1/71
Looks like no tags are added yet.
Name | Mastery | Learn | Test | Matching | Spaced | Call with Kai |
|---|
No analytics yet
Send a link to your students to track their progress
What separates the 2 tissues of the neck
the oesophagus
What are the 2 sets of tissues of the neck
anterior skeleton
posterior skeleton

Function of the anterior skeleton
important in ventilation and feeding
Functino of the posterior skeleton
upper part of vertebral column
What are the main bones of the anterior skeleton of the neck
hyoid bone
What are the main cartilage of the anterior skeleton of the neck
thyroid
cricoid
tracheal rings

Label clockwise
epiglottis
thyroid cartilage
cricothyroid muscle
cricoid cartilage
tracheal rings
cricothyroid cartilage
thyrohyoid membrane

What is the main structure of the posterior skeleton of the neck
cervical spine

Where are the bones of the neck located
in the midline
Anterior set of bones of the neck
the hyoid bone
Posterior set of bones
cervical spine
How many bones make up the cervical spine
7
Features of the hyoid bone
-no bony articulations
-stabilised by ligaments and muscles
-suspends the larynx
-supports the floor of the mouth

Which bone is this, label clockwise
hyoid bone
-greater horn/ greater cornu
-lesser horn/ lesser cornu
-body

What si the significance of the body of the bone
usually the first part of the bone to ossify
How many ossification centres are in the hyoid bone
4 primary ossification centres
How can the hyoid bone divided into 2 halves
divided into 2 halves at the level of the body

Describe the embryology of the body of the hyoid bone
upper half:
-2nd branchial arch derivative (developed from cartilage belonging to the 2nd pharyngeal arch)
-1 primary ossification centre
lower half:
-3rd branchial arch derivative
-1 primary ossification centre
Describe the embryology of the lesser horn
-2nd branchial arch derivative
-1 primary ossification centre
Describe the embryology of the greater horn
3rd branchial arch derivative
1 primary ossification centre
What is the cranial nerve for the hyoid
facial nerve CN7
Which ligaments attach to the hyoid bone
stylohyoid ligaments

Which muscles of the head and neck attach to the hyoid bone
tongue
pharynx
larynx
What is the importance of the muscular attachments of the hyoid bone
stabilise the hyoid in its resting position
What are the 2 main groups of muscles attached to the hyoid bones
suprahyoid bone (act to elevate the hyoid, attached superiorly to the hyoid bone)
infrahyoid bone (act to depress/lower the hyoid bone, attached inferiorly to the hyoid bone)

What is the cervical spine
collection of discrete (seperable from one another) vertebrae that form the skeleton of the neck
Functions of the cervical spine
connects the head ot the rest of the body
supports and transmits all the weight of the head to the rest of the body
occupies the posterior aspects of the neck
What are the 2 sets of cervical vertebrae
typical vertebrae C3-C6 (maybe C7)
atypical vertebrae C1 and C2
What is the neural foramen
a small, hollow opening located between adjacent vertebrae on both sides of the spinal column

Function of the neural foramen
openings act as passageways for spinal nerves, blood vessels, and dorsal root ganglions to exit the spinal cord and travel to other body parts.

Label clockwise
bifid spinous process
pedicle
superior articular process
body
transverse process
transverse foramen
vertebral foramen
lamina


Label clockwise
body
superior articular process
sulcus for spinal nerve
inferior articular facet
spinous process
inferior articular process
transverse foramen
transverse process
uncinate process

How many ossificatio centres do typical cervical vertebrae have
3
What is the neural arch of the vertebrae
posterior part of a vertebra that encloses and protects the spinal cord
made up of 2 laminae and 2 pedicles and forms the vertebral foramen
Distinguishing features of typical cervical vertebrae
bifid spinous process
oval tranverse foramen in the transverse processes
large vertebral foramen
vertebral artery passes through the transverse foramen (except C7)
The presence of the uncinate process
Why is C7 sometimes not considered as typical vertebrae
-doesn’t have a bifid spinous process
-prominent spinous process
-large transverse process
-smaller accessory veins pass through the C7 foramen rather than the vertebral artery

What are the names of the 2 atypical cervical vertebrae
atlas- C1
axis- C2
Features of C1/ atlas
no body or spinous process
widest cervical vertebra
2 primary ossification centres

Where does C1/atlas articulate
-articulates with the base of the skull (occiput) via the atlanto-occipital joint (nodding/ up and down movement)
-articulates with axis/C2 via the atlanto-axial joint for side-to-side rotation)
Describe the embryology of C1/Atlas
-has 2 primary ossification centres
-its body is displaced and fused with that of axis (C2) to form the odontoid process
Describe the neural arch of atlas and why
each neural arch is thick and strong to form a powerful lateral mass
Features of C2- axis
-strongest cervical vertebra
-the odontoid peg/dens
-large bifid spinous process
-rugged lateral mass
-4 primary ossifcation centres

Function of the odontoid process
prevents horizontal displacement of atlas
What are the 2 types of cervical spine fractures
burst/Jefferson fracture- C1 breaks into 4 pieces
Hangman’s fracture- C2 breaks into 2 pieces, due to hyperextension of the head on the neck (hanging)

What are the 2 types of joints of the cervical spine
-intervertebral joints/discs: between the bodies of adjacent vertebrae (anteriorly), absent between C1 and C2 but present between all vertebrae below C2 onwards
-facet joints: between adjacent vertebrae via articular processes (posteriorly)

What type of joints are the intervertebral discs
cartilagenous joints (specifically symphysis joints)
they are immovable
What type of joints are the facet joints
synovial joints (movable)
What is another name for facet joints
apophyseal joints

Label clockwise
joint cavity
joint capsule
2 parts of intervertebral discs
-nucleus pulposus (remnants of the notochord)
-annulus fibrosis
What are the 2 types of facet joints
upper neck apophyseal joints
lower neck apophyseal joints
What are the 2 types of upper neck apophyseal joints
atlanto-occipital joint
atlanto-axial joint

What are the lower neck apophyseal joints
-joints between superior and inferior articular processes of the rest of the cervical spine

Label from top to bottom
occiput (back of the head)
odontoid
AO joint
atlas
AA joint
axis


Label from top to bottom
AO joint
Atlas
AA joint
Axis

What type of joints are AO joints
condyloid joints (type of synovial joint)
Features of AO joints
classified as synovial joints with capsules
very mobile with primarily ligamentous stabilisation
facilitate occipital flexion and extension on the atlas/C1
How do AO joints lie in relation to the spine
lie anterolateral to the spinal cord
Which structures of the AO joints align with
uncinate process of the lower cervical bodies
What type of joints are the AA joint
pivot joint
How many AA joints are there
3
What type of movement do the AA joints allow and how
rotation / side to side movement of the head
there is a pivot joint between the odontoid process of the axis and ring formed by the anterior arch and the transverse ligament of the atlas

Label clockwise
odontoid process/dens of axis
anterior arch of C1
ligament
superior articular facet

What are the 3 atlantoaxial joints
median joint
2 lateral joints
Median joint
between dens and anterior arch of C1 and dens and transverse ligament
stabilised by the transverse ligament of the atlas

What are the 2 articulations of the median atlantoaxial joint

Lateral joints
Two joints, one on each side, connecting the large lateral masses of the C1 (atlas) to the superior facets of the C2


Label clockwise
median atlantoaxial joint
median intervertebral joints
lateral facet joints
atlantooccipital joint


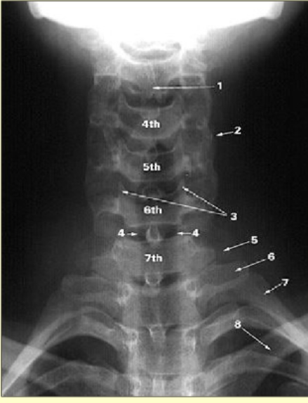
Label this image
bifid spinous process of C3
superimposed articular processes
uncinate process
trachea
transverse process of C7
transverse process of T1
1st rib
clavicle


Label this image
anterior arch of the atlas
dens of axis
posterior arch of atlas
soft palate
root of tongue
transverse process
intervertebral disc
inferior articular process
superior articular process
facet joint
spinous process of C7
