1/19
Looks like no tags are added yet.
Name | Mastery | Learn | Test | Matching | Spaced | Call with Kai |
|---|
No analytics yet
Send a link to your students to track their progress

Leishmania

Trypanosoma

Trichomonas

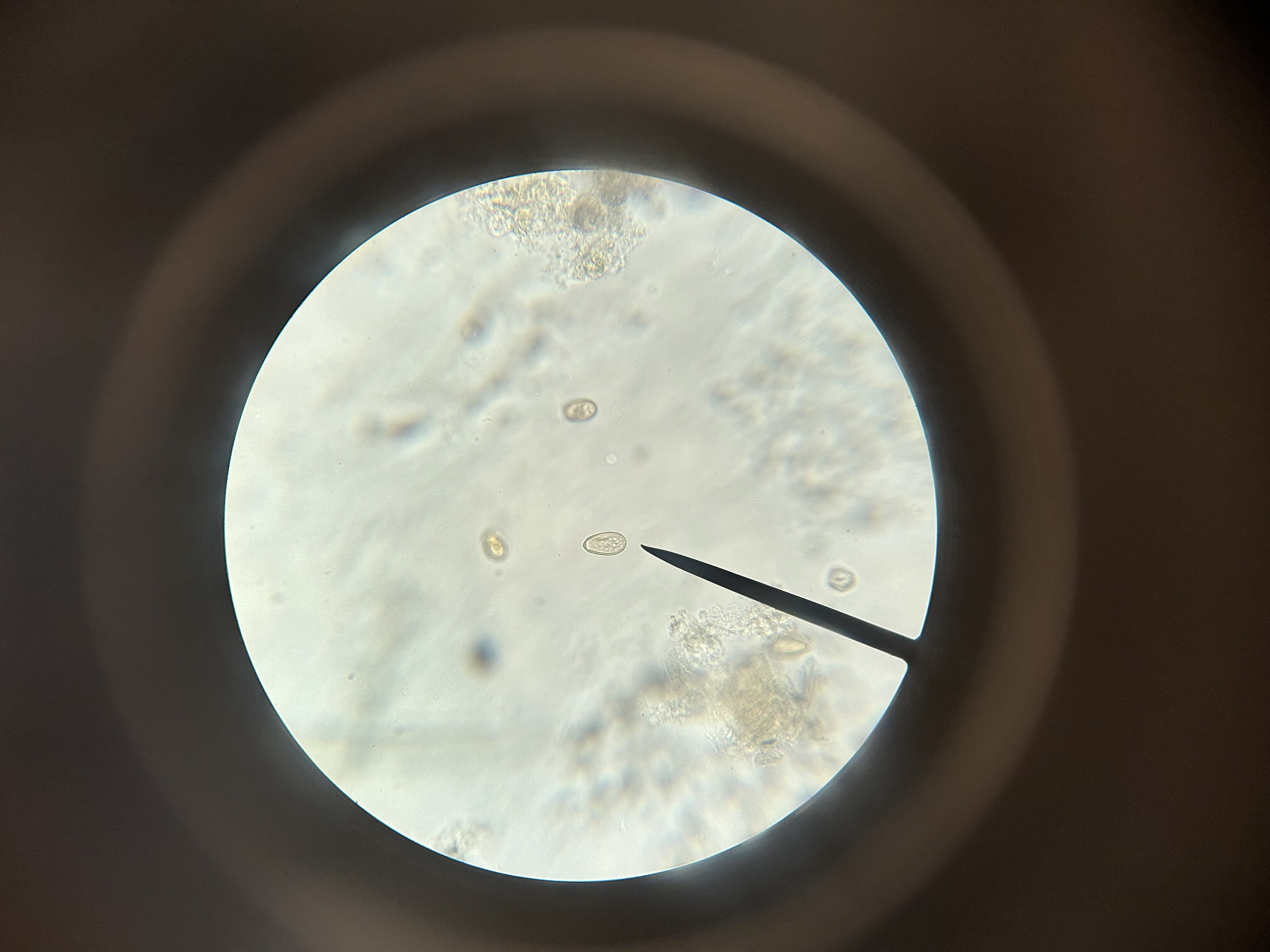
Giardia cyst

Giardia trophozoite

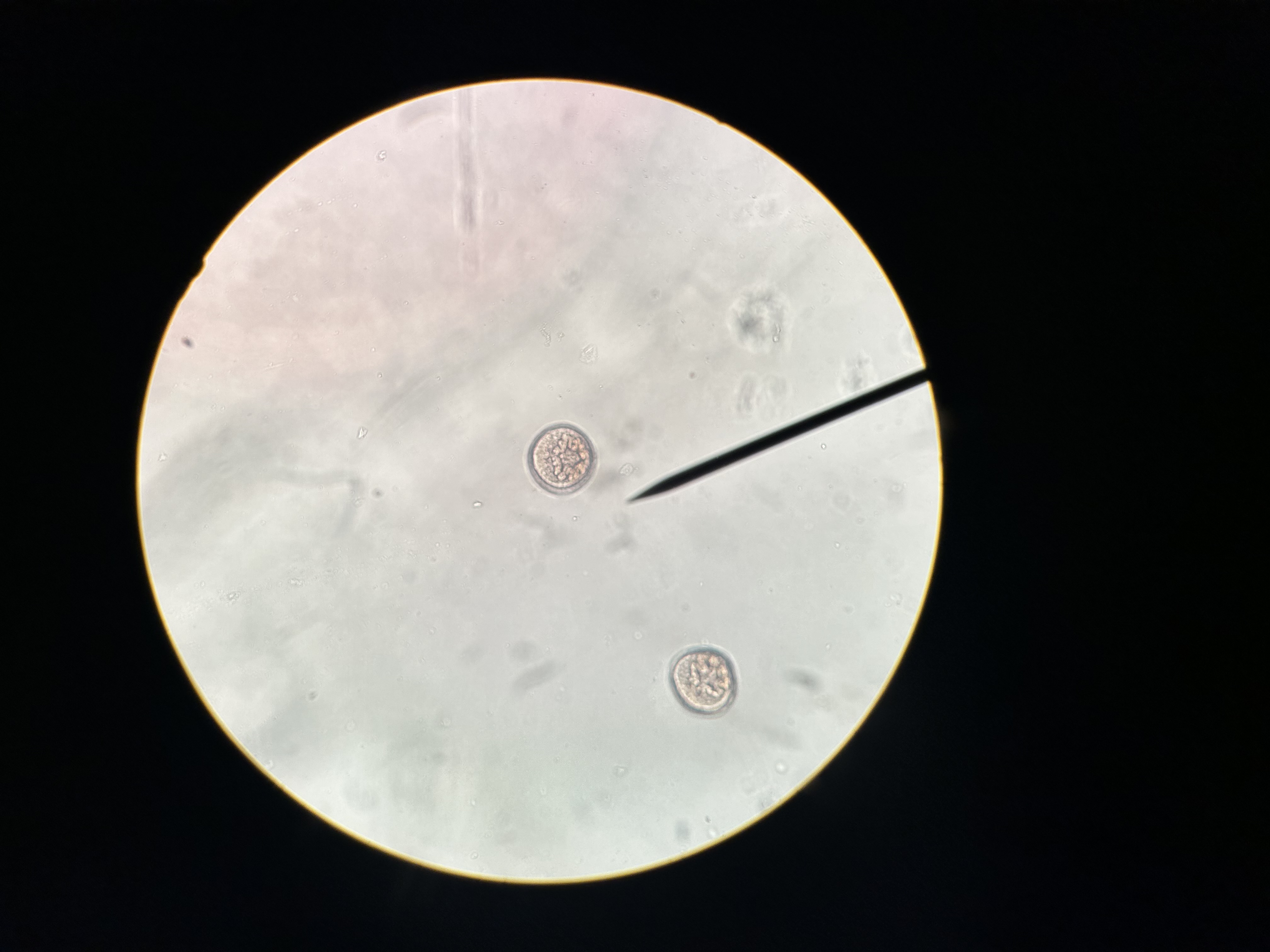
Entameba cyst

Balantidium trophozoite

Tapeworm eggs

Tapeworm cysticercus larva

Tapeworm proglottids

Echinococcus adult

Plasmodium ring stage

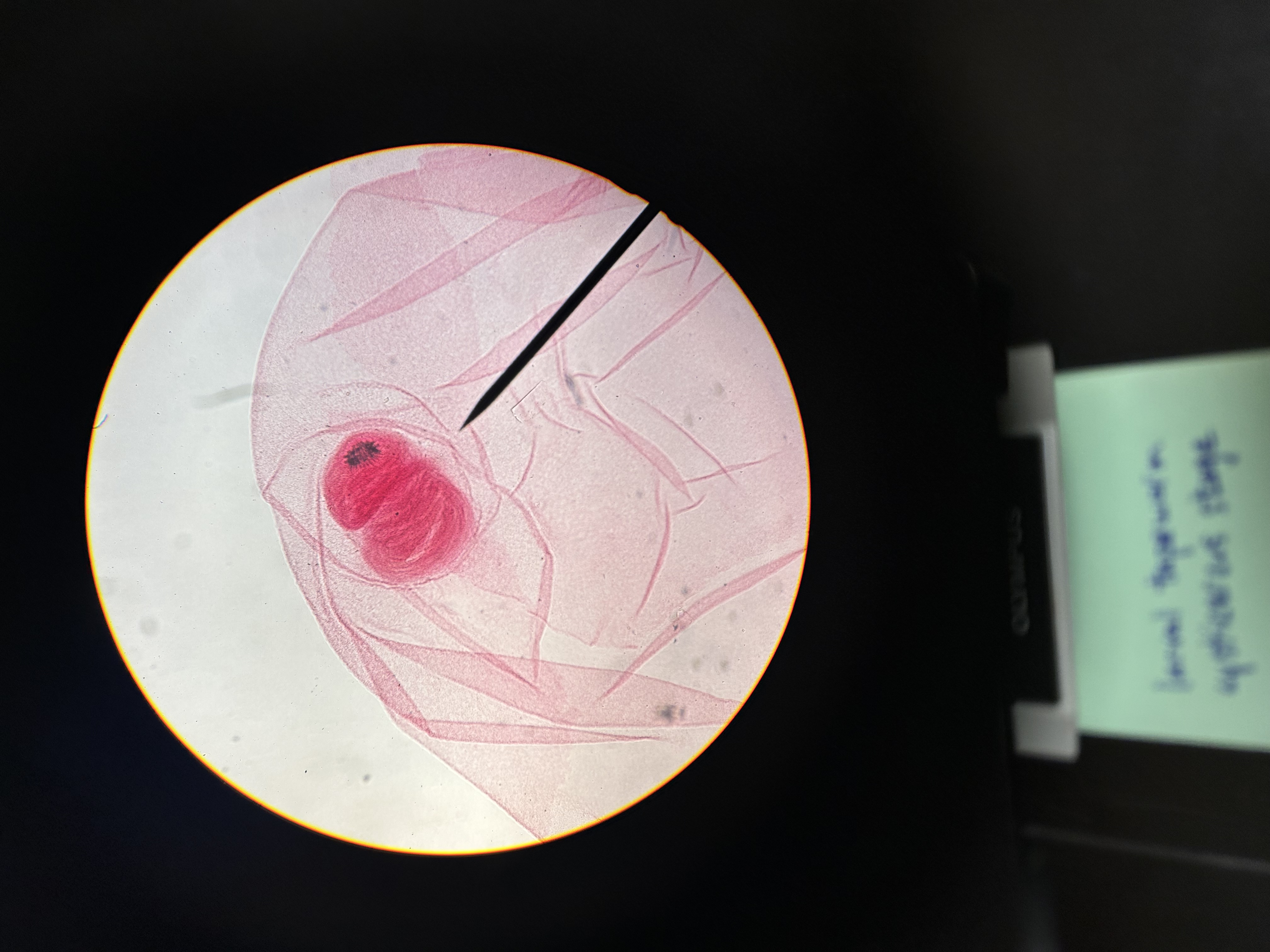
Trichinella

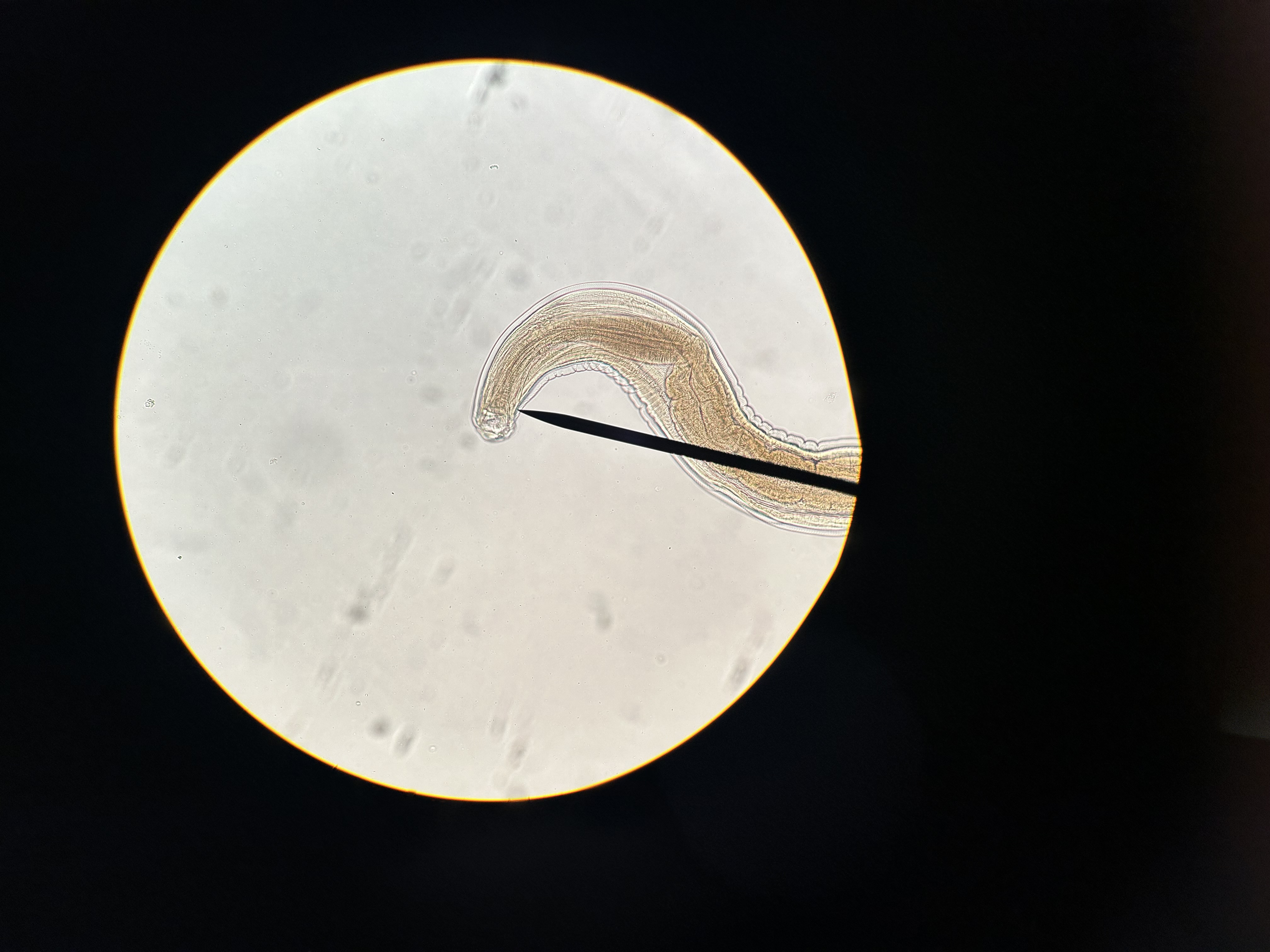
Necator

Enterobius

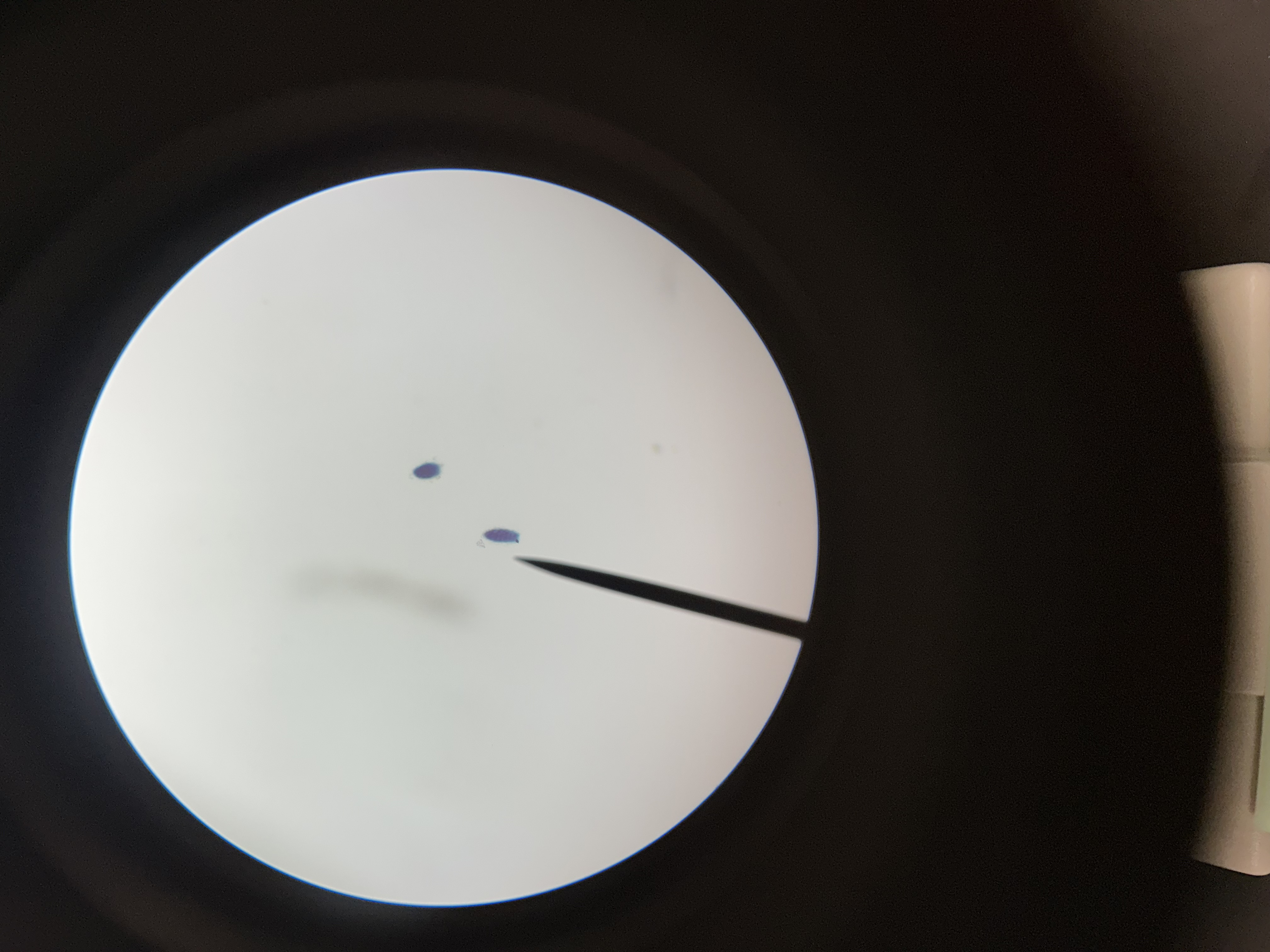
Fluke eggs

larval fluke miracidium stage

larval fluke redia stage

larval fluke cercaria stage

larval fluke metacercaria stage