1/369
Looks like no tags are added yet.
Name | Mastery | Learn | Test | Matching | Spaced | Call with Kai |
|---|
No analytics yet
Send a link to your students to track their progress
What is the fold of the conjunctiva called?
plica semilunaris
think of the cornea and lens as the ...
camera
the vitreous humor is made of what kind of material?
gelatinous
As aqueous fluid flows around the iris, what can happen?
fluid can get stuck at the angle and pressure will build up = increased intraocular pressure. that pressure builds up behind the eye and then pushes on it = glaucoma!!
what area has the highest concentration of rods and cones?
macula - central vision
what area has a high concentration of cones (specifically) and is also the sharpest point of vision?
fovea centralis
do we have monocular or binocular vision?
binocular; 2 visual fields that cross over one another to make one image
the temporal vision of the right eye will go to which side of the brain? (and vice versa for the left eye)
contralateral
the nasal vision of the right eye will go to which side (laterally)?
ipsilateral
without _________ there's no vision
light
what is the cornea?
the main refractive structure; putting focus on the central vision (macula) portion of the retina
what part of the eye is considered the "fine-tuning focus"?
the lens
what structure of the eye consists of rods and cones?
the retina
what are the 4 different cranial innervations of the eye?
CN II - optic
CN III - oculomotor
CN IV - trochlear
CN VI - abducens
what are the functions of the CN II optic nerve?
sensory - vision and light perception
what are the functions of the CN III oculomotor nerve?
motor -
1. superior, medial, inferior rectus, inferior oblique muscle
2. elevation of lid (levator palpebrae)
3. parasympathetic fibers to the lid (oblicularis oculii and iris circular fibers)
4. ciliary muscle (lens accommodation)
is lid elevation voluntary?
yes! unless it is the result of a sympathetic reaction (think of a bear running at you - fight not flight!)
what are the functions of the CN IV trochlear nerve?
motor - superior oblique muscle - down and out
what are the functions of the CN VI abducens nerve?
motor - lateral rectus muscle - lateral gaze
what are the functions of sympathetic fibers?
- pupillary dilation of the radial fibers of the iris
- lid elevation that originates in the hypothalamus
contraction of the circular muscle fibers of the iris result in?
pupillary constriction
contraction of the radial muscle fibers of the iris result in ?
pupillary dilation
what are some questions to ask when looking for health history regarding the eyes / vision?
- how is your vision?
- have you had any difficulty with your vision?
- is the onset gradual or sudden?
- is the problem with close or distant vision?
- do you have any eye pain, redness, tearing/ watering, itching, or dryness?
- any specks or areas you cannot see? do they move or are they fixed?
- are there any flashing lights in your field of vision?
- do you have any double vision (diplopia)? are objects side by side or on top of each other?
- do you wear contacts or glasses?
what could diplopia indicate?
true double vision; related to ocular alignment issues
- be sure to get a good description of this as this is pretty rare
what is the vital sign of the eyes? and why?
visual acuity because it can change overtime
med term for right eye?
oculus dexter -> o.d. (think of dex)
med term for left eye?
oculus sinister -> o.s. (think evil eye)
what are the different tests for visual acuity ranging from most to least vision ability?
- snellen chart
- handheld chart
- reading
- shapes/ numbers
- fingers
- movement
- light perception - last thing to be lost
issues with using reading as a vision acuity test?
literacy differences - choose something of a lower reading level so it just tests vision, not read ability
are visiual charts diagnostic?
no! just screening for reactive problems!
what is emmetropia?
20/20 normal vision
what is myopia?
nearsightedness
what is hypertropia?
farsightedness
what is presbyopia? and how could you treat it? which cranial nerve causes this?
-trouble with near vision; lens cannot accommodate
- inability of lens to change shape
(think of parents reading dinner menu)
-think as being far-sighted, the lens is too short so we need convex lens to help fix
-cranial nerve III - ciliary muscle = lens accommodation

what is amblyopia? which cranial nerve can cause this issue?
poor visual activity/ diminished vision due to deprivation
(lazy eye as a child is not corrected)
-can be seen with weak CN VI- abducens which is responsible for the lateral rectus
what is an astigmatism?
change in normal shape of cornea; can also occur with the lens. leads to a fuzzy image to the retina

what is "legal blindness"?
vision is 20/200 or worse (at 20 ft distance, you see what most people see at 200 ft away)
what is amaurosis fugax?
fleeting blindness
- herald for a TIA (transient ischemic attack - seen before a stroke)
-CN I issue- responsible for sensory: vision, light perception
what is the shape of the eye for nearsightedness?
oval (too long), retina is pushed back
how is nearsightedness corrected?
with a concave lens
what is the shape of a farsighted eye?
squashed - too short, retina is too "far up"
how is farsightedness corrected?
convex lens
what 2 numbers do you use for documenting visual acitivity?
1st number: distance of patient from the chart
2nd number: the distance at which the "normal" eye can see that line
if the right eye was deemed 20/20 and the left eye was deemed 25/20, what is the visual activity for both eyes?
20/20 with corrective lenses
- we are most interested in the best-corrected vision
what are the components of the anterior eye?
- lids and lashes
- nasolacrimal system
- conjunctiva
- pupil
- iris
- cornea
- lens
what are the functions of lids and lashes?
- protection of the eye from light and foreign objects
- moistening of the cornea with lacrimal apparatus (blinking)
what is the palpebral fissure?
the area of eye when the lids are open
what are the medial and lateral canthus?
the inner (medial) and outer (lateral) corners of the eyes
what is the superior and inferior lids?
top and bottom lids
what is the function of meibomian (tarsal) glands?
help keep eyes moist and are located within the superior and inferior tarsal plates
what are the functions of the nasolacrimal system functions?
- ocular moisture (tears)
- vision
- anti-microbial (help fight infection)
where is the palpebral conjunctiva located?
under surface of eyelid

where is the bulbar conjunctiva located?
covers the sclera

where are the conjunctival fornices located?
at the meeting of palpebral and bulbar conjunctiva
what is conjunctivitis and what is the most common type of infection?
conjunctiva inflammation - pink eye
- viral!

how does bacterial conjunctivitis differ from viral?
more purulent - pus

what is a subconjunctival hemorrhage?
blood vessel rupture in the eye

what is pterygium?
overgrowth of bulbar conjunctiva (benign)
- thickening of the epithelial tissue
- can affect vision -> tx. surgical excision

what is a pinguecula?
benign connective tissue overgrowth that appears yellow and doesn't normally affect vision

what is ectropion?
out-turning of the lid margin
- more common in older patients
-occurs with less functional CN III- parasympathetic fibers that control the lower eyelid (orbicularis oculii)

what is entropion?
inward turning of the lid margin
- normally due to scaring or inflammation
- can cause damage and affect vision due to inward lashes

what is xanthelasma?
fatty deposits in and around the lids
- normally due to lipid (triglyceride) problems

what is dacryocystisis?
an abscess resulted from pus in canaliculi
(dacry/o- = nasal lacrimal system)

can cellulitis occur around the eye?
yes! It can even increase to orbital cellulitis (in the eye)

what is a hordeolum? and what does it feel like?
aka a stye
-acute inflammation when the meibomian glands get infected
-feels tender and painful; acute

what is a chalazion?
scar tissue on the eyelid that can grow over a period of time (slow growing)

what is ptosis?
drooping of the upper lid due to CN III weakness
- can be due to age

what is the function of the pupil?
regulates the amount of light entering the eye
what actually controls the light entering the eye
iris
what does the pupil look like?
it is a symmetrical hole (3-5mm) in the muscular iris of the eye
what is miosis?
pupillary constriction
what is mydriasis?
pupillary dilation
what medication can you take to dilate the pupil?
mydriatics
what is anisocoria?
unequal pupil size of 0.4mm or greater
when is anisocoria considered benign?
BENIGN:
- pupillary inequality is <0.4mm
- if equal in dim and bright light
-reaction to light brisk/ normal response
what is direct pupillary light reaction?
shining light in eye will constrict the affected pupil
what is consensual pupillary light reaction?
shining light in one eye will constrict BOTH pupils
how does consensual pupillary light reaction occur?
light (a sensory stimulus) shines through one eye, and travels down the optic tract. the synapse reaches the thalamus and sends out a motor response through the oculomotor nerve into the optic nerve to BOTH eyes resulting in pupillary constriction

what is the pupillary near reaction? what condition can occur if someone has issues with pupillary near reaction?
move an object from distant to near and the pupils will contract in an effort of changing the focus of the gaze
-can be a reason for presbyopia
what 3 parts does the pupillary near reaction include?
1. pupillary constriction
2. convergence of eyes
3. accommodation of lens (not seen)
- lens become thick/ more convex to focus closely
How do you document pupillary near reaction?
Pupils equal round and reactive to light (PERRL) and "near reaction in-tact"
what is accommodation?
increased convexity of the lens that occurs when the eye focuses gaze from far to near object
- due to contraction of the ciliary muscle
can you observe accommodation?
no, not technically tested
when the eyes focuses gaze from far to a near object what type of len accommodation occurs?
increased convexity due to contraction of the ciliary muscle (due to CN III)
your patient is focused on a distant object. what would their lens look like?
it would be thinly convex. with relaxed ciliary muscles, and taut suspensory ligaments.
how do you evaluate the pupils?
1. use a handheld card for size and shape; assess for asymmetry
2. examine pupillary reactions - use penlight!
3. shield over the nose to prevent light from crossing over to the other side
4. check direct and consensual one eye at a time
5. assess pupillary near reaction
what is tonic (adie's) pupil?
an example of an anissocoria differential diagnosis where there is parasympathetic damage (unknown cause) resulting in unilateral dilated pupil

what are the signs/ symptoms of tonic (adie's) pupil?
- slow (no) pupillary light response
- pupillary near reaction present but slow
- poor/slow accommodation with near vision
- visual blurring
- slow tendon reflexes
what can be seen with oculomotor (CN III) paralysis?
- ptosis (levator palpebrae m.)
- lateral deviation
- pupillary dilation

what can be seen with Argyll Robertson pupil?
- small irregular pupils (usually bilateral)
- near reaction and accommodation intact
- do not react to light
- seen in (tertiary) neurosyphilis

what is Horner's syndrome?
interruption of sympathetic fibers to the eye
what are the signs of Horner's syndrome?
- ptosis - dropping eyelid
- miosis- near sightedness/ constricted pupils
- anhydrosis- no sweat
due to the interruption of sympathetic fibers in the eye due to a Pancoast tumor on the apex of the lung
what is the corneal arcus? when is it seen?
a white ring around the eye that can be seen in elderly patients
- if not due to age then could be due to calcium and severe triglyceride elevations (rare)

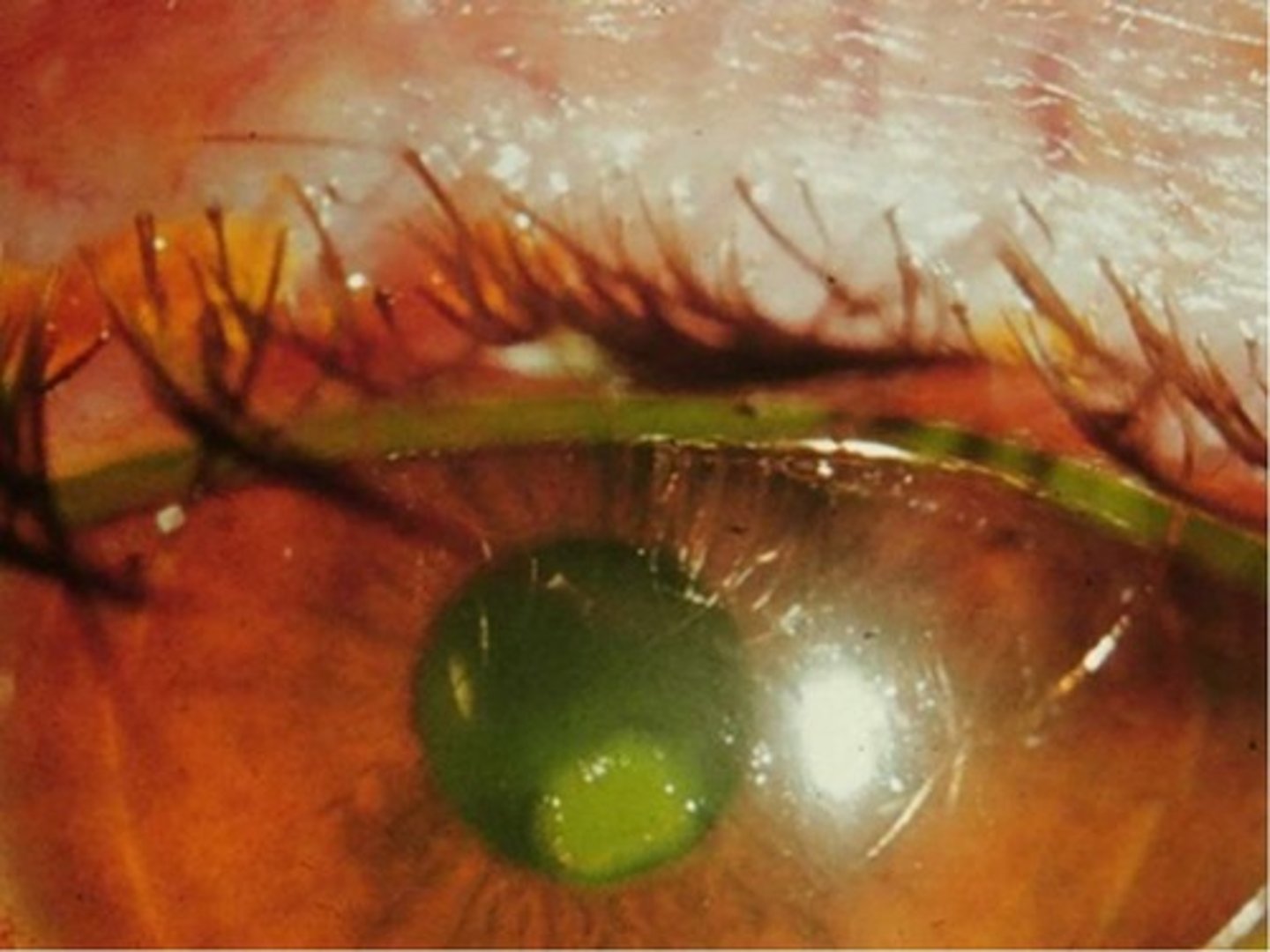
what is a corneal abrasion? how do you see it?
disruption of the superficial epithelium of the cornea
- presents clear so you need a fluorescence dye to see it
-does not change shape of cornea

what is corneal ulcer?
disruption of the corneal epithelium and stroma
- probably take several days to develop

what is hypopyon?
pus in the anterior chamber related to infection or inflammation

what is hyphema?
blood in the anterior chamber of the eye most likely caused by trauma. seen in patients with hemophilia

What is a cataract?
when the lens becomes opacified (opaque).
#1 cause of blindness

how can cataracts develop earlier?
not wearing protection form the sun
what muscles does the oculomotor (III) nerve innervate?
superior rectus, inferior rectus, medial rectus, inferior oblique