Lab IX: Anatomical Terms, Hematology, and the Introduction to Heart and Circulation

0.0(0)
studied byStudied by 0 people
0.0(0)
full-widthCall with Kai
GameKnowt Play
New
learnLearn
examPractice Test
spaced repetitionSpaced Repetition
heart puzzleMatch
flashcardsFlashcards
Card Sorting

1/23

encourage image

There's no tags or description

Looks like no tags are added yet.

Study Analytics
Name
Mastery
Learn
Test
Matching
Spaced

No study sessions yet.

24 Terms

1
New cards

albumins 60%, globulins 35%, fibrinogen 4%

plasma proteins

2
New cards

erythrocytes, leukocytes, platelets

formed elements

3
New cards

hemoglobin, heme, rouleaux

features of erythrocytes

4
New cards

neutrophils, eosinophils, basophils, macrophage

leukocytes with non-specific defenses

5
New cards

lymphocytes (T cells, B cells, and natural killer cells)

leukocytes with specific defenses

6
New cards

neutrophil

knowt flashcard image
7
New cards

eosinophil

knowt flashcard image
8
New cards

macrophage

knowt flashcard image
9
New cards

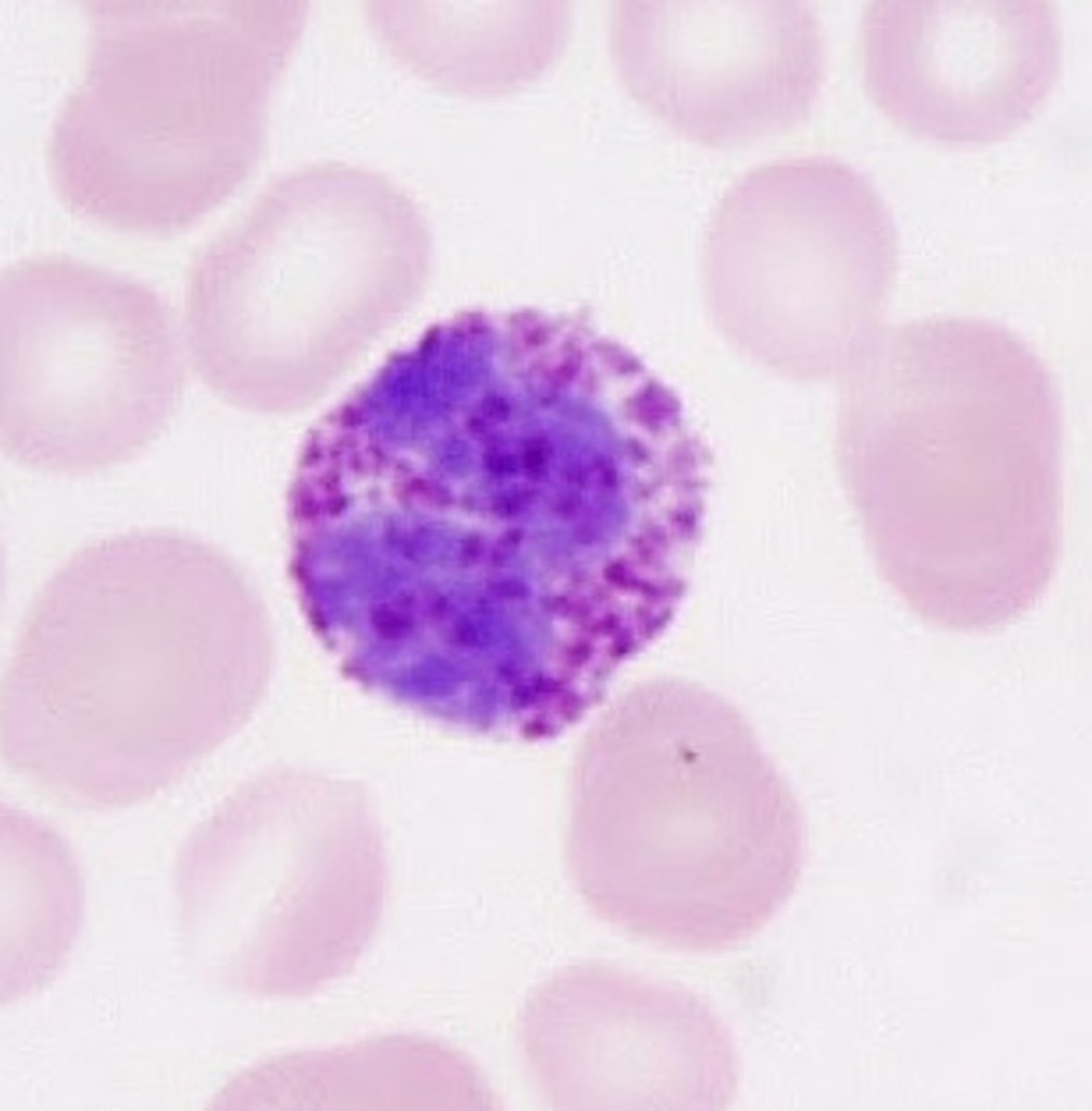
basophil

knowt flashcard image
10
New cards

lymphocyte

knowt flashcard image
11
New cards

mediastinum

space between the lungs containing the heart, aorta, venae cavae, esophagus, and trachea

12
New cards

artery

moves oxygenated blood away from the heart, has thicker walls and more elastic fiber

13
New cards

vein

moves deoxygenated blood to the heart, is flatter and has thinner walls

14
New cards

capillaries

Microscopic vessel through which exchanges take place between the blood and cells of the body

15
New cards

pulmonary circuit

carries blood to and from the lungs for gas exchange and returns it to the heart

16
New cards

systemic circuit

Circuit of blood that carries blood between the heart and the rest of the body

17
New cards

pericardial cavity

knowt flashcard image
18
New cards

apex of the heart

knowt flashcard image
19
New cards

base of the heart

knowt flashcard image
20
New cards

atria

knowt flashcard image
21
New cards

ventricles

knowt flashcard image
22
New cards

tunica intima

innermost layer of a blood vessel

23
New cards

tunica media

knowt flashcard image
24
New cards

tunica externa

knowt flashcard image