1/29
Looks like no tags are added yet.
Name | Mastery | Learn | Test | Matching | Spaced | Call with Kai |
|---|
No analytics yet
Send a link to your students to track their progress
fetal heart
heart lies in mid chest, slightly to the left
ventricles (2)
located anteriorly and inferiorly
atria (2)
located posteriorly and adjacent to base of heart

apex of the heart is normally tilted to the ____
left

true/false: RV is more anterior than LV
true

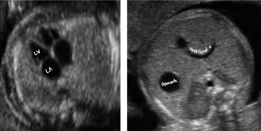
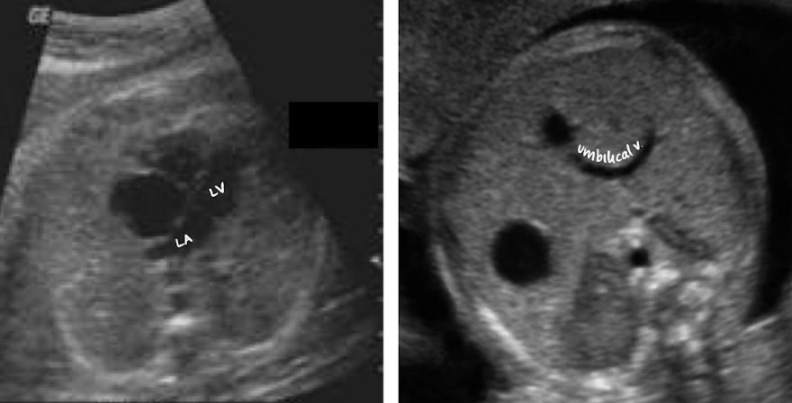
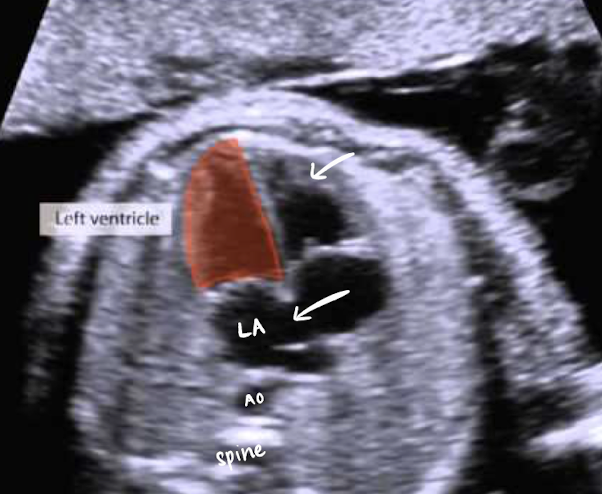
which heart chamber is closest to the spine?
left atrium (LA)

what are the 3 “doors” (shunts) in fetal heart circulation
ductus venosus
foramen ovale
ductus arteriosus

RA (right atrium)
receives a mix of oxygenated and deoxygenated blood from IVC and SVC
sends blood to RV through the tricuspid valve
portion of oxygenated blood is shunted through foramen ovale into LA
SONO: jet of color shooting from RA to LA (small opening b/w RA and LA)

RA receives what type of blood and from where?
mix of oxygenated and deoxygenated blood; from IVC and SVA

RV (right ventricle)
receives deoxygenated blood from RA
has a moderator band within it
normal: sends deoxygenated blood out through the main pulmonary artery to the lungs
fetus: blood gets shunted away from lungs by ductus arteriosus that connects MPA to AO)
ductus arteriosus connects MPA to AO—this allows blood to skip the lungs and go directly into systemic circulation

RV receives what type of blood and from where?
deoxygenated blood; from RA
LA (left atrium)
receives blood from pulmonary veins (some) and foramen ovale (most)
sends oxygenated blood to LV via bicuspid/mitral valve (b/w LA and LV)

LA receives what type of blood and from where?
oxygenated blood; from foramen ovale and pulmonary veins
LV (left ventricle)
receives oxygenated blood from LA
sends oxygenated blood to the body via AO ← LVOT

LV receives what type of blood and from where?
oxygenated blood; from LA
foramen ovale
opening between RA and LA
oxygenated blood bypasses fetal lungs
alows oxygenated blood from placenta (mother) to pass directly into LA

normal fetal HR in 2nd/3rd trimester?
between 120-160 bpm
brachycardia HR in 2nd/3rd trimester?
less than 100 bpm
tachycardia HR in 2nd/3rd trimester?
more than 200 bpm
fetal lie
determine fetal lie and rotation
used to ensure heart is. incorrect position and orientation
fetal lie:
vertex
breech
transverse
fetal rotation:
supine
prone
RT/LT side up or down

what does situs refer to?
how the organs are arranged in the fetus

normal situs
heart on left
stomach on left
dextracardia
heart on right
stomach on left
situs inversus
heart on right
stomach on right
T/F: LA is closest to the spine and AO
true

T/F: RV is most anterior to fetal body
true


situs?
normal situs

situs?
dextrocardia
5 heart views sonographers get
4-chamber heart
LVOT (left ventricular outflow tract)
RVOT (right ventricular outflow tract)
can get in long axis or short axis
3 vessel-view
3 vessel-trachea view
US evaluation of 4-chamber heart
make note of right and left side
lung should be seen on both sides of the heart
ensure no fluid or masses seen adjacent to/around the heart
LA is closest to AO and spine
foramen ovale opens between RA and LA
note symmetry between atria and ventricles
tricuspid valve is on right side (b/w RA and RV)
bicuspid/mitral valve is on left side (b/w LA and LV)

imaging the 4-chamber heart
obtained from TRV view of abdomen just above diaphragm
make sure to have ribs on both sides during 4CH view
must see ribs on both sides to be true TRV rather than oblique
heart takes up 1/3rd of chest
heart angles 45 degrees to the left
always make sure the heart is beating


