Occlusion, Jaw Movement and Occlusal Contacts

0.0(0)
studied byStudied by 0 people
0.0(0)
full-widthCall with Kai
GameKnowt Play
New
learnLearn
examPractice Test
spaced repetitionSpaced Repetition
heart puzzleMatch
flashcardsFlashcards
Card Sorting

1/63

encourage image

There's no tags or description

Looks like no tags are added yet.

Study Analytics
Name
Mastery
Learn
Test
Matching
Spaced

No study sessions yet.

64 Terms

1
New cards

Maximum intercuspation (MI)

mandible with the teeth are brought into full interdigitation wiht the maximum number of teeth contacting

<p>mandible with the teeth are brought into full interdigitation wiht the maximum number of teeth contacting</p>
2
New cards

Where it is the most stable with interlocking the 2 arches considered to be?

maximum intercuspation

3
New cards

What is independent on condylar position (meaning only based on teeth)?

maximum intercuspation

4
New cards

Centric Occlusion (CO)

tooth guided position where it depends on the initial tooth contact when the mandible closes

<p>tooth guided position where it depends on the initial tooth contact when the mandible closes</p>
5
New cards

What dos the CO provide?

reference point in restorative procedures

6
New cards

Functional shift

small shift from CO to MI (grinding motion)

7
New cards

Functional occlusion

all contacts during chewing, swallowing, or normal actions

8
New cards

Normal contacts

made during chewing and swallowing

9
New cards

What is the most comfortable joint position?

centric relation

10
New cards

Centric Relation (CR)

maxillomandibular relationship where the functional heads of the condyles are in the most unrestrained, retruded anatomic position in the glenoid fossae of the temporomandibular joints

<p>maxillomandibular relationship where the functional heads of the condyles are in the most unrestrained, retruded anatomic position in the glenoid fossae of the temporomandibular joints</p>
11
New cards

What is independent on tooth contacts (meaning only based on joint)?

centric relation

12
New cards

Guided ligament position and where the jaw should be

centric relation

13
New cards

Why can't the patients mandible be forced into CR from the rest position?

because a person's reflex neuromuscular defense would resist the applied force

14
New cards

When guiding to the centric relation, how should the mandible be?

relaxed and gently guided

15
New cards

Tonic stretch reflex of the mandibular elevators

usual reflex cited as the basis for the postural position of the mandible

16
New cards

All the muscles that open and close are said to be?

in a state of minimal contraction only to main posture

17
New cards

The mandible is how man y mm away from MI

2-4

18
New cards

Freeway space/interocclusal rest space/interocclusasl distance

distance that the mandible is from the MI

19
New cards

Canine or Cuspid protected occlusion

occlusal relationship in which the vertical overlap of the maxillary and mandibular canines produces a disclusion of all the posterior teeth when the mandible moves to either side

<p>occlusal relationship in which the vertical overlap of the maxillary and mandibular canines produces a disclusion of all the posterior teeth when the mandible moves to either side</p>
20
New cards

Group function

multiple tooth contacts between the maxilla and mandible in lateral jaw movements

<p>multiple tooth contacts between the maxilla and mandible in lateral jaw movements</p>
21
New cards

Working side

side to which mandible has been moved during lateral occlusion. the condyle will stay in its fossa, rotates, and moves laterally (working condyle)

<p>side to which mandible has been moved during lateral occlusion. the condyle will stay in its fossa, rotates, and moves laterally (working condyle)</p>
22
New cards

Non-working side

Side that the mandible moves away from during a lateral excursion, non-working condyle

<p>Side that the mandible moves away from during a lateral excursion, non-working condyle</p>
23
New cards

Interfering contact (non-working side)

pathway of the maxillary cusps on the mandibular posterior teeth is towards the DISTOBUCCAL

24
New cards

What arch is considered mobile?

mandibular

25
New cards

The contact of lateral movements takes place on which said the maxillary and mandibular inclines?

- maxillary inclines = distal

- mandibular inclines = mesial

<p>- maxillary inclines = distal</p><p>- mandibular inclines = mesial</p>
26
New cards

In normal alignment, the ML cusp of the maxillary first molar will meet what?

the central fossa of the mandibular first molar

<p>the central fossa of the mandibular first molar</p>
27
New cards

In normal alignment, the DB cusp of the mandibular first molar will meet what?

central fossa of the maxillary first molar

28
New cards

Centric stops

areas of occlusal contact that are supporting cusp makes with the opposing teeth in centric occlusion

<p>areas of occlusal contact that are supporting cusp makes with the opposing teeth in centric occlusion</p>
29
New cards

Centric contact relatioships depend on what to things?

1. supporting cusps to marginal ridges

2. supporting cusps to fossa

<p>1. supporting cusps to marginal ridges</p><p>2. supporting cusps to fossa</p>
30
New cards

What of the posterior teeth are normally aligned continuously with each other in each quadrant?

central developmental grooves

<p>central developmental grooves</p>
31
New cards

Protrusive movement

accomplished when the mandible is moved straight forward until the maxillary and mandibular incisors contact edge-to-edge

<p>accomplished when the mandible is moved straight forward until the maxillary and mandibular incisors contact edge-to-edge</p>
32
New cards

In what direction do the condyles of the mandible move in protrusive movement?

downward and forward - moves MI to maximum protruded position

33
New cards

What affects the surface morphology of posterior teeth?

Anterior guidance (vertical and horizontal overlap of anterior teeth)

<p>Anterior guidance (vertical and horizontal overlap of anterior teeth)</p>
34
New cards

in ideal occlusion, the axes of crowns and roots of both arches are kept __________. 

parallel

35
New cards

occlusion is dictated by what?

underlying basal bone

36
New cards

which arch tends to be larger?

maxilla arch

37
New cards

since the maxillary arch is larger than the mandibular arch is, what happens?

the teeth will overlap buccal slightly

38
New cards

Angle’s classification of malocclusion only considers what?

the sagital aspect of occlusion

39
New cards

what is a “normal” sagittal relationship of the dental arches called?

class 1

<p>class 1 </p>
40
New cards

if the position of the mandibular arch is too posterior in relation to the maxillary arch, what occurs?

distocclusion which is also known as Class II malocclusion 

41
New cards
<p>what class of occlusion is this?</p>

what class of occlusion is this?

class II

42
New cards

if the position of the mandibular arch is too far anterior in relation to the maxillary arch, what happens?

mesiocclusion, also known as class III malocclusion

43
New cards
<p>what class is this picture?</p>

what class is this picture?

class III

44
New cards
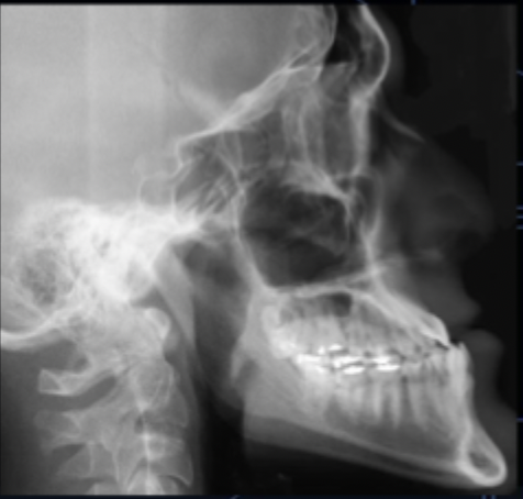
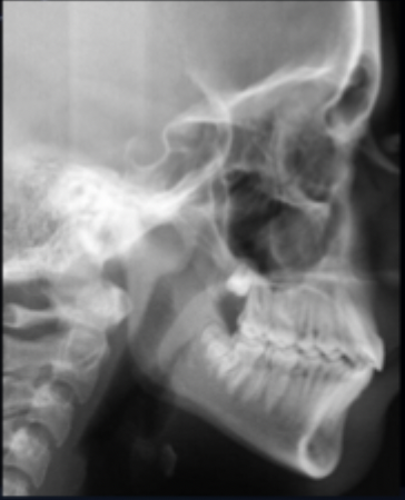
<p>what class of occlusion is shown in this x-ray? </p>

what class of occlusion is shown in this x-ray?

class II (x-ray)

45
New cards
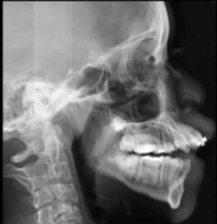
<p>what class of occlusion is shown in this x-ray? </p>

what class of occlusion is shown in this x-ray?

class I (x-ray)

46
New cards
<p>what class of occlusion is shown in this x-ray? </p>

what class of occlusion is shown in this x-ray?

class III (x-ray)

47
New cards

in class II, division 1 malocclusion, what occurs?

maxillary incisors are inclined normally or too far labially

48
New cards

in class II, division 2 malocclusion, what occurs?

two or more maxillary incisors are palatally inclined

49
New cards

in severe class II, division 1 malocclusions, the lower lip is what?

positioned between the mandibular and maxillary incisors

50
New cards

in class II, division 2 malocclusions, the lips are what?

closed

51
New cards

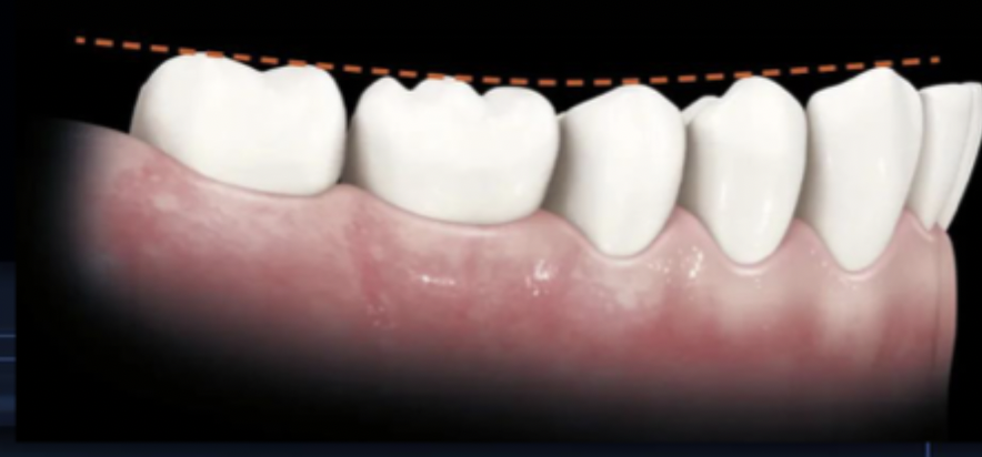
what is the curve of spee?

the curvature which begins at the tip of the canines and follows the buccal cusps of the posterior teeth, when viewed from the facial; continues up the arch through the condyle

<p>the curvature which begins at the tip of the canines and follows the buccal cusps of the posterior teeth, when viewed from the facial; continues up the arch through the condyle</p>
52
New cards

what is the curve of wilson?

mediolateral curvature of the occlusal plane of posterior teeth

<p>mediolateral curvature of the occlusal plane of posterior teeth</p>
53
New cards

what is the purpose of the curve of wilson?

complement the paths of the condyles during movements of the mandible

54
New cards

what is the curve of monson (also known as sphere of Monson)?

three-dimensional curvature of the occlusal plane, which is a combination of the curve of spee and curve of wilson

<p>three-dimensional curvature of the occlusal plane, which is a combination of the curve of spee and curve of wilson</p>
55
New cards

jaw movement dictates what?

cuspal height and depth of fossae

56
New cards

in ideal occlusion, what cusps of maxillary teeth are the functional cusps?

lingual cusps

57
New cards

in ideal occlusion, what cusps of maxillary teeth are the non-functional cusps?

buccal cusps

58
New cards

in ideal occlusion, what cusps of mandibular teeth are the non-functional cusps?

lingual cusps

59
New cards

in ideal occlusion, what cusps of mandibular teeth are the functional cusps?

buccal cusps

60
New cards

the non-functional cusps of maxillary molars and premolars help what?

keep the cheek out of the occlusal table, avoiding soft tissue trauma

61
New cards

mandibular lingual cusps (nonfunctioning cusps) help do what?

  • shear food as it passes to the functional cusps for chewing

  • keep the tongue away from the occlusal table to avoid trauma

62
New cards

when looking from mesial or distal, the crowns of teeth have uniform curvatures where?

  • buccal: cervical thirds

  • lingual: middle third

63
New cards

the buccal and lingual contours can deflect what?

food away from the gingival margins during mastication

64
New cards

what are the four embrasures per contact area?

  • labial or buccal

  • lingual

  • incisal or occlusal

  • gingival or cervical

Explore top flashcards

Ruotsi- kpl 2 sanat
Updated 906d ago
flashcards Flashcards (39)
Genetics Exam FINAL
Updated 169d ago
flashcards Flashcards (90)
Fundamentals Exam 3
Updated 681d ago
flashcards Flashcards (69)
Unit 4 Ap Gov test
Updated 529d ago
flashcards Flashcards (148)
ch3 e1 3600
Updated 16d ago
flashcards Flashcards (108)
Patho Exam 3
Updated 435d ago
flashcards Flashcards (177)
Ruotsi- kpl 2 sanat
Updated 906d ago
flashcards Flashcards (39)
Genetics Exam FINAL
Updated 169d ago
flashcards Flashcards (90)
Fundamentals Exam 3
Updated 681d ago
flashcards Flashcards (69)
Unit 4 Ap Gov test
Updated 529d ago
flashcards Flashcards (148)
ch3 e1 3600
Updated 16d ago
flashcards Flashcards (108)
Patho Exam 3
Updated 435d ago
flashcards Flashcards (177)