1/20
Parasitology Rotation
Name | Mastery | Learn | Test | Matching | Spaced | Call with Kai |
|---|
No study sessions yet.

Blastocystis hominis cyst

Chilomastix mesnilii troph

Dientamoeba fragilis troph

Entamoeba hartmanni cyst

Trichomonas vaginalis troph

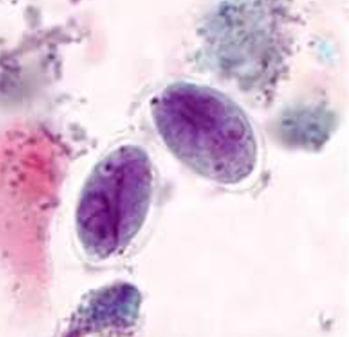
Giardia lamblia cyst

Entamoeba coli cyst

Chilomastix mesnilii cyst

Entamoeba histolytica troph

Balantidium coli troph

Iodamoeba butschlii cyst

Endolimax nana cyst

Giardia lamblia troph

Entamoeba histolytica troph

Entamoeba histolytica cyst

Entamoeba coli troph

Endolimax nana troph

Nagleri fowleri troph

Acanthamoeba troph

Acanthamoeba cyst

Balantidium coli cyst