1/52
ill pledge myself to any of the pantheon if they let me pass this mfer
Name | Mastery | Learn | Test | Matching | Spaced | Call with Kai |
|---|
No analytics yet
Send a link to your students to track their progress

This is an example of which phase?
Prophase.

Is this a phase of mitosis, and which phase is it?
Yes; Prophase

Is this a phase of mitosis, and what is it called?
Yes; Metaphase

From Prophase and on, how many CHROMOSOMES lie in the cell
46

From Prophase and on, how many CHROMATIDS lie in the cell
92 (chromosomes now contain 2 identical daughter chromotids)

What does each black line represent
Chromotids

What are the think pink lines?
Long Spindle Fibers

What do the hard to see dots or collections on each flank, for which the spindle fibers are reaching to represent
Centrioles

Where are the chromatids lined up along
metaphase plate

What type of tissue is this
Adipose Tissue

In this kind of tissue, what cells are present?
Adipocytes/Fat Cells

What kind of tissue is this?
Loose Areolar Connective Tissue

What are the thick strands called, and how many parts do they have?
Collagen filaments, 3 parts

What are the thin black lines?
elastic filaments

what is the white space?
the matrix

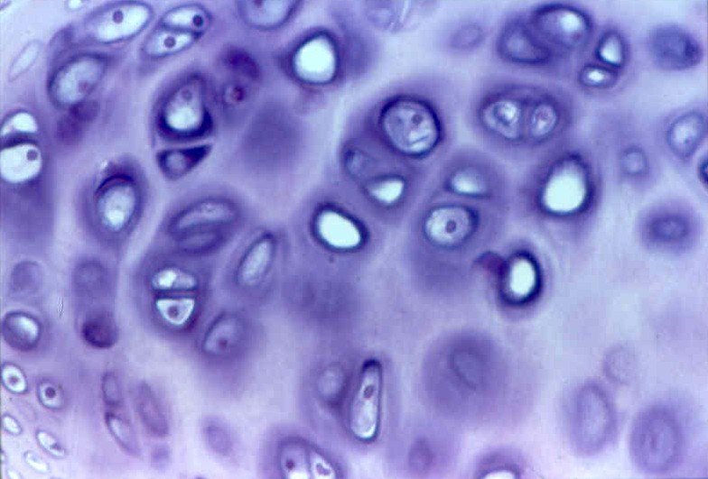
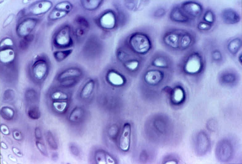
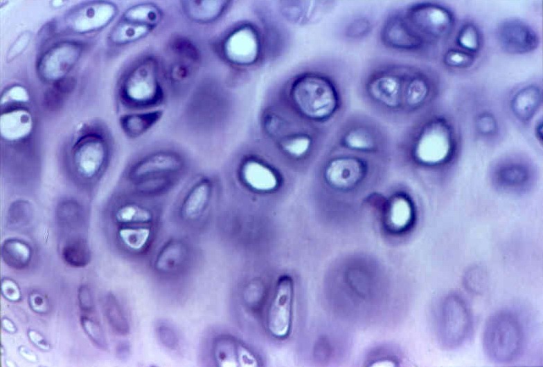
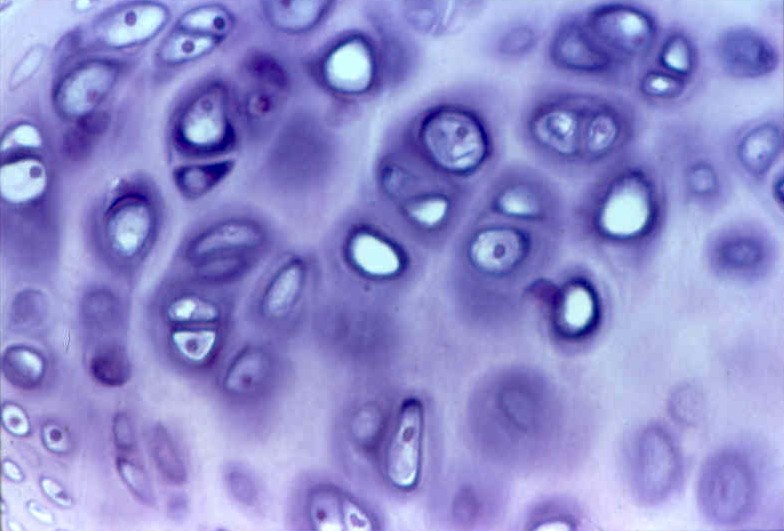
What kind of tissue is this
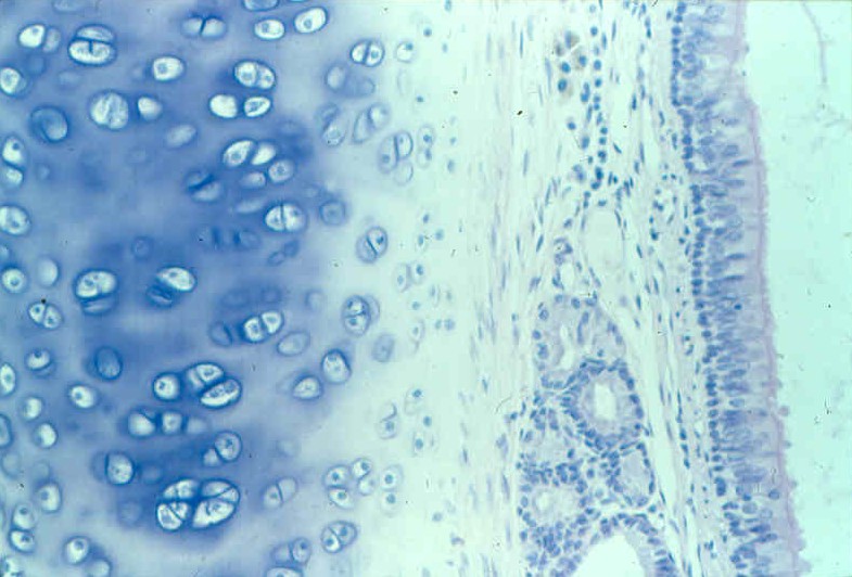
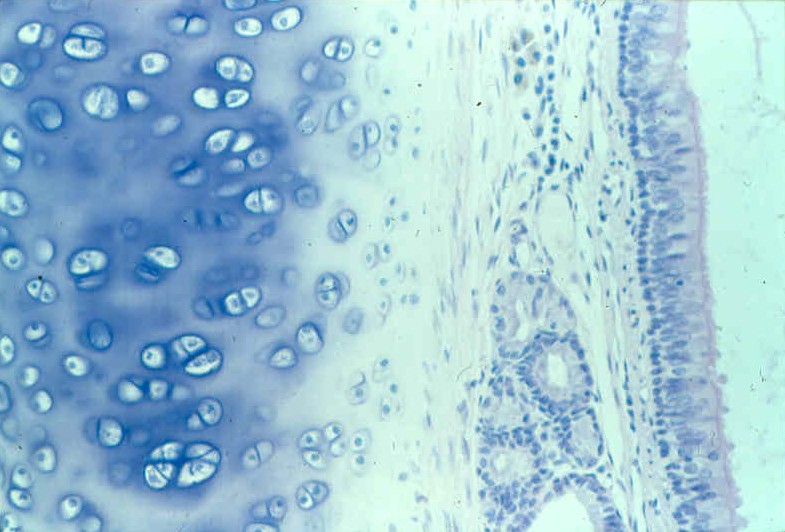
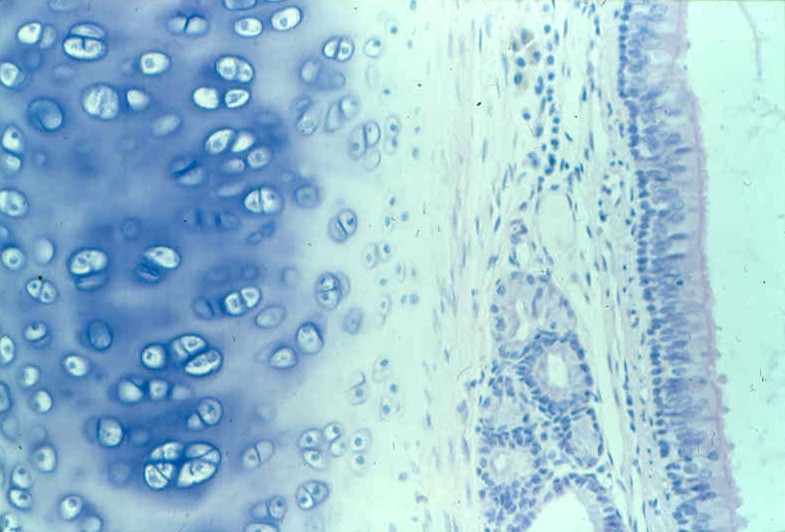
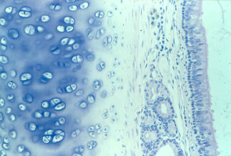
Hyaline Cartlidge

What is the white spaces in this tissue
Lacunae

What are the black dots in this tissue
Chondrocytes in Lacunae

The space surrounding the lacunae in this image is called what
territorial matrix

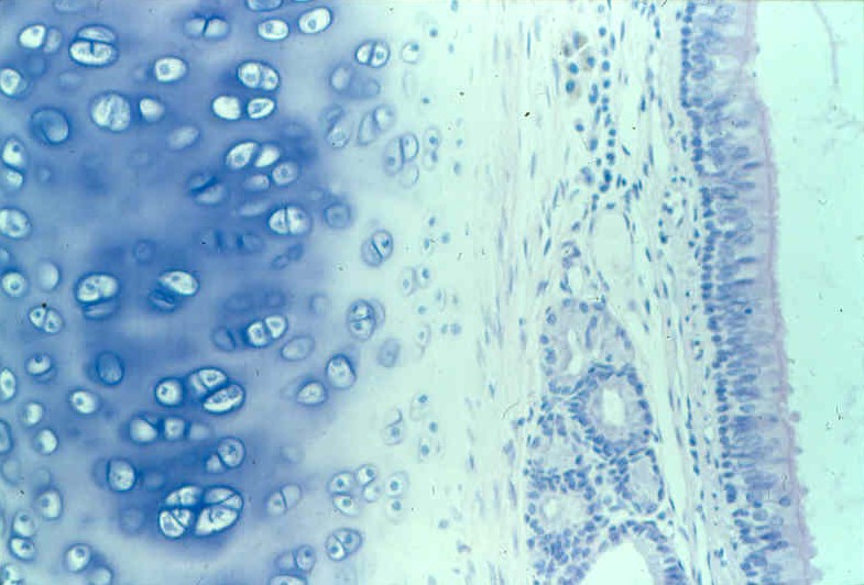
What epithelia is present here?
Psudostratified Cilliated Columnar Epithelium

What is this from?
Trachea

What lies below the epithelia (connective)
Lamina Propia

What gland is present here?
Seromucous Gland

What lies the most deep in this image?
Hyaline Cartalidge

What is this?
Compact Bone

What is the centermost structure called?
Central Canal

The spaces and the rings are
Lamellae

What cartilage also has lamellae
Hyaline

The black circles are
Lacune

Lamellae connects via
canaliculi

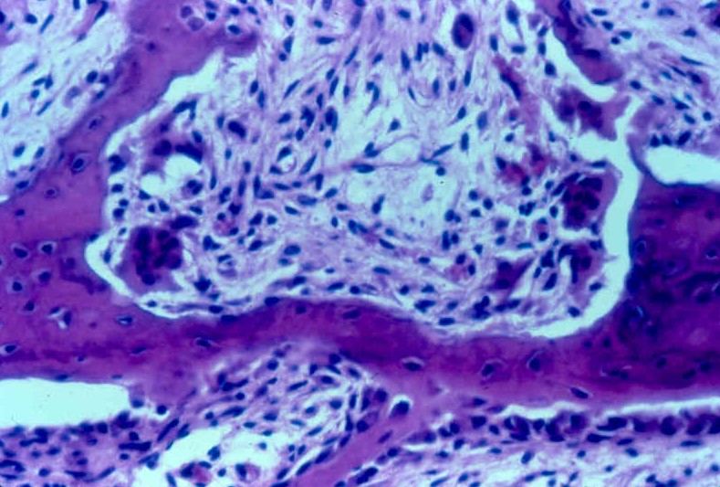
what is this
Epiphysis spongy bone

ridges of spongy bone
Traebcular

What are the spaces between ridges called?
Intertrabeculae Spaces/Pours

What disease makes bone too pourous
Osteo perosis

Real?
get back to work, creature.

Identify
Mitosis Slide

Identify
Thick Skin slide - Stratified Squamous Epithelium

Identify
Elastic Cart

Identify
Compact Bone

Identify
Blood

Identify
Smooth Muscle

Identify
Simple Columnar Epithelia

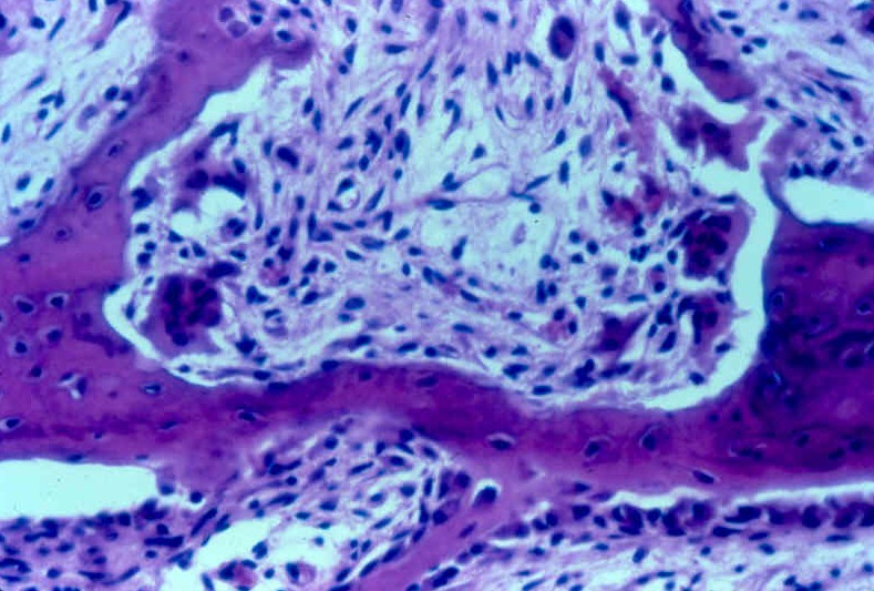
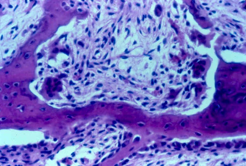
Identify
Endochondrial Growth (i think??)

Identify 1
Resting

Identify 2
Proliferation

Identify 3
Hypertrophy

Identify 4
Calfcification

Identify 5
Ossified Bone

A
Resting

B
Proliferation

C
Hypertrophy

D
Calcification

E
Ossefication