1/188
Looks like no tags are added yet.
Name | Mastery | Learn | Test | Matching | Spaced | Call with Kai |
|---|
No analytics yet
Send a link to your students to track their progress
Long skinny fiber
What is the shape of the cell for Skeletal Muscle?
Branched fibers
What is the shape of the cell for Cardiac muscle?
Spindle shaped
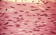
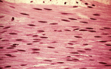
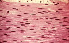
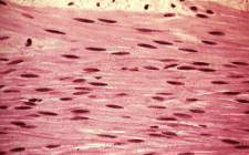
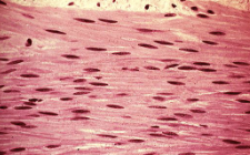
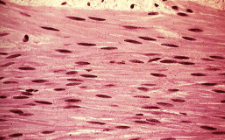
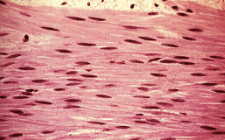
What is the shape of the cell for Smooth muscle?
Yes
Are there striations (stripes) for Skeletal muscle?

Yes
Are there striations (stripes) for Cardiac muscle?

No
Are there striations (stripes) for Smooth muscle?

No
Do the cells branch for Skeletal muscle?

Yes
Do the cells branch for Cardiac muscle?

N/A
Do the cells branch for Smooth muscle?

Many nuclei
How many nuclei per cell in Skeletal muscle?

One per cell
How many nuclei per cell in Cardiac muscle?

One per cell
How many nuclei per cell in Smooth muscle?

Squashed
What is the shape of nuclei in Skeletal muscle?

Round
What is the shape of nuclei in Cardiac muscle?

Cigar shaped
What is the shape of nuclei in Smooth muscle?

At the side of the cell
Where are nuclei in skeletal muscle?

In the middle of cell
Where are nuclei in cardiac muscle?

Middle of the cell
Where are nuclei in smooth muscle?

No
Are there intercalated discs present in skeletal muscle?

Yes
Are there intercalated discs present in cardiac muscle?

No
Are there intercalated discs present in smooth muscle?

Voluntary
Is it voluntary or involuntary: Skeletal muscle?
Involuntary
Is it voluntary or involuntary: Cardiac muscle?
Involuntary
Is it voluntary or involuntary: Smooth muscle?
Attached to bone
Where is it found in the body: Skeletal muscle?
Heart
Where is it found in the body: Cardiac muscle?
Every bag and tube
Where is it found in the body: Smooth muscle?
Skeletal
What muscle is this?

Cardiac
What muscle is this?

Smooth
What muscle is this?

Epicranius frontal
Label A

Orbicularis oculi
Label B

Zygomaticus
Label C

Orbicularis oris
Label D

Mentalis
Label E

Epicranius Frontal Belly
Label A

Temporalis
Label B

Orbicularis oculi
Label C

Oris
Label D

Sternocleidomastoid
Label E

Epicranius frontal belly
Label A

Orbicularis oculi
Label B

Zygomaticus
Label C

Orbicularis oris
Label D

Mentalis
Label E

Buccinator
Label F

Masseter
Label G

Temporalis
Label H

Occipital belly
Label I

Sternocleidomastoid
Label J

Mylohyoid
Label A

Digastric
Label B

Sternocleidomastoid
Label C

Sternohyoid
Label D

Digastric
Label A

Mylohyoid
Label B

Sternohyoid
Label C

Frontal
What is the site of origin for Orbicularis Oculi?

Skin of your eyelid
What is the site of insertion for orbicularis oculi?

Closes eye and blinks
What is the action for orbicularis oculi?

Zygomatic
What is the site of origin for zygomaticus?

skin at the corner of mouth
What is the site of insertion for zygomaticus?

Smiling
What is the action for zygomaticus?

Maxilla
What is the site of origin for orbicularis oris?

Skin of lips
What is the site of insertion for orbicularis oris?

Purse lips
What is the action for orbicularis oris?

Maxilla
What is the site of origin for buccinator?

Orbicularis oris
What is the site of insertion for buccinator?

Suck in cheeks
What is the action for buccinator?

Mandible
What is the site of origin for Mentalis?

Skin of chin
What is the site of insertion for mentalis?

Move chin
What is the action for mentalis?

Zygomatic
What is the site of origin for Masseter?

Mandible
What is the site of insertion for Masseter?

Chewing muscle
What is the action for Masseter?

Mandible
What is the site of origin for Digastric?

Hyoid
What is the site of insertion for Digastric?

Open mouth
What is the action for Digastric?

Sternum
What is the site of origin for Sternocleidomastoid?

Mastoid
What is the site of insertion for Sternocleidomastoid?

Flex head (Yes) and rotate head (no)
What is the action for Sternocelidomastoid?

Chewing muscle
What is the action for the temporalis?

Clavicle
What is the site of origin for Deltoid?

Humerus
What is the site of insertion for Deltoid?

Abduct arm
What is the action for the Deltoid?

Sternum
What is the site of origin for Pectoralis major?

Humerus
What is the site of insertion for Pectoralis major?

Flexes shoulder/arm
What is the action for the Pectoralis major?

Scapula
What is the site of origin for Serratus anterior?

Ribs
What is the site of insertion for Serratus anterior?

Hold or move scapula
What is the action for the Serratus anterior?

Ribs
What is the site of origin for External intercostal?

Rib (below)
What is the site of insertion for External intercostal?

Breathe in
What is the action for the External intercostal?

Rib
What is the site of origin for Internal intercostal?

Rib (below)
What is the site of insertion for Internal intercostal?

Breathe out
What is the action for the Internal intercostal?

Rib
What is the site of origin for Diaphragm?

Central tendon
What is the site of insertion for Diaphragm?

75% work of breathing
What is the action for the Diaphragm?
