1/18
pictures and names
Name | Mastery | Learn | Test | Matching | Spaced | Call with Kai |
|---|
No analytics yet
Send a link to your students to track their progress
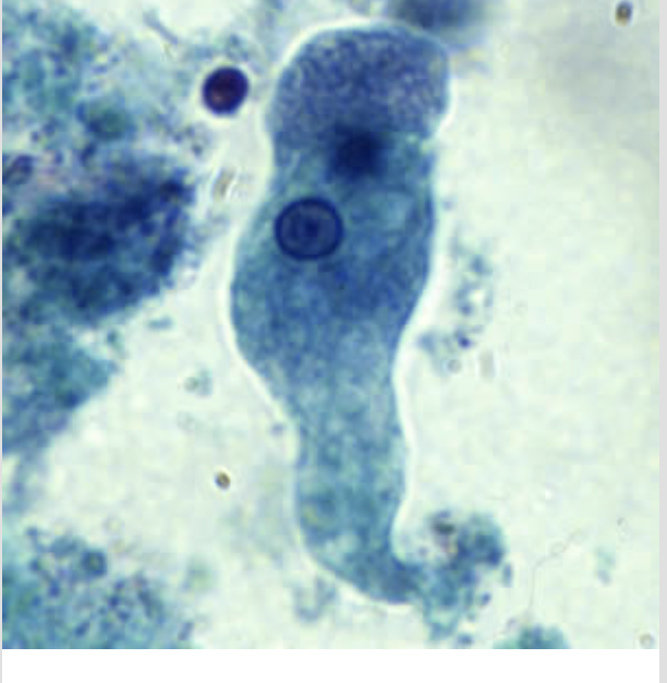
Entamoeba histolytica trophozoite
(10-20 um): 1 nucleus, small central karyosome with even chromatin, RBC’s cytoplasmic inclusion

Entamoeba histolytica cyst
(10-20 um): 1, 2, or 4 nuclei, small central karyosome with even chromatin, cigar-shaped chromatid body

Entamoeba dispar trophozoite
no RBCs present

Entamoeba dispar cyst
similar to e histolytica

Entamoeba hartmanni troph
smaller (<10 um)

Entamoeba hartmanni cyst
smaller (<12 um)

Entamoeba coli troph
ingested bacteria

Entamoeba coli cyst
sharp, pointed chromatoid bodies, up to 8 nuclei

Entamoeba polecki troph

Entamoeba polecki cyst
1 nucleus, large glycogen “inclusion mass”, multiple chromatid bodies

Entamoeba gingivalis troph
ingested epithelial cells and wbc’s

Blastocystis hominis cyst
large vacuole (stains red), nuclei near rim

Endolimax nana troph
6-12um; smallest amoeba

Endolimax nana cyst
‘cookies for nana’

Iodamoeba butschlii troph
similar to e nana

Iodamoeba butschlii cyst
glycogen vacuole, basket nucleus

Acanthamoeba spp troph
in brain tissue

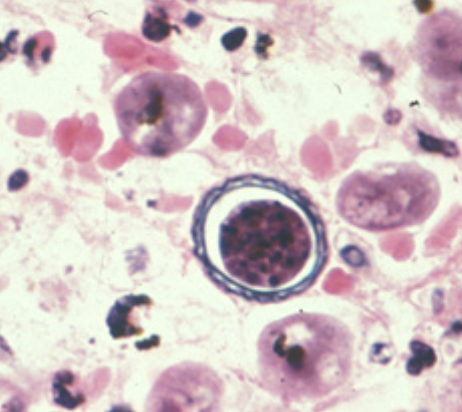
Acanthamoeba spp. cyst
in brain tissue; hall’s coccus

Naegleria fowleri
found in csf
