1/3
Name | Mastery | Learn | Test | Matching | Spaced | Call with Kai |
|---|
No analytics yet
Send a link to your students to track their progress

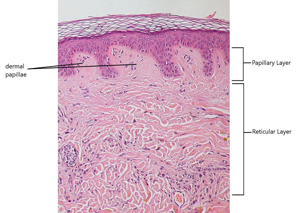
Dermis
The thick middle layer of skin beneath the epidermis and above the hypodermics, That is composed of connective tissue, collagen and elastin. , sweat glands dermis layer contains blood vessels, nerves, hair follicles, which provide strength, elasticity and sensation to the skin

Papillary Layer
-Superficial layer of dermis, under epidermis, Made of loose areolar CT containing collagen, Increases surface area for nutrient exchange And Houses small blood vessel’s, Lymphatic capillaries, nerves ending and sensory receptors such as the Tactile corpuscle (Meissner Corpuscles)
-Supplies nutrients to epidermis
-supports thermal regulation
-enables feeling and defense

Reticular Layer
Located in a deeper and thicker layer of the epidermis, extending to the hypodermis. It is composed of Dense irregular CT, collagen fibers a range together with elastic fibers for skin elasticity.
It contains larger blood vessels, sweat glands, sebaceous glands, hair follicles, nerve fibers and lymphatics
provides structural support and elasticity to skin
Contains glands and hair follicles
Regulates temperature, enables sensation and supports immunity
Tissues and components
Fibroblast if tissue: Made of collagen for strength and elastic fibers for flexibility
Ground substance: Gel-like material containing water.
Cells: Fibroblast, Adipocytes, schwann Cells and stem cells