1/27
Looks like no tags are added yet.
Name | Mastery | Learn | Test | Matching | Spaced | Call with Kai |
|---|
No analytics yet
Send a link to your students to track their progress
hypothalamus
link between N.S and Endo system, via pituitary gland
secrete substances through ducts to the surface of the skin
Exocrine Gland
Endocrine Gland
Secrete hormones directly into the bloodstream

Posterior Pituitary
stores and releases hormones = oxytocin and vasopressin. produced in the hypothalamic neurons. hypo tract system.
Oxytocin
function = labor, milk production
ADH (vasopressin)
function = water reabsorption to increase BV

Anterior Pituitary
produces and secretes hormones
ATCH (adrenal glands)
FSH (affects ovaries)
GH (affects growth)
LSH (affects ovaries and testes)
Prolactin (affects milk production)
Thyroid Stim. (Affects thyroid gland)

Pineal Gland
behind 3rd ventricle

Pineal Histology
Pinealocytes = dark staining cells w/nucleolus
Glial cells (support cells)= small dark spots
pink stuff = C.T

Pineal Hormone
secretes Melatonin (affects sleep + circadian rhythm)

Thyroid Gland
lies inferior to larynx, bi-lobed, composed of thyroid follicles

Follicular Cells
TSH → secrete thyroid hormone (T3+4)
T4 + T3 function = regulates metabolism
cells are cuboidal epi cells that line the thyroid follicles


Parafollicular cells (in between)
between follicles, secrete calcitonin function=decrease blood calcium levels
inhibits osteoclast activity

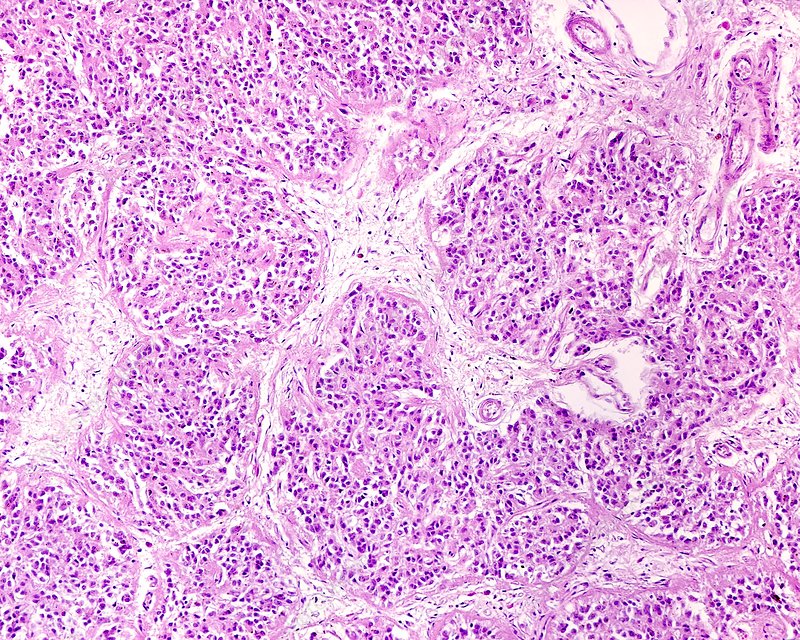
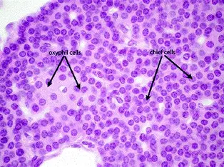
Parathyroid gland
four glands embedded in posterior of thyroid gland

Chief cells
dark-staining cells with central nucleus
function=increase blood calcium

Oxyphil cells
light staining cells with visible purple nucleolus, no function

Thymus
hormone = thymosin
function = maturation of T cells
Heart
cardiac muscle
mononucleated cells, intercalated dics, striations
Heart Hormone
Atrial Natriuretic Peptide
Atrial Natriuretic Peptide function
lowers blood pressure by promoting kidney to remove salt from blood

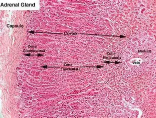
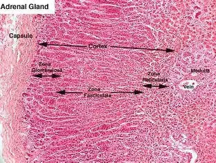
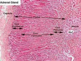
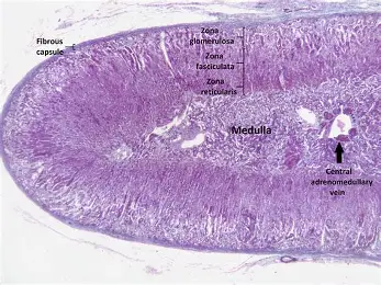
Adrenal Glands
Adrenal cortex

Zona Glomerulosa (dark arches)
release mineralocorticoids (Aldosterone)
function = increases blood pressure by retaining water, via sodium retention

Zona Fasciculata
Glucocorticoids (Cortisol)
function = regulate glucose metabolism during stress

Zona Reticularis
synthesis of weak Androgens (DHEA)
function = production of androgens (male horm.) +estrogens

Adrenal Medulla
contains chromaffin cells
class: catecholamines
epinephrine and norepinephrine (adrenaline)
fight or flight response

Medulla / darker spot = reticularis
Kidneys