1/11
Looks like no tags are added yet.
Name | Mastery | Learn | Test | Matching | Spaced |
|---|
No study sessions yet.
Characteristics of Kingdom Protista Parasites
Single celled protozoans
Eukaryotic
Varied life cycle & modes of transmission
invade gastrointestinal tract, blood, organs, & tissues

Name A on the Amoeba Model
Contractile Vacuole

Name B on the Amoeba Model
Cytoplasm

Name C on the Amoeba Model
Food Vacuoles

Name D on the Amoeba Model
Pseudopod

Name F on the Amoeba Model
Nucleus
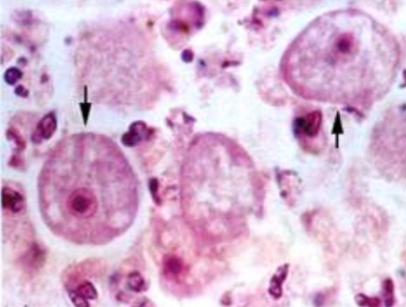
Entamoeba histolytica
MOT: Fecal / Oral (ingestion of cyst)
Infective stage: Cyst
Hosts: Human
Parts to look for: small bullseye nucleus & central karyosome

Balantidium coli
MOT: Fecal / oral - ingestion of cyst
Infective Stage: Cyst
Hosts: Humans & other animals
Animal reservoir - primates, rodents, & pigs
Parts to look for: large kidney bean-shaped nucleus

Giardia lamblia
MOT: Fecal/oral - ingestion of cyst
Infective Stage: Cyst
Hosts: Humans & other animals
Parts to look for: Heart-shaped, flagella, two nuclei, organelles positioned in a way that looks like a face

Acanthamoeba spp.
MOT: Contact with amoeba in contaminated soil or water
Infective stage: Trophozoite or cyst
Hosts: human
Parts to look for: Karyosome takes up half of the nucleus

Naegleria fowleri
MOT: diving & swimming (water enters nose)
Infective stage: bi-flagellate trophozoite
Hosts: human
Parts to look for: a large karyosome that takes up the whole nucleus

Trichomonas vaginalis
MOT: Sexual intercourse
Infective Stage: Trophozoite (no cyst form)
Hosts: Humans
Parts to look for: Pear-shaped, undulating membrane, flagella, & the axostyle
