1/71
Looks like no tags are added yet.
Name | Mastery | Learn | Test | Matching | Spaced | Call with Kai |
|---|
No analytics yet
Send a link to your students to track their progress
Name the carpals

What are the recommended projections
PA
lateral
oblique
What are some additional views for the wrist
ulnar deviation PA
radial deviation PA
carpal tunnel view
closed fist view
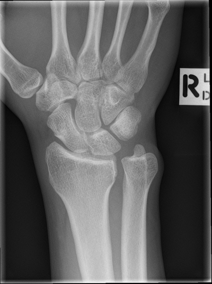
What view is this

PA wrist
What view is this

PA wrist
What is 1

capitate
What is 16

trapezoid
What is 15

trapezium
What is 12

scaphoid
what is 6

lunate
what is 17

triquetrum
what is 8

pisiform
what is 18

ulna
what is 10

radius
what is 4

hamate
What is a negative ulnar variance
ulna sits below/shorter than radius
What is a positive ulnar variance
ulna sits above/longer than radius
What can ulnar variances cause
more stress on areas of the wrist
where is stress localized with a positive ulnar variance
ulnar side
where is stress localized with a neutral ulnar variance
throughout whole hand/wrist
where is stress localized with a negative ulnar variance
radial side
purpose of an oblique wrist view
gives better visualization of hamate, triquetrum, and trapezium
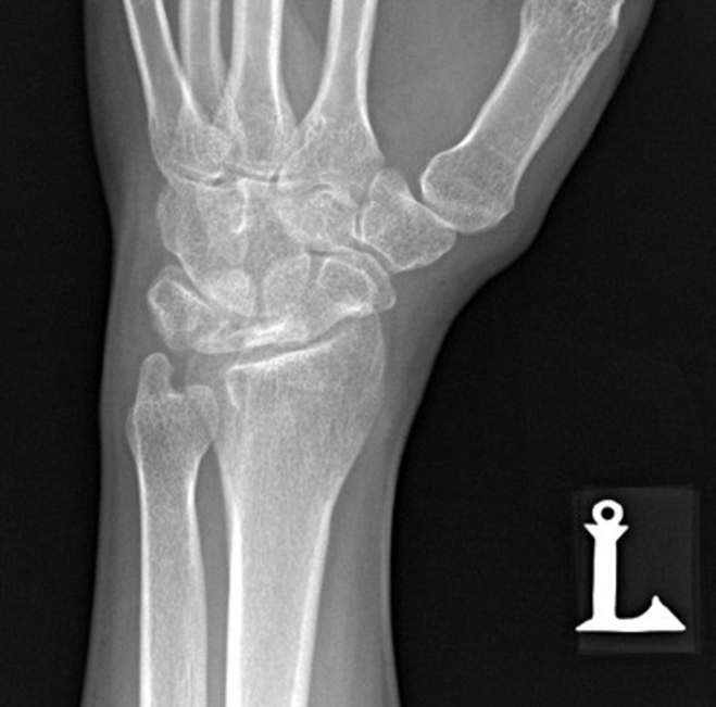
What view is this

oblique wrist
What view is this

oblique wrist
What is 1

1st met
What is 2

scaphoid
What is 3

pisiform
What is 4

triquetrum
What is 5

What is 6

What is 7

What is 8

What is 9

What is 10

What is 11

What is 12

What is 13

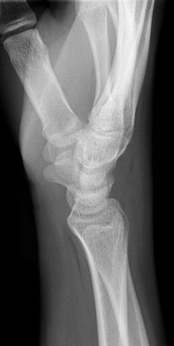
what view is this?

lateral wrist
optional view of the wrist
radial deviation
ulnar deviation
clenched fist view
carpal tunnel view
What view is this

radial deviation
What view is this

radial deviation
what does the radial deviation show best
lunate
triquetrum
hamate
hamate
pisiform
What view is this

ulnar deviation
What does the ulnar deviation best show
scaphoid fractures
scapholunate dislocations
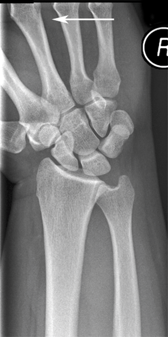
What view is this?

clenched fist view
What’s another name for clenched fist view
stress view PA
What is the clenched fist view used for
identify scapho-lunate dissociations
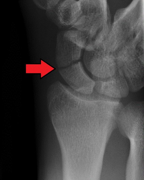
What does this image show

gap between the scaphoid and lunate
purpose of the carpal tunnel view
the space for the nerves/tendons in the carpal tunnel
What can the carpal tunnel view be helpful in seeing
hook of hamate
What is this view

carpal tunnel view
what view is this

carpal tunnel view
Where are the carpals

carpals in children are cartilaginous
standard views of the hand
PA
lateral
oblique
additional views for hand
too many
What view is this

PA hand
What view is this

PA hand
What view is this

lateral hand
What view is this

lateral hand
the lateral hand view has what view of the thumb
PA
What view is this

oblique hand
What view is this

oblique hand
What type of fx is this

bennett
when does a Bennett fx occur
fx-dislocation resulting from axial blow to the partially flexed metacarpal
define a Bennett fx
base of the metacarpal dislocates and an avulsion fx to the ant lip of the base of the thumb occurs
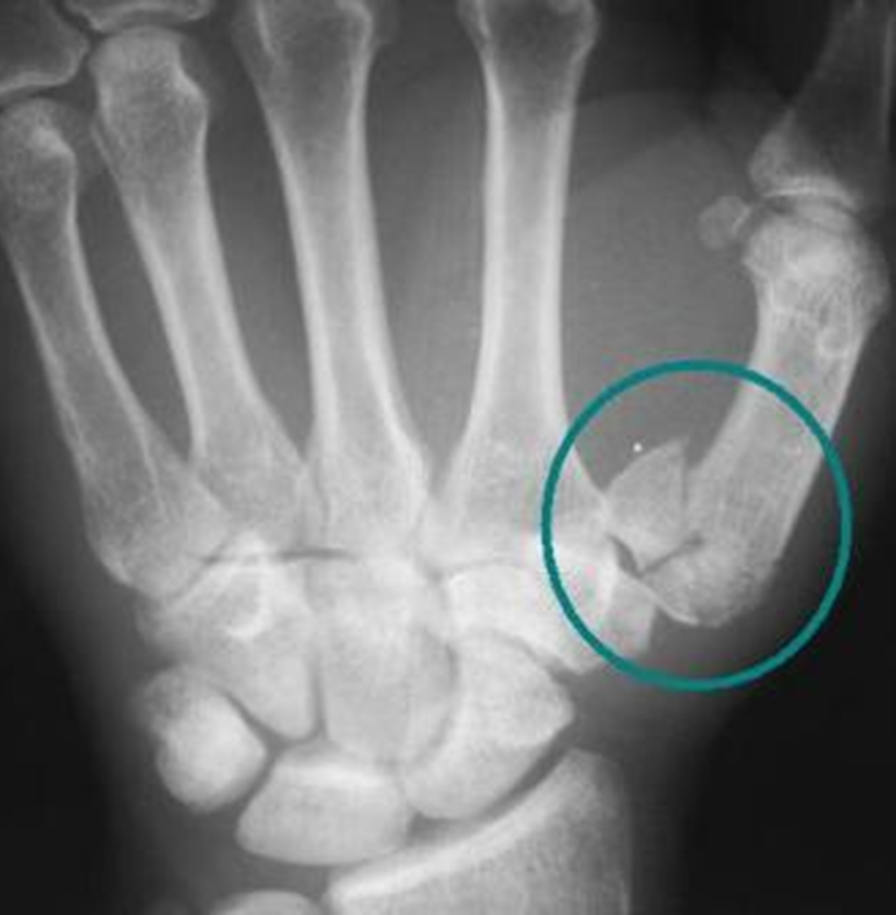
What patho is being shown

nonunion of scaphoid due to poor perfusion
What fx is this

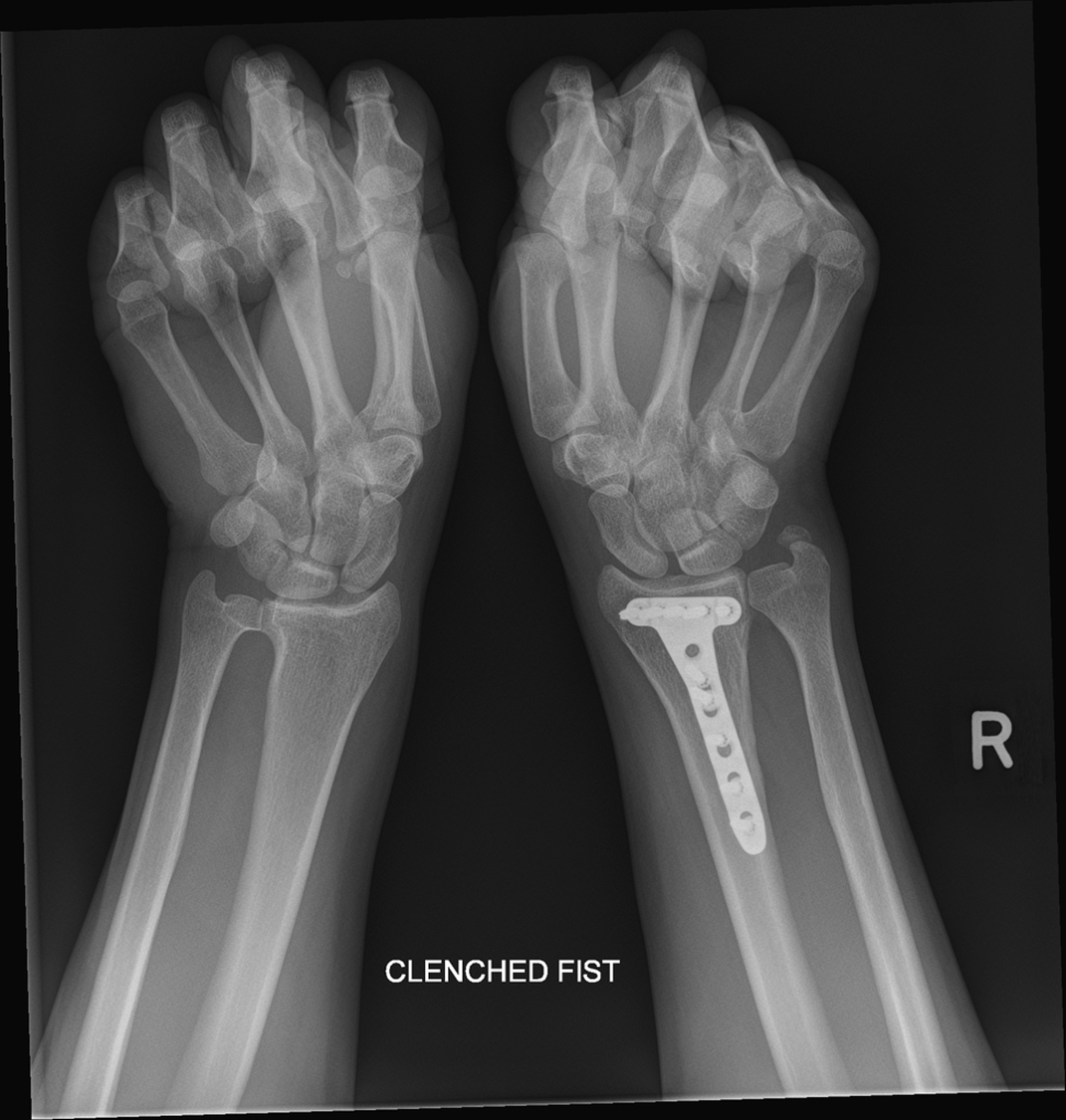
Colles’ fx
initial image according to the ACR guideline for traumatic wrist and hand
XR
next steps if there is trauma or unclear dx according to the ACR
repeat radiograph 10-14 days
MRI
CT
next steps if there is wrist tendon/lig trauma according to the ACR
MRI
MR arthrogram
CT arthrogram
Dx US
next steps if there is DRUJ or carpal malalignment (no fx) according to the ACR
CT
MR
MR arthrography
next steps if there is MCP, PIP, DIP malalignment (no fx) according to the ACR
MRI
Dx US