1/48
Looks like no tags are added yet.
Name | Mastery | Learn | Test | Matching | Spaced | Call with Kai |
|---|
No analytics yet
Send a link to your students to track their progress

Fractuur


Demineralisatie en verdikking → bottumor


Fractuur griffelbeentje
Let op: dier zal hier niet mank van zijn!


Mandibulabreuken
Zeer moeilijk te zien door overlap van beenderige structuren → we gaan over naar computertomografie


Asymmetrische hotspot
Wijst op: barstje, periostitis, …

Breuk (niet uitgelegd dus niet 100% zeker)


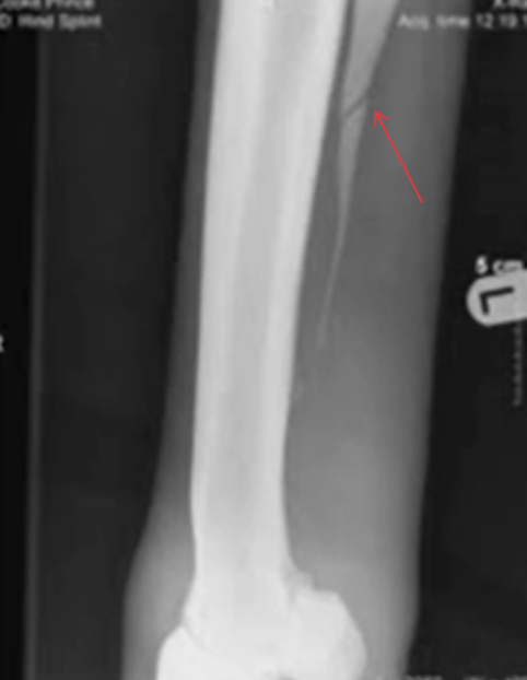
Fractuur van welke structuur?
Fractuur van de laterale condyl van de humerus


Fractuur van welke structuur?
Fractuur van de radius en ulna van de hond

Fractuur van welke structuur?
Afgebroken tuberculum supraglenoïdale, naar beneden gezakt door de kracht van de biceps


Intra- of extra-articulair?
Intra-articulair in het radio-ulnaire gewricht

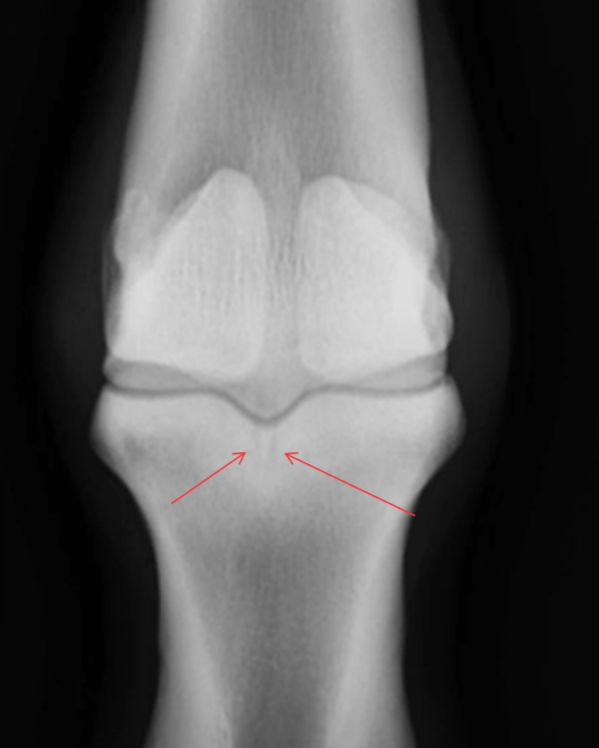
Intra- of extra-articulair?
Intra-articulair: niet in het femoro-tibiale gewricht, wel in het femoro-patellaire gewricht

Configuratie?
Partiële fractuur
We zien 2 breuklijnen maar het is 1 fractuur! De opname is niet loodrecht op de breuk


Configuratie?
totale fractuur

Configuratie?
Partiële fractuur = barst = fissuur

Configuratie?
Subchondraal bottrauma

Configuratie?
Stress fractuur

Fragmentatie?
Verbrijzeld

Vorm van de fractuur + fragmentatie?
Meervoudig
Dwarse fractuur met een butterfly-fragment aan de laterale zijde

Vorm van de fractuur + fragmentatie?
Enkelvoudig
longitudinaal in het saggitaal vlak

Schilfer fractuur

Schilfer fractuur

Slab fractuur

Compressie fractuur

Indeukingsfractuur

Avulsiefractuur

Monteggia fractuur

Groenhout fractuur

Subperiostale fractuur

Volledige, niet verplaatste, enkelvoudige, spiraliserende fractuur
Intra-articulair thv het kogelgewricht


Niet intra-articulair, enkelvoudig, korte schuine fractuur
mogelijks open (bijtwonden)
+ heupluxatie!

Bekkenfractuur en fractuur thv de ruggenwervel


Intra-articulair in de beide gewrichten, verbrijzeld
Er is geen intact struct → slechte prognose

Salter harris fractuur type 2 van de proximale radius en een groenhout fractuur van de ulna

spiraliserend fractuur van het kootbeen, intra-articulair in beide gewrichten

Fissuur met periostale reactie


Fractuur, maar veroorzaakt door een tumor

Fractuur van de scapula


Fractuur van het os tarsi centrale

Salter Harris type 2 fractuur

Breuk van 7 maanden oud, complicatie?
Atrofische nonunion

Necrotisch stuk bot omgeven door een osteolytische zone

Sekwester met osteolytische zone en periostale reactie

Botsekwester met daarrond een osteolytische zone

Bacteriële osteitis van de oppervlakkige compacta laag (thv de huidverdikking)

P-type osteomyelitis

E-type osteomyelitis

Osteomyelitis

Type E osteomyelitis

Osteomyelitis van het laterale griffelbeen