1/57
Looks like no tags are added yet.
Name | Mastery | Learn | Test | Matching | Spaced | Call with Kai |
|---|
No analytics yet
Send a link to your students to track their progress
Produce endolymph
What does the striae vascularis do
Light absorption, blood retina, restoring photosensitivity
What does the pigmented portion of the retina do/do no
Neural layer of retina
Where are muller cells located
Has cell bodies for rods and cones/cell bodies for photoreceptors
Outer nuclear layer facts
-cochlea (spiral organ)
What contains the organ for audition
2 layers of columnar epi, external pigmented inner not (stratified columnar)
What kind of cells on ciliary body
Hair cell
Which cells are specialized sensory cells primarily responsible for detecting rotational head movements and ....
cones
Cells found in fovea centralis
Maculae
Where is the otolithic membrane
cornea
Which structure in the eye is transparent?
sclera

scala media

tectorial membrane

organ of corti

fovea centralis

zonula fibers

macula

cristae ampullaris

Dense irregular
What kind of tissue in reticular layer
apocrine
What kind of glands in armpits, genitals, and areolas?
Stratum basale
What layer of epidermis has high mitotic activity
Beta cells
What kind of cell in the islet of langerhans secretes insulin
chromophobes
Which has a heterogenous group in anterior pituitary that has stem cells, progenitor cells, and undifferentiated cells?
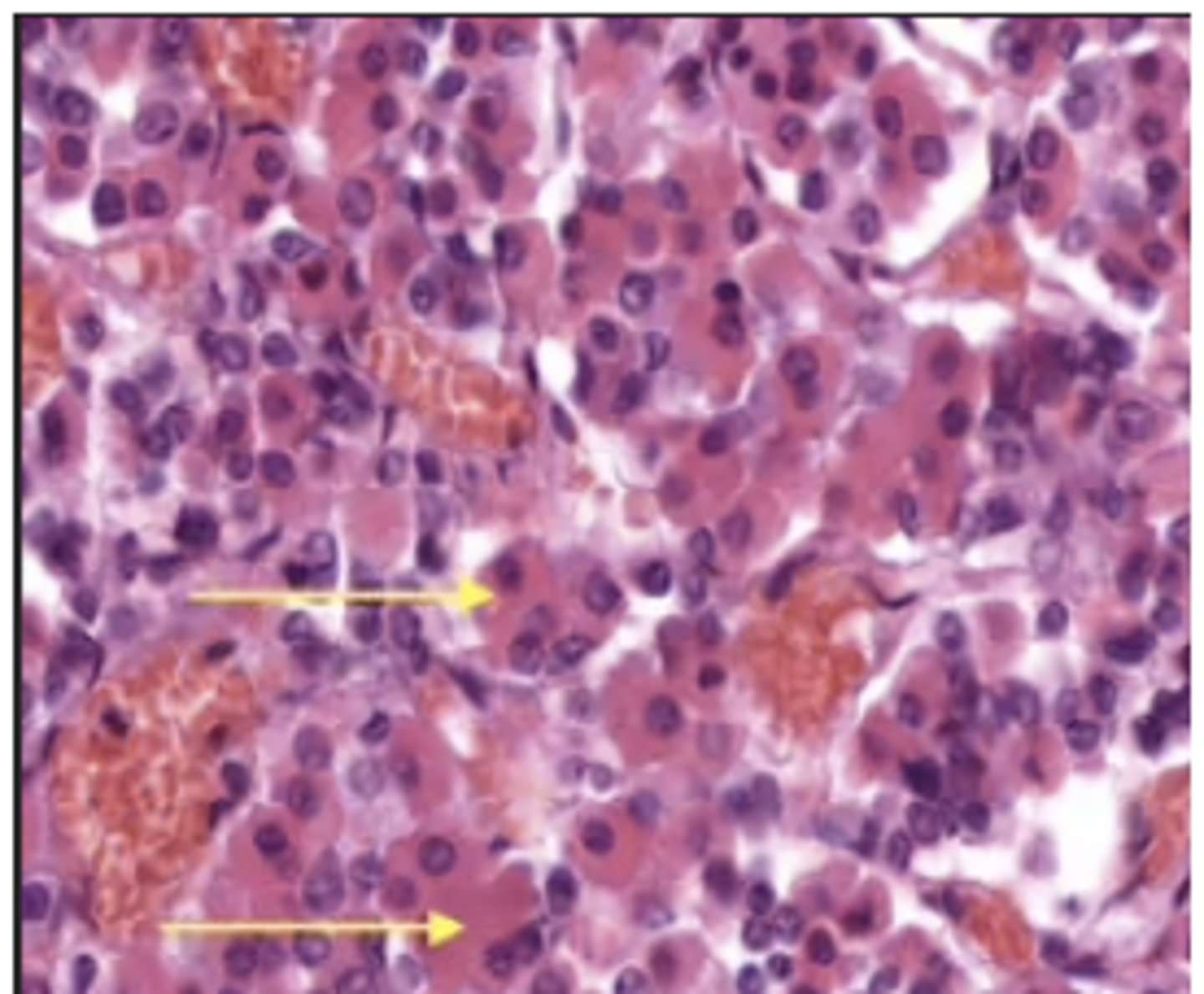
Chief cells
In the parathyroid gland what kind of cells secrete parathyroid hormone
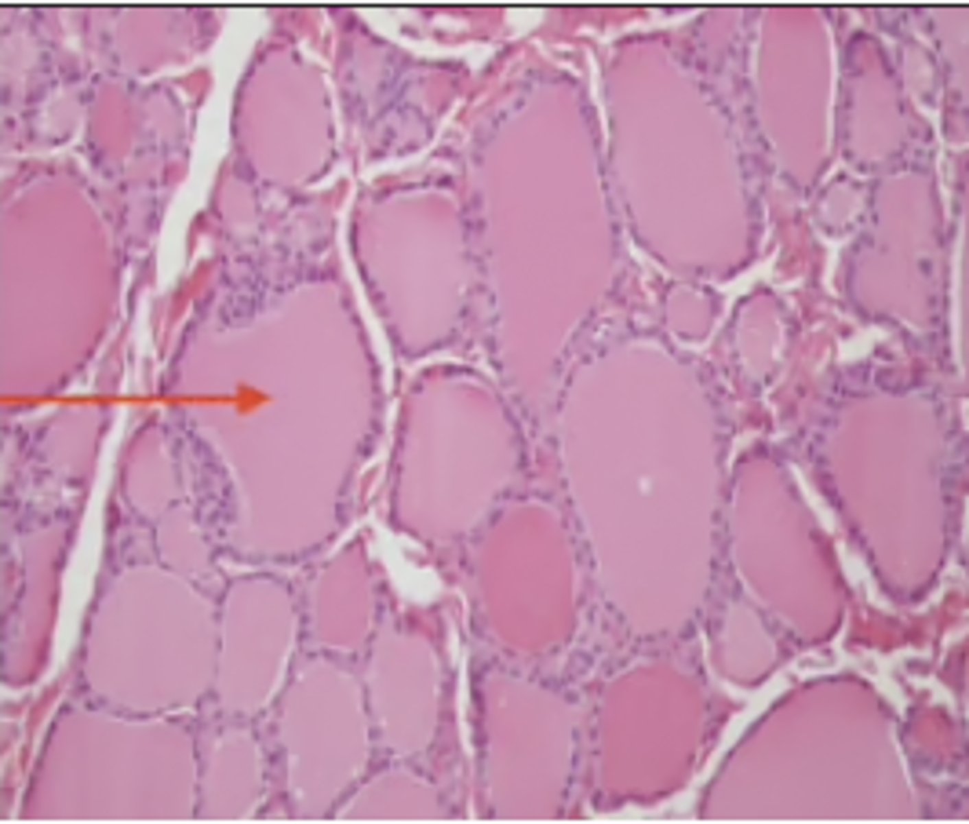
Thyroid gland
Which gland's parenchyma is arranged into follicles?
Brain sand
Unique trait of the pineal gland
Meissner's corpuscle
What is found in the dermal papillae?
Follicle cells
Cell type responsible for secreting thyroid hormone
pancreas/ pancreatic islets

colloid

acidophils

pacinian corpuscle

dermal papilla of hair follicle

sebaceous gland

#2 had a star zona fasciculata

pinealocyte

stratum lucidum

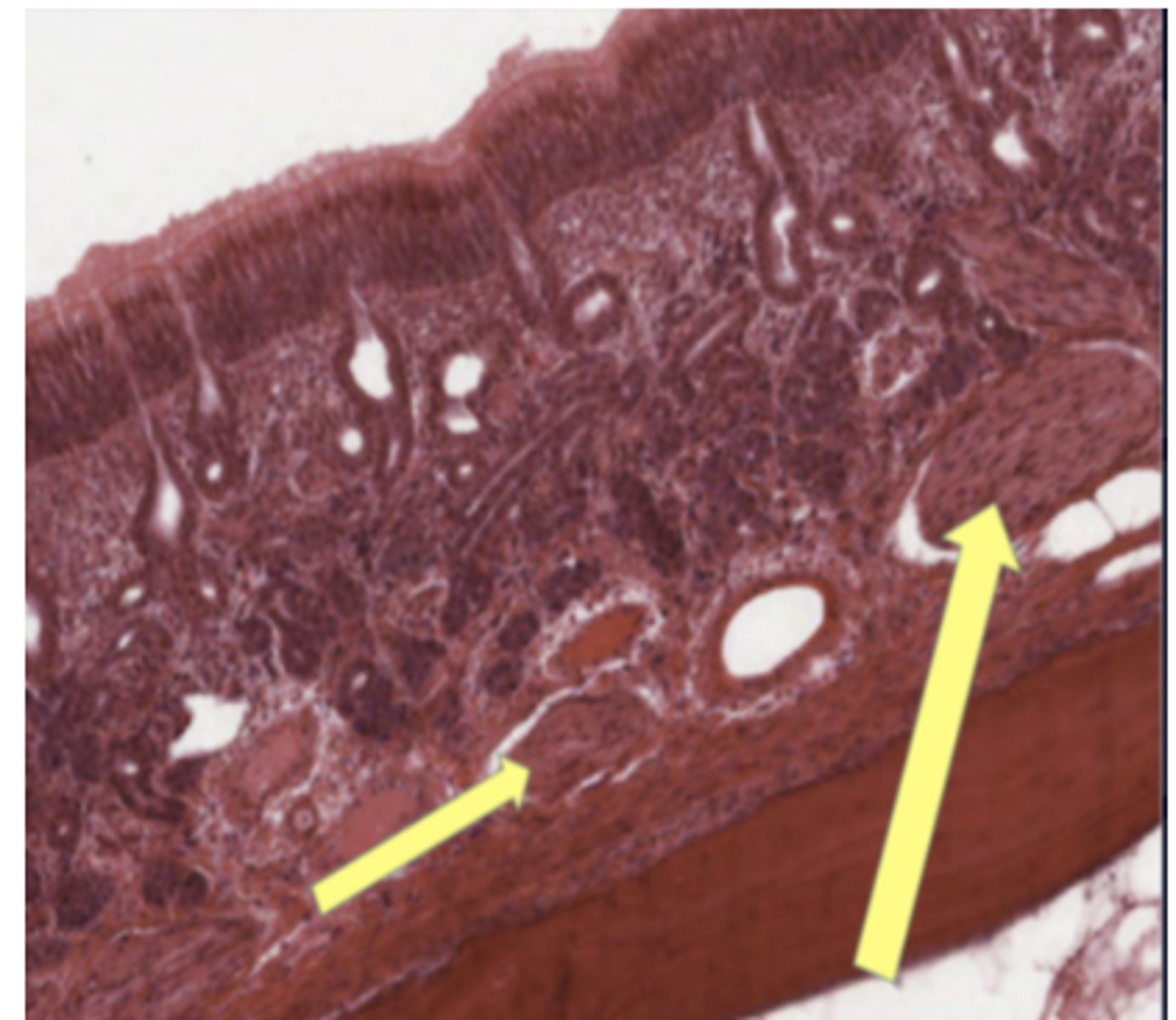
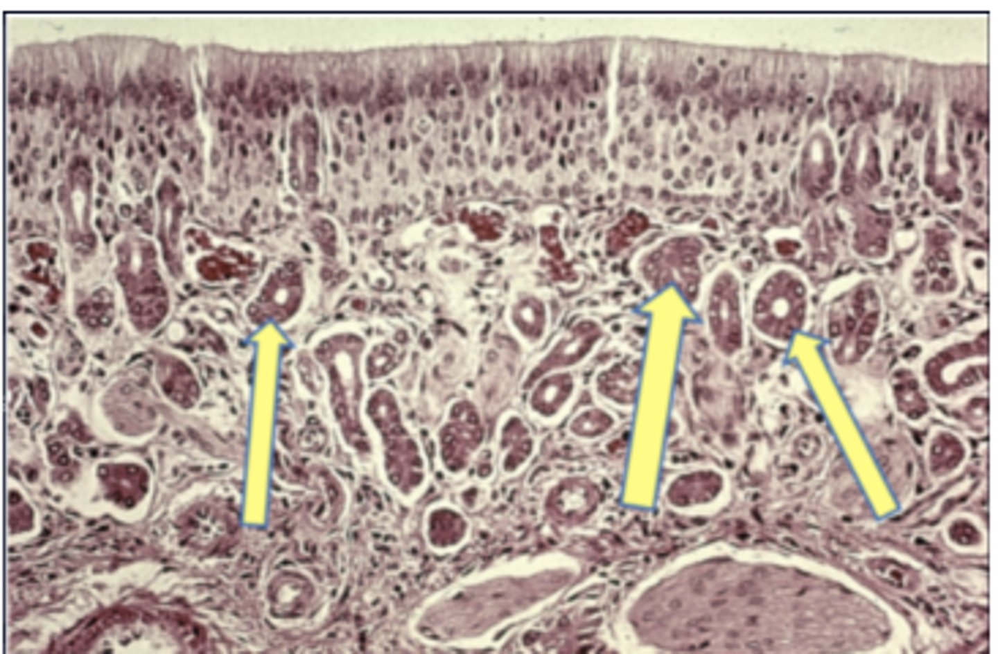
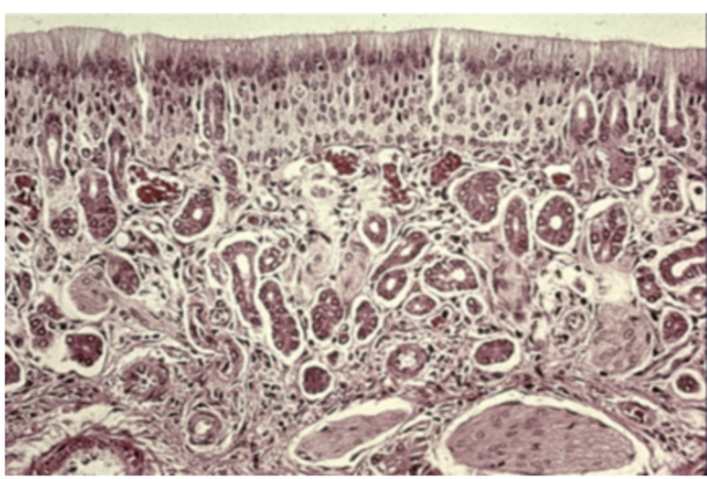
Olfactory mucosa
What lines the roof of the nasal cavity?
Tunica adventitia
Vasa vasorum and nervi vasorum are found in the __ of blood vessels?
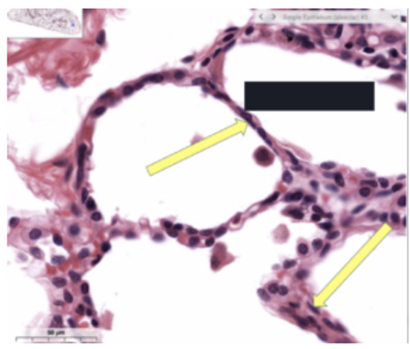
type 2 pneumocytes
What kind of cell creates surfactant
ciliated
What kind of cells can be found in the respiratory epithelium that help with movement of mucous
epicardium
A histological study of a 70 year old's heart found adipose, loose CT, other....
Endothelium
What does the tunica intima and endocardium of the heart share?
Cardiac skeleton (also valves though so weird Q)
In the heart, dense connective tissue is found forming?
Goblet cells
Which type of epithelial cells predominantly line the trachea, providing protection and secreting mucus?
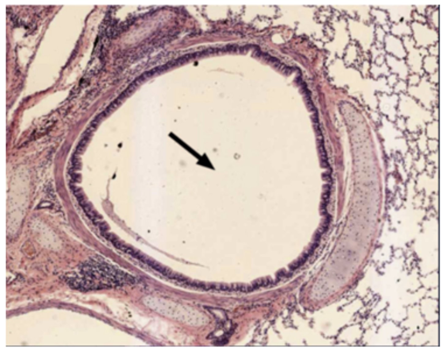
respiratory bronchioles
What marks the beginning of the respiratory portion of the respiratory system
Sinusoid
Most permeable blood vessel
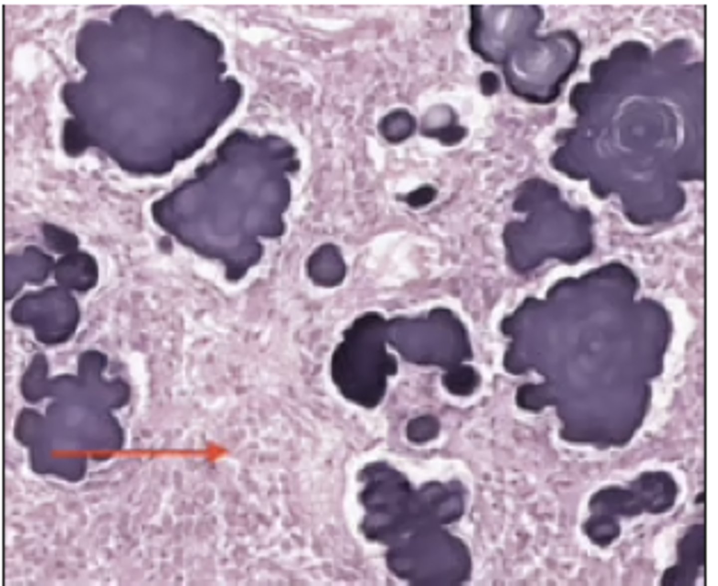
bronchus

capillary

arteriole

Filia olfactoria

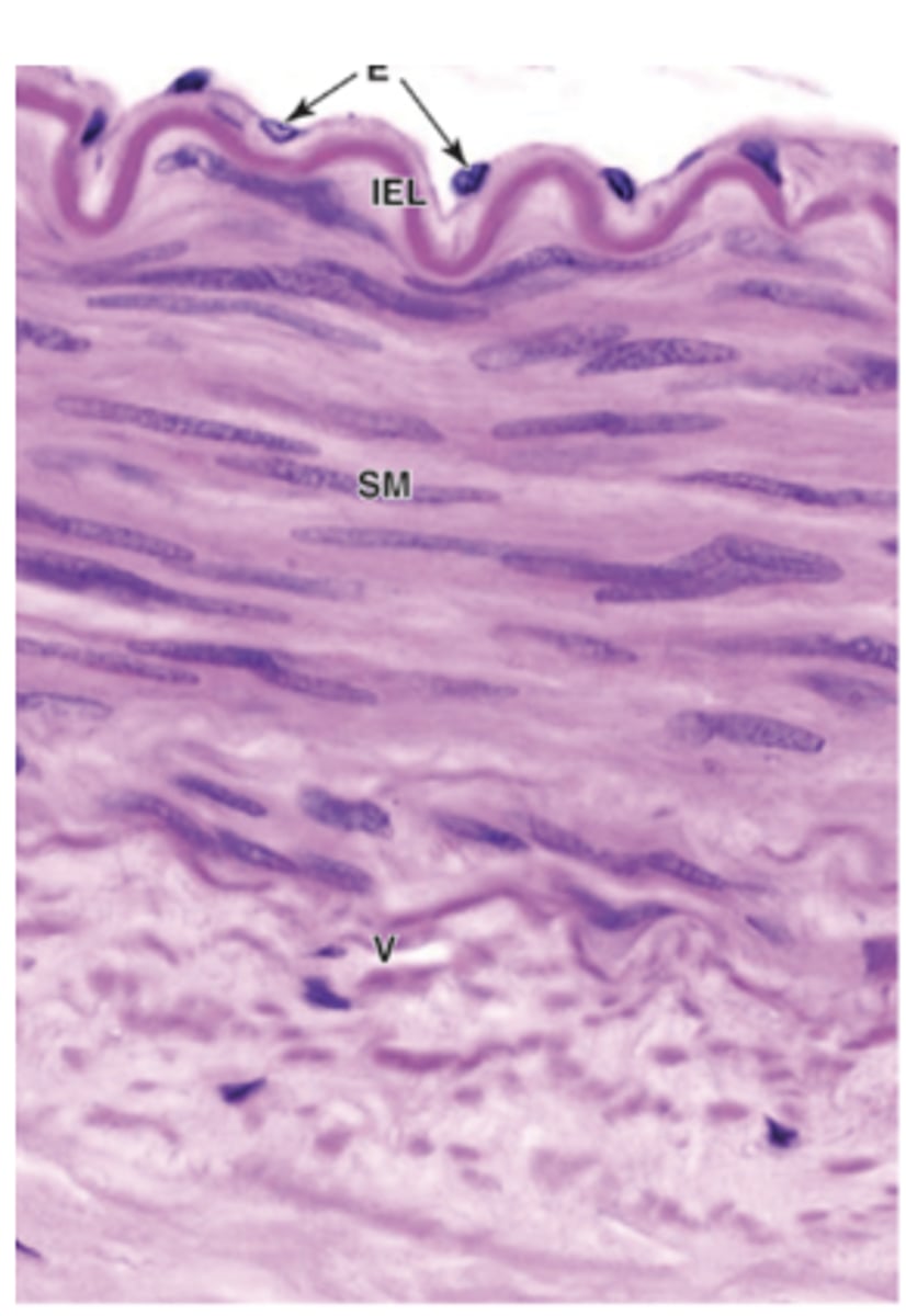
internal elastic lamina

muscular artery

Bowman's gland

type 1 pneumocyte

bronchioles

Olfactory mucosa

he had a star that looked like it was on tunica media
