1/83
Looks like no tags are added yet.
Name | Mastery | Learn | Test | Matching | Spaced |
|---|
No study sessions yet.

What is the affected side showing?
Effusion of the knee

How would you document the spinal curvature?
Scoliosis

Which spinal curvature do these patients have?
Kyphosis

Which spinal curvature do these patients have?
Lordosis

Which angular deformity does this patient have?
Genu Normal

Which angular deformity does this patient have?
Genu Varum

Which angular deformity does this patient have?
Genu Valgum

Which joint deformity is shown here?
Swollen Joints

What range of motion is the patient doing with their TMJ (temporomandibular joint)?
Extension of the temporomandibular joint (TMJ)

Which shoulder range of motion is shown here?
Rotation of the shoulders
(Left: internal, Right: external)

Which neck range of motion is this?
Flexion

Which neck range of motion is this?
Hyperextension

Which neck range of motion is this?
Lateral Flexion

Which neck range of motion is this?
Rotation

Which hip range of motion is shown here?
Flexion of the hip

How would you document the color in each test tube?
Clear
Pale yellow
Straw yellow
Dark yellow
Amber
Brown
Red

How would you document this finding in a urine sample?
Sediment in pale yellow urine

How would you document the characteristics and color of this urine?
Cloudy straw yellow urine

How would you document the characteristic of this urine?
Hematuria

What is this image showing?
How do you assess this item?
Do you or do you not want a bruit and thrill to be present?
AV (arteriovenous) fistula. Assess for a thrill (vibration) and bruit (whooshing sound). We want BOTH of these items to be present when assessing an AV fistula. This tells us that the AV fistula is working.

How would you document the shape of this abdomen?
Round, obese abdomen

How would you document the shape of this abdomen?
Flat abdomen

How would you document the shape of this abdomen?
Concave abdomen

How would you document the finding of this abdomen?
Portrusion of the umbilicus

What artery is each line pointing to in this picture?
Aorta
Renal
Illiac
Femoral

Which assessment is being performed for this patient?
What does it assess for?
Murphy’s punch
Kidney issues: infections, kidney stones

What stools are considered constipated, normal, or lacking fiber/inflammation?
Constipated: types 1 & 2
Normal: types 3 & 4
Laking fiber/inflammation: types 5,6,& 7

How would you document this assessment finding?
Russell’s sign

How would you document the assessment findings of the tragus?
Inflamed with erythema and swelling

Which assessment technique is shown here?
Pulling pinna up to assess ear canal

How would you document the assessment findings of this patient’s eyes?
Exophthalmos

How would you document the assessment findings of this patient’s eyes?
How would you assess for this disorder?
Strabismus (ocular misalignment)
Assessed by testing the corneal light reflex.

How would you document the assessment finding?
Which part of the eye is affected?
Jaundice of the sclera

How would you document the assessment findings of this patient’s conjunctiva?
Pale conjunctiva

How would you document this patient’s pupils?
Anisocoria

How would you document the patient's left eye?
Ptosis (drooping) of the left eye lid

Interpret and document results of a snellen test
Left eye abbreviation
OS
Right eye abbreviation
OD
Both eyes abbreviation
OU

What facial sinus is being assessed?
Frontal sinus

What facial sinus is being assessed?
Maxillary sinus

Deviated septum

How would you document the size of this patient’s tonsils?
+4

How would you document the white spots found in this patient’s mouth?
Fungal infection

How would you document the red spots found in this patient’s mouth?
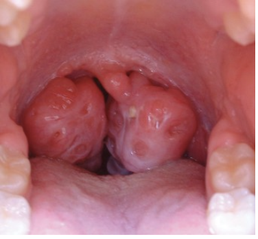
How would you grade these tonsils?
Red spots: Infection such as strep throat
Tonsil size: +2

Which cranial nerve is not intact for this patient?
Facial nerve (VII)

Which cranial nerve is responsible of the function of clenching your jaw?
Trigeminal nerve (XII)

Which type of posturing does this patient have?
Decerebrate

Which type of painful stimuli is the nurse assessing?
Supraorbital pressure

Which type of painful stimuli is the nurse assessing?
Trapezius squeeze

Which reflex is being tested on this patient?
Plantar reflex (assessing for a Babinski sign)

Which reflex is the nurse assessing?
Patellar reflex

Which reflex is being assessed by the nurse?
Achilles reflex

Which pulse is the nurse assessing?
Popliteal pulse

Be able to complete a Glascow coma scale on a patient
When completing a Glascow Coma Scale, how do you document the verbal response of a patient that is intubated?
Put the letter “t” after the score to indicate intubation.

Which pulse is the nurse assessing?
Doralis pedis pulse

Which pulse point is the nurse assessing?
Brachial pulse

Which pulse is the nurse assessing?
Radial pulse

Which pulse is the nurse assessing?
Posterior tibial pulse

Which test is being shown in this image?
Allen’s test

What type of edema is shown in the right image?
How would you grade it? The depth and amount of time it takes to resolve would be provided in the exam question.
Pitting edema

How would you document the condition of this patient’s skin?
Rubor

How would you document this patient’s veins?
Varicose veins

What test is being assessed in this patient?
Homans Sign

What nail condition is shown in this patient?
What is it indicative of?
Nail clubbing. Indicative of poor perfusion and lack of oxygen.

How would you document this skin condition?
Skin tenting

Which method is the nurse using to assess the skin?
For which assessments does the nurse use this technique?
Palpating with the dorsal side of the hand to assess the skin temperature.

How would you document the shape of this chest?
Barrel Chest

How would you document each type of sputum?
Clear
Yellow
Green
Dark yellow
Brown
Bloody

Which condition does this patient’s jugular vein have?
Jugular vein distention seen while patient is sitting at 90 degrees

How would you document this assessment finding located on the infant’s head?
Sunken anterior fontanelle

How would you document the condition this child has?
Hydrocephalus

Be able to list the name of each of the lymph nodes on this diagram
Posterior auricular
Occipital
Jugulodigastric
Superficial cervical
Posterior cervical
Supraclavicular
Preauricular
Submandibular
Submental
Deep cervical chain

Which condition does this patient have?
Enlarged thyroid (goiter)

How would you document this skin finding?
Lentigo

How would you document this skin lesion?
Scale

What type of wound does this patient have?
Venous ulcer

How would you find this skin finding?
Ecchymosis

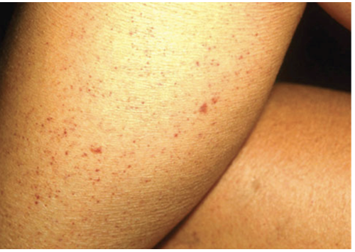
How would you document this skin finding?
Petechiae

How would you document this skin finding?
Pustule

How would you document this spot on the patient?
Wheal

How would you document this skin lesion?
Skin tag (pedunculated lesion)

Know how to complete a Braden Scale on a patient given a paragraph of information