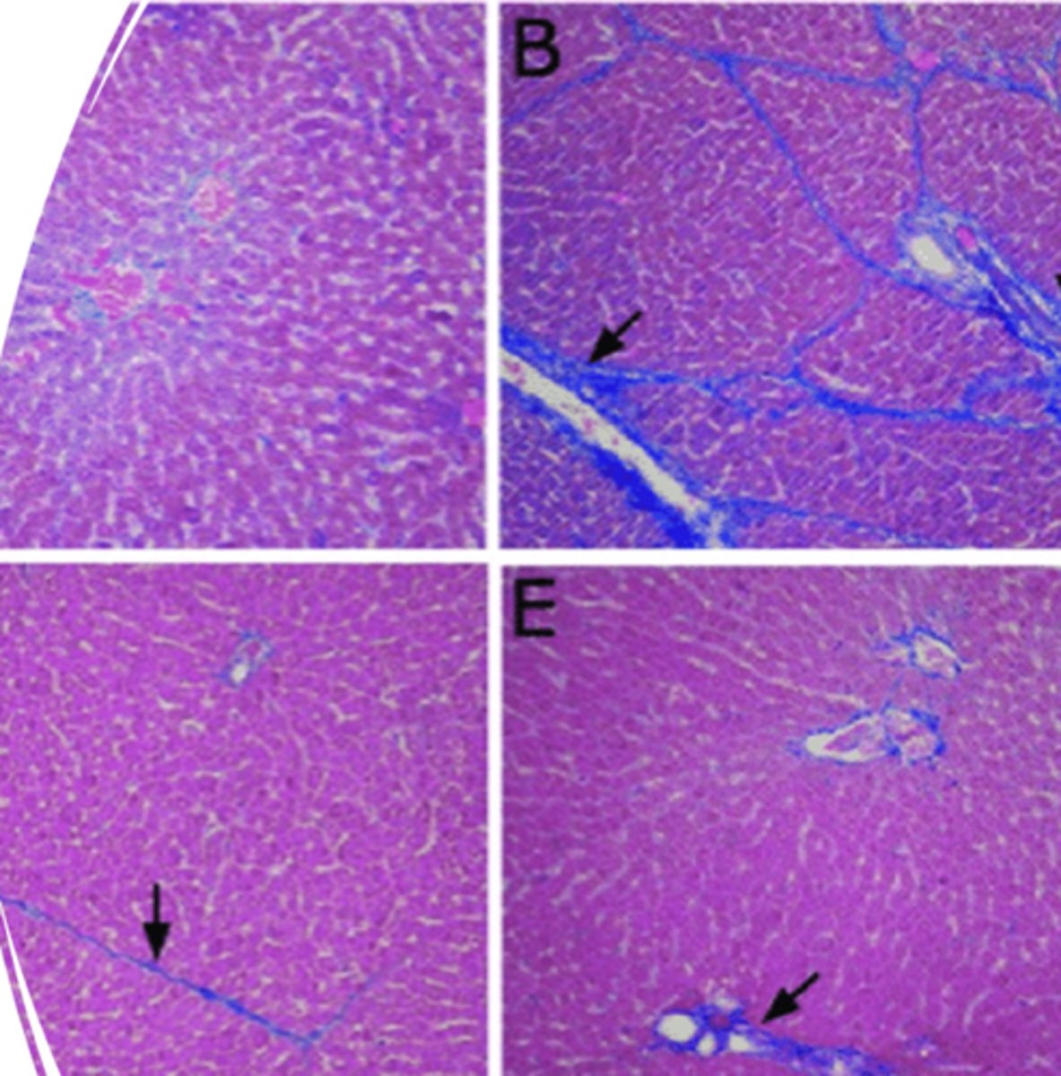
Fibrosis
What is indicated in this image that is a result of chronic liver injury?

Tension lipidosis (steatosis)
What has caused this gross appearance of this liver?

Chronic passive congestion
What has caused this gross appearance of this liver?

Chronic passive congestion
What has caused this gross appearance of this liver?

portal hypertension
what causes ascites in adult large breed dogs such as shown in the image?

Telangiectasis (Peliosis Hepatitis)
What has caused this gross appearance of the liver?
