Pelvis - ID

0.0(0)
studied byStudied by 0 people
0.0(0)
full-widthCall Kai
learnLearn
examPractice Test
spaced repetitionSpaced Repetition
heart puzzleMatch
flashcardsFlashcards
GameKnowt Play
Card Sorting

1/186

encourage image

There's no tags or description

Looks like no tags are added yet.

Study Analytics
Name
Mastery
Learn
Test
Matching
Spaced

No study sessions yet.

187 Terms

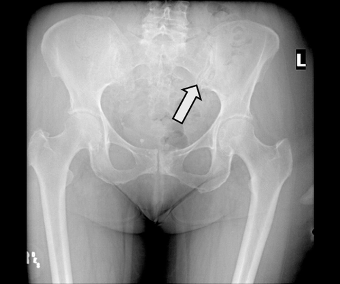
1
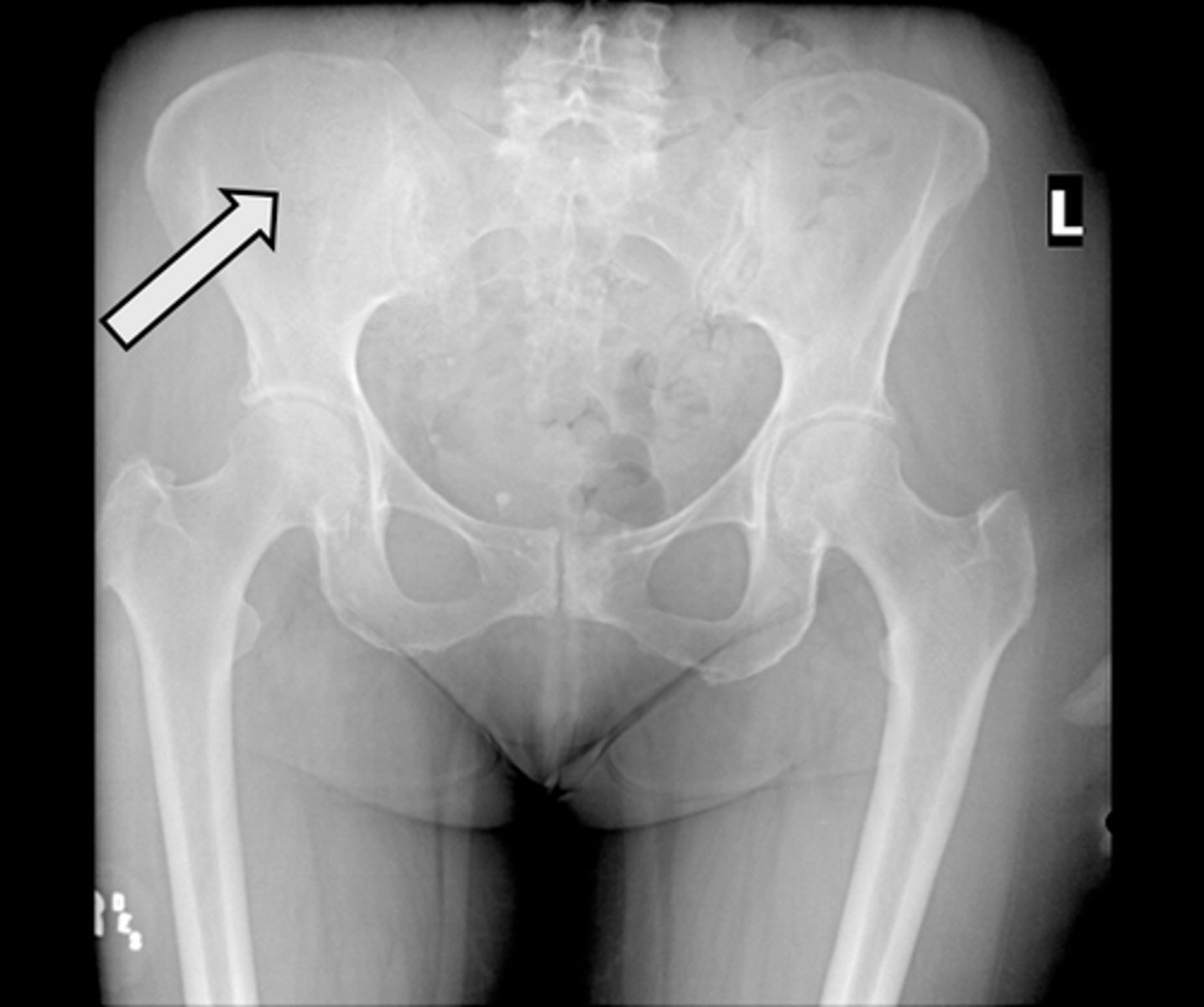
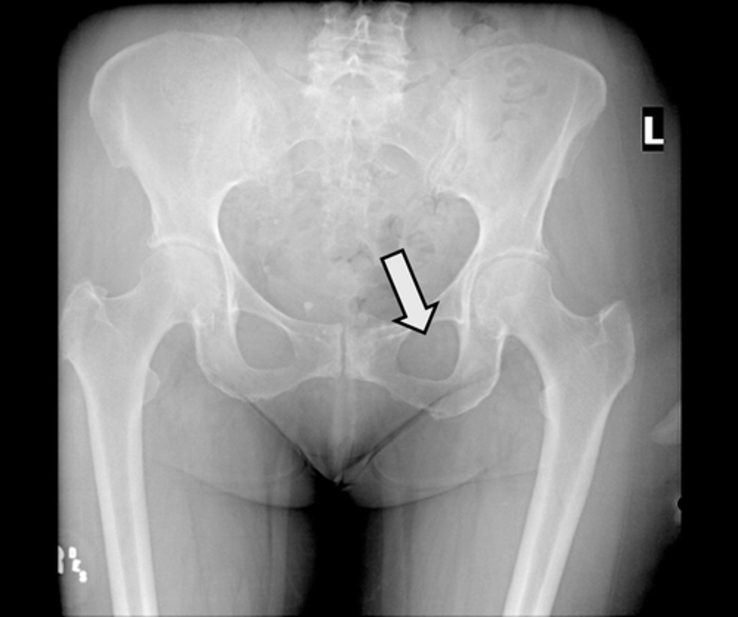
New cards

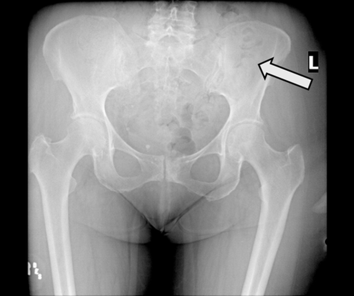
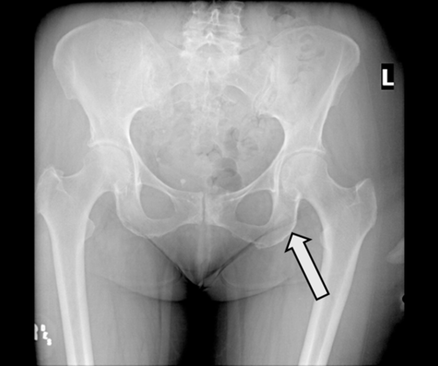
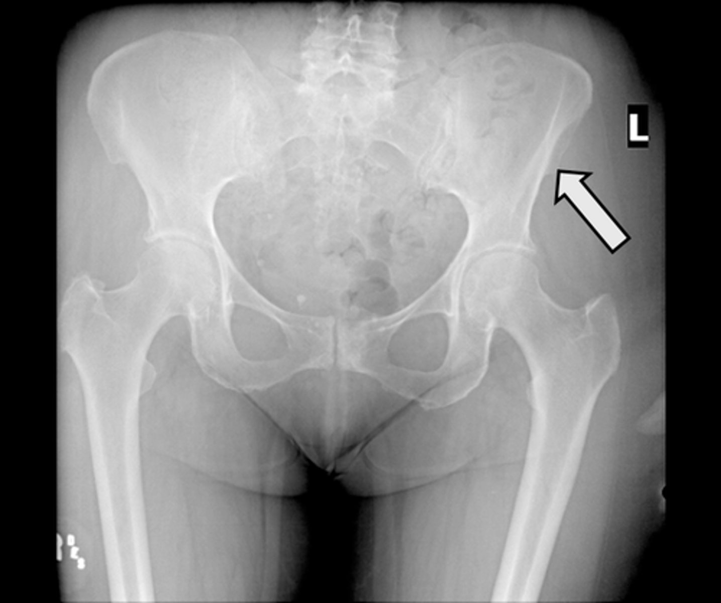
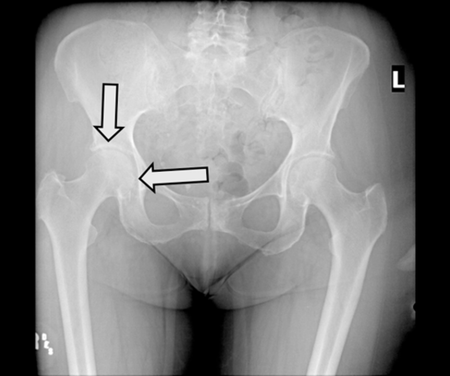
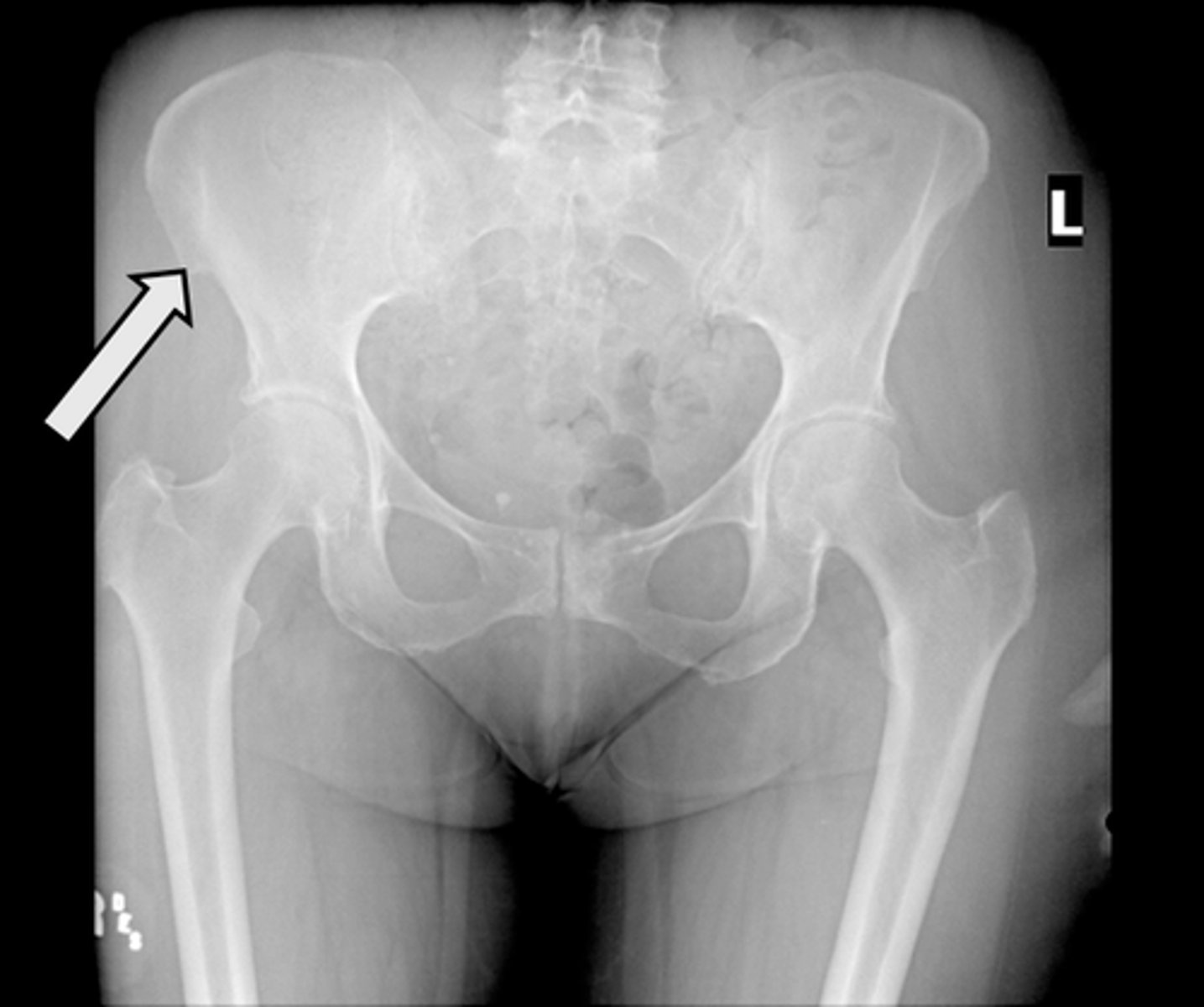
AP pelvis

What is the image?

<p>What is the image?</p>
2
New cards

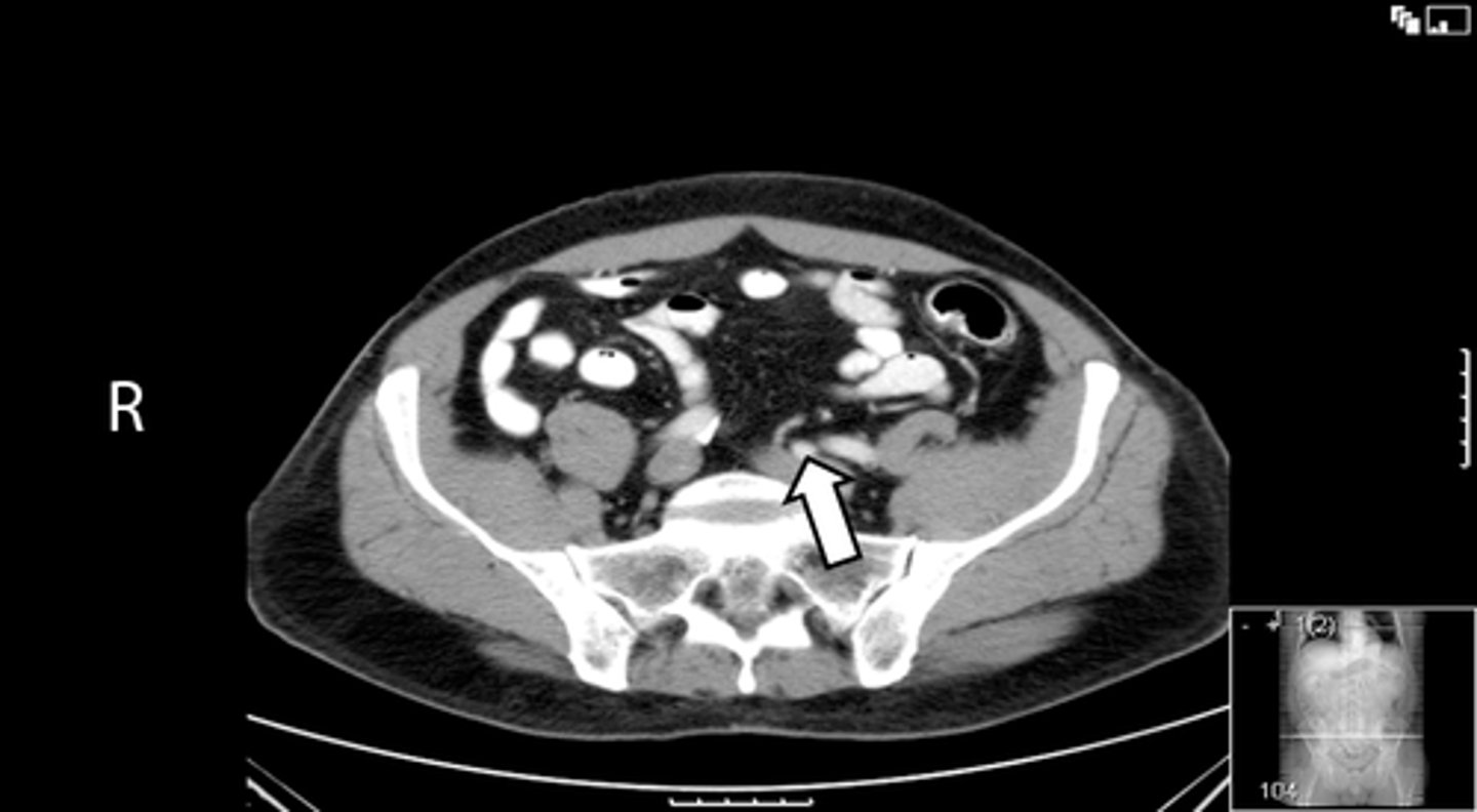
Acetabulum

What is indicated in the image?

<p>What is indicated in the image?</p>
3
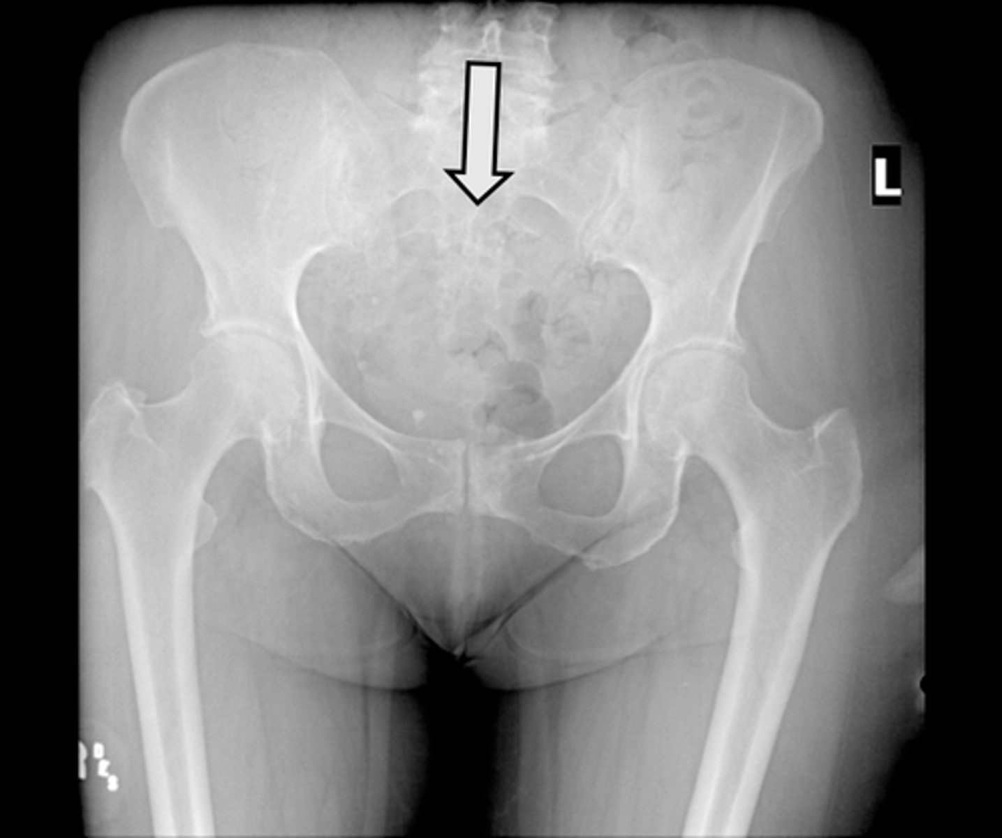
New cards

Body of L4

What is indicated in the image?

<p>What is indicated in the image?</p>
4
New cards

Epiphysial plate

What is indicated in the image?

<p>What is indicated in the image?</p>
5
New cards

Femoral head

What is indicated in the image?

<p>What is indicated in the image?</p>
6
New cards

Hip joint

What is indicated in the image?

<p>What is indicated in the image?</p>
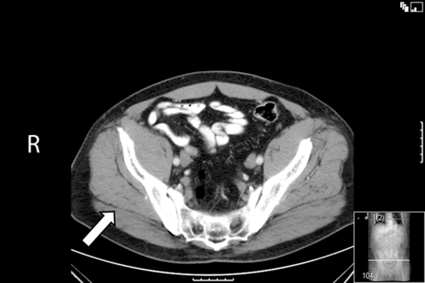
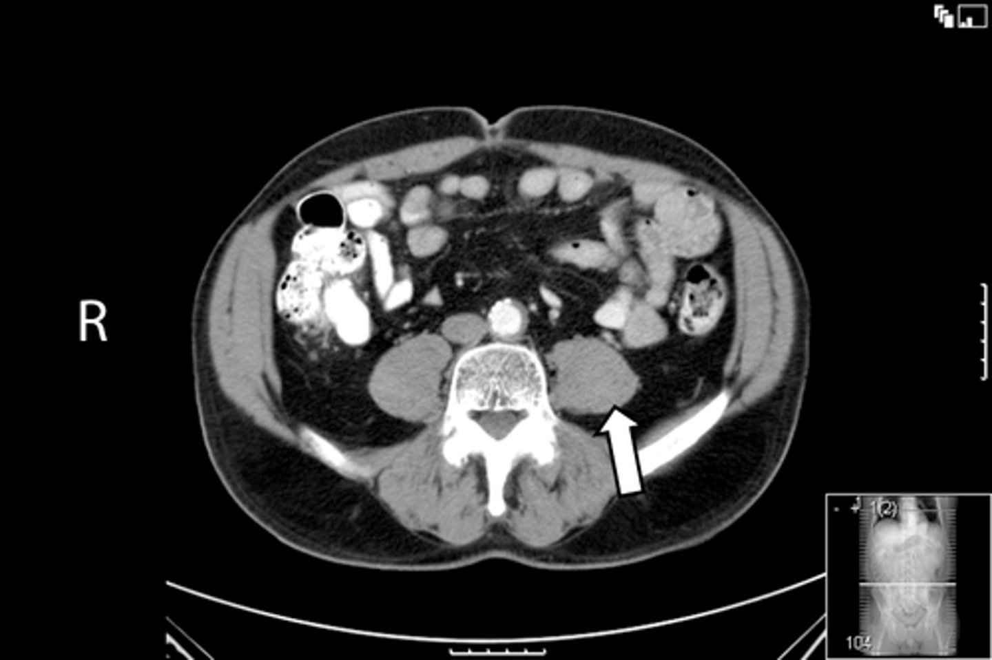
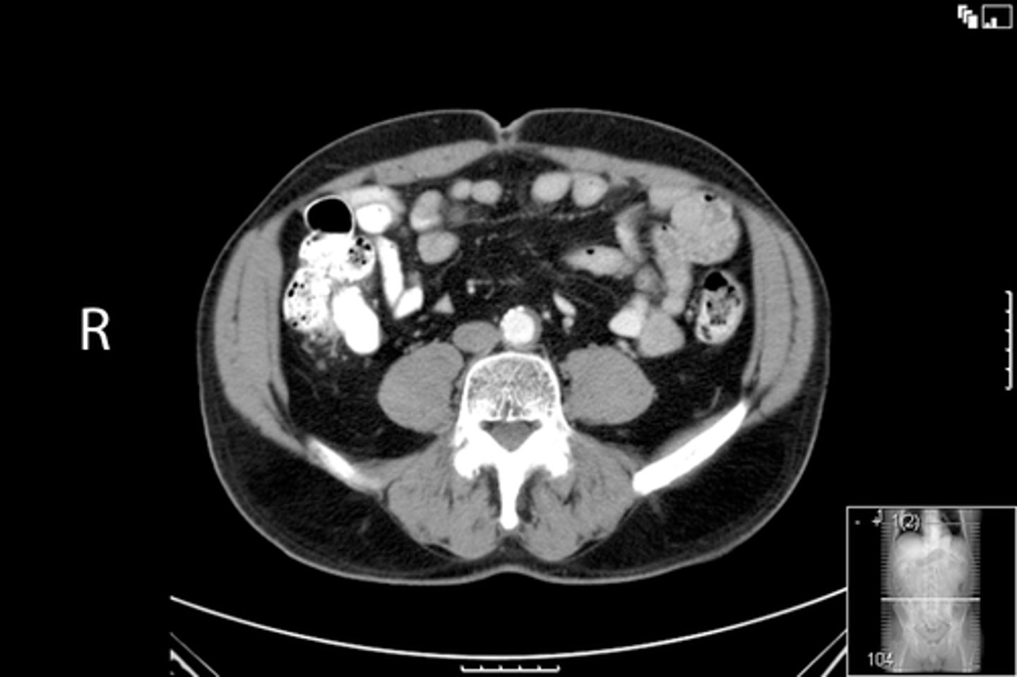
7
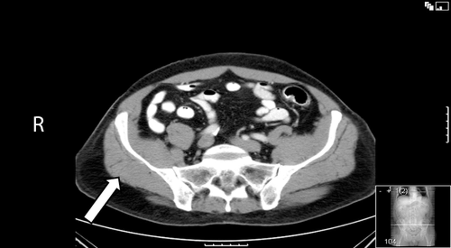
New cards

Ilium

What is indicated in the image?

<p>What is indicated in the image?</p>
8
New cards

Ischial spine

What is indicated in the image?

<p>What is indicated in the image?</p>
9
New cards

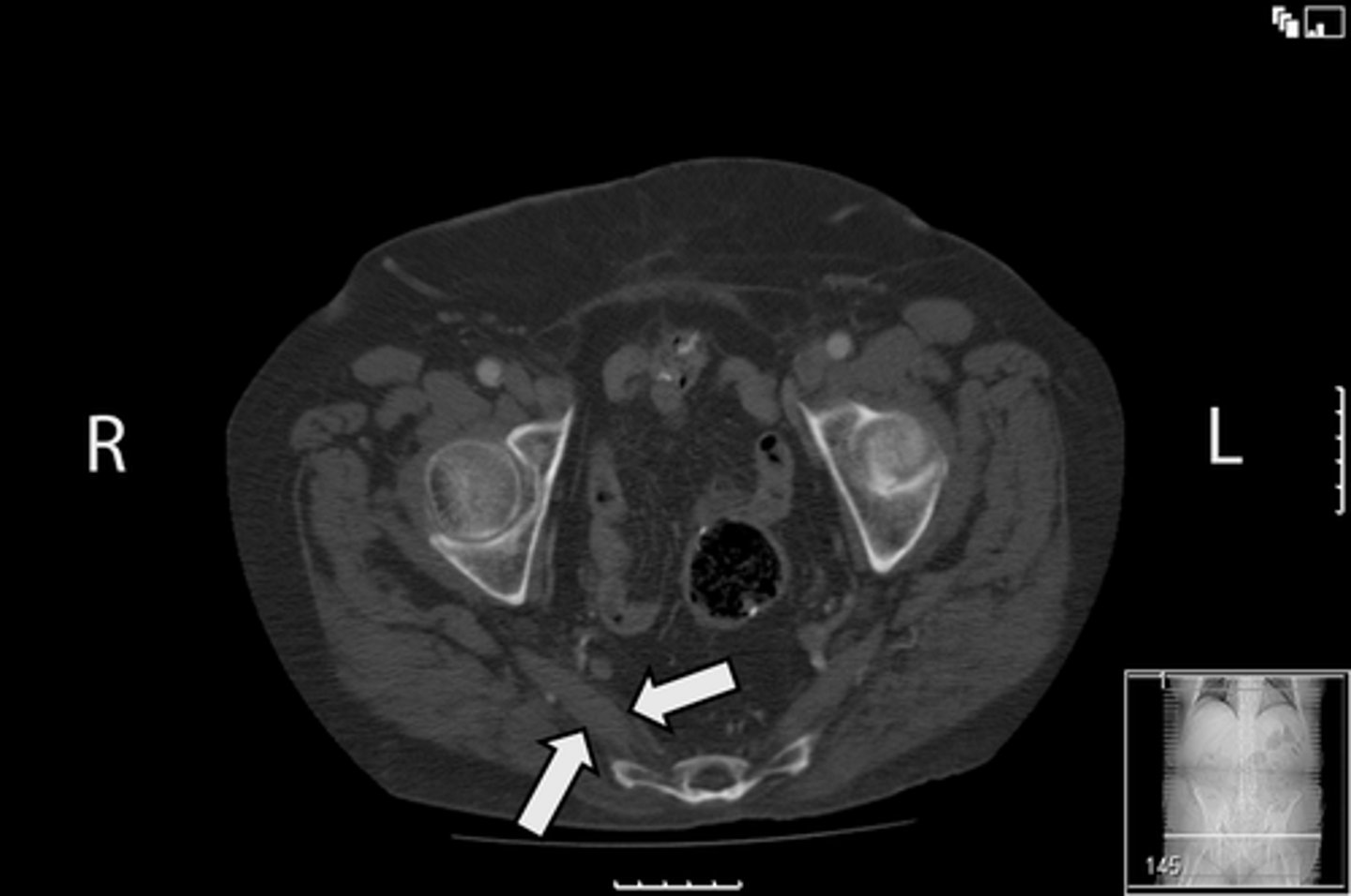
Ischial tuberosity

What is indicated in the image?

<p>What is indicated in the image?</p>
10
New cards

Nonfused greater trochanter

What is indicated in the image?

<p>What is indicated in the image?</p>
11
New cards

Obturator foramen

What is indicated in the image?

<p>What is indicated in the image?</p>
12
New cards

Pubic symphysis

What is indicated in the image?

<p>What is indicated in the image?</p>
13
New cards

Sacroiliac joint

What is indicated in the image?

<p>What is indicated in the image?</p>
14
New cards

Sacrum

What is indicated in the image?

<p>What is indicated in the image?</p>
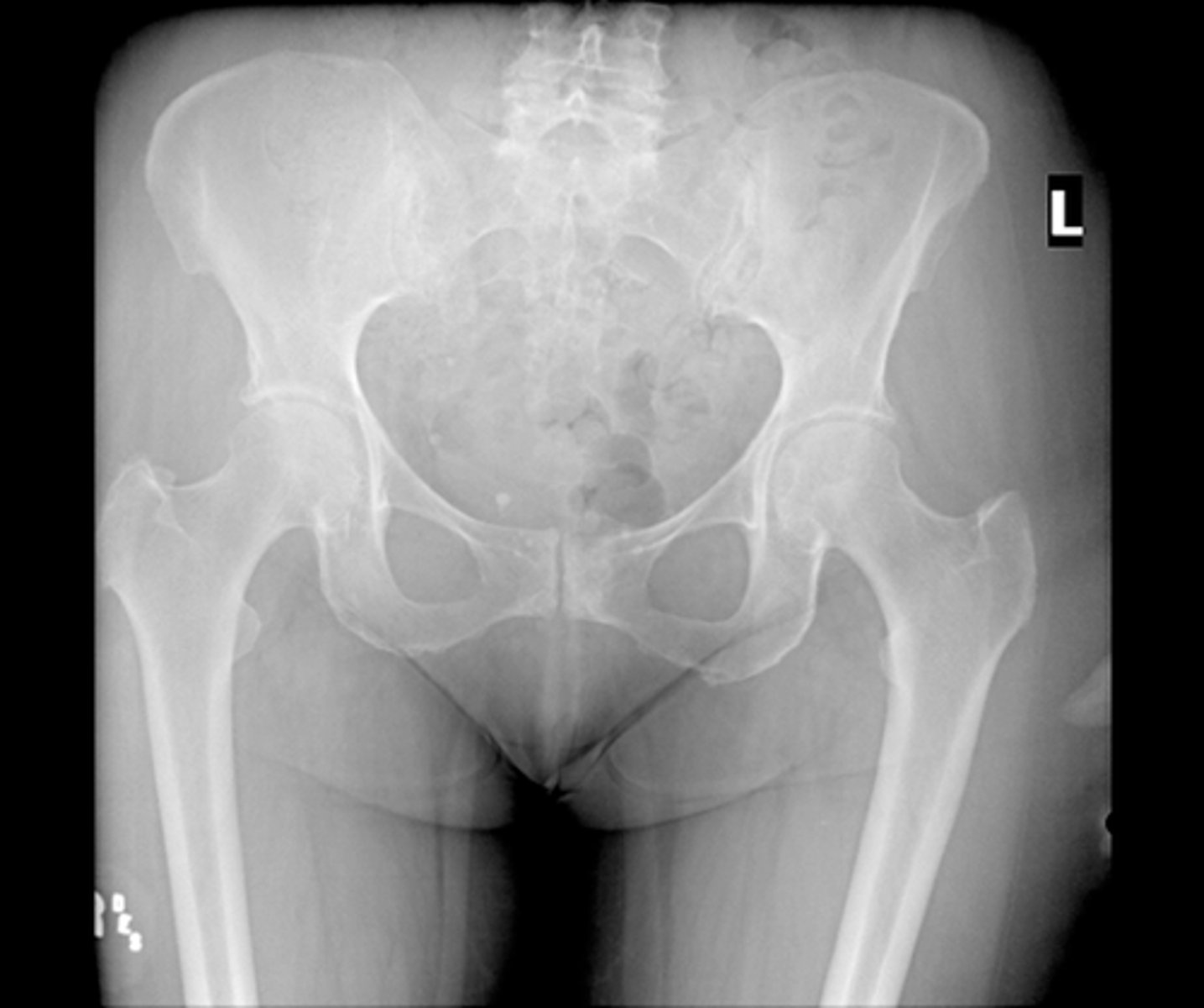
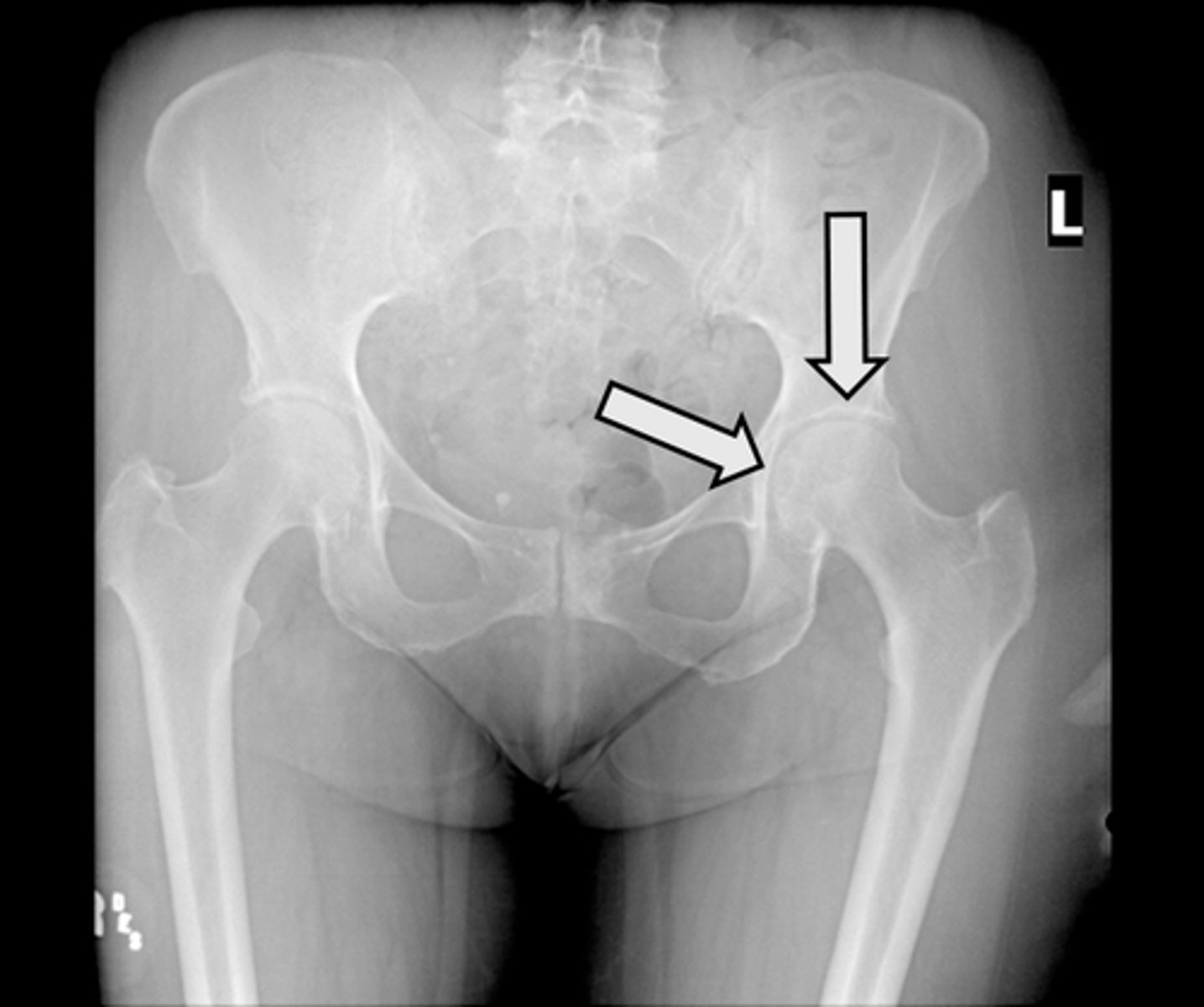
15
New cards

AP pelvis

What is the image?

<p>What is the image?</p>
16
New cards

L acetabulum

What is indicated in the image?

<p>What is indicated in the image?</p>
17
New cards

L anterior superior iliac spine (ASIS)

What is indicated in the image?

<p>What is indicated in the image?</p>
18
New cards

L ilium

What is indicated in the image?

<p>What is indicated in the image?</p>
19
New cards

L ischial tuberosity

What is indicated in the image?

<p>What is indicated in the image?</p>
20
New cards

L obturator foramen

What is indicated in the image?

<p>What is indicated in the image?</p>
21
New cards

L sacroiliac joint

What is indicated in the image?

<p>What is indicated in the image?</p>
22
New cards

L superior ramus of pubis

What is indicated in the image?

<p>What is indicated in the image?</p>
23
New cards

R acetabulum

What is indicated in the image?

<p>What is indicated in the image?</p>
24
New cards

R anterior superior iliac spine (ASIS)

What is indicated in the image?

<p>What is indicated in the image?</p>
25
New cards

R ilium

What is indicated in the image?

<p>What is indicated in the image?</p>
26
New cards

R ischial tuberosity

What is indicated in the image?

<p>What is indicated in the image?</p>
27
New cards

R obturator foramen

What is indicated in the image?

<p>What is indicated in the image?</p>
28
New cards

R sacroiliac joint

What is indicated in the image?

<p>What is indicated in the image?</p>
29
New cards

R superior ramus of pubis

What is indicated in the image?

<p>What is indicated in the image?</p>
30
New cards

Sacrum

What is indicated in the image?

<p>What is indicated in the image?</p>
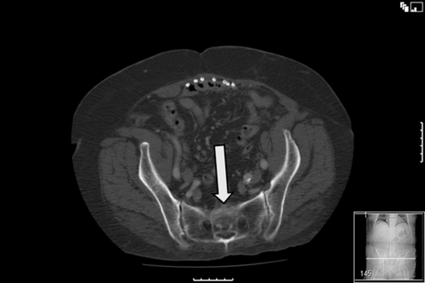
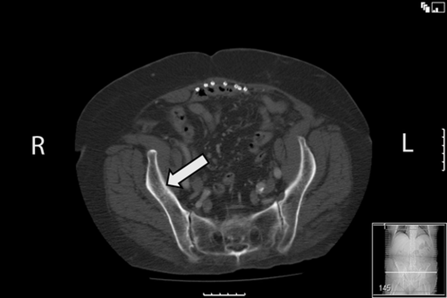
31
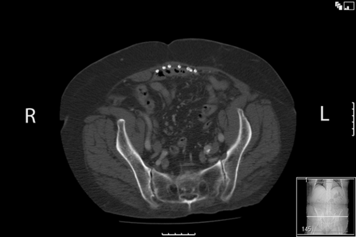
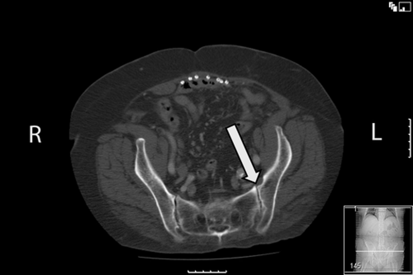
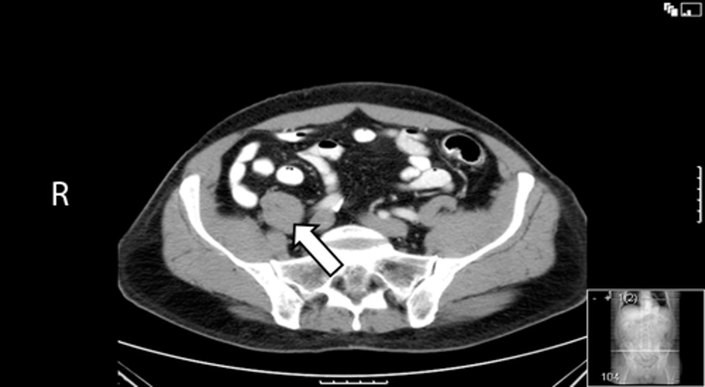
New cards

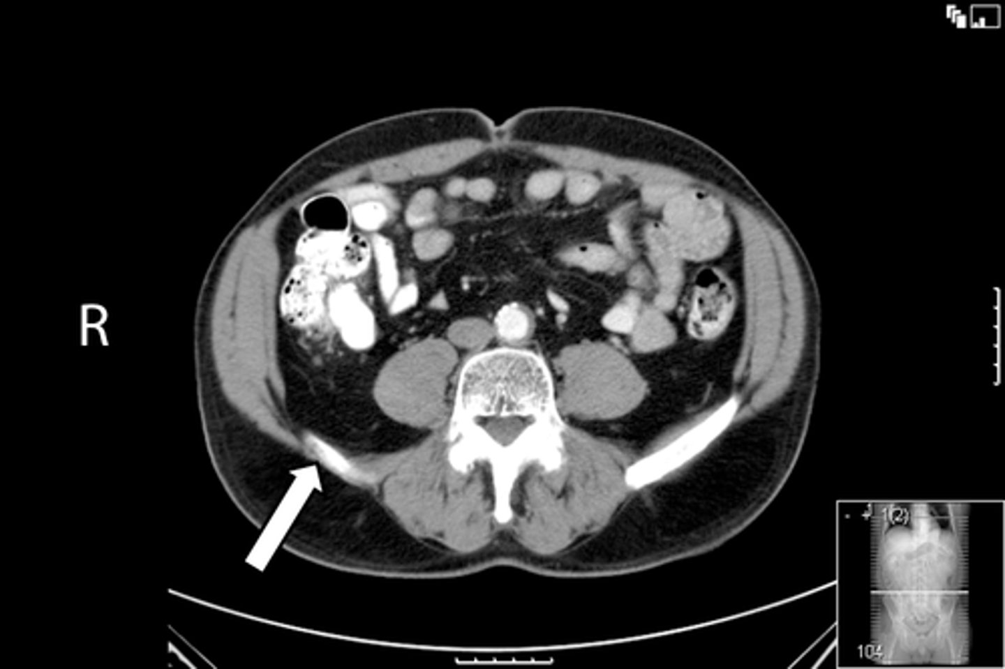
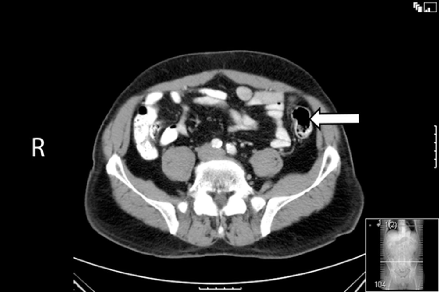
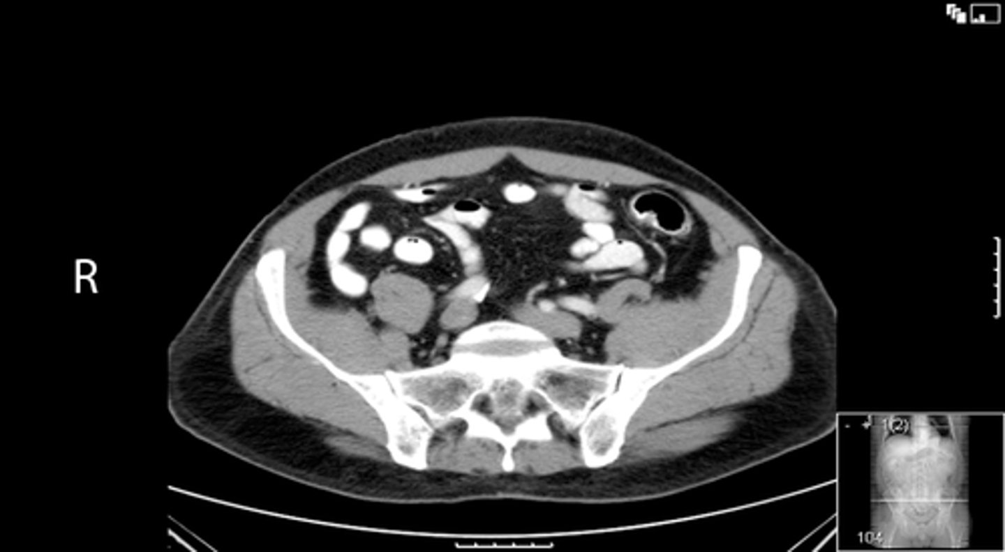
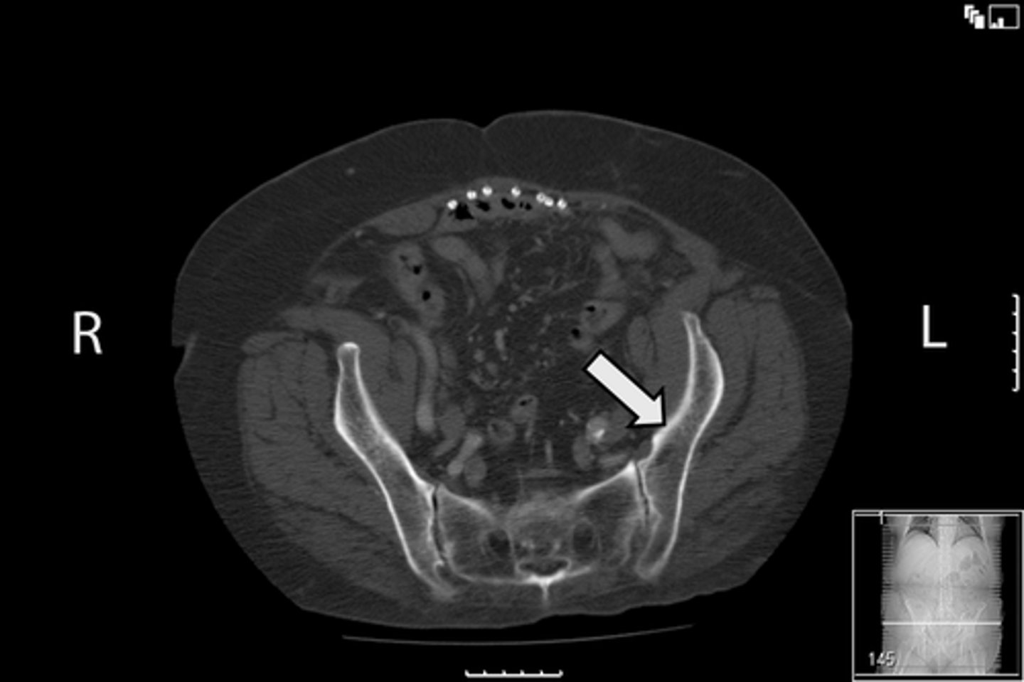
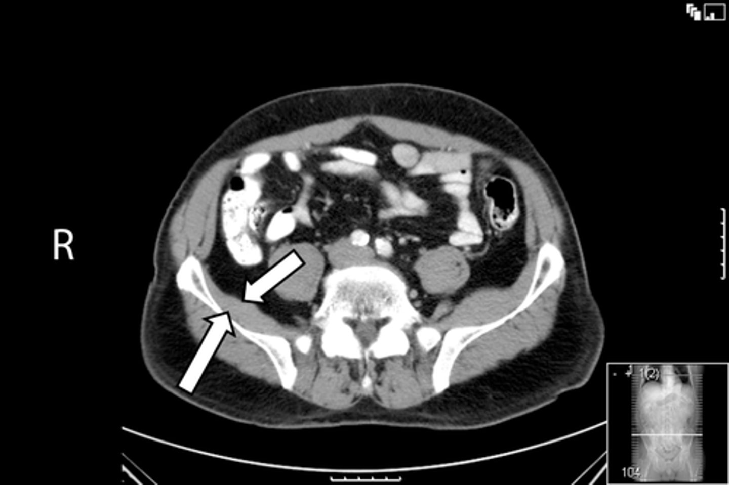
Axial bony pelvis CT

What is the image?

<p>What is the image?</p>
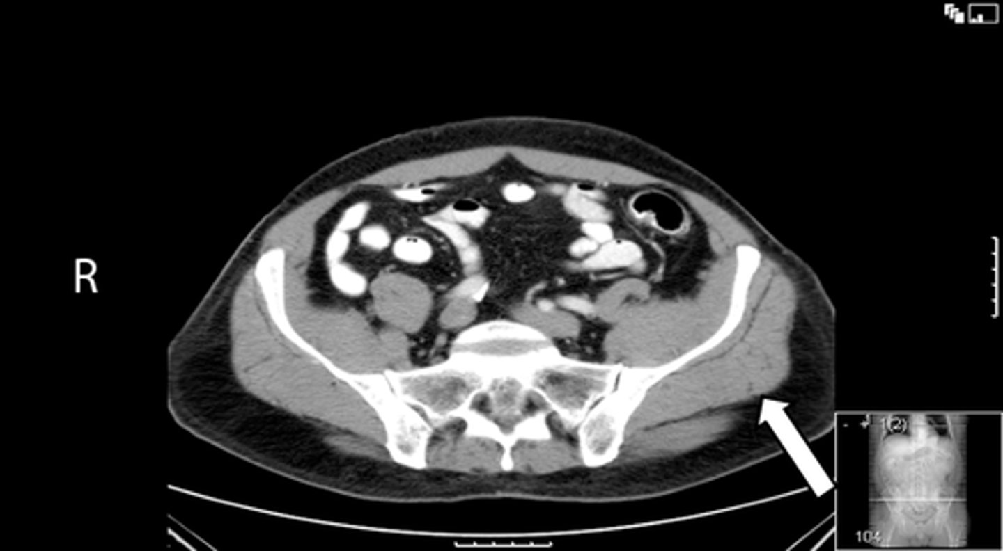
32
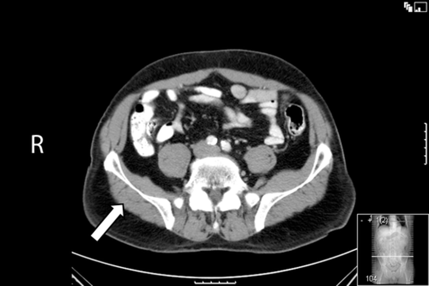
New cards

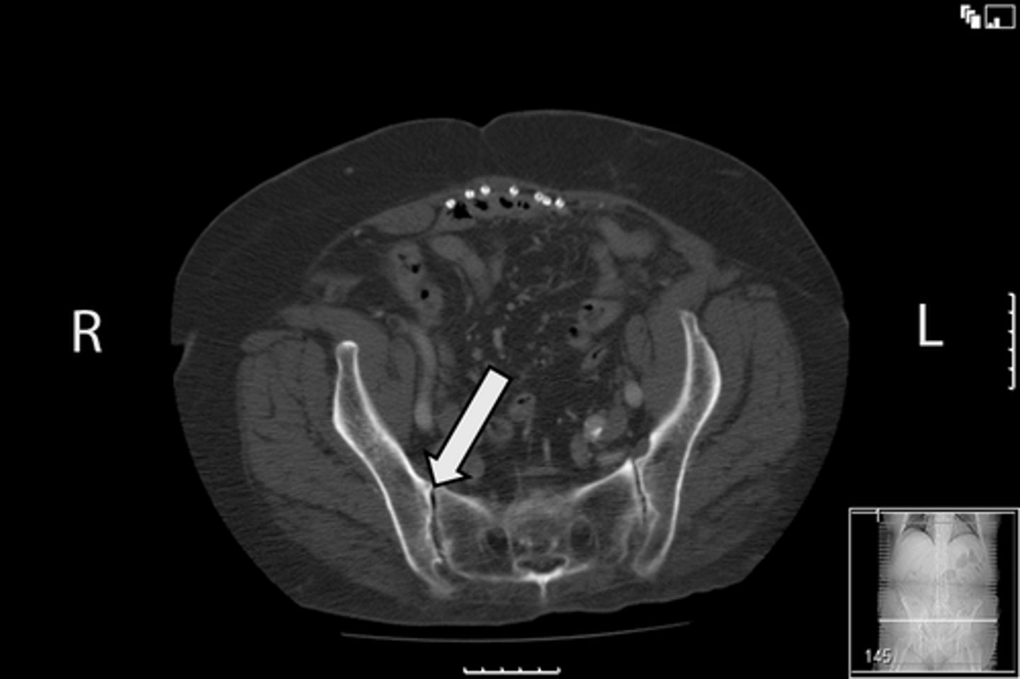
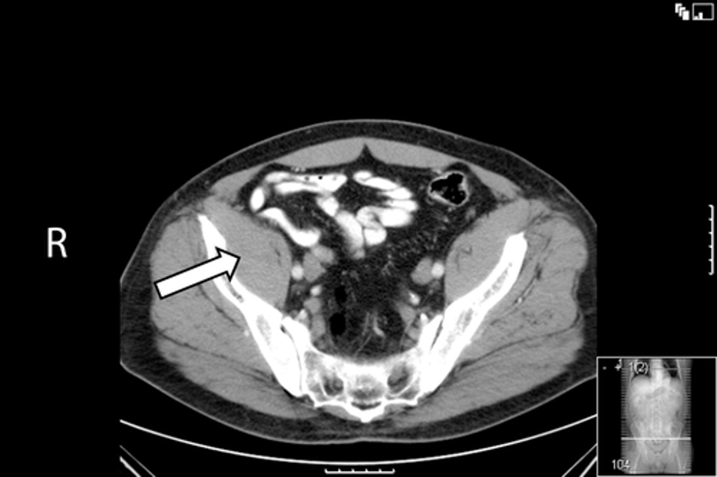
L ilium

What is indicated in the image?

<p>What is indicated in the image?</p>
33
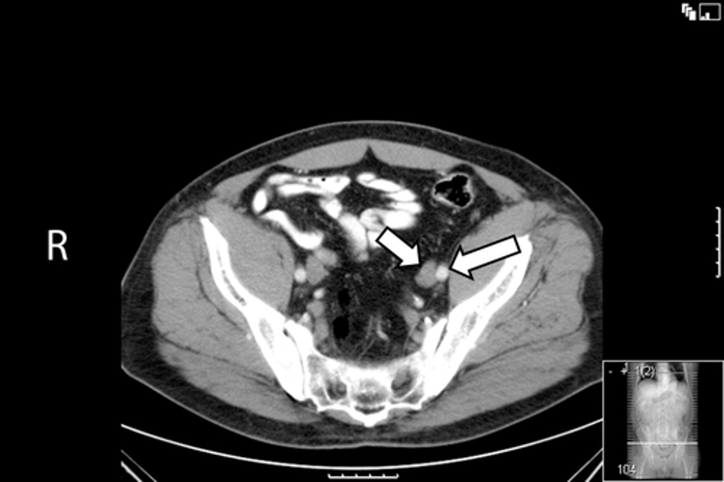
New cards

L sacroiliac joint

What is indicated in the image?

<p>What is indicated in the image?</p>
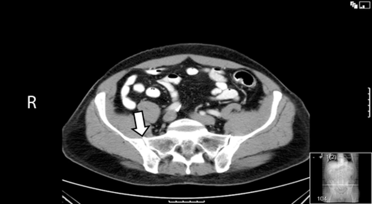
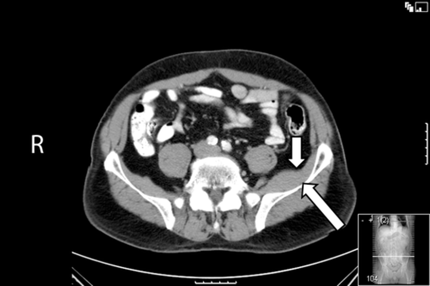
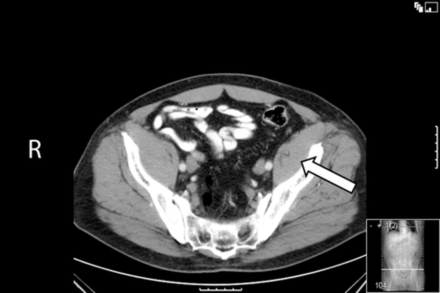
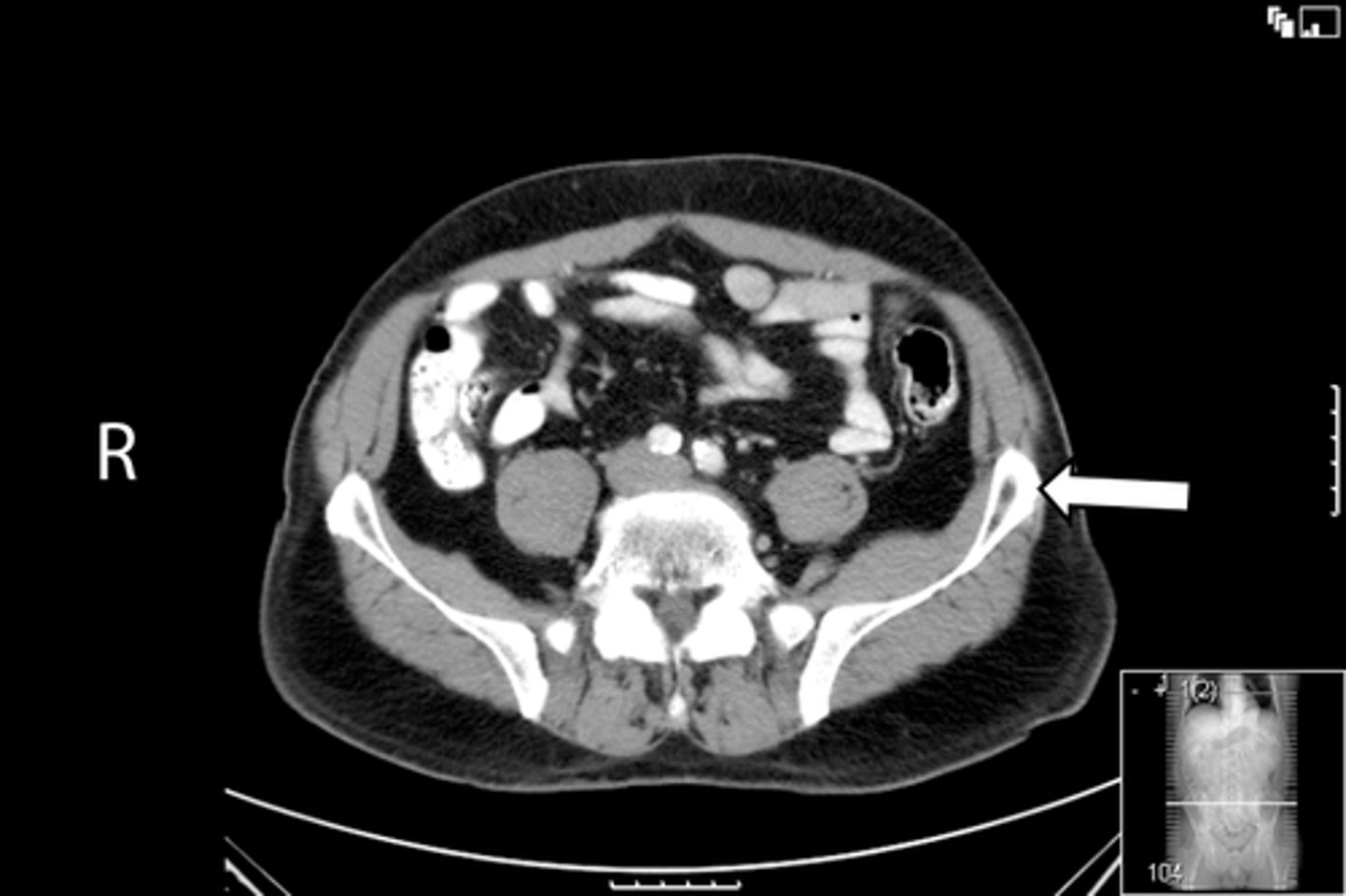
34
New cards

R ilium

What is indicated in the image?

<p>What is indicated in the image?</p>
35
New cards

R sacroiliac joint

What is indicated in the image?

<p>What is indicated in the image?</p>
36
New cards

Sacrum

What is indicated in the image?

<p>What is indicated in the image?</p>
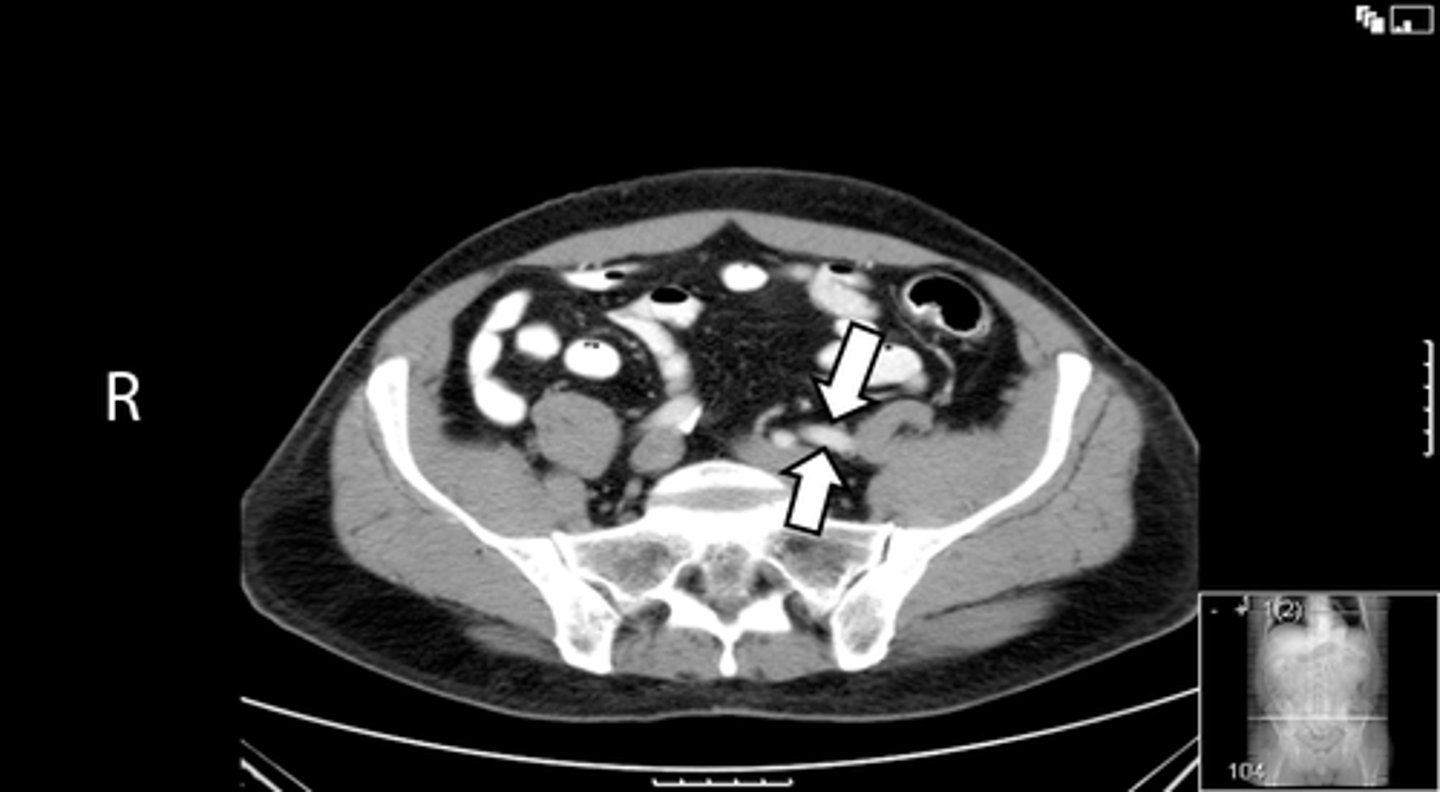
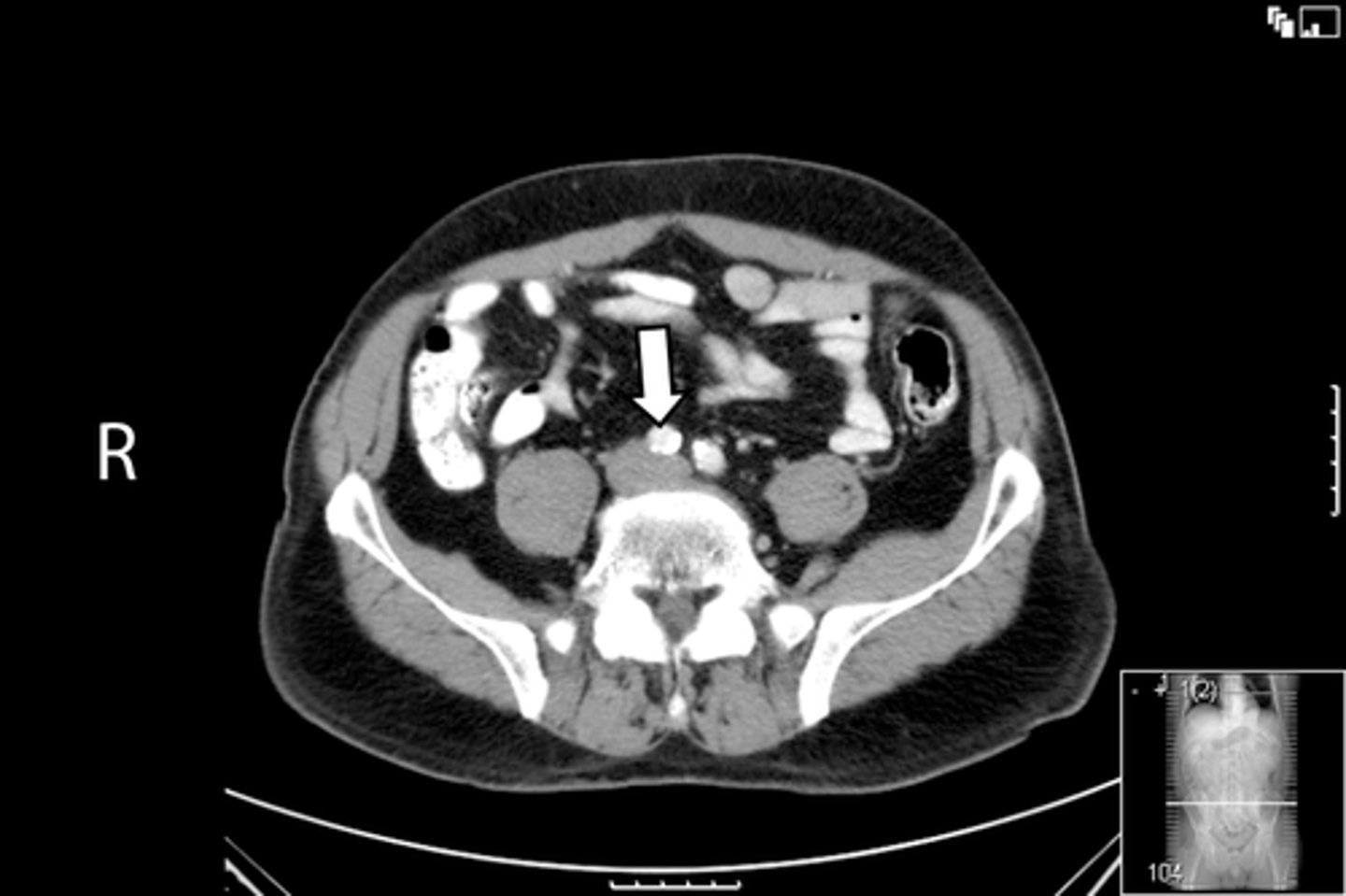
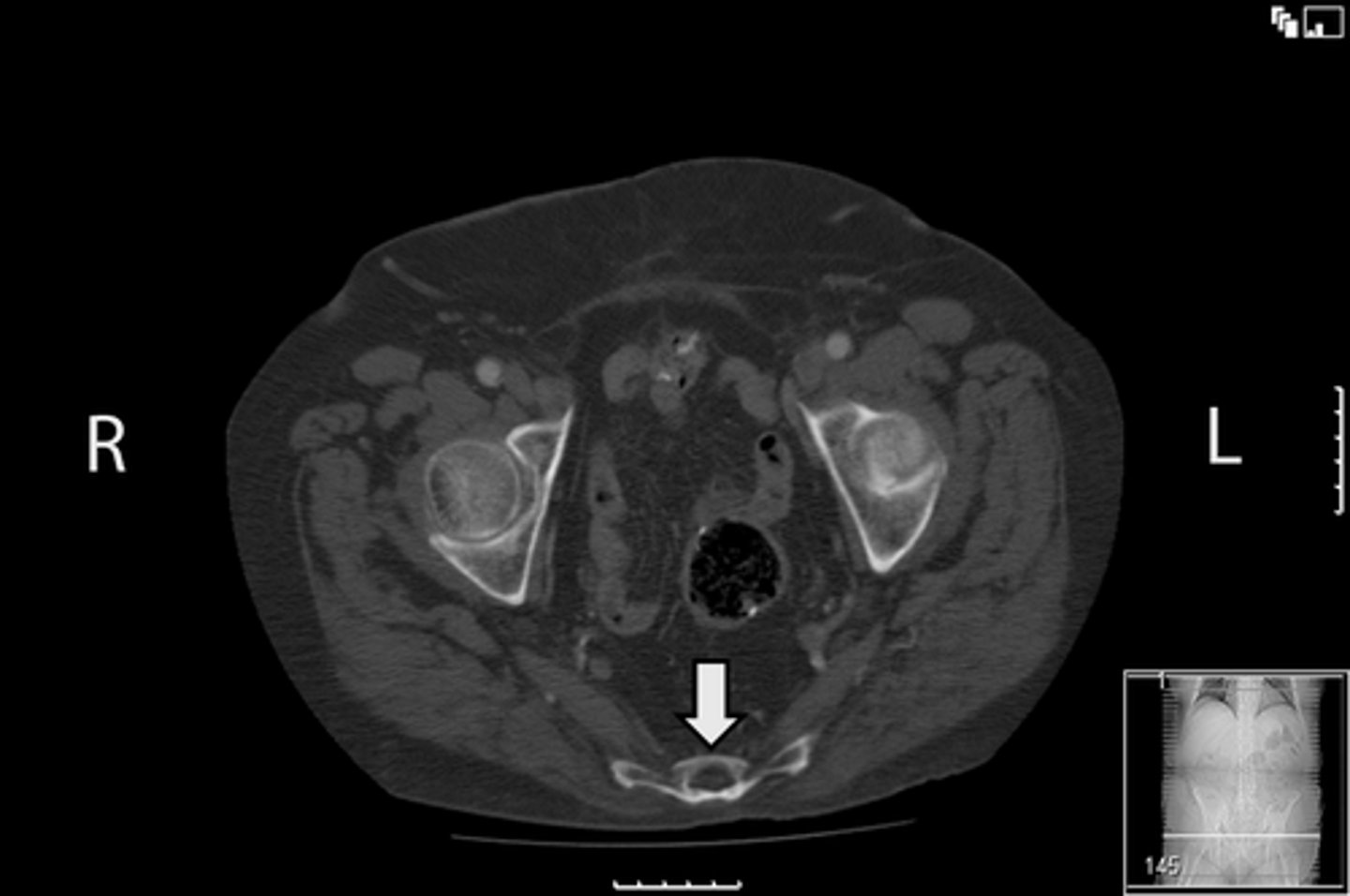
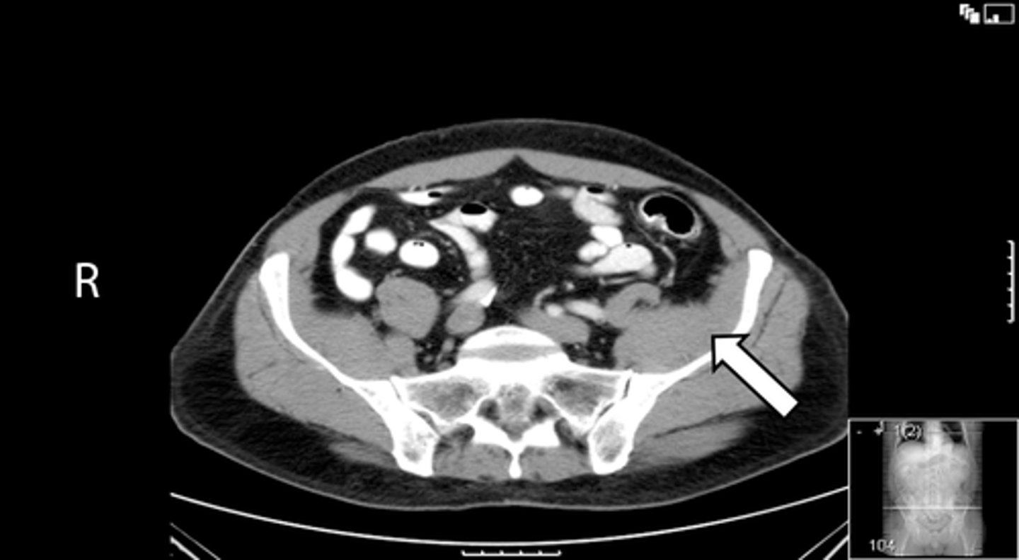
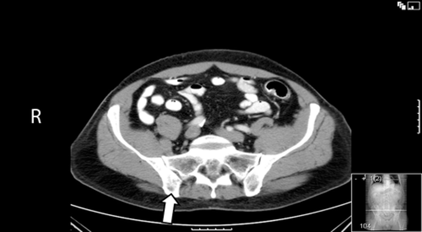
37
New cards

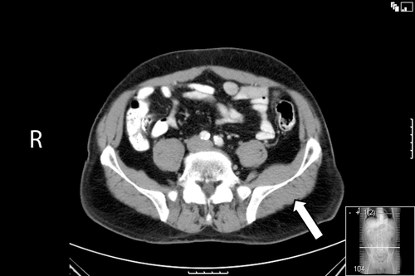
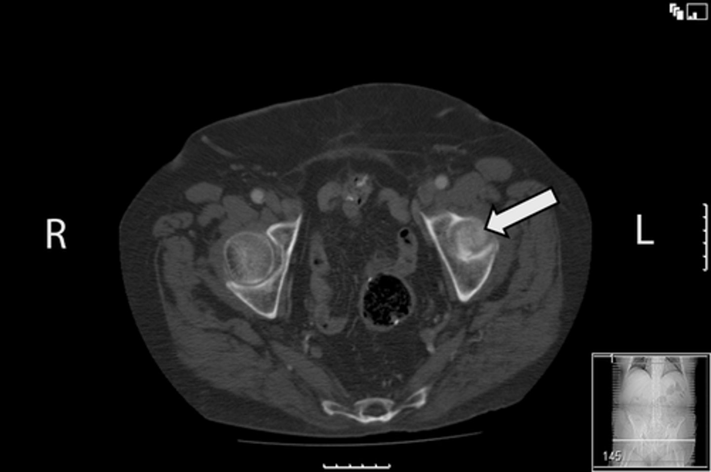
Axial bony pelvis CT

What is the image?

<p>What is the image?</p>
38
New cards

L acetabulum

What is indicated in the image?

<p>What is indicated in the image?</p>
39
New cards

L femoral head

What is indicated in the image?

<p>What is indicated in the image?</p>
40
New cards

L piriformis muscle

What is indicated in the image?

<p>What is indicated in the image?</p>
41
New cards

R femoral head

What is indicated in the image?

<p>What is indicated in the image?</p>
42
New cards

R piriformis muscle

What is indicated in the image?

<p>What is indicated in the image?</p>
43
New cards

R acetabulum (posterior part)

What is indicated in the image?

<p>What is indicated in the image?</p>
44
New cards

Sacrum

What is indicated in the image?

<p>What is indicated in the image?</p>
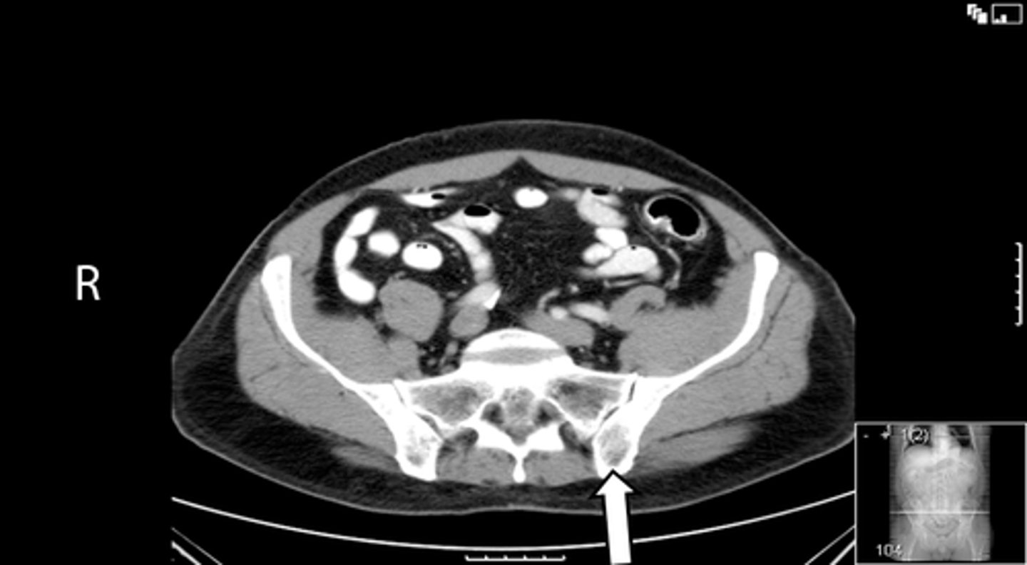
45
New cards

Intravenous pyelogram (IVP)

What is the image?

<p>What is the image?</p>
46
New cards

Lateral rectum with barium enema

What is the image?

<p>What is the image?</p>
47
New cards

Rectal tube

What is indicated in the image?

<p>What is indicated in the image?</p>
48
New cards

Rectum

What is indicated in the image?

<p>What is indicated in the image?</p>
49
New cards

Voiding cystourethrogram

What is the image?

<p>What is the image?</p>
50
New cards

Bladder

What is indicated in the image?

<p>What is indicated in the image?</p>
51
New cards

Membranous urethra

What is indicated in the image?

<p>What is indicated in the image?</p>
52
New cards

Prostatic urethra

What is indicated in the image?

<p>What is indicated in the image?</p>
53
New cards

Spongy urethra

What is indicated in the image?

<p>What is indicated in the image?</p>
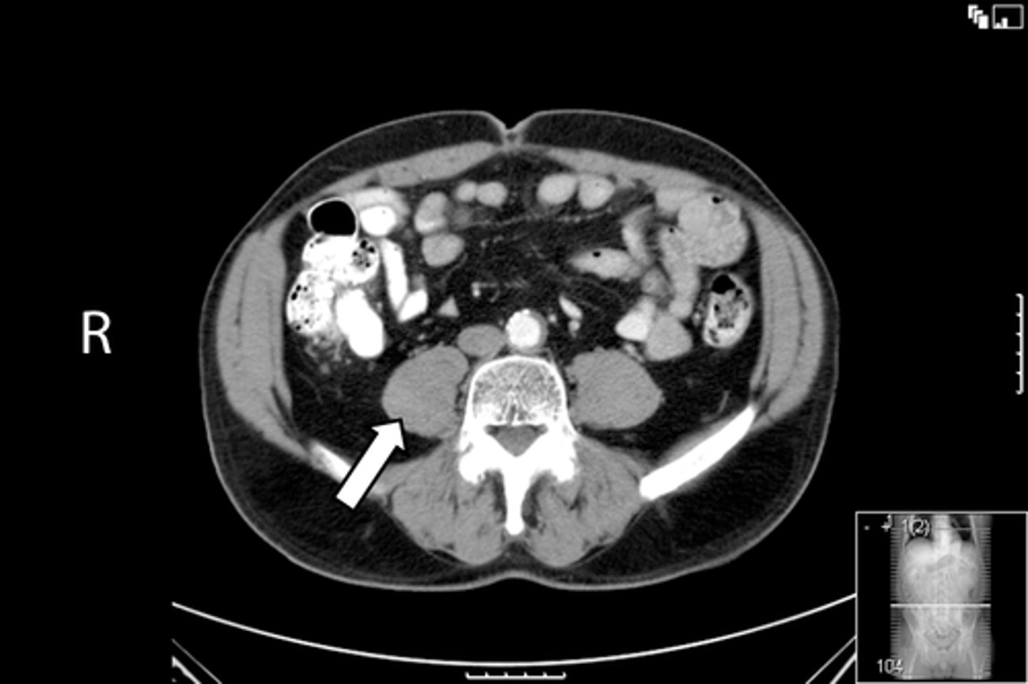
54
New cards

Axial male pelvis CT

What is the image?

<p>What is the image?</p>
55
New cards

Aorta

What is indicated in the image?

<p>What is indicated in the image?</p>
56
New cards

Cecum

What is indicated in the image?

<p>What is indicated in the image?</p>
57
New cards

IVC

What is indicated in the image?

<p>What is indicated in the image?</p>
58
New cards

L ilium

What is indicated in the image?

<p>What is indicated in the image?</p>
59
New cards

L psoas muscle

What is indicated in the image?

<p>What is indicated in the image?</p>
60
New cards

R ilium

What is indicated in the image?

<p>What is indicated in the image?</p>
61
New cards

R psoas muscle

What is indicated in the image?

<p>What is indicated in the image?</p>
62
New cards

R rectus abdominis

What is indicated in the image?

<p>What is indicated in the image?</p>
63
New cards

Terminal ilium

What is indicated in the image?

<p>What is indicated in the image?</p>
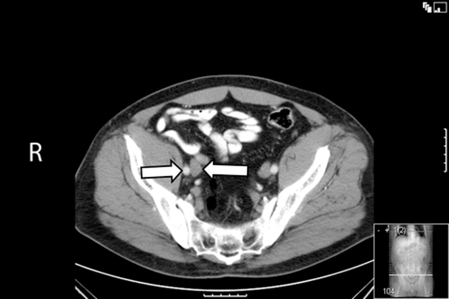
64
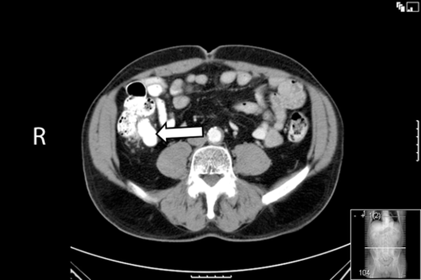
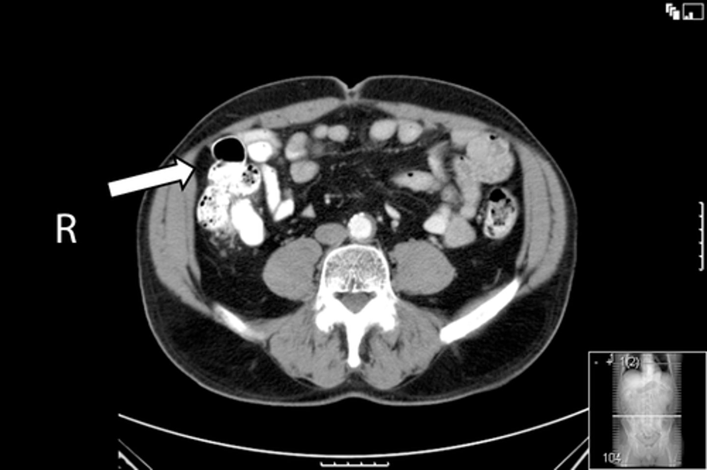
New cards

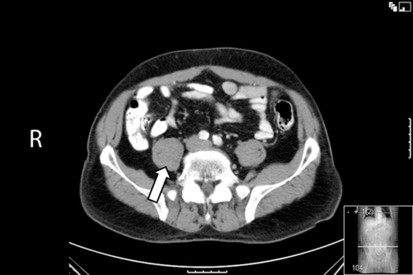
Axial male pelvis CT

What is the image?

<p>What is the image?</p>
65
New cards

Descending colon

What is indicated in the image?

<p>What is indicated in the image?</p>
66
New cards

L common iliac artery

What is indicated in the image?

<p>What is indicated in the image?</p>
67
New cards

L gluteus muscle

What is indicated in the image?

<p>What is indicated in the image?</p>
68
New cards

L iliacus muscle

What is indicated in the image?

<p>What is indicated in the image?</p>
69
New cards

L ilium

What is indicated in the image?

<p>What is indicated in the image?</p>
70
New cards

L psoas muscle

What is indicated in the image?

<p>What is indicated in the image?</p>
71
New cards

R common iliac artery

What is indicated in the image?

<p>What is indicated in the image?</p>
72
New cards

R gluteus muscle

What is indicated in the image?

<p>What is indicated in the image?</p>
73
New cards

R iliacus muscle

What is indicated in the image?

<p>What is indicated in the image?</p>
74
New cards

R ilium

What is indicated in the image?

<p>What is indicated in the image?</p>
75
New cards

R psoas muscle

What is indicated in the image?

<p>What is indicated in the image?</p>
76
New cards

R and L rectus abdominis

What is indicated in the image?

<p>What is indicated in the image?</p>
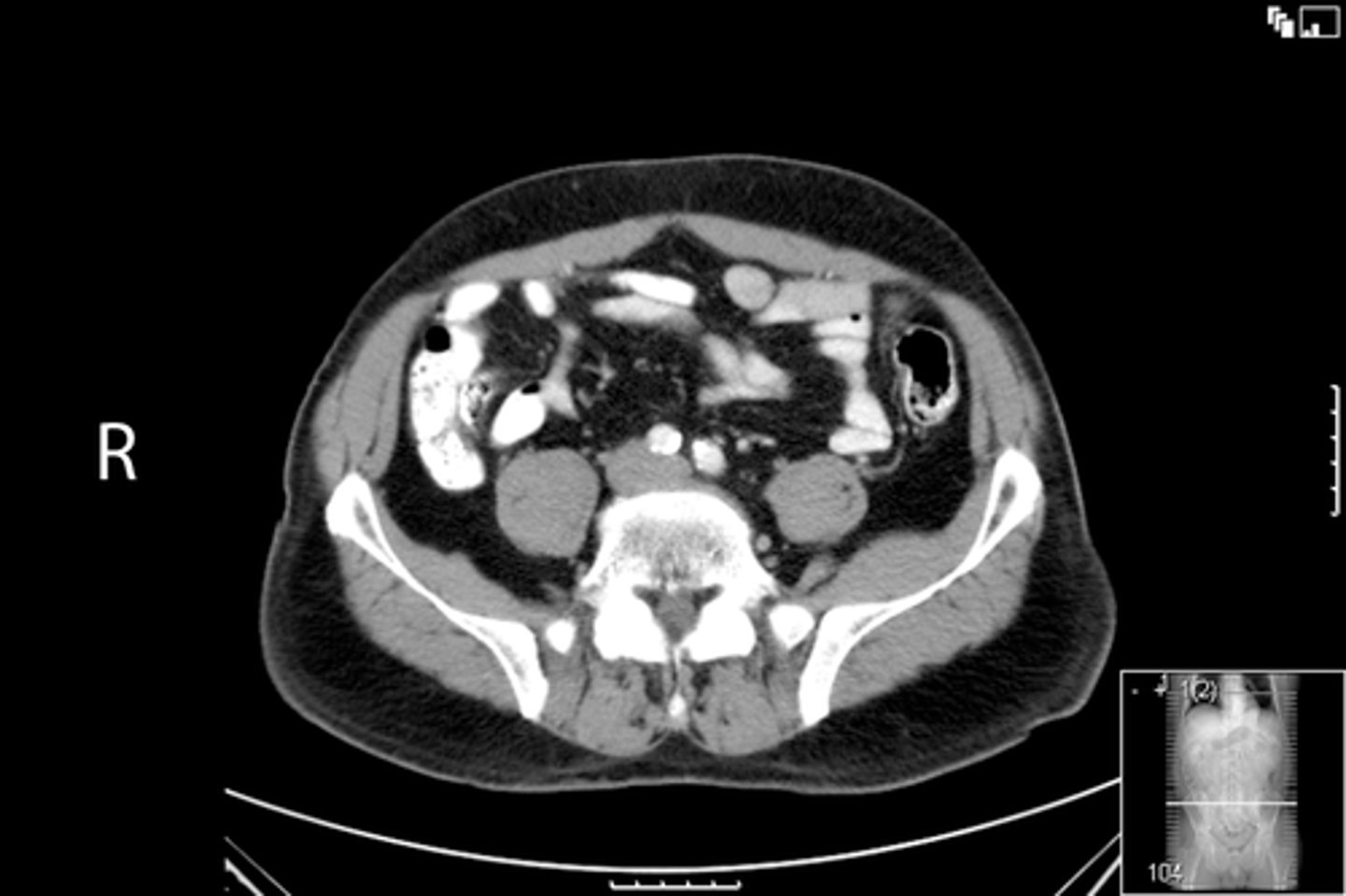
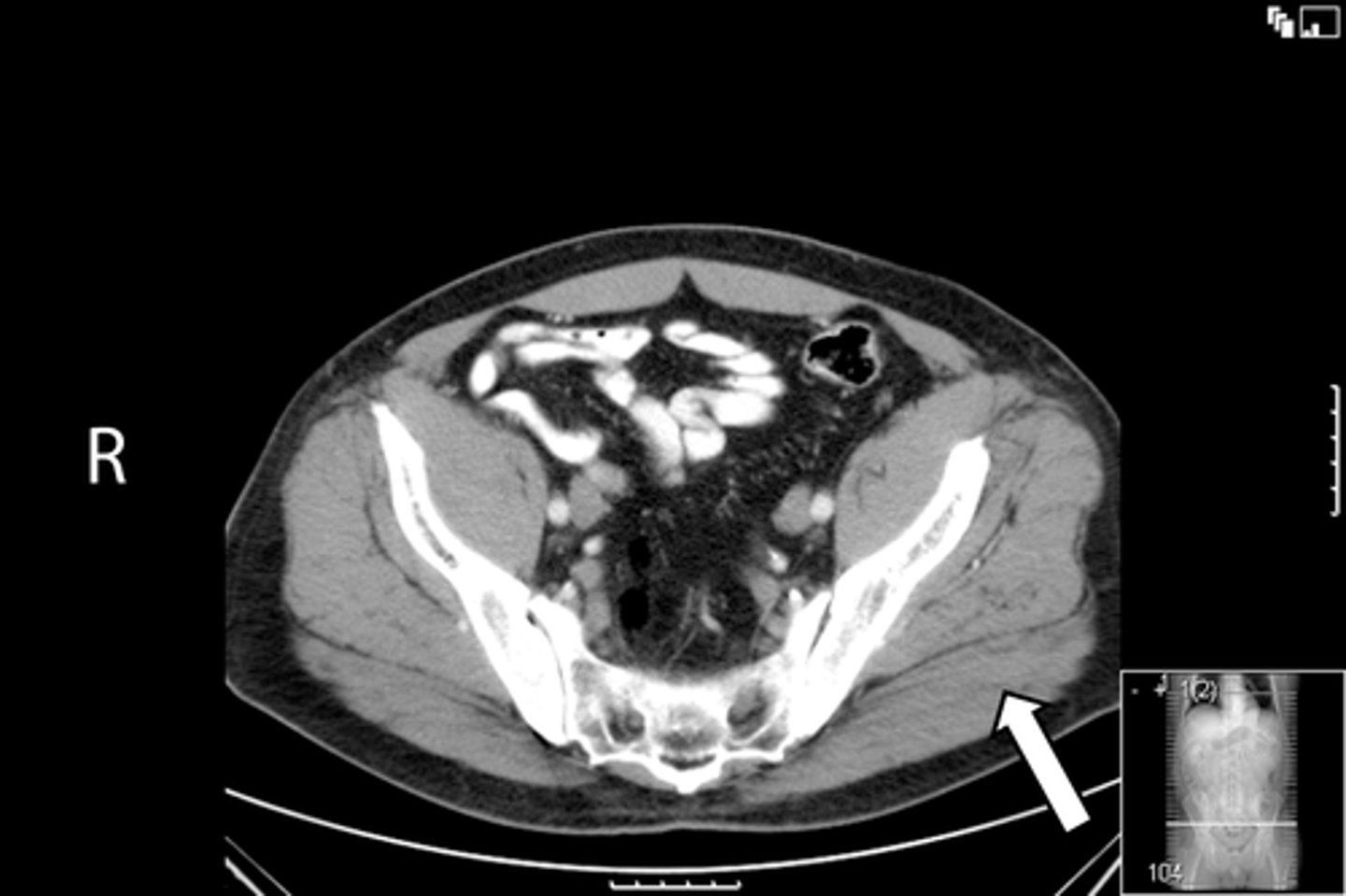
77
New cards

Axial male pelvis CT

What is the image?

<p>What is the image?</p>
78
New cards

Descending colon/sigmoid colon juncture

What is indicated in the image?

<p>What is indicated in the image?</p>
79
New cards

L external iliac artery

What is indicated in the image?

<p>What is indicated in the image?</p>
80
New cards

L gluteus muscle

What is indicated in the image?

<p>What is indicated in the image?</p>
81
New cards

L iliopsoas muscle

What is indicated in the image?

<p>What is indicated in the image?</p>
82
New cards

L internal iliac artery

What is indicated in the image?

<p>What is indicated in the image?</p>
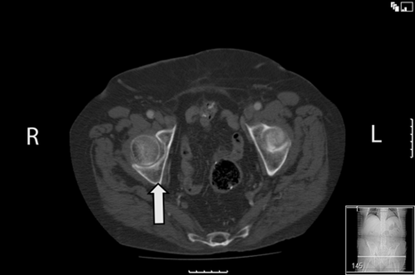
83
New cards

Posterior aspect of L iliac bone

What is indicated in the image?

<p>What is indicated in the image?</p>
84
New cards

L sacroiliac joint

What is indicated in the image?

<p>What is indicated in the image?</p>
85
New cards

R common iliac artery

What is indicated in the image?

<p>What is indicated in the image?</p>
86
New cards

R gluteus muscle

What is indicated in the image?

<p>What is indicated in the image?</p>
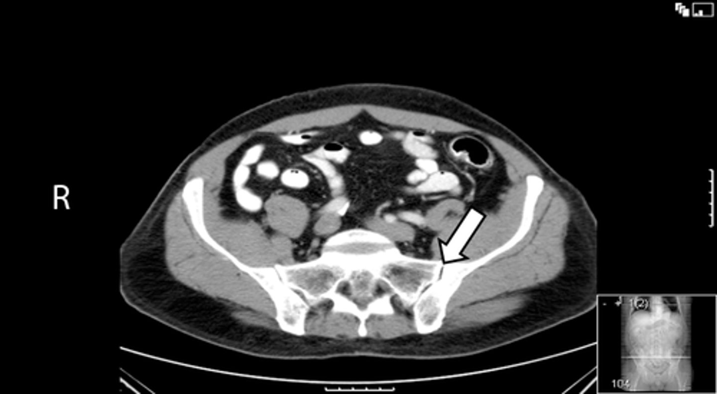
87
New cards

R iliacus muscle

What is indicated in the image?

<p>What is indicated in the image?</p>
88
New cards

Posterior aspect of right iliac bone

What is indicated in the image?

<p>What is indicated in the image?</p>
89
New cards

R psoas muscle

What is indicated in the image?

<p>What is indicated in the image?</p>
90
New cards

R sacroiliac joint

What is indicated in the image?

<p>What is indicated in the image?</p>
91
New cards

R and L rectus abdominis

What is indicated in the image?

<p>What is indicated in the image?</p>
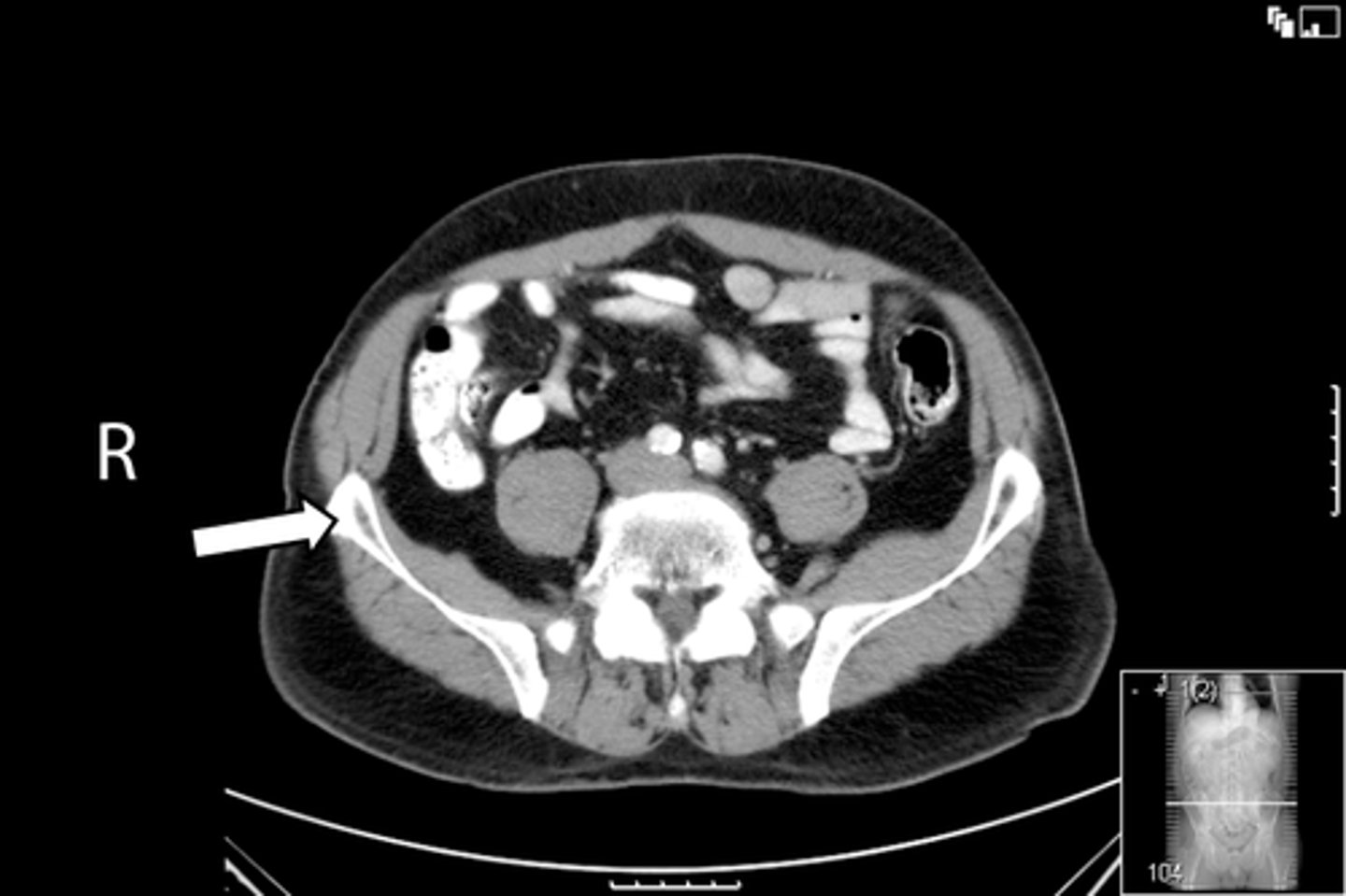
92
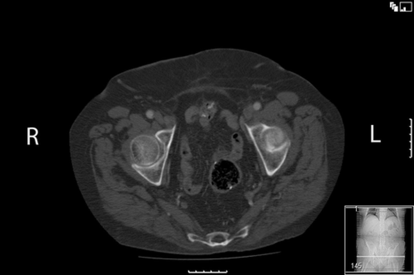
New cards

Axial male pelvis CT

What is the image?

<p>What is the image?</p>
93
New cards

L external iliac artery and vein

What is indicated in the image?

<p>What is indicated in the image?</p>
94
New cards

L gluteus muscle

What is indicated in the image?

<p>What is indicated in the image?</p>
95
New cards

L iliopsoas muscle

What is indicated in the image?

<p>What is indicated in the image?</p>
96
New cards

L internal iliac artery and vein

What is indicated in the image?

<p>What is indicated in the image?</p>
97
New cards

L sacroiliac joint

What is indicated in the image?

<p>What is indicated in the image?</p>
98
New cards

R external iliac artery and vein

What is indicated in the image?

<p>What is indicated in the image?</p>
99
New cards

R gluteus muscle

What is indicated in the image?

<p>What is indicated in the image?</p>
100
New cards

R iliopsoas muscle

What is indicated in the image?

<p>What is indicated in the image?</p>