Blood Cell Identification

0.0(0)
studied byStudied by 2 people
call kaiCall Kai
learnLearn
examPractice Test
spaced repetitionSpaced Repetition
heart puzzleMatch
flashcardsFlashcards
GameKnowt Play
Card Sorting

1/6

encourage image

There's no tags or description

Looks like no tags are added yet.

Last updated 7:32 PM on 9/22/25
Name
Mastery
Learn
Test
Matching
Spaced
Call with Kai

No analytics yet

Send a link to your students to track their progress

7 Terms

1
New cards

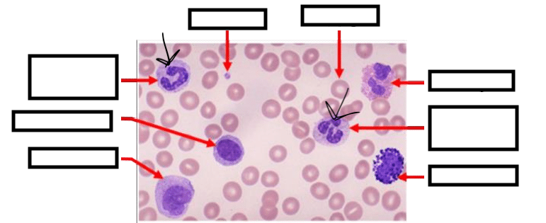
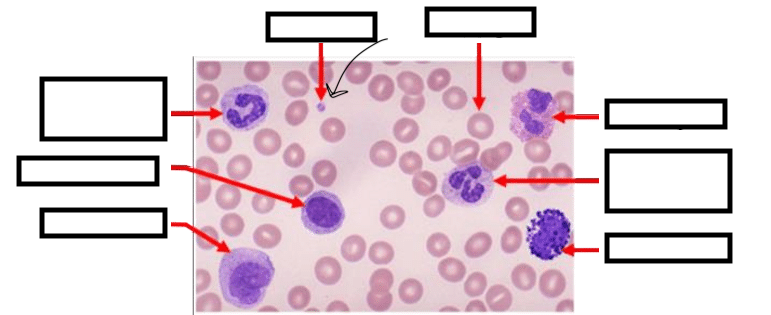
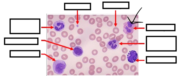
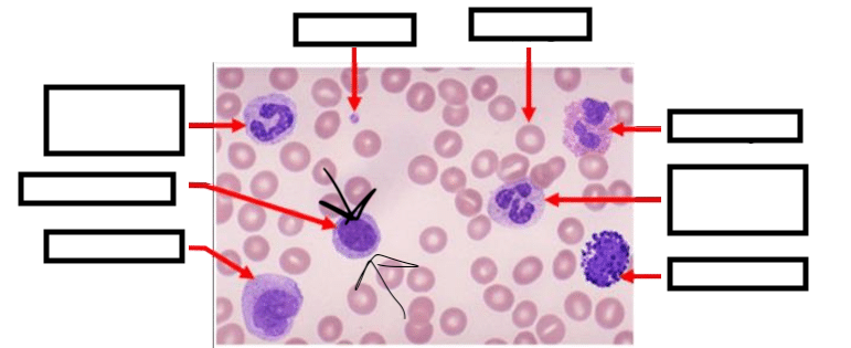
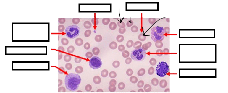
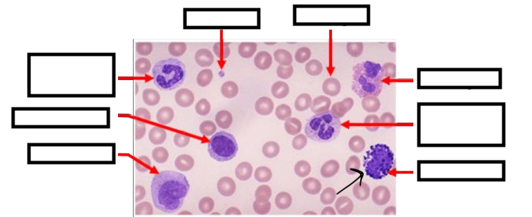
Erythrocytes

knowt flashcard image
2
New cards

Platelets

knowt flashcard image
3
New cards

Neutrophils

knowt flashcard image
4
New cards

Eosinophil

knowt flashcard image
5
New cards

Basophil

knowt flashcard image
6
New cards

Monocyte

knowt flashcard image
7
New cards

Lymphocyte

knowt flashcard image