1/38
hema quiz prelims
Name | Mastery | Learn | Test | Matching | Spaced | Call with Kai |
|---|
No analytics yet
Send a link to your students to track their progress
Cytoplasmic Changes
change in cytoplasm
Reduction in Cell Size
more matured, decrease in size
Erythropoiesis
red blood cells
Granulopoiesis
granulocytes/myeloblast
Monopoiesis
monoblast
Lymphoiesis
lymphoblast
Megakaryopoiesis
megakaryocyte
Erythropoiesis
process by which Erythroid precursor cells differentiates to become mature
erythropoietin
primary regulator of the process in maturing RBCs
PRONORMOBLAST

BASOPHILIC NORMOBLAST

POLYCHROMATIC (POLYCHROMATOPHILIC) NORMOBLAST

ORTHOCHROMIC NORMOBLAST

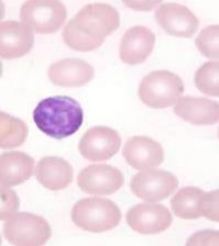
RETICULOCYTE

0.5-1.5%
adult reference range of reticulocyte
2-6%
newborn reference range of reticulocyte
ERYTHROCYTE

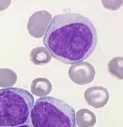
MYELOBLASTS

PROMYELOCYTES

NEUTROPHIL MYELOCYTES

NEUTROPHIL METAMYELOCYTES

NEUTROPHIL BANDS

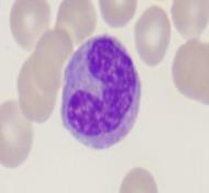
SEGMENTED NEUTROPHILS

EOSINOPHIL MYELOCYTES

EOSINOPHIL

IMMATURE BASOPHILS

MATURE BASOPHILS

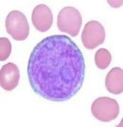
MONOBLAST

PROMONOCYTES

MONOCYTE

LYMPHOBLAST

PROLYMPHOCYTE

SMALL LYMPHOCYTES

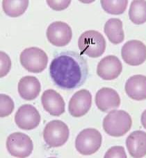
MEDIUM LYMPHOCYTE

LARGE LYMPHOCYTE

MEGAKARYO BLAST (STAGE 1)

PROMEGARKAYOCYTE (STAGE II)

MEGAKARYOCYTE (STAGE III)

PLATELET (THROMBOCYTE)
