CNS Supporting Cells

0.0(0)
studied byStudied by 0 people
full-widthCall with Kai
GameKnowt Play
learnLearn
examPractice Test
spaced repetitionSpaced Repetition
heart puzzleMatch
flashcardsFlashcards
Card Sorting

1/74

encourage image

There's no tags or description

Looks like no tags are added yet.

Study Analytics
Name
Mastery
Learn
Test
Matching
Spaced

No study sessions yet.

75 Terms

1
New cards

Glial cells surround

Neurons, axons, and synapses

2
New cards

Glial cells provide

structural, metabolic and functional support in the CNS and PNS

3
New cards

Glia =

“glue”

4
New cards

Glial cells can be categorized as

macroglia and microglia

5
New cards

Macroglia are derived from

ectoderm (the neural tube (CNS glia) or the neural crest cells (PNS glia))

6
New cards

five major types of glial cells located in the CNS:

astrocytes, oligodendrocytes, microglia, ependymal cells, and pericytes

7
New cards

Astrocytes

are morphologically heterogeneous cells that provide physical and metabolic support for neurons of the CNS

8
New cards

Oligodendrocytes

are small cells that are active in the formation and maintenance of myelin in the CNS

9
New cards

Microglia

are resident immune cells with small, dark, elongated nuclei that possess phagocytotic properties

10
New cards

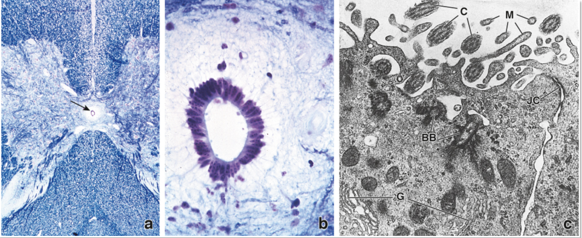
Ependymal Cells

columnar cells that line the ventricles of the brain and the central canal of the spinal cord

11
New cards

Pericytes

surround capillary endothelial cells and help maintain the blood-brain barrier (BBB)

12
New cards

Astrocytes

13
New cards

Provide

structural and metabolic support in the nervous system

14
New cards

Appearance

star like “astro” + cell “cyte”

15
New cards

Most ___ glia in the CNS

abundant

16
New cards

Type I protoplasmic astrocytes

support neuronal cell bodies and dendrites in the gray matter

17
New cards

Type II fibrous astrocytes

support axons and their myelinating cells (oligodendrocytes) in the white matter

18
New cards

Important Astrocyte Activities

Repair of neuronal injury

• Regulation of the internal fluid environment of the CNS

• Clearance of neurotransmitters from synaptic cleft

• Metabolic exchange between the vascular system and the neurons of the

nervous system.

• Astrocyte end feet assist with blood brain barrier maintenance

19
New cards

Astrocytes form structures called

end feet on capillaries, a component of the BBB

20
New cards

Transporter porteins on the end feet allow astrocytes to take up important molecules such as

glucose, lactate, amino acids, and other metabolites from the blood

21
New cards

These transporter proteins then

release them into the extracellular fluid around

22
New cards

Through this mechanisms astrocytes provide key nutrients to

nearby neurons, axons, and oligodendrocytes

23
New cards

Astrocytes also express

ion channels and ion transporters, which enable them to regulate the ionic concentration of the extracellular fluid

<p>ion channels and ion transporters, which enable them to regulate the ionic concentration of the extracellular fluid</p>
24
New cards

In response to neuronal activity, neurons and astrocytes

release vasodilators and vasoconstrictors that affect capillary

blood flow

25
New cards

By releasing Vasomodulators

neurons and astrocytes may regulate vascular endothelial cells directly and/or through another type of glial cell, the pericytes.

26
New cards

Following injury to the CNS astrocytes respond by

transforming into reactive glia, releasing immune modulatory factors, and forming glial scars

27
New cards

These glial scares can replace

regions of lost neurons but impede the regeneration of axons

<p>regions of lost neurons but impede the regeneration of axons </p>
28
New cards

Astrocytes are important mediators of synaptic transmission, forming the

tripartite synapse

29
New cards

Astrocytes help regulate

synaptic glutamate levels at glutamateric synapses

30
New cards

Glutamine is imported into the

presynaptic glutamatergic neuron and converted into glutamate by glutaminase

<p>presynaptic glutamatergic neuron and converted into glutamate by glutaminase </p>
31
New cards

The glutamate is then transported in

vesicles by the vesicular glutamate transporter

32
New cards

Upon release into the synapse

glutamate can bind to and activate AMPA and NMDA types of ionotropic glutamate receptors (AMPAR, NMDAR) on the postsynaptic neuron

33
New cards

Synaptic transmission is terminated by

transport of the synaptic glutamate into a neighboring astrocyte or into the presynaptic and postsynaptic neurons, which is not shown by a glutamate transporter

34
New cards

It is converted into

glutamine by glutamine synthetase and transported back into the extracellular fluid where it can be taken up by the presynaptic axon

35
New cards

By regulating the levels of glutamate

the magnitude and duration of the postsynaptic responses can be modulated

36
New cards

Astrocyte Images

knowt flashcard image
37
New cards

Oligodendrocytes

Produce and maintain the myelin sheath in the CNS, which aids in insulating neurons to maximize action potential speed (electrical signaling).

38
New cards

Myelin Sheath in the CNS is formed by

concentric layers of oligodendrocyte plasma membrane

39
New cards

The multiple processes of a single oligodendrocytes may myelinate

one axon or several nearby axons

40
New cards

The nucleus containing region of the oligodendrocyte may be at some

distance from the axons it myelinates.

<p>distance from the axons it myelinates.</p>
41
New cards

Myelin specific proteins

  • proteolipid protein (PLP)

  • myelin oligodendrocyte glycoprotein (MOG)

  • oligodendrocyte myelin glycoprotein (OMgp)

42
New cards

With its high lipid content (80% lipid and 20% protein) the myelin membranes form an

insulating sheath that ensures fast and efficient conduction of action potentials by salutatory conduction

43
New cards


In the CNS, each oligodendrocyte can form __ segment of myelin for up to ___ adjacent axons

1; 50

44
New cards

An individual axon (especially the longer ones) is myelinated by

multiple oligodendrocytes along its length

<p>multiple oligodendrocytes along its length </p>
45
New cards

If oligodendrocytes become damaged or die

oligodendrocyte precursor cells in the subventricular zone can differentiate and replace oligodendrocytes to remyelinate axons.

46
New cards

Microglia

innate immune cells in the brain

47
New cards

In regions of injury and disease

microglia become actively phagocytotic (reactive microglial cells)

48
New cards

What % of the total cells iin the brain are resident immune cells in the CNS?

15-20%

49
New cards

Microglia are likely derived from the

embryonic yolk sac and are distinguished by their small cell bodies and short processes

50
New cards

Microglia exhibit both

phagocytic and antigen presenting functions that defend the CNS from infection by bacteria, viruses, and fungi

<p>phagocytic and antigen presenting functions that defend the CNS from infection by bacteria, viruses, and fungi </p>
51
New cards

Microglia are involved in maintaining

overall brain health as they constantly scavenge the CNS for extracellular protein aggregates called plaques and damaged neurons and synapses

52
New cards

As phagocytic cells microglia have also been implicated in

dendritic spine removal underlying spine plasticity

53
New cards

They remove

bacteria, injured cells, and the debris of cells that undergo apoptosis

54
New cards

they also mediate neuroimmune reactions

such as those occurring in chronic pain conditions

55
New cards

When activated they become

round shaped

56
New cards

Can be activated to

inflammatory or anti inflammatory

<p>inflammatory or anti inflammatory </p>
57
New cards

Ependymal Cells

Line the ventricles and central canal and form the choroid plexus

58
New cards

Forming a epithelial layer ependymal cells produce and circulate

CSF for the brain and spinal cord

59
New cards

Within the 4 brain ventricles

a population of specialized ependymal cells and capillaries together form a structure called the choroid plexus, which produces the majority of CSF

60
New cards

CSF is formed as

plasma is filtered from the blood through the ependymal cells

61
New cards

Choroid plexus ependymal cells actively

transport sodium, chloride, and bicarbonate ions, with the accompanying water, into the ventricles

<p>transport sodium, chloride, and bicarbonate ions, with the accompanying water, into the ventricles </p>
62
New cards

Tight junctions formed between

ependymal cells establish the blood–CSF barrier, and cilia on their apical surface facilitate the circulation of CSF

63
New cards

The other part of the blood CSF barrier is formed by the

tight junctions between the cells in the arachnoid membrane

64
New cards

Ventricles are lined with

ependymal cells

<p>ependymal cells </p>
65
New cards

Every ventricle as well as the central canal in the

spinal cord

66
New cards

Blood Brain Barrier is formed by

specialized vascular endothelial cells in CNS capillaries

67
New cards

The BBB forms

tight junctions that prevent the diffusion of water-soluble molecules, and movement of immune and pathogenic cells from the blood into the CNS

68
New cards

The endothelial cells are covered by

pericytes a type of contractile glial cell (smooth muscle type cell),

69
New cards

Pericytes

help regulate the tight junctions and also control the diameter of the capillary and modulate blood flow.

70
New cards

Surrounding the pericytes are

astrocytic end feet that function to transport essential nutrients from the blood into CNS tissue and release factors that affect contraction of pericytes

71
New cards

Pericytes and the BBB

72
New cards

Pericytes are

contractile cells that surround capillary endothelial cells and help form and maintain the tight junctions that ensure the BBB.

73
New cards

As contractile cells

pericytes can regulate contraction and relaxation that control capillary blood flow

74
New cards

Arterioles

which are larger blood vessels lined with

vascular smooth muscle, have also been implicated as

cells that respond to neuronal activity–dependent

regulation of brain blood flow

75
New cards

fMRI

functional neuroimaging technique that detects changes

in blood flow as an indirect measure of neuronal activity.