1/64
Looks like no tags are added yet.
Name | Mastery | Learn | Test | Matching | Spaced | Call with Kai |
|---|
No analytics yet
Send a link to your students to track their progress

FERNANDEZ 3

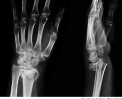
COLLES INVERTIDA

Salter y Harris IV 4

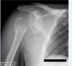
NEER II

Ruedi – Allgower III

Luxación del olecranon y fractura del radio

NERVIO RADIAL
FRACTURA DE HOLSTEIN LEWIS

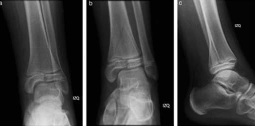
FX MALEOLO MEDIAL
PILON TIBIAL

EXTENSION

ESSEX LOPRESTI

FIELDING II

QUIRURGICO CON DHS

CON ALTA DEMANDA FUNCIONAL TX?
DHS

85 AÑOS CON BAJA DEMANDA FUNCIONAL TX
Reemplazo articular con prótesis de cadera

GARDEN IV

Fractura de columna anterior y columna posterior

Rockwood III

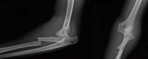
TRIADA TERRIBLE CODO

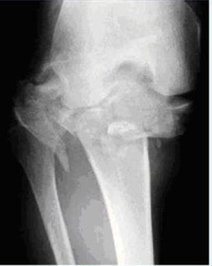
SCHATZKER V

SCHATZKER VI

PIPKIN I

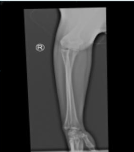
Fx Holstein-Lewis

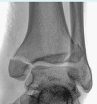
MAISONNUEVE

FX TROQUITER

tríceps braquial

Salter y Harris tipo l

Fractura de Salter y Harris tipo I de fémur distal

Fernandez III

MONTEGIA III

FERNANDEZ 4

VARO

Fractura expuesta de tibia y peroné G y A tipo III A

ASA DE BALDE

Fractura trimaleolar C de Weber

VALGO

Fractura de columna anterior y columna posterior

ractura de pared posterior de acetábulo derecho

INCIDENCIA Y TRATAMIENTO
10-30%
CLAVOS
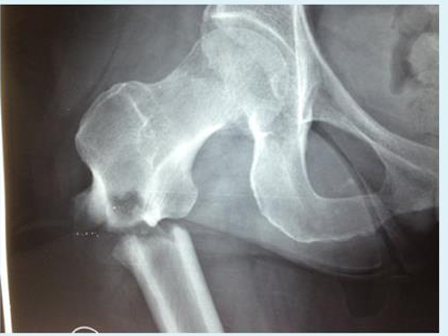
Fractura subtrocanterica Fielding tipo l

VALGO

Es deformidad Plástica de radio y cúbito.

MILCH II

NEER III

PALEY B3

FERNANDEZ III

FERNANDEZ III

FERNANDEZ II

FERNANDEZ II

FERNANDEZ V

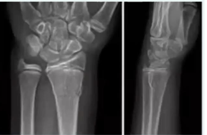
SYH IV

B DE WEBER CON LESION SINDESMOSIS

TRMALEOLAR WEBER C


SCHATZKER II

SCHATZKER III

SEGOND

PELLEGRINI

FERNANDEZ V

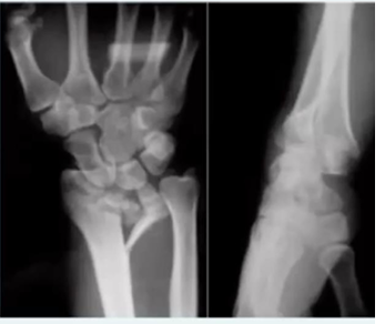
Fractura de Hutchinson

TILE B1

Fractura supraintercondílea humeral

TRIMALEOLAR B DE WEBER

FERNANDEZ IV

PIPKIN II

Fractura de Mason IV

FERNANDEZ IV

Fractura subtrocanterica Fielding tipo l