1/35
Looks like no tags are added yet.
Name | Mastery | Learn | Test | Matching | Spaced | Call with Kai |
|---|
No analytics yet
Send a link to your students to track their progress
define what blood vessels include
capillaries arteries and veins
arteries are ____ vessels because they carry blood away from the ____
conducting; heart
capillaries exchange between ___ and ____?
blood; interstitial fluid
____ accept blood from capillaries and ___ or aka return blood to heart
veins; drain

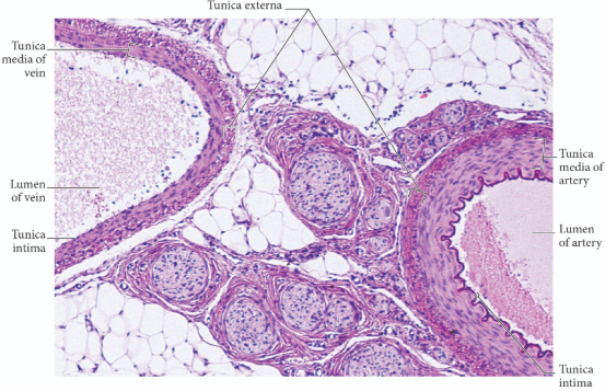
label from top left to bottom left and then top right to bottom right:
work bank
vein
tunica adventitia
elastic lamina
vaso vasorum
tunica intima
artery
basement membrane
venous valve
tunica media
correct answers

tunica interna/ intima contacts?
blood vessels in the lumen
what is known as the endothelium in blood vessels
tunica interna
part of the endothelium creates a slick surface minimizing friction as blood passes through what is this structure called
simple squamous epithelium
____ proteins attach endothelium to connective tissue
basement membrane
__ vessels have endothelium (aka tunica interna), continuous with heart endocardium
ALL
what blood vessels have the lowest blood pressure?
veins
in limbs ___ fold into the lumen to form the venous valves
endothelium cells
what kind of muscle is tunica media
smooth muscle with elastic fibers
contraction/ vasoconstriction ___ blood vessel diameter
decreases
relaxation/ vasodilation ___ vessel diameter
widens
what blood vessels have the thickest tunica media and why?
arteries because they need to maintain there shape even if blood pressure falls
what blood vessel carries the highest blood pressure
arteries
some arteries and veins have ___ between tunics
elastic laminae
during ___ blood surges into arteries and the elastic fibers ___
ventricular systole; stretch
tunica externa/ adventitia describe
loose areolar connective tissue
what is the function of tunic externa
attaches vessels to nearby structures
true or false arteries veins and nerves are packaged close together and their connective tissue interweaves
true
Large vessels have ______, networks of blood vessels which penetrate vessel layers to feed cells
vaso vasorum

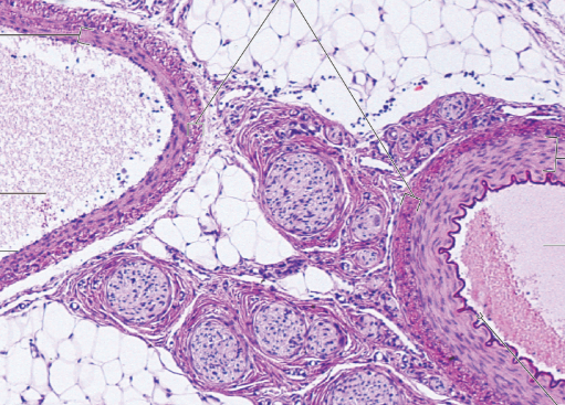
the one on the left is a? the one on the right is a?
vein; artery

label from left down then right down then top center
word bank:
tunica media of vein
tunica externa
lumen of artery
lumen of vein
tunica intima
tunica intima
tunica media of artery
correct answers

conducting arteries include
pulmonary trunk
aorta
brachiocephalic trunk
common carotid
subclavian
common iliac

label from left down then right down
abdominal aorta
pulmonary trunk
aortic arch
subclavian
common iliac
common carotid
correct answers

____ arteries are large in circumference, ___ arteries are medium in circumference
conducting; distributing (muscular)
what arteries have relatively larger amounts of smooth muscle and fewer elastic fibers
distributing
__ capillaries branch from arterioles
microscopic
what are smooth muscles cells wrapping capillary entrances
precapillary sphincters
constricted sphincters ___ blood
block
when capillaries are closed arteriole blood flows into a _____
metarteriole
____ flow into the thoroughfare channel which receives blood from the capillaries
metarterioles
Left and right subclavian arteries give rise to_____________,
which combine to form __________ artery along the anterior aspect of
the brainstem
vertebral; basial
right and left common carotid artery give rise to ____ carotid artery which gives rise to anterior cerebral and ____ artery
internal; middle cerebral