unit 2 - osteology - mcb 245

0.0(0)
studied byStudied by 0 people
full-widthCall with Kai
GameKnowt Play
learnLearn
examPractice Test
spaced repetitionSpaced Repetition
heart puzzleMatch
flashcardsFlashcards
Card Sorting

1/345

encourage image

There's no tags or description

Looks like no tags are added yet.

Study Analytics
Name
Mastery
Learn
Test
Matching
Spaced

No study sessions yet.

346 Terms

1
New cards

long bones

bones greater in length than width; e.g. femur, humerus

2
New cards

short bones

bones length nearly equal to width; e.g. carpals and tarsals

3
New cards

flat bones

bones flat, thin surfaces, may be slightly curved; e.g. cranial bones

4
New cards

irregular bones

elongate, sometimes complex shapes; e.g. vertebrae

5
New cards

hemopoiesis

blood cell production

6
New cards

osteoprogenitor cells

stem cells that mature to become osteoblasts

7
New cards

osteoblasts

immature bone cells that secretes osteoid

8
New cards

osteocytes

mature bone cell that maintains the bone matrix

9
New cards

osteoclasts

multinucleate cells that secrete acids and enzymes to dissolve bone matrix

10
New cards

ossification

formation and development of bone

11
New cards

osteons

basic functional units of mature compact bone

12
New cards

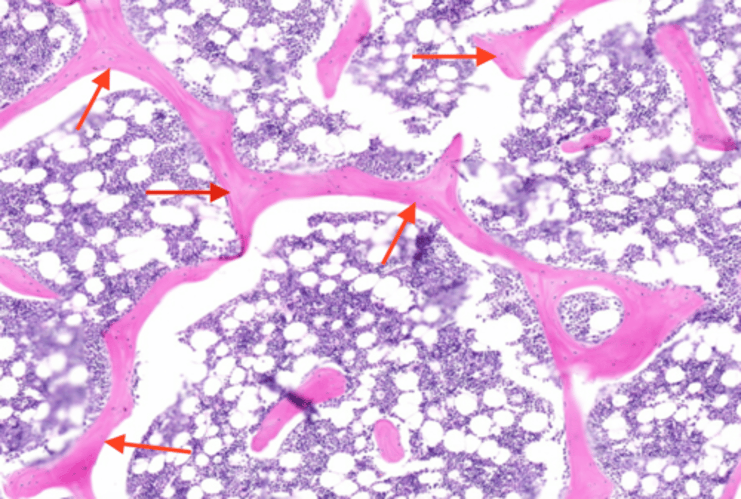
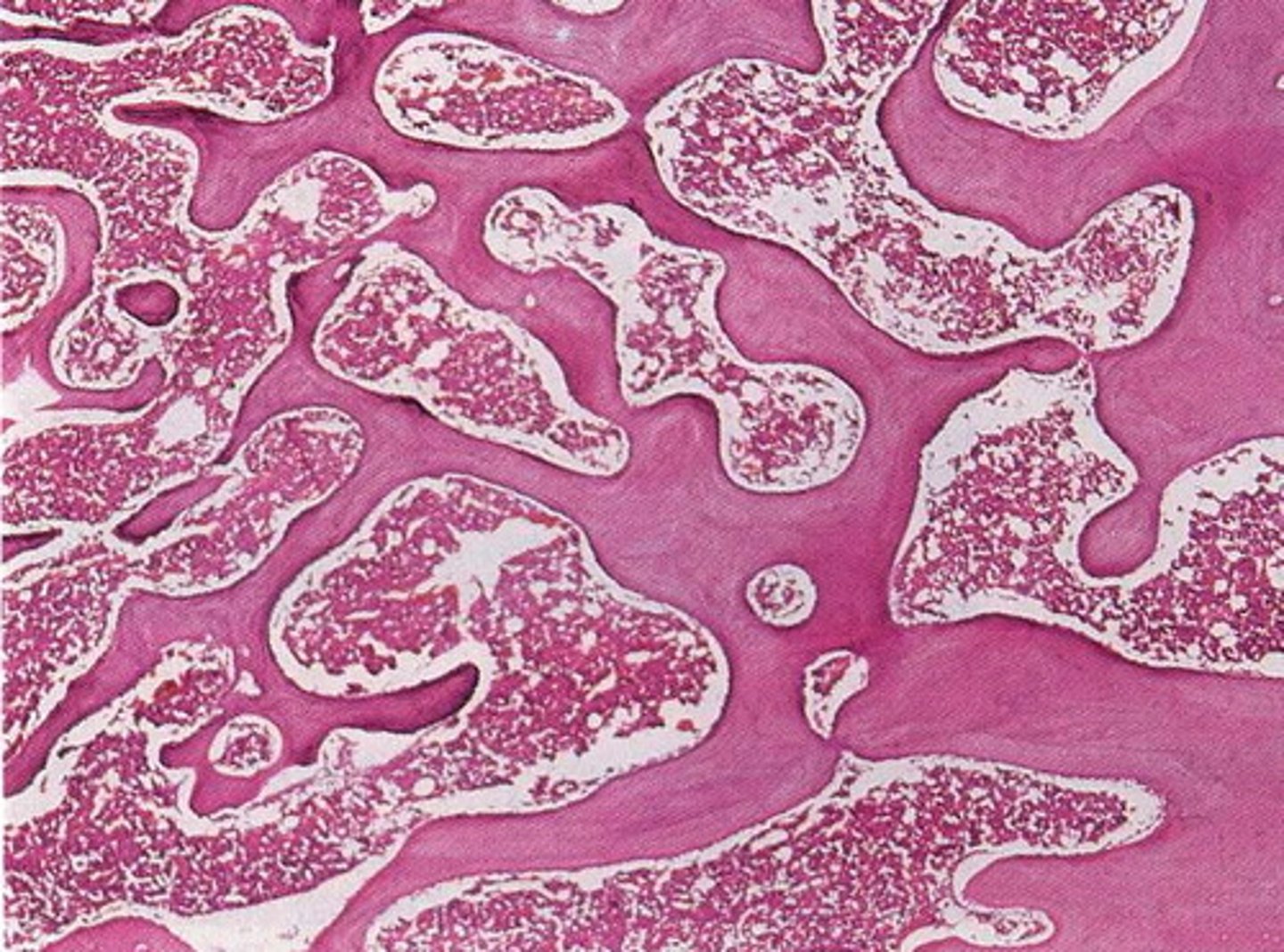
trabeculae

highly porous form of bone tissue that is organized into a network of interconnected rods and plates which surround pores that are filled with bone marrow

13
New cards

condyle

articulating surface: large, smooth, rounded, oval structure

14
New cards

facet

articulating surface: small, flat, shallow surface

15
New cards

head

articulating surface: prominent, rounded epiphysis

16
New cards

trochlea

articulating surface: smooth, grooved, pulleylike process

17
New cards

alveolus

depression: deep pit or socket in the maxillae or mandible

18
New cards

fossa

depression: flattened or shallow depression

19
New cards

sulcus

depression: narrow groove

20
New cards

crest

projection: narrow, prominent, ridgelike projection

21
New cards

epicondyle

projection: projection adjacent to a condyle

22
New cards

line

projection: low ridge

23
New cards

process

projection: any marked bony prominence

24
New cards

ramus

projection: angular extension of a bone relative to the rest of the structure

25
New cards

spine

projection: pointed, slender process

26
New cards

trochanter

projection: massive, rough projection found only on the femur

27
New cards

tubercle

projection: small, round projection

28
New cards

tuberosity

projection: large, rough projection

29
New cards

canal

openings/spaces: passageway through a bone

30
New cards

fissure

openings/spaces: narrow, slit-like opening through a bone

31
New cards

foramen

openings/spaces: rounded passageway through a bone

32
New cards

meatus

openings/spaces: passageway through a bone

33
New cards

sinus

openings/spaces: cavity or hollow space in a bone

34
New cards

axial skeleton

composed of bones that form the longitudinal axis of the body from the skull to the end of the vertebral column

35
New cards

appendicular skeleton

composed of bones that make up the limbs and girdles which attach limbs to the axial skeleton

36
New cards

bone markings

bumps, holes, and ridges on bones where muscles, tendons, and ligaments are attached and where blood vessels and verves pass through

37
New cards

articulation

a joint; where 2 bones meet

38
New cards

fontanels

spaces between bones in an infant skull

39
New cards

canaliculi

tiny canals that radiate outward from the Haversian canal to lacunae to supply the bone cells with nutrients

40
New cards

diaphysis

shaft of a long bone; composed of compact bone

41
New cards

epiphysis

end of a long bone; composed mostly of spongey bone

42
New cards

epiphyseal line

marking left on the bone from growth at the epiphyseal plate

43
New cards

remodeling

process of breaking down and reforming bone that occurs throughout life to maintain proportion and strength as well as healthy calcium levels

44
New cards

fracture

broken bone

45
New cards

rickets

soft bones caused by lack of vitamin D, calcium, or phosphorus

46
New cards

vertebral body

thick anterior weight-bearing structure (part of vertebrae)

47
New cards

vertebral arch

posterior to body (part of vertebrae)

48
New cards

vertebral foramen

opening enclosed by body with vertebral arch

49
New cards

vertebral canal

formed by stacked vertebral foramina, contains the spinal cord

50
New cards

pedicles

originate from posterolateral margins of body (part of vertebrae)

51
New cards

laminae

extend posteromedially from posterior edge of pedicle

52
New cards

spinous process

projects posteriorly from laminae junction

53
New cards

transverse process

lateral projections on both sides of vertebral arch

54
New cards

superior and inferior articular processes

originate at junction between pedicles and laminae, have smooth surface articular facet-articulate with vertebra either above or below

55
New cards

intervertebral discs

pads of fibrocartilage separating vertebral bodies, shock absorbers, allows vertebral column to bend

56
New cards

true ribs

ribs 1-7, connect individually to the sternum by costal cartilages

57
New cards

false ribs

ribs 8-12, costal cartilages not attached directly to the sternum

58
New cards

pectoral

refers to the shoulder region

59
New cards

pelvic

refers to the hip region

60
New cards

clavicle

is an elongated, S-shaped bone which extends between the manubrium of the sternum and the acromion of the scapula

61
New cards

scapula

shoulder blade

62
New cards

humerus

longest and largest upper limb bone

63
New cards

ulna

longer, medially placed bone of the forearm

64
New cards

carpals

wrist bones; allow multiple movements at wrist; arranged in 2 rows of 4 bones each

65
New cards

ilium

largest of 3 coxal bones; forms superior region of the os coxae

66
New cards

femur

longest, heaviest, strongest bone in body

67
New cards

patella

kneecap, large, triangular sesamoid bone

68
New cards

fibula

long, lateral, non-weight-bearing bone of the leg

69
New cards

axial skeleton

knowt flashcard image
70
New cards

appendicular skeleton

knowt flashcard image
71
New cards

ossification

the formation and development of bone connective tissue

72
New cards

endochondral ossification

- process that begins with a hyaline cartilage model

- produces most bones of the skeleton

73
New cards

intramembranous ossification

- bone growth within a membrane (sheet of mesenchymal connective tissue)

- produces flat bones of the skull, some facial bones, the mandible, and the central part of the clavicle

- most ossification occurs during embryological development

74
New cards

osteon

basic functional and structural unit of mature compact bone

75
New cards

central canal

channel at center of osteon that contains blood vessels and nerves

76
New cards

concentric lamellae

bone connective tissue made up of collagen fibers; concentric circles around central canal

77
New cards

osteocytes

mature bone cells found between lacuna to maintain bone matrix

78
New cards

lacuna (with osteocyte)

A

<p>A</p>
79
New cards

osteon

knowt flashcard image
80
New cards

central canal

knowt flashcard image
81
New cards

concentric lamellae

knowt flashcard image
82
New cards

canaliculi

knowt flashcard image
83
New cards

compact bone

knowt flashcard image
84
New cards

spongy bone

knowt flashcard image
85
New cards

trabeculae

knowt flashcard image
86
New cards

parallel lamellae

knowt flashcard image
87
New cards

occipital bone

knowt flashcard image
88
New cards

occipital bone

knowt flashcard image
89
New cards

parietal bone

knowt flashcard image
90
New cards

parietal bones

knowt flashcard image
91
New cards

frontal bone

knowt flashcard image
92
New cards

frontal bone

knowt flashcard image
93
New cards

temporal bone

knowt flashcard image
94
New cards

temporal bone

knowt flashcard image
95
New cards

sphenoid

knowt flashcard image
96
New cards

sphenoid

knowt flashcard image
97
New cards

sphenoid

knowt flashcard image
98
New cards

ethmoid

knowt flashcard image
99
New cards

ethmoid

knowt flashcard image
100
New cards

ethmoid

knowt flashcard image