1/53
Looks like no tags are added yet.
Name | Mastery | Learn | Test | Matching | Spaced | Call with Kai |
|---|
No analytics yet
Send a link to your students to track their progress
Tissues
Groups of cells with a common structure and function. 1. Epithelial Tissue 2. Connective Tissue 3. Muscular Tissue. 4. Nervous Tissue
Epithelial tissue
Function: Protection, secretion, absorption, and excretion.
Location: Covers body surface, cover and line internal organs, compose glands
Characteristics: Epithelial tissue always has a free (apical) surface exposed to the outside or internally to an open space, Other side attached to connective tissues - basement membrane, Cells divide rapidly, Lack a blood supply (blood vessels)
Classification is by cell shape and the number of cell layers a.Shapes -squamous, cuboidal, columnar
b. Layers -simple (1 layer) and stratified (more than 1 layer)
Connective tissue
supports and binds structures together
Muscular tissue
body movement
Nervous tissue
conducts impulses to control and coordinate body activities
basement membrane
Epithelial tissues are anchored to a __________, are made up of tightly packed cells containing little intercellular material, generally lack blood vessels, and readily divide.
Simple squamous epithelium
single layer of flattened cells, because it is suited for diffusion, it functions in the exchange of gases in the alveoli of the lungs and lines blood and lymph vessels as well as body cavities.
Function: filtration, diffusion, osmosis; covers surface

Simple Cuboidal Epithelium
consists of a single layer of cube-shaped cells with centrally located nuclei.
It functions in secretion and absorption in the kidneys, secretion in glands, and covers the ovaries.

Simple Columnar Epithelium
1. is made up of one row of elongated cells whose nuclei are all located near the basement membrane.
2. Nonciliated lines the uterus, stomach, and intestines where it protects underlying tissues, secretes digestive fluids, and absorbs nutrients.
3. Ciliated is found in the uterine tubes and moves an egg toward the uterus.

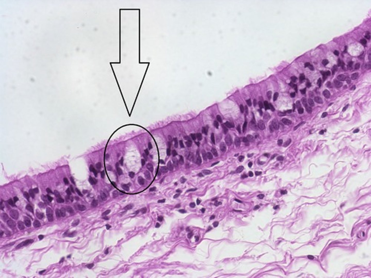
goblet cells
a column-shaped cell found in the respiratory and intestinal tracts, which secretes the main component of mucus.

Pseudostratified Columnar Epithelium
tissue that consists of a single layer of irregularly shaped and sized cells that give the appearance of multiple layers; Lines the trachea and respiratory tract= location, Cilia may be present, along with mucus-secreting goblet cells, that line and sweep debris from respiratory tubes.

Stratified Squamous Epithelium
layers of flattened cells that are designed to protect underlying layers
It makes up the outer layer of skin, and lines the mouth, throat, vagina, and anal canal.
In the skin, outer layers of cells undergo keratinization, producing a dry, water-proof, protective layer

Stratified Cuboidal Epithelium
consists of two to three layers of cuboidal cells lining a lumen of the mammary glands, sweat glands, salivary glands, pancreas, ovarian follicles, and seminiferous tubules. Carries secretions = function

Stratified Columnar Epithelium
This tissue consists of several layers of cells with columnar cells on the surface.This type of tissue is rare, Lines the male urethra, transports urine from bladder to outside

Transitional Epithelium
Function = Allow tissue to stretch and is water proof lining of the urinary bladder, urethra, and ureters.

Glandular Epithelium
This tissue is made up of cuboidal or columnar cells designed to produce and secrete substances into ducts or into body fluids. Glands that secrete products into ducts are exocrine; those that secrete into body fluids and blood are called endocrine.

exocrine glands
secrete chemical substances into ducts that lead either to other organs or out of the body include merocrine gland, apocrine gland, and holocrine gland
product = hormones

merocrine glands
release fluid products by exocytosis. They do not lose their cytoplasm. Includes the pancreas, salivary glands, sweat glands, and most other glands.

apocrine glands
pinch off a portion of their cell bodies during secretion; mammary glands

holocrine glands
release entire cells that disintegrate to release their secretions; sebaceous (oil) glands

Fibroblast
the most common cell type, and is a fixed, star-shaped cell that secretes fibers( collagen, elastic and reticular) and is large in size.

macrophages
(histiocytes) function as scavenger cells and defend against infection and foreign particles by phagocytosis.

Mast Cells
large, fixed, and are located near blood vessels where they release heparin (anticoagulant) and histamine (promotes inflammation).

Connective Tissue Fibers
Strong bundles of collagenous fibers, Elastic fibers, Reticular fibers, Classified as connective tissue proper (loose and dense) and specialized connective tissue.
Reticular fibers
are thin collagenous fibers that form supportive networks in a variety of tissues. (connective Tissue)
Elastic fibers
(yellow fibers), made of the protein elastin, are stretchy and add flexibility to certain types of connective tissues.(connective Tissue)
collagenous fibers
(white fibers), made of the protein collagen, add strength for holding body parts together. (connective Tissue)
Loose connective tissue
includes areolar, adipose and reticular connective tissues.
Areolar Tissue
Function = Connects tissues to underlying surfaces, wraps and cushions organs
Location = Under the dermis of the skin, surrounding organs (loose connective tissue)

Adipose Tissue
loose connective tissue designed to store fat.
It is found beneath the skin, around joints, padding the kidneys and other internal organs, and in certain abdominal membranes. Cells are called adipocytes.
Also functions to store energy for the body.

Reticular connective tissue
(loose connective tissue) is composed of thin, collagenous fibers in a 3-D network. It helps to provide framework of certain internal organs (liver and spleen).

Dense Connective Tissue
This tissue consists of densely packed collagenous fibers and is very strong but lacks a good blood supply.It is found as part of tendons, ligaments, and the white layer of the eyeball (sclera).

Tendons
connect bones to muscles and ligaments connect bones to bones. (Dense Connective Tissue)

Cartilage
is a rigid connective tissue that provides a supportive framework for various structures. It lacks a vascular system and so heals slowly.
chondrocytes
Cartilage cells lie within lacunae in the gel-like fluid matrix.
hyaline cartilage
Function = Provides strong shape and support
Location = Cushions ends of bones, c-shaped rings of trachea and endo of the nose
** extra fact: has a poor blood supply, heals slowly

Elastic cartilage
Function = Flexible support
Location = External ear
** extra fact: has a poor blood supply, heals slowly

fibrocartilage
Function = Shock absorber
Location = Intervertebral disc, menisci of the knee
** Extra Fact:has a poor blood supply, heals slowly

Bone
the most rigid connective tissue, with deposits of calcium mineral salts and collagen within the matrix
Function = Internal framework
Location = Skeleton
** extra fact: has a good blood supply, heals quickly

osteocytes
bone cells that lie within lacunae and are arranged in concentric circles (osteons) around central or Haversian canals interconnected by canaliculi.

Blood
composed of formed elements suspended in a liquid matrix called plasma
Function = Transportation through the body of nutrient red blood cells to carry oxygen, white blood cells for protection, and platelets for blood clotting.
Location = Transport medium in the cardiovascular system

Plasma
The liquid ground substance found in blood is known as
Leukocytes
In the connective tissue blood, what is the scientific name for all white blood cells?
Erythrocytes
The connective tissue blood, what is the scientific name for the red blood cells?
Skeletal muscle
Which type of muscle tissue is both voluntary and striated, attached to bone can be controlled by conscious effort (voluntary)
The cells (muscle fibers) are long and cylindrical, striated, have many nuclei and contract from nervous impulse.

Cardiac muscle
found only in the heart and consists of branching fibers that are connected to each other with intercalated discs. This involuntary muscle has a single nucleus in each cell but appears striated

Smooth Muscle
type of muscle tissue is both involuntary and not striated,involuntary muscle is found in the walls of internal organs, such as in the digestive tract, blood vessels, and urinary bladder.

nervous tissue
Coordinates activities through the body by transporting nerve impulses are found in the brain, spinal cord, and nerves. Composed of neurons and neuroglia cells .

Neuroglia
name for the cells that support, nourish, and communicate with the neurons but do not conduct impulses
Serous membranes
double membranes that line body cavities that are not open to the outside (thorax and abdominal cavities)
Mucous membranes
line cavities and tubes that are open to the outside
Includes the oral and nasal cavities, and the digestive, respiratory, urinary, and reproductive systems.
Cutaneous membrane
the skin; a dry membrane that is keratinized for protection and water-proofing.
Muscle Tissue
A body tissue that contracts or shortens, making body parts move. Consist of three major types: skeletal, smooth and cardiac.
Nuerons
or nerve cells conduct electrical impulses to other neurons, muscles, and glands