Lab Test Review

5.0(1)
studied byStudied by 10 people
5.0(1)
full-widthCall Kai
learnLearn
examPractice Test
spaced repetitionSpaced Repetition
heart puzzleMatch
flashcardsFlashcards
GameKnowt Play
Card Sorting

1/34

flashcard set

Earn XP

Description and Tags

Study Analytics
Name
Mastery
Learn
Test
Matching
Spaced

No study sessions yet.

35 Terms

1
New cards
Ionic or Molecular/Covalent? NaCl
Ionic
2
New cards
Ionic or Molecular/Covalent? FeBr
Ionic
3
New cards
Ionic Bond
Contain one or more cations paired with one or more anions
4
New cards
Covalent Bond/Molecular Bond
Formed by two or more non metals
5
New cards
Ionic or Molecular/Covalent? H20?
Molecular/Covalent
6
New cards
Ionic or Molecular/Covalent? CO2?
Molecular/Covalent
7
New cards
If both sheets of litmus paper are blue what is it?
Base
8
New cards
If both sheets of litmus paper are red what is it?
Acid
9
New cards
If both sheets of litmus paper are the same as when they started what is it?
Neutral
10
New cards
Physical Change
There is a change in the appearance or form of the matter but the kind of matter does not
11
New cards
Chemical Change
The kind of matter changes and at least one new substance with new properties is formed
12
New cards
4 examples of chemical change
Burning, cooking, rusting, and rotting
13
New cards
4 examples of physical change
Boiling, melting, freezing, and shredding
14
New cards
Indications of chemical change

1. Color Change
2. Production of an odor
3. Change of Temperature
4. Evolution of a gas (formation of bubbles)
5. Precipitate (formation of a solid)
15
New cards
Indications of physical change

1. Change in size or shape
2. Change in state of matter
3. Reversible
4. No new substance formed
16
New cards
Practice Balancing Equations
I will
17
New cards
Synthesis
To elements or compounds combine
18
New cards
Decomposition
A compound is broken down into simpler substances, all the way down to the elements that makes it up
19
New cards
Combustion
A compound containing carbon (C) and hydrogen (H)(sometimes oxygen) combines with oxygen to produce water (H20) and carbon dioxide (CO2)
20
New cards
Single Replacement
One element that starts out by itself replaces another element in a compound kicking it out. Leaving the kicked out element alone
21
New cards
Double Displacement
The positive negative ions in two compounds switch places
22
New cards
The Law of Conservation Of Mass
Mass can not be created or destroyed it only changes shape
23
New cards
Steps to focus a microscope

1. Make sure the smallest objective lens is facing me (red)
2. Make sure slide is in the middle of the stage
3. Start with the coarse adjust knob (bigger one) to focus as much as possible
4. Use fine focus know to make sure slide is in focus
5. Without touching the focus knob shift to next objective
6. Only use fine adjust knob to focus when on small magnification
24
New cards
Microscope Label
sporcle.com
25
New cards
Three differences between plant and animal cells

1. Plant cells have cell walls
2. Animal cells have centrioles
3. Plant cells have chloroplasts
26
New cards
Plant Cell or Animal Cell
Plant Cell or Animal Cell
Animal Cell
27
New cards
Plant Cell or Animal Cell
Plant Cell or Animal Cell
Plant Cell
28
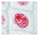
New cards
What stage of mitosis
What stage of mitosis
Interphase
29
New cards
What stage of mitosis
What stage of mitosis
Prophase
30
New cards
What stage of mitosis
What stage of mitosis
Later Prophase
31
New cards
What stage of mitosis
What stage of mitosis
Metaphase (everything in the middle)
32
New cards
What stage of mitosis
What stage of mitosis
Early Anaphase
33
New cards
What stage of mitosis
What stage of mitosis
Anaphase
34
New cards
What stage of mitosis
What stage of mitosis
Telophase
35
New cards
What stage of mitosis
What stage of mitosis
Cytokinesis

Explore top flashcards

Exam 2
Updated 601d ago
flashcards Flashcards (33)
AP World: People
Updated 925d ago
flashcards Flashcards (36)
APWH Unit 1
Updated 565d ago
flashcards Flashcards (40)
italian
Updated 971d ago
flashcards Flashcards (38)
BIO Ch 10
Updated 954d ago
flashcards Flashcards (26)
Exam 2
Updated 601d ago
flashcards Flashcards (33)
AP World: People
Updated 925d ago
flashcards Flashcards (36)
APWH Unit 1
Updated 565d ago
flashcards Flashcards (40)
italian
Updated 971d ago
flashcards Flashcards (38)
BIO Ch 10
Updated 954d ago
flashcards Flashcards (26)