1/49
Looks like no tags are added yet.
Name | Mastery | Learn | Test | Matching | Spaced | Call with Kai |
|---|
No analytics yet
Send a link to your students to track their progress
How does the structure of an avian heart compare to a mammalian heart?
2 circuits
4 chambers
ventricles are slightly connected
heart is much larger in proportion to the body due to high metabolic demands of flight
Outline turtle and lizard heart structure
2 circuits
5 chambered hearts
oxygenated and deoxygenated are mixed to some extent
proportionately smaller due to low metabolic demand
outline crocodile hearts
2 circuits
2 chambers
outline fish hearts
1 circuit and 2 chambered
blood goes from gills → body → heart
heart is found close to the head to be close to the gills
outline frog hearts
3 chambers: 2 atria and one ventricle
RA receives deoxygenated and LA oxygenated from the lungs
ventricle is partially divided but classed as 1 ventricle, helps to separate to some extend but not fully
frog is semi aquatic: when young, needs skin for respiration in water, when an adult the lungs are the primary site for gas exchange so circulatory system becomes more efficient


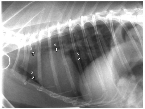
outline this radiograph:
what species
what do we notice about proportions?
what is a disadvantage to this body structure?
in which species do we see this layout?
rabbit
green = heart - rabbit has very small thorax proportional to abdomen, heart is very cranial
any thing can affect lungs and heart from the abdomen, e.g. reproduction as thoracic cavity is so small
hind gut fermenters

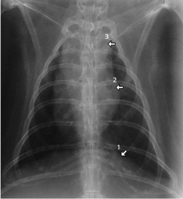
What species is this radiograph from and what is important to recognise about it?
rabbit
it’s large compared to thoracic space, sits vertically against sternum and is very cranial - anatomical location in relation to techniques we may perform

what species
what are the numbers
rabbit
2= cardiac silhouette
= trachea
where trachea bifurcates to go into different bronchi
caudal vena cava

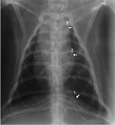
What species and what are the numbers
rabbit
1 = diaphragm 2 = cardiac silhouette
= mediastinum which is larger in rabbits

What species radiographs are these and how do they compare to rabbits
guinea pigs
vast majority of body is still abdomen, very small areas for thorax. Shared amongst hind fermenters
what are the 4 common species that have small thorax: abdomen?
rabbit
guinea pig
dengues
chinchillas

What species is this thorax and what can we note about it?
ferret
longer thorax and heart is very caudal and close do the diaphragm

What species radiograph is this and what can we identify?
bird
blue = lungs
red = heart
rest = Gi tract - due to no diaphragm


What species and what can we identify here?
bird
blue = lungs
red = heart

In which view must we take tortoise radiographs for the lungs? Can we view the heart?
cranio-caudal
lateral
not VD as shell is too thick
no we can’t view the heart due to shell

How do we perform a radiograph on a snake
use a doppler to identify where the heart is
use this as a guid for positioning for radiograph
Snakes also have air sacks

Identify the temperature, heart beat and breathing rate for:
rabbit
38.5-40
130-325
30-60
Identify the temperature, heart beat and breathing rate for:
chinchilla
34.9-37.9
200-240
40-80
Identify the temperature, heart beat and breathing rate for:
ferret
37/8-40
200-400
33-36
Identify the temperature, heart beat and breathing rate for:
guinea pig
37.5-39.5
230-380
40-120
Identify the temperature, heart beat and breathing rate for:
rat
37.5-39.5
250-450
70-120
Identify the temperature, heart beat and breathing rate for:
syrian hamster
37-39
250-500
50-135
Identify the temperature, heart beat and breathing rate for:
gerbil
37-39
260-450
70-130
Identify the temperature, heart beat and breathing rate for:
mouse
36-38
300-800
70-220
How do we measure heart rate in a lizard
use a doppler
place it over jugular or heart
how do we measure BP and ECG:
bird
snake
around the wing under GA/sedation
snake around the tail - use sphygmomanometer
where do we take blood sample from a rabbit
jugular (last choice as stressful)
cephalic
saphenous
lateral and medial MARGINAL ear vein = auricular vein

How do we take blood from hedgehogs/guineapigs
caudal vena cava
insert needle into thoracic inlet and put needle b/w clavicle and first rib - where you feel a dip either side of clavicle
keep at a 30-40degree angle and point towards the opposite hip
remain superficial and have blood flush in - don’t go deeper, just move side to side (especially in guinea pigs, as heart is so cranial)
For animals with tails, where can we take blood samples?
from the lateral tail vein
where can we take blood from in birds
medial metatarsal vein - birds larger than pigeons
jugular - small birds
basilic (ulnar) vein

where do we take blood samples from in reptiles
ventral tail - ensure caudal to cloaca in snakes
dorsal tail vein
jugular vein (be careful)
subcarapacial sinus (tortoises)
intracardiac: only if patient is completely still and heart can be held still (with thumb and index finger)
ventral abdominal vein in patients w. very thin skin and pale skin

what is special about bird and reptile blood cells
nucleated
what leucocytes do reptiles and birds have that mammals don’t
heterophils (aka neutrophils)
azurophils (monocytes in birds) - monocyte equivalent in smallies
We have a tortoise presented by an owner who thinks it’s dead… it’s very cold, what should we do?
warm up and see if a heart beat is then detected.
They’re not dead until they’re warm and dead
Why should we have a veterinary consult before allowing a tortoise to hibernate
ensure the tortoise isn’t showing signs of illness that may prevent a healthy hibernation including nasal discharge, swelling of the eyes or limbs, any changes inside the mouth.
a faecal parasite screen may be advised too.
reproductive activity needs to be assessed
Why can we hibernate tortoises in a fridge
constant cold temperature
ensures safety from predators
do need to open door often though to ensure there’s enough O2
when do tortoises start preparing for hibernation and when should they go into hibernation
late august
november
what is another word for hibernation
brumation
how long should tortoises hibernate for
8-10 weeks if small
up to 16 weeks if large
How do we wake up a tortoise from hibernation
remove from cold area and expose to a UV/basking lamp
ensure they’re in a calm, quiet environment
once they start stirring, provide with water and if awake enough, bathe in lukewarm water, place back in enclosure and slowly increase temperature back to normal
should start to eat food over the next 10-14 days
why may a PCV of a tortoise coming out of hibernation be very high?
dehydrated due to being in hibernation
blood is very concentrated in cells.
What structures does water have to pass through for the fish to complete respiration?
gill filaments
lamellae: primary and secondary
gill rakers
operculum
How would we keep a fish breathing during surgery?
place into anaesthetic bath with suitable concn so it’ll be absorbed through gills and enter bloodstream
use a syringe to pass water and then anaesthetic over the gills
What functions are affected if gills are damaged?
osmoregulation
nitrogeneous excretion
pH regulation
hormone production affected
what are the main physiological functional differences b/w mammal and fish respiration
gills are more effective gas exchange system due to use of counter current
means exchange occurs constantly, unlike in lungs where an equilibrium is reached
What 2 physical properties of water do fish have to overcome in terms of respiration?
low O2 content in water
water is thicker than air
How do fish overcome:
low O2 content in water
water being thicker than air
counter current flow to maintain gradient
movement through water to maintain flow over the gills
why would a bird/reptile with coelomic mass/fluid accumulation in the cavity have laboured/troubled breathing
they don’t have a diaphragm therefore fluid/mass pushes onto lungs so they can’t inflate, meaning other mechanisms need to be adopted to stimulate respiration
why do tortoises (chelonians) move limbs and head in laboured breathing?
they have a pseudodiaphragm which isn’t a muscle but a large sheet of tissue attached to front and back legs
means they can breathe by moving limbs, by forcing air movement
what enables snakes to breathe whilst swallowing very large prey?
they can extend the glottis to the side of their mouth whilst eating
glottis is a vertical air slit so air can pass through, allowing respiration whilst eating