Ch. 21 - Immune (Part 1)

0.0(0)
studied byStudied by 0 people
0.0(0)
full-widthCall with Kai
GameKnowt Play
New
learnLearn
examPractice Test
spaced repetitionSpaced Repetition
heart puzzleMatch
flashcardsFlashcards
Card Sorting

1/67

encourage image

There's no tags or description

Looks like no tags are added yet.

Study Analytics
Name
Mastery
Learn
Test
Matching
Spaced

No study sessions yet.

68 Terms

1
New cards

Whats the ratio of bacterial cells to human cells in the body?

The body has at least 10x as many bacterial cells as human cells

  • Most are beneficial

  • Some potentially disease-causing

  • by volume, we are mostly human cells, but by number, we are mostly bacterial cells

2
New cards

Immune System

a cell population that inhabits all organs and defends the body from agents of disease

  • is a functional system, not an organ system

  • this system is especially concentrated in the lymphatic system

3
New cards

Lymphatic System

Network of organs and vein-like vessels that recover extracellular fluid

  • governs the movement of ECF in the body

  • Inspects it for disease agents

  • Activates immune responses

  • Returns fluid to the bloodstream

4
New cards

3 Functions/Properties of the Lymphatic System

  1. Fluid Recovery

  2. Immunity

  3. Lipid Absorption

5
New cards

Fluid Recovery

Fluid continually filters from the blood capillaries into the tissue spaces

  • Blood capillaries reabsorb 85% of it

    • 15% of the water and about half of the plasma proteins enter the lymphatic system and then are returned to the blood

  • gets rid of excess fluid from extracellular tissue matrix

  • is an alternative circulatory system

    • moves lymphatic and extracellular fluid around body

  • there are lymphatic capillaries intertwined in the blood capillaries

  • leftover liquid released form arterial capillaries gets absorbed by the lymphatic capillaries to process it and put it back in the bloodstream

<p>Fluid continually filters from the blood capillaries into the tissue spaces</p><ul><li><p>Blood capillaries reabsorb 85% of it</p><ul><li><p>15% of the water and about half of the plasma proteins enter the <strong>lymphatic system</strong> and then are returned to the blood</p></li></ul></li><li><p>gets <strong>rid of excess fluid</strong> from extracellular tissue matrix</p></li><li><p>is an <strong>alternative</strong> circulatory system </p><ul><li><p>moves lymphatic and extracellular fluid around body</p></li></ul></li><li><p>there are <strong>lymphatic capillaries</strong> intertwined in the blood capillaries</p></li><li><p>leftover liquid released form arterial capillaries <strong>gets absorbed by the lymphatic capillaries</strong> to process it and put it back in the bloodstream</p></li></ul><p></p>
6
New cards

Immunity

The ability to resist a disease

  • Excess filtered fluid picks up foreign cells and chemicals from the tissues

  • Passes through lymph nodes where immune cells stand guard against foreign matter

  • Activates a protective immune response

  • We get immunity when we pick up those bacterial cells and filter them out using the lymphatic system, and then train our leukocytes to adapt/respond to that bacteria

7
New cards

Lipid Absorption

In the small intestine, we use dead end lymphatic capillaries called lacteals to absorb lipids that are not absorbed by the blood capillaries

8
New cards

Lymph

all the liquid we pull out of the EC matrix

  • aka all the liquid absorbed by the lymphatic system

  • Clear, colorless fluid, similar to plasma, but much less protein

    • chemically identical to plasma

  • Originates as extracellular fluid drawn into lymphatic capillaries

  • Its chemical composition varies in different places in the body (in intestines, after lymph nodes)

9
New cards

Lymphatic Vessels

Transport the lymph (the recovered fluid)

10
New cards

Lymphatic Tissues

Composed of aggregates (clusters) of lymphocytes and macrophages that populate many organs in the body

  • they hang out by the dirty fluid filters

  • Lymph nodes are the most abundant lymphatic tissue

  • often in connective tissues of mucous membranes

11
New cards

Lymphatic Organs

  • Defense cells are especially concentrated in these organs

  • thymus and red bone marrow are examples of lymphatic organs

  • anatomically well defined

    • Have a connective tissue capsule

12
New cards

Lymphatic Capillaries

  • These capillaries penetrate nearly every tissue of the body

    • Absent from cartilage, cornea, bone, and bone marrow

  • Capillary wall is made of endothelial cells overlapping each other like roof shingles

  • are closed at one end

  • Cells are tethered to surrounding tissue by protein filaments

    • Gaps between cells are large enough to allow bacteria and cells to enter lymphatic capillary

  • Overlapping simple squamous epithelium creates valve-like flaps that open when interstitial fluid pressure is high, and close when it is low

13
New cards

Lymphatic Vessels

  • Larger ones are composed of 3 layers:

    • Tunica interna: endothelium and valves

    • Tunica media: elastic fibers, smooth muscle

    • Tunica externa: thin outer layer

  • Converge into larger and larger vessels

  • Collecting vessels course through many lymph nodes

    • are large vessels

  • 6 lymphatic trunks drain major portions of the body

  • Trunks converge together to form the ducts

  • Two collecting ducts

    • Right lymphatic duct

    • Thoracic duct (left lymphatic duct)

14
New cards

Right Lymphatic Duct

receives lymph from right arm, right side of head and thorax

  • empties into right subclavian vein

<p>receives lymph from right arm, right side of head and thorax</p><ul><li><p>empties into <strong>right</strong> subclavian vein</p></li></ul><p></p>
15
New cards

Thoracic Duct (Left Lymphatic Duct)

  • these ducts are larger and longer

  • begins as a prominent sac in abdomen called the cisterna chyli

  • receives lymph from below diaphragm, left arm, left side of head, neck, and thorax

  • empties into left subclavian vein

<ul><li><p>these ducts are larger and longer</p></li></ul><ul><li><p>begins as a prominent sac in abdomen called the cisterna chyli</p></li><li><p>receives lymph from below diaphragm, left arm, left side of head, neck, and thorax</p></li><li><p>empties into <strong>left</strong> subclavian vein</p></li></ul><p></p>
16
New cards

Subclavian Veins

collect from the ducts

  • the ducts drain into these veins

<p>collect from the  ducts</p><ul><li><p>the ducts drain into these veins</p></li></ul><p></p>
17
New cards

Flow of Lymph

  • Lymph flows under forces similar to those that control venous return, except no pump (heart)

  • Lymph flows at low pressure and slower speed than venous blood

  • Moved along by rhythmic contractions of lymphatic vessels

    • Stretching of vessels stimulates contraction

  • Flow is aided by skeletal muscle pump

  • Arterial pulsation rhythmically squeezes lymphatic vessels

  • One-Way Valves prevent backward flow

  • Rapidly flowing blood in subclavian veins, draws lymph into it

  • Exercise significantly increases lymphatic return

18
New cards

Categories of Lymphatic Cells:

  • Natural Killer (NK) Cells

  • T Lymphocytes (T cells)

  • B Lymphocytes (B cells)

  • Macrophages

  • Dendritic Cells

  • Reticular Cells

19
New cards

Natural Killer (NK) Cells

Large lymphocytes that attack and destroy bacteria, transplanted tissue, host cells infected with viruses or that are cancerous

  • like the hall monitor, up in everyones business

    • “do you belong here?, or are you doing what you need to do?”

  • find cells that don’t belong and kill them

20
New cards

T Lymphocytes (T cells)

  • made in thymus

  • do the dirty work

  • targets things with antibodies

<ul><li><p>made in thymus</p></li><li><p>do the dirty work</p></li><li><p>targets things with antibodies </p></li></ul><p></p>
21
New cards

B Lymphocytes (B cells)

  • come from bone marrow

  • Activation causes proliferation and differentiation into plasma cells that produce antibodies

  • focus on making antibodies that will direct the T lymphocytes and tell them what to focus on

<ul><li><p>come from bone marrow</p></li><li><p><span style="background-color: transparent;">Activation causes proliferation and differentiation into plasma cells that produce <strong><u>antibodies</u></strong></span></p></li><li><p>focus on making antibodies that will direct the T lymphocytes and tell them what to focus on</p></li></ul><p></p>
22
New cards

Macrophages

Large, very phagocytic cells of connective tissue

  • Develop from monocytes

  • Eat tissue debris, dead neutrophils, bacteria, and other foreign matter

  • Process foreign matter and display antigenic fragments to certain T cells, alerting immune system to the presence of the enemy

  • They are antigen-presenting cells (APCs)

    • decorate themselves in the pieces of what they ate

    • show the lymphatic cells “look what i found”

    • the lymphatic cells kinda ignore them

    • sometimes a lymphocyte will be activated by what the macrophage presents, but not often

23
New cards

Dendritic Cells

Branched, mobile APCs found in epidermis, mucous membranes, and lymphatic organs

  • Alert immune system to pathogens that have breached the body surface

  • are localized in our skin

  • primarily on outer wall

  • first line of defense in our body

  • go on parts of body that are exposed to external environment

24
New cards

Reticular Cells

Branched stationary cells that contribute to the stroma of a lymphatic organ

  • in reticular tissue (primarily the lymph nodes)

  • primarily stationary in the lymph nodes

  • are another form on antigen-presenting cells

  • alert lymphocytes of what they found

25
New cards

Diffuse Lymphatic Tissue

  • simplest form

  • Lymphocytes are scattered (not clustered)

  • Prevalent in body passages open to the exterior

    • Respiratory, digestive, urinary, and reproductive tracts

    • Mucosa-associated lymphatic tissue (MALT)

26
New cards

Lymphatic Nodules (Follicles)

Dense masses of lymphocytes and macrophages that congregate in response to pathogens

  • Constant feature of the lymph nodes, tonsils, and appendix

  • Aggregated lymphoid nodules

    • dense clusters in the ileum, the distal portion of the small intestine

27
New cards

Primary Lymphatic Organs

where lymphocytes concentrate/mature/are trained 

  • Red bone marrow and thymus are primary lymphatic organs

  • Site where T and B cells become immunocompetent: able to recognize and respond to antigens

28
New cards

Secondary Lymphatic Organs

  • Lymph nodes, tonsils, and spleen are secondary lymphatic organs

  • Immunocompetent cells populate these tissues

  • still have high concentration of lymphocytes, but they don’t get as much “training”

29
New cards

Red Bone Marrow

Red bone marrow is involved in hemopoiesis (blood formation) and immunity

  • Soft, loosely organized, highly vascular material

  • Separated from osseous tissue by endosteum of bone

  • As blood cells mature, they push their way through the reticular and endothelial cells to enter the sinus and flow away in the bloodstream

30
New cards

Thymus

member of the endocrine, lymphatic, and immune systems

  • Houses developing lymphocytes

  • Secretes hormones regulating their activity

  • has lots of reticular tissues so it can filter lymphatic fluid and train lymphocytes

  • Bilobed organ located anterior to the aortic arch

  • Degeneration (shrinkage) with age

    • turns into fat and scar tissue as we age

    • thymus is the size of our heart when born, but shrinks with age

31
New cards

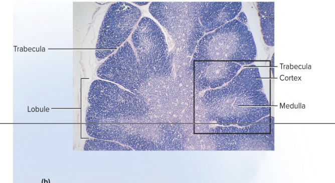
Thymus Structure

  • has trabeculae (septa) that divide the gland into several lobes

    • Lobes have a cortex and a medulla populated by T lymphocytes

  • Epithelial cells seal off cortex from medulla forming a blood–thymus barrier

  • Produce signaling molecules that regulate the immune system

    • thymosin, thymopoietin, thymulin, interleukins, and interferon

<ul><li><p>has trabeculae (septa) that divide the gland into several lobes</p><ul><li><p>Lobes have a cortex and a medulla populated by T lymphocytes</p></li></ul></li></ul><ul><li><p>Epithelial cells seal off cortex from medulla forming a <strong>blood–thymus barrier</strong></p></li><li><p>Produce signaling molecules that regulate the immune system</p><ul><li><p>thymosin, thymopoietin, thymulin, interleukins, and interferon</p></li></ul></li></ul><p></p>
32
New cards

Lymph Nodes

where we have lymphatic vessels coming together, and a lot of reticular tissue to filter the lymph

  • Serve two functions

    • Cleanse the lymph

    • Act as a site of T and B cell activation

  • more vessels going in than going out

    • allows for fluid to be gently pressurized so it can be pushed through reticular tissue to be filtered

  • the debris left over after being filtered is eaten up my macrophages which present them to the B and T lymphocytes

<p>where we have lymphatic vessels coming together, and a lot of reticular tissue to filter the lymph</p><ul><li><p>Serve two functions</p><ul><li><p>Cleanse the lymph</p></li><li><p>Act as a site of T and B cell activation</p></li></ul></li></ul><ul><li><p><span style="background-color: transparent;">more vessels going in than going out</span></p><ul><li><p><span style="background-color: transparent;">allows for fluid to be gently pressurized so it can be pushed through reticular tissue to be filtered</span></p></li></ul></li><li><p>the debris left over after being filtered is eaten up my macrophages which present them to the B and T lymphocytes</p></li></ul><p></p>
33
New cards

Lymph Node Structure

  • are the most numerous lymphatic organ

    • About 450 in typical young adult

  • Elongated, bean-shaped structure with hilum

  • has trabeculae that divide interior into compartments

    • divided into cortex and medulla

    • Creates germinal centers where B cells multiply and differentiate into plasma cells

  • Several afferent lymphatic vessels lead into the node along its convex surface

  • Lymph leaves the node through one to three efferent lymphatic vessels that leave the hilum

<ul><li><p>are the most numerous lymphatic organ</p><ul><li><p>About 450 in typical young adult</p></li></ul></li><li><p>Elongated, bean-shaped structure with hilum</p></li><li><p>has trabeculae that divide interior into compartments</p><ul><li><p>divided into cortex and medulla</p></li><li><p>Creates <u>germinal centers </u>where B cells multiply and differentiate into plasma cells</p></li></ul></li><li><p>Several <strong>afferent</strong> lymphatic vessels lead into the node along its convex surface</p></li><li><p>Lymph leaves the node through one to three <strong>efferent</strong> lymphatic vessels that leave the hilum</p></li></ul><p></p>
34
New cards

Metastasis

cancerous cells break free from original tumor, travel to other sites in the body, and establish new tumors

  • Metastasizing cells easily enter lymphatic vessels

  • Tend to lodge in the first lymph node they encounter

  • Multiply there and eventually destroy the node

    • Swollen, firm, and usually painless

  • Tend to spread to the next node downstream

35
New cards

Treatments for Breast Cancer

lumpectomy, mastectomy, along with removal of nearby axillary nodes

  • lumpectomy is when surgeons take a radioactive dye that is preferentially metabolized by cancer cells so they can remove that specific area

36
New cards

Tonsils

patches of lymphatic tissue located at the entrance to the pharynx (back of throat)

  • Guard against ingested or inhaled pathogens

  • Covered with epithelium

  • Have deep pits: tonsillar crypts lined with lymphatic nodules

  • Can get tonsillitis and/or a tonsillectomy

  • 3 main sets of tonsils

    • Palatine Tonsils

    • Lingual Tonsils

    • Pharyngeal Tonsils

37
New cards

Palatine Tonsils

Pair at posterior portion of the oral cavity

  • Most often infected

<p>Pair at posterior portion of the oral cavity</p><ul><li><p>Most often infected </p></li></ul><p></p>
38
New cards

Lingual Tonsils

Pair at root of the tongue

<p>Pair at root of the tongue</p>
39
New cards

Pharyngeal Tonsils

aka adenoids

  • Single tonsil on wall of nasopharynx

<p>aka adenoids</p><ul><li><p>Single tonsil on wall of nasopharynx</p></li></ul><p></p>
40
New cards

Spleen

the body’s largest lymphatic organ

  • Two types of tissue

    • Red pulp : sinuses filled with erythrocytes

      • spleen is mostly red pulp

    • White pulp: lymphocytes, macrophages surrounding small branches of splenic artery

  • Spleen is highly vascular and vulnerable to trauma and infection

    • Ruptured spleen requires splenectomy, but this leaves person susceptible to future infections, premature death

<p>the body’s largest lymphatic organ</p><ul><li><p>Two types of tissue</p><ul><li><p><strong>Red pulp </strong>: sinuses filled with erythrocytes</p><ul><li><p>spleen is mostly red pulp</p></li></ul></li><li><p><strong>White pulp</strong>: lymphocytes, macrophages surrounding small branches of splenic artery</p></li></ul></li><li><p>Spleen is highly vascular and vulnerable to trauma and infection</p><ul><li><p>Ruptured spleen requires splenectomy, but this leaves person susceptible to future infections, premature death</p></li></ul></li></ul><p></p>
41
New cards

Functions of the Spleen:

  • Lets healthy RBCs come and go

  • For old, fragile RBCs, spleen is a “erythrocyte graveyard”

  • Blood cell production in fetus happens in the spleen (and in very anemic adults)

  • White pulp monitors blood for foreign antigens and keeps an army of monocytes for release when needed

  • Stabilizes blood volume through plasma transfers to lymphatic system

42
New cards

Pathogens

agents capable of producing disease

  • Include viruses, bacteria, and fungi

43
New cards

3 lines of defenses against pathogens:

  • First line of defense:

    • skin and mucous membranes

    • aka the physical barrier

    • difficult for pathogens to pass through the skin

  • Second line of defense: several innate defense mechanisms

    • Leukocytes and macrophages, antimicrobial proteins, natural killer cells, inflammation, and fever

    • generically targets cells that don't belong, does not target specific species of pathogens

  • Third line of defense: adaptive immunity

    • Defeats a pathogen and leaves the body with a “memory” of it so it can defeat it faster in the future

    •  targets one specific strain of one specific pathogen

44
New cards

Innate Defenses

built-in defenses that guard equally against a broad range of pathogens

  • They can’t remember pathogens

  • 3 kinds of innate defenses:

    • Protective proteins

    • Protective cells

    • Protective processes

  • They are local, nonspecific, and lack memory

  • innate immune system is very energy intensive 

45
New cards

Adaptive Immunity

body must develop separate immunity to each pathogen

  • Body adapts to a pathogen and wards it off more easily upon future exposure (memory)

  • adaptive immune system is more efficient, but has less variety

46
New cards

Skin as an External Barrier:

  • Makes it mechanically difficult for microorganisms to enter the body

  • Toughness of keratin

  • Too dry and nutrient-poor for microbial growth

  • Has an acid mantle

    • thin film of lactic and fatty acids from sweat and sebum that inhibits bacterial growth 

    • staphylo - can grow in the acid mantle

    • oil glands release sebum that contains proteins that are inherently antimicrobial

47
New cards

Peptides in the skin that kill microbes:

Dermicidin, defensins, and cathelicidins

48
New cards

Mucous Membranes as External Barriers

Digestive, respiratory, urinary, and reproductive tracts are open to the exterior and protected by mucous membranes

  • Mucus physically traps microbes and moves them away to be disposed of

  • Contains lysozyme

    • enzyme that destroys bacterial cell walls

49
New cards

Cells involved with the second stage of defense:

  • Phagocytes

  • Neutrophils

  • Eosinophils

  • Basophils

  • Monocytes

  • Lymphocytes

50
New cards

Neutrophils

Wander in connective tissue killing bacteria*

2 Mechanisms to Destroy:

  • Can kill using phagocytosis and digestion

  • Can kill by producing a cloud of bactericidal chemicals

    • they release bleach and hydrogen peroxide next to a bacteria

    • this destroys the bacterial cell, as well as its own plasma membrane, destroying themselves too

      • called a respiratory burst

51
New cards

Eosinophils

  • Found especially in mucous membranes

  • Guard against parasites, allergens (allergy-causing agents), and other pathogens

  • Kill tapeworms and roundworms by producing superoxide, hydrogen peroxide, and toxic proteins

    • they don't self destruct when producing the oxidizing chemicals like neutrophils do

  • recruit basophils and mast cells

    • they release histamine for an inflammatory response

  • Phagocytize antigen–antibody complexes

  • Limits action of histamine/ inflammatory response

52
New cards

Basophils

Secrete chemicals that recruit other cells to site of infection

  • Leukotrienes: activate and attract neutrophils and eosinophils

  • Histamine: a vasodilator, which increases blood flow

    • Speeds delivery of leukocytes to the area

  • Heparin: inhibits clot formation

    • Clots would slow leukocyte mobility

53
New cards

Mast Cells

Mast cells also secrete these substances (leukotrienes, histamine, and heparin)

  • Type of connective tissue cell very similar to basophils

  • basophils often differentiate into mast cells

54
New cards

Lymphocytes

most dynamic component of the adaptive immune system

  • Three basic categories: T, B, and NK cells

  • Circulating blood contains

    • 80% T cells

    • 15% B cells

    • 5% NK cells

  • Many diverse functions

    • NK cells are a part of the innate system and the adaptive immune system

    • all others are part of adaptive immunity;

    • helper T cells also function in both

55
New cards

Natural Killer Cells and How They Work:

  • involved in both innate and adaptive immunity

  • patrols connective tissue of the body

  • primarily binds to things that might not belong to the body,

    • if the thing it binds to doesnt have the correct id tag, the NK cell will kill it

  • releases perforins which will form a pore in the membrane of the target cell

  • Then the NK cell secretes granzymes into the pore and starts to break up proteins in the target cell

  • the proteins lose structure and function, causing cell to go through apoptosis

<ul><li><p>involved in both innate and adaptive immunity</p></li><li><p>patrols connective tissue of the body</p></li><li><p>primarily binds to things that might not belong to the body,</p><ul><li><p>if the thing it binds to doesnt have the correct id tag, the NK cell will kill it</p></li></ul></li><li><p>releases <strong>perforins</strong> which will form a pore in the membrane of the target cell</p></li><li><p>Then the NK cell secretes <strong>granzymes</strong> into the pore and starts to break up proteins in the target cell</p></li><li><p>the proteins lose structure and function, causing cell to go through apoptosis</p></li></ul><p></p>
56
New cards

Monocytes

move from the blood into connective tissues and transform into macrophages

57
New cards

Macrophage System

all the body’s phagocytic cells, except leukocytes

  • Includes

    • Wandering macrophages

    • Fixed macrophages

58
New cards

Wandering Macrophages

Macrophages that actively seek pathogens

  • Widely distributed in loose connective tissue

  • patrol the body looking for things that don’t belong

  • look for chemical messengers released from WBCs

59
New cards

Fixed Macrophages

Macrophages that only phagocytize pathogens that come to them

  • are stuck in a specific organ

  • Examples include:

    • Microglia —in central nervous system

    • Alveolar macrophages —in lungs

    • Hepatic macrophages —in liver

60
New cards

Antimicrobial Proteins

Proteins that inhibit microbial reproduction and provide short-term, innate immunity to bacteria and viruses

  • Two families of antimicrobial proteins:

    • Interferons

    • Complement system

61
New cards

Interferons

antimicrobial proteins that are secreted by cells infected by viruses and interfere with viral propagation

  • They alert neighboring cells and protect them from becoming infected

    • Bind to surface receptors on neighboring cells

    • Activate second-messenger systems within

    • second cell will then start making proteins that will help fight against the virus

  • The first cell receives no benefit from the interferon it creates (paracrine signal)

  • Interferons also activate NK cells and macrophages

    • These destroy the infected cell before it can transfer newly replicated viruses

    • Activated NK cells destroy malignant cells

  • interferons are specific to the virus

62
New cards

Complement System

a group of 30 or more globular proteins that make powerful contributions to both innate immunity and adaptive immunity

  • Synthesized by liver

  • Circulate in the blood in inactive form

  • Are activated by presence of a pathogen

  • When activated, there is positive feedback loop that ultimately destroys the target cell

63
New cards

What are the 4 methods of pathogen destruction that occur when a complement system is activated?

  • Inflammation

  • Immune clearance

  • Phagocytosis

  • Cytolysis

64
New cards

Inflammation in Complement Systems

  • C3a protein stimulates mast cells and basophils to secrete histamine and other inflammatory chemicals

  • Activates and attracts neutrophils and macrophages

  • Speeds pathogen destruction in inflammation 

    • bc there is increased blood flow so more WBC can get to the area

65
New cards

Immune Clearance in Compliment Systems

C3b causes pathogen to get linked/clumped together

  • C3b protein binds with antigen–antibody (Ag-Ab) complexes to red blood cells

  • These RBCs circulate through liver and spleen

  • Macrophages of those organs strip off and destroy the Ag–Ab complexes leaving RBCs unharmed

  • Main way of clearing foreign antigens from the bloodstream

  • idea is that one viral protein is not a big target, but when they are grouped together in one location, that will elicit a much stronger response from immune system

66
New cards

Phagocytosis in Complement Systems

  • Neutrophils and macrophages cannot phagocytize “naked” bacteria, viruses, or other pathogens

  • SO, C3b assists them by opsonization

    • Coats microbial cells and serves as binding sites for phagocytes

    • Makes the foreign cell more appetizing to be eaten up by phagocytes

67
New cards

Cytolysis in Complement Systems

complement proteins can attach together and make a pore

  • C3b protein splits complement protein C5 into C5a and C5b

  • C5b binds to the enemy cell

  • Attracts more complement proteins until a membrane attack complex forms

  • Forms a hole in the target cell

    • Electrolytes leak out

    • water flows in rapidly

    • cell ruptures

68
New cards

Complement Activation

when the complement system is activated, it can do 4 different things:

  • Inflammation

  • Immune Clearance

  • Phagocytosis

  • Cytolysis

Explore top flashcards

Pharm
Updated 275d ago
flashcards Flashcards (20)
Spanish 6B vocab
Updated 296d ago
flashcards Flashcards (44)
lang quiz
Updated 1078d ago
flashcards Flashcards (20)
RPI ASTRO 2050 EXAM 1
Updated 30d ago
flashcards Flashcards (61)
Unit 9 vocab
Updated 889d ago
flashcards Flashcards (20)
Pharm
Updated 275d ago
flashcards Flashcards (20)
Spanish 6B vocab
Updated 296d ago
flashcards Flashcards (44)
lang quiz
Updated 1078d ago
flashcards Flashcards (20)
RPI ASTRO 2050 EXAM 1
Updated 30d ago
flashcards Flashcards (61)
Unit 9 vocab
Updated 889d ago
flashcards Flashcards (20)