1/71
Looks like no tags are added yet.
Name | Mastery | Learn | Test | Matching | Spaced | Call with Kai |
|---|
No analytics yet
Send a link to your students to track their progress

cell name
specific example
Epidermis ell
Onion Epidermis

What is the tissue function
alive or dead
protection
alive

Name the part
cell wall

Name the part
cytoplasm

Name the part
nucleus

cell name
specific example
Parenchyma cell
banana

cell name
specific example
Parenchyma cell
banana

What is the tissue function
alive or dead
store food
alive

cell name
specific example
what are the dark spots
Parenchyma cell
banana
amyloplast (starch grain)

What is it testing for with iodine?
starch

cell name
specific example
what are the red spots
Parenchyma cell
Red Peeper
chromoplast

What is the tissue function
alive or dead
store food
alive

cell name
specific example
what are the green spots
Epidermis cell
Elodea
chloroplast

What is the tissue function
alive or dead
photosynthetic
alive

Cell name
parenchyma

tissue name
Alive or dead
cell name
function
Sclerenchyma
dead
Stone
structure

Cell name specific
Function
Pear
Example of parenchyma and sclerenchyma

If we should stain the per it would be red and stone cells sclerenchyma are
thick red dead

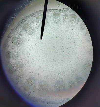
Tissue
Cell name
Specific Name
Sclerenchyma
Fiber cell
Acer rubrum

Alive or dead
function
Dead
structure

Questions about what its pointing at
Tissue
Cell name
Specific Name
Xylem
vessel
Acer rubrum

Alive or dead
function
dead
transport H2O (water)

Tissue
Cell name
Specific Name
Xylem
Tracheid cells
Pinus australis

What is it?
bordered pits

Alive or dead
function
dead
transport H2O (water)

Tissue
Cell name
Specific Name
Phloem
Sieve Tube membrane + companion cell
Cucurbita

Alive or dead
function
alive
transport food

what is it pointing at?
p-plugs
All plant tissues are
"vessel seed"; seeds, vascular, flowering

Name
Corn root tip

What is this called?
zone of elongation

What is this called?
zone of cell division

What is this called?
meristematic

What is this called?
root cap

Tissue
alive or dead
function
meristematic
alive
cell division

What are they?
root hairs

Pointing at
cell
specialized
zone of
root hairs
epidermis to absorb water
maturation

name root
dicot or monocot root
vascular or avascular
Ranunculus
dicot
vascular

Name this part
Epidermis

Name this part
parenchyma

Name this part
endodermis

Name this part (big holes in X)
Xylem

Name this part (small holes in X)
phloem

name root
dicot or monocot root
Smilax root
monocot

Name what its pointing at
endodermis

Name what the two arrows are pointing at
parenchyma

Name what the arrow is pointing at (big holes)
Xylem

Name what the arrow is pointing at (little holes)
Phloem

Name what the arrow is pointing at
epidermis

name
dicot or monocot root
Helianthus stem
dicot

Name 1
Name 2
epidermis
parenchyma

Name 5
Name 6
Phloem
Xylem

name
dicot or monocot stem
(Hint monkey faces)
Zea stem
monocot

Name 1
name 3
epidermis
parenchyma

Name 4
name 5
Phloem
Xylem

Name 6
sclerenchyma frames

corm

Tuber

bulb

name
dicot or monocot stem
Tilia stem
Woody Dicot Stem

Name 1
Name 2
primary green core
vascular cambium

Name 3
Name 4
cork cambium

Name part
cork

Name part
cortex

Name part
phloem

Name part
Xylem
All tissues, roots, stems are
“vessel seed”: seeds: vascular: flowering

Number 1
“heartwood” (not transportive)

Name 2
“sapwood” (transportive)

Name wood 1
Hint light rings
spring wood

Name wood 2
Hint dark rings
summer wood