1/12
Image review + questions on lab models
Name | Mastery | Learn | Test | Matching | Spaced | Call with Kai |
|---|
No analytics yet
Send a link to your students to track their progress

Identify the structures labelled 1-9
1 (Cell membrane), 2 (Rough ER), 3 (Chromatin), 4 (Centrioles), 5 (Golgi apparatus), 6 (Smooth ER), 7 (Mitochondria), 8 (Nucleolus), 9 (Nucleus/nuclear membrane)

Identify the structures labelled 10-14
10 (Chromatin), 11 (Cell membrane/plant cell wall), 12 (Nucleolus), 13 (Nucleus/nuclear membrane), 14 (Cytoplasm)

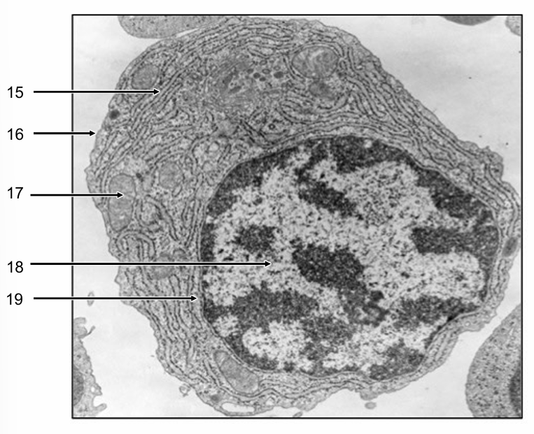
Identify the structures labelled 15-19
15 (Rough ER), 16 (Cell membrane), 17 (Mitochondria), 18 (Chromatin), 19 (Nuclear membrane)

Identify the structures labelled 20-22
20 (Chromatin), 21 (Nuclear membrane), 22 (Nucleolus)

Identify the structures labelled 23-30 (25 + 30 represent the same structure)
23 (4 cell stage), 24 (Morula), 25 (Trophoblast), 26 (Embryoblast), 27 (Blastocyst), 28 (Epiblast), 29 (Hypoblast), 30 (Trophoblast)

Identify the structure labelled as 31
31 (Blastocyst [exterior])

Identify the structures of a ~9-12 day embryo labelled 32-36
32 (Amniotic cavity), 33 (Bi-layered embryonic disc), 34 (Yolk sac), 35 (Epiblast), 36 (Hypoblast), 37 (Trophoblast cells)

Identify the structures of a ~20 day embryo labelled 38-44
38 (Chorionic villi), 39 (Yolk sac), 40 (Umbilical cord), 41 (Chorion), 42 (Amnion), 43 (Embryo), 44 (Amniotic cavity)

Identify the structures of a ~25 day embryo labelled 45-53
45 (Chorion), 46 (Yolk sac), 47 (Umbilical cord), 48 (Chorionic villi), 49 (Embryo’s head), 50 (Amnion), 51 (Embryo’s heart), 52 (Amniotic cavity), 53 (Embryo’s tail)

Identify the structures of a ~4.5 week embryo labelled 54-61
54 (Chorion), 55 (Amnion), 56 (Embryo’s head), 57 (Amniotic cavity), 58 (Umbilical cord), 59 (Yolk sac), 60 (Embryo’s heart), 61 (Embryo’s tail)

Identify the structures of a ~4.5 week embryo labelled 62-68
62 (Chorionic villi), 63 (Yolk sac), 64 (Umbilical cord), 65 (Chorion), 66 (Embryo’s head), 67 (Amniotic cavity), 68 (Embryo’s tail)
What are the (4) functions of the SER (Smooth Endoplasmic Reticulum)?
Lipids/steroids hormones synthesis, lipid metabolism, drug detox, Ca+2 storage
Which intracellular structure organizes centres for microtubules, spindle apparatus, and cytoskeleton?
Centrosomes