Hemolytic Anemias: Extracorpuscular Defects (Chapter 14)

0.0(0)
studied byStudied by 4 people
full-widthCall with Kai
GameKnowt Play
learnLearn
examPractice Test
spaced repetitionSpaced Repetition
heart puzzleMatch
flashcardsFlashcards
Card Sorting

1/25

encourage image

There's no tags or description

Looks like no tags are added yet.

Study Analytics
Name
Mastery
Learn
Test
Matching
Spaced

No study sessions yet.

26 Terms

1
New cards

Immune hemolysis

Results from antibodies, complement, or both attatching to the RBC membrane

2
New cards

Diagnosis of immune hemolysis is confirmed by:

A positive direct antiglobulin test (DAT, aka, Coombs test)

3
New cards

Complement

A group of serum proteins that interact with each other to bring about, complete-dependent cell lysis

4
New cards

Immune hemolytic anemia

Patient that produces antibodies to foreign red cell antigens

5
New cards

What can cause autoimmune hemolytic anemia to occur?

  • Transfusions

  • Pregnancy

  • Organ transplantation

6
New cards

Acute hemolytic transfusion reactions (acute HTRs)

Acute intravascular hemolysis that is associated with ABO blood group antibodies

7
New cards

Delayed hemolytic transfusion reactions (delayed HTR)

Associated with antibodies to blood groups other than ABO

8
New cards

Hemolytic disease of the fetus and newborn (HDFN)

Fetal or neonatal red cells are destroyed by maternal antibodies

9
New cards

What causes hemolytic disease of the fetus and newborn?

Maternal-fetal blood group incompatibility

10
New cards

Autoimmune Hemolytic Anemia

Antibodies directed against the patient’s own RBC

11
New cards

Paroxysmal cold hemoglobinuria (PCH)

  • Not common, representing only 1-7% of patients

  • Most common in children who had experienced viral disorders

12
New cards

Drug-induced hemolytic anemia

Patients produce antibodies directed at a particular drug, its metabolites, or red cells coated with the drug. These antibodies then destroy the red cells

13
New cards

How may species of malaria can infect humans?

Four

14
New cards

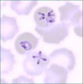
P. falciparum

The most severe species of malaria that causes severe disease with often fatal outcomes

15
New cards
<p><strong>Late stages of Plasmodium vivax malaria produce these, what are they called?</strong></p>

Late stages of Plasmodium vivax malaria produce these, what are they called?

Schüffner’s dots

16
New cards

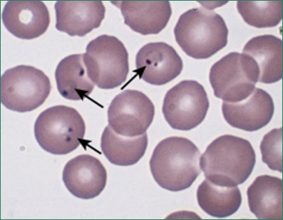
Babesia

Zoonotic parasitic infection that is usually tickborne but can also be transmitted through blood transfusions

17
New cards
<p><u>Babesiosis</u> can be distinguish from malaria by formation of these, what are they?</p>

Babesiosis can be distinguish from malaria by formation of these, what are they?

Tetrads of merozoites (Maltese crosses)

18
New cards

Bartonellosis

Caused by any Bartonella bacteria

19
New cards

What are the two primary methods of transmission for Bartonella bacteria?

  • Sand fly (Bartonella bacilliformis, Carrion’s disease)

  • Cat (Bartonella henselae “cat scratch fever”)

20
New cards

Hemolytic phase of Bartonellosis

Anemia may be severe; blood smear show many nucleated RBCs and reticulocytosis

21
New cards

Patients in the hemolytic phase of bartonellosis can be effectively treated with:

Antibiotic therapy

22
New cards

Tumor phase of Bartonellosis (aka, verruca peruviana)

Second stage

  • Verrucous nodes (warty tumors) on face & extremities

23
New cards

Clostridium perfringens

Gram-positive, spore-forming bacillus that is responsible for the development of gas gangrene

24
New cards

What is the preferred locations of clostridium perfringens?

Deep tissues where anaerobic conditions are ideal for the organism

25
New cards

What can occur if a patient has Clostridium perfringens present in deep tissue

  • Tissue damage from the release of enzymes and toxins

  • Hemolysis often severe, with hemoglobinemia & hemoglobinuria

26
New cards

Microangiopathic hemolytic anemia (MAHA)

Group of disorders characterized by fragmentation of the red cells as they pass through small, abnormal arterioles (intravascular hemolysis)