1/10
Looks like no tags are added yet.
Name | Mastery | Learn | Test | Matching | Spaced | Call with Kai |
|---|
No analytics yet
Send a link to your students to track their progress

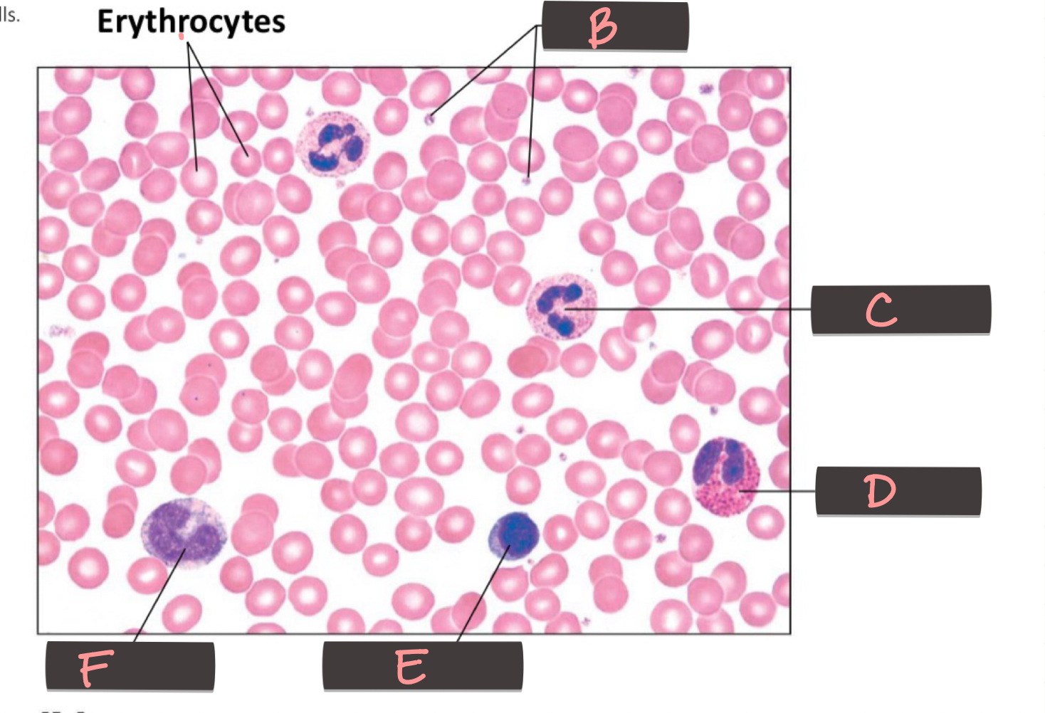
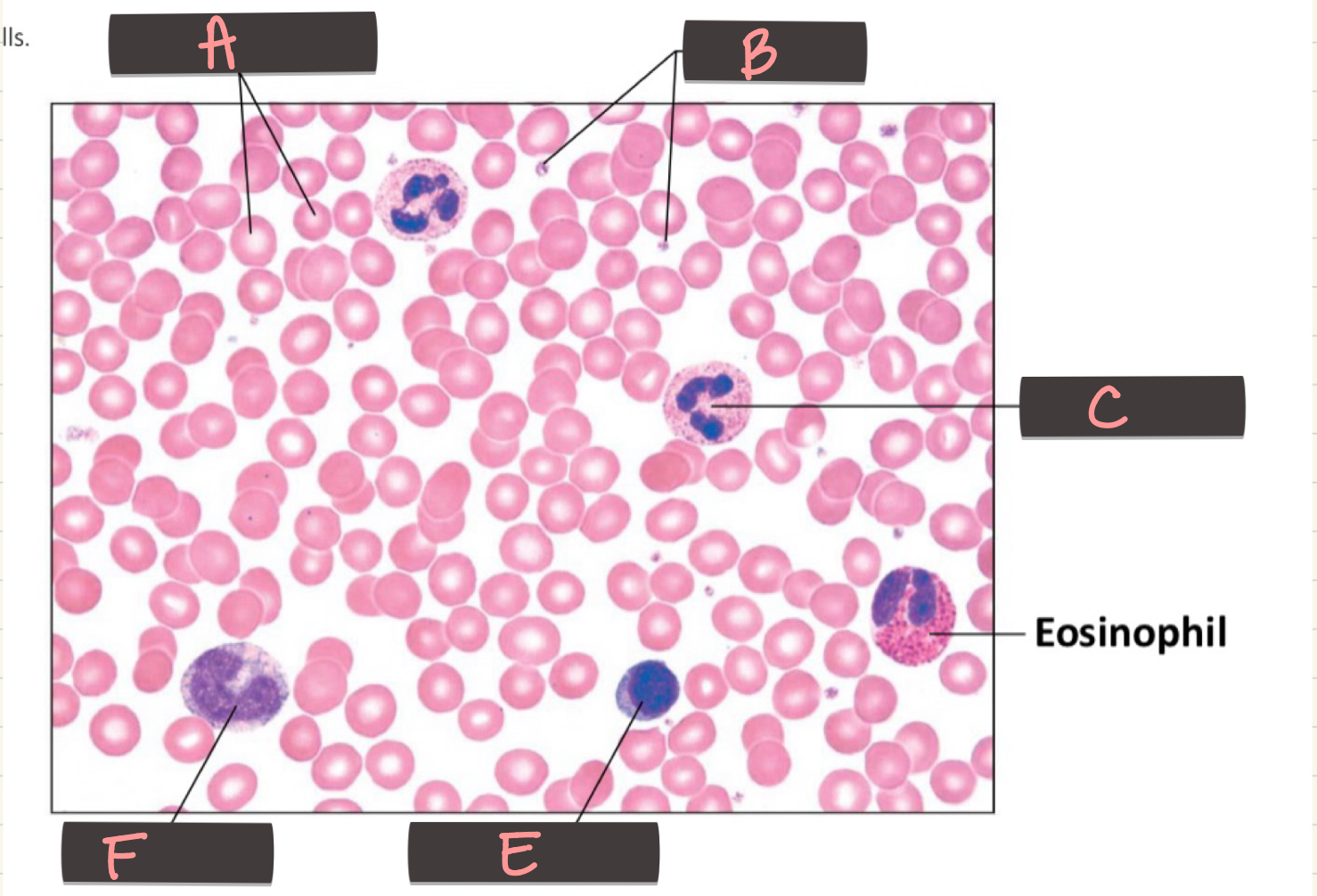
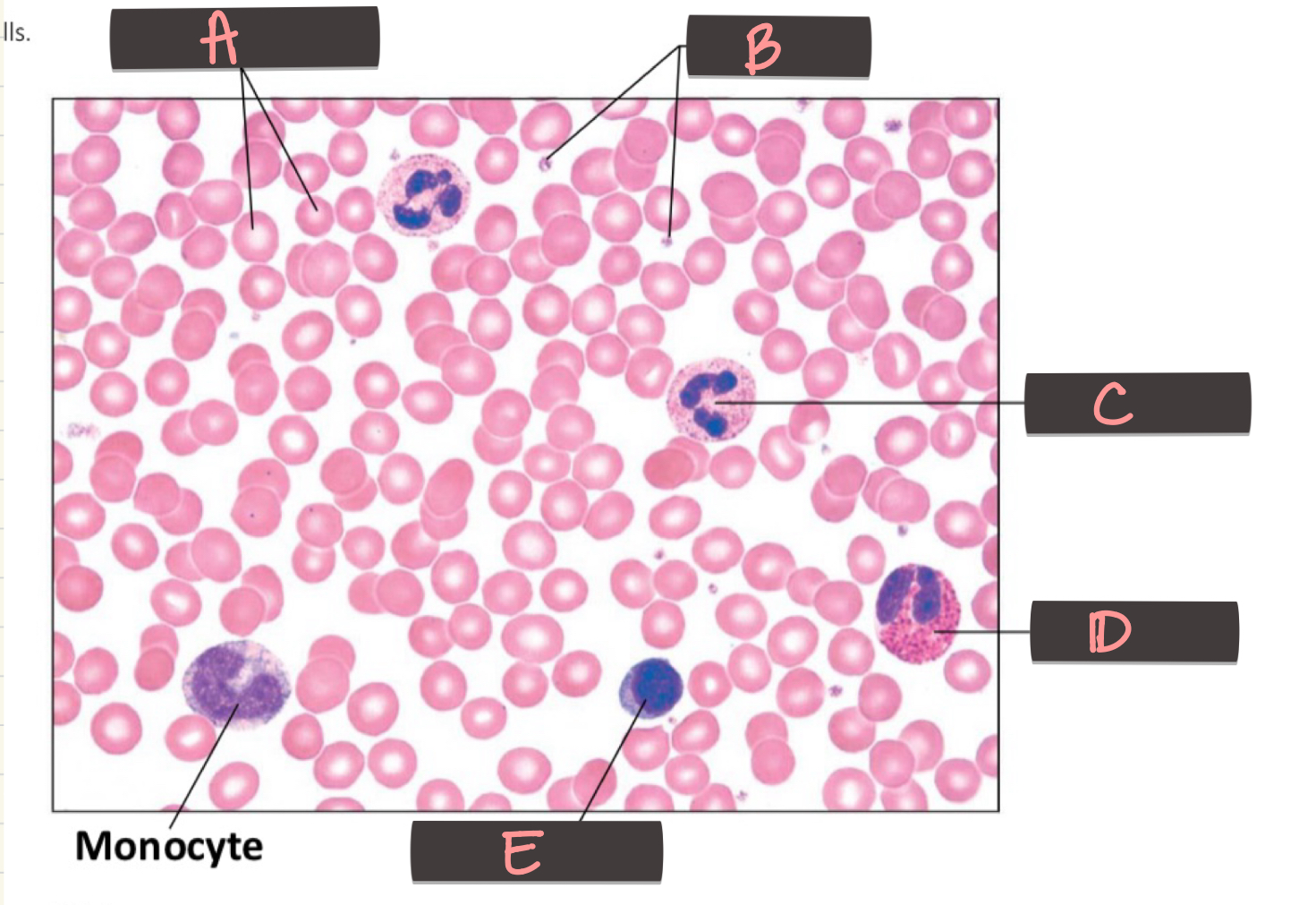
What is located at A?
Erythrocytes


What is located at B?
Platelets


What is located at C?
Neutrophils


What is located at D?
Eosinophil


What is located at E?
Lymphocyte


What is located at F?
Monocyte


Which cell is pictured?
Neutrophil
multilobed, pale cytoplasm

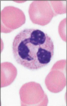
Which cell is pictured?
Eosinophil
bilobed, but use reddish, dark stained cytoplasm to identify

Which cell is pictured?
Basophil
use purplish-black stained granules to identify

What cell is pictured?
Lymphocyte
look for nucleus that takes up almost entire cell

What cell is pictured?
Monocyte
identify by kidney-shaped nucleus