1/43
Looks like no tags are added yet.
Name | Mastery | Learn | Test | Matching | Spaced | Call with Kai |
|---|
No analytics yet
Send a link to your students to track their progress

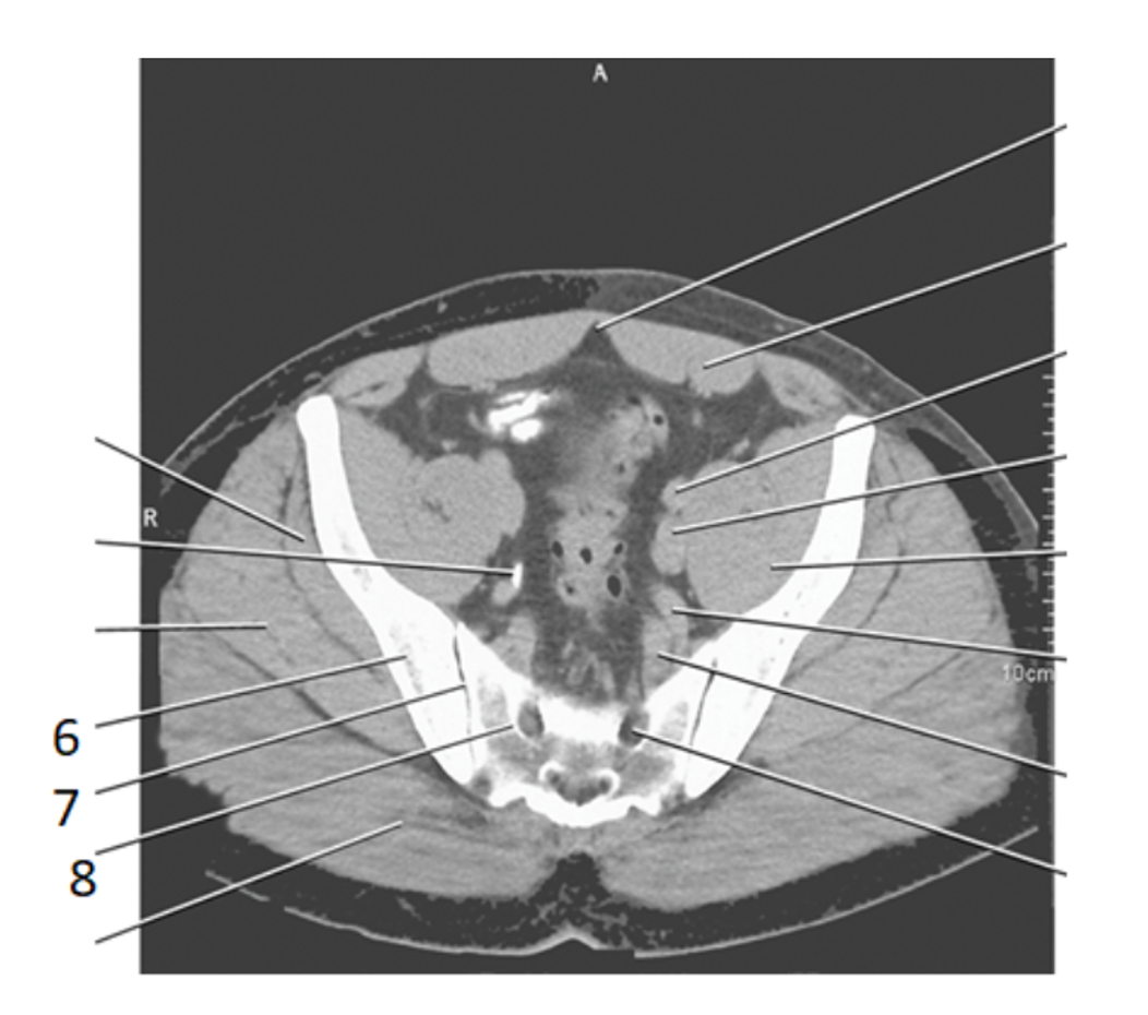
2
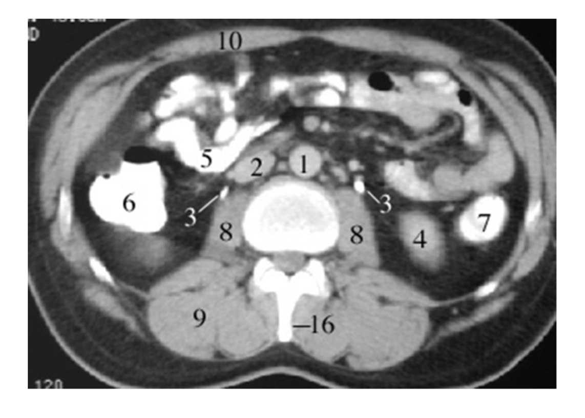
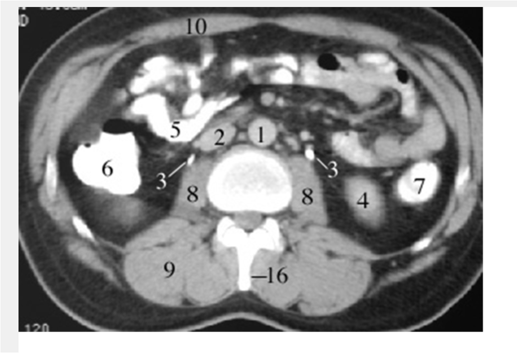
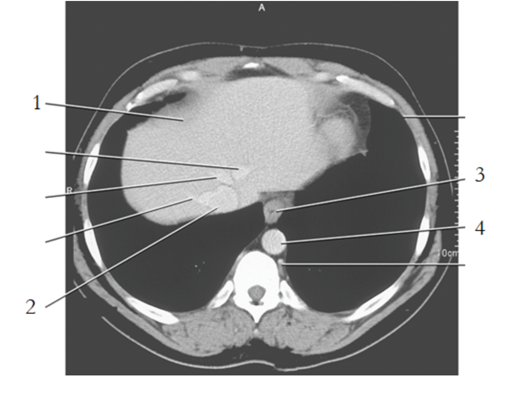
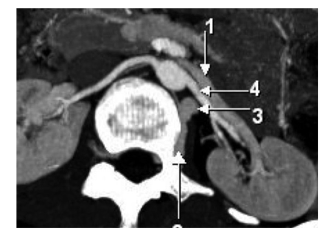
aorta

29
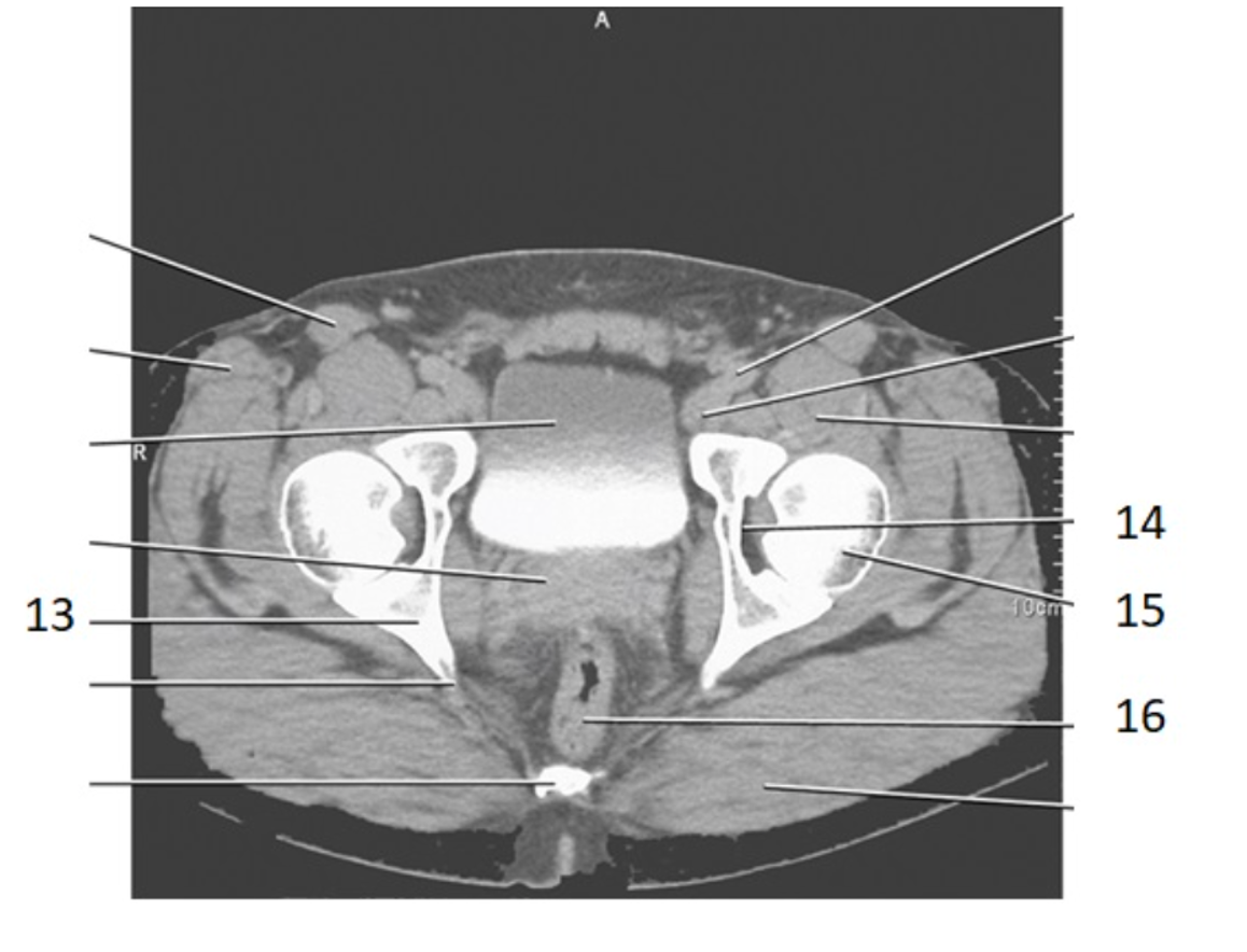
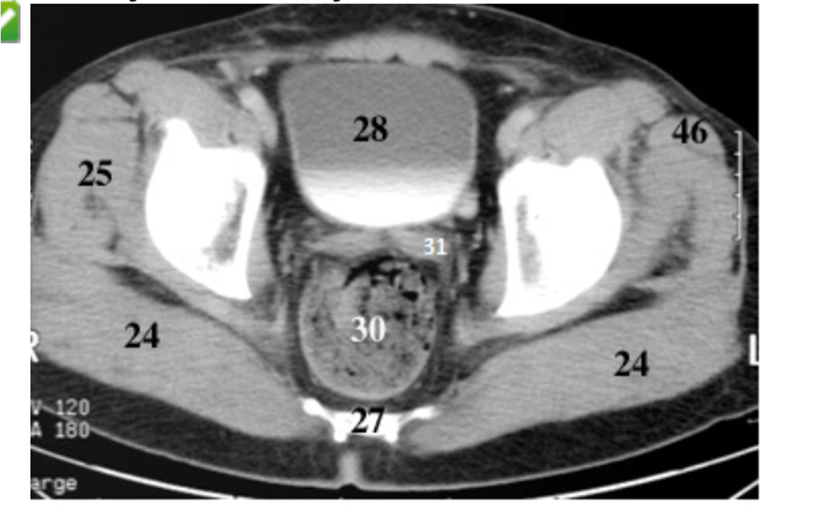
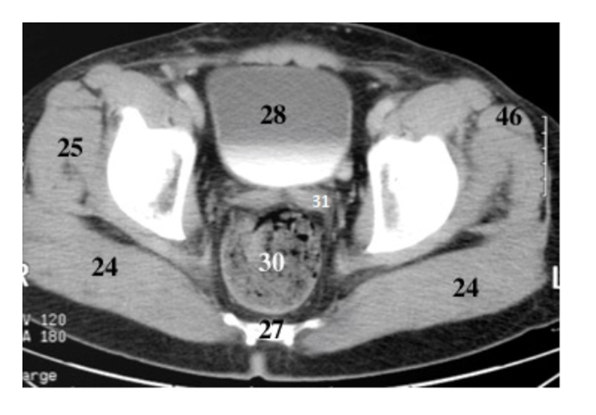
pubis

30
ishium

6
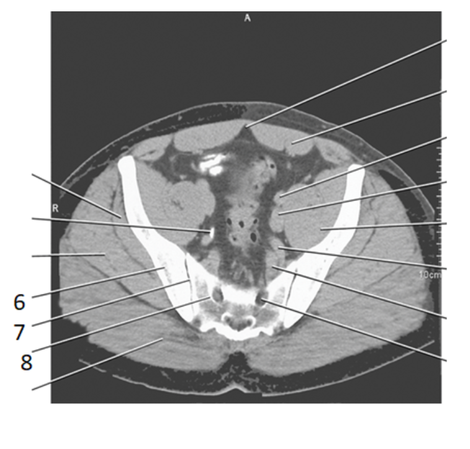
ilium

2
sacral prominatory

4
left common iliac artery

3
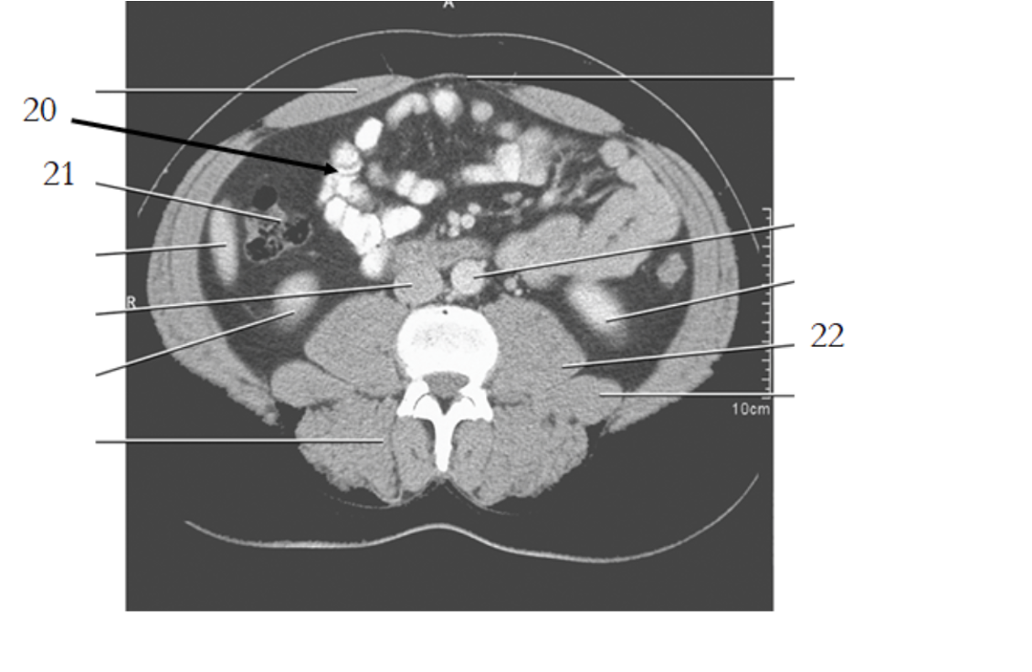
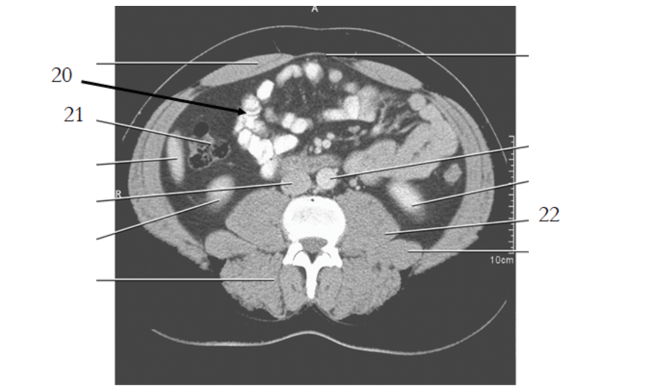
ureters

19
greater trochanter

1
cecum

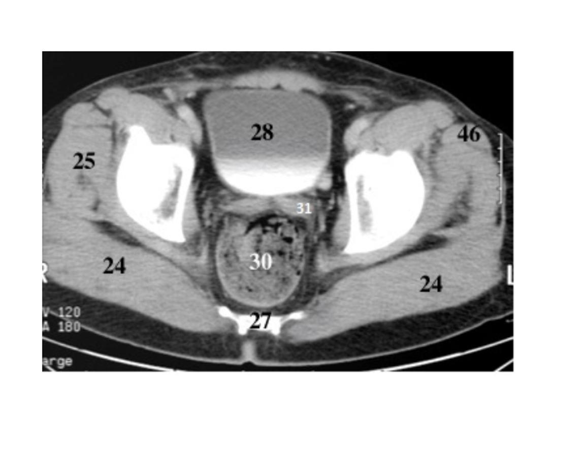
15
femoral head

30
rectum

14
acetabulum

8
psoas

9
sacram foramen

6
cecum

17
pubic bone

20
prostate

31
seminal vesicles

7
SI joint

28
bladder

3
psoas

17
pubic symphysis

28 women
cervix

25 women
uterus

2
IV

11
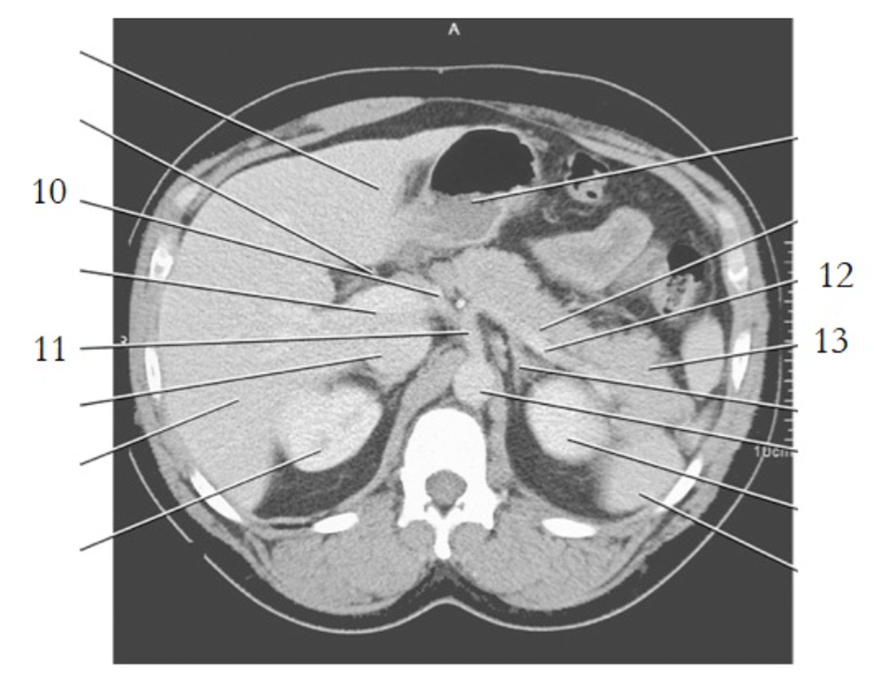
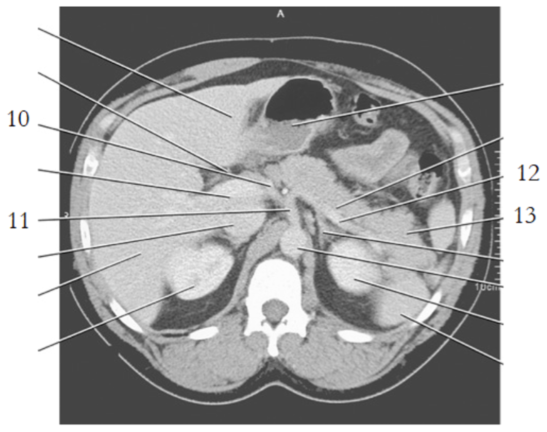
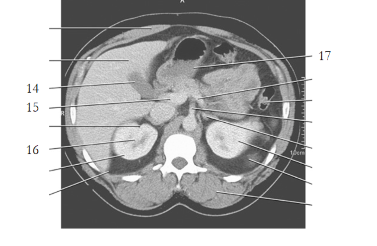
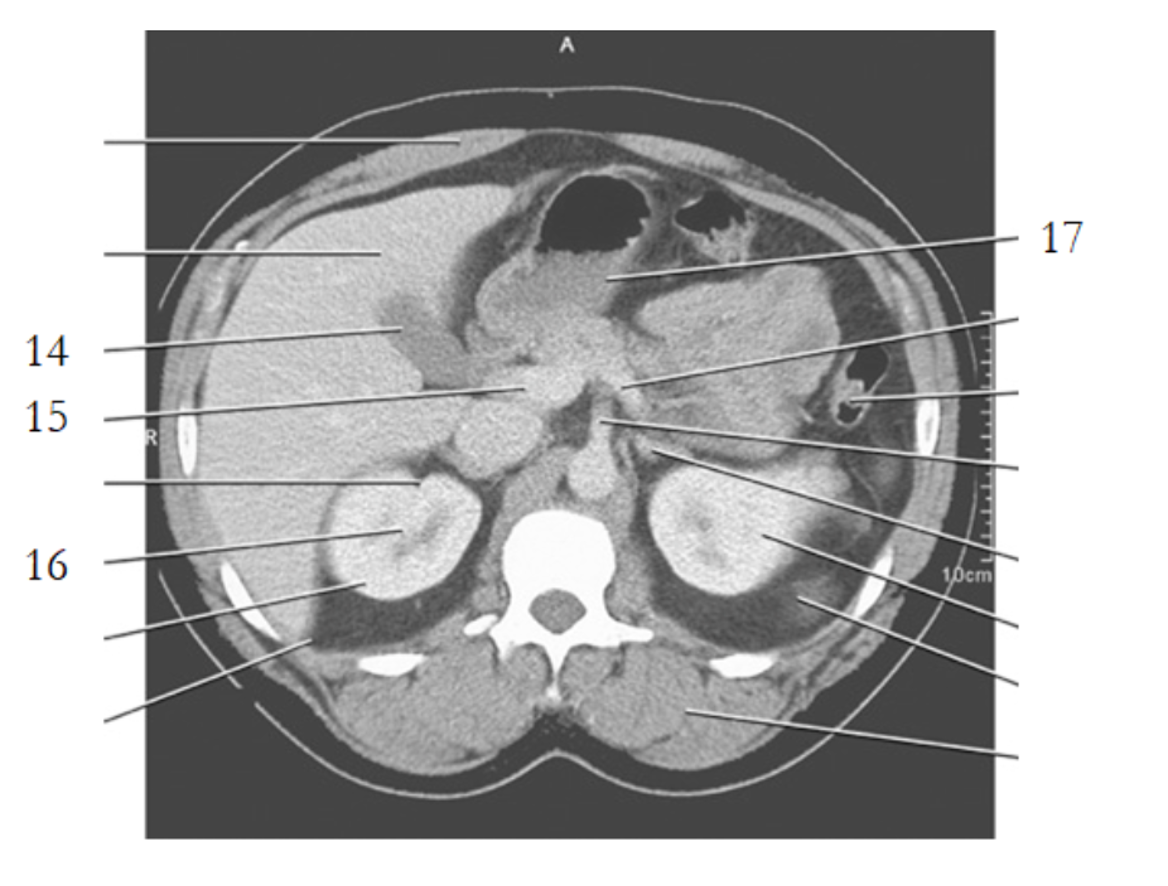
celiac axis

12
splenic artery

15
portal vein

20
aorta

24
aorta

19
left renal vein

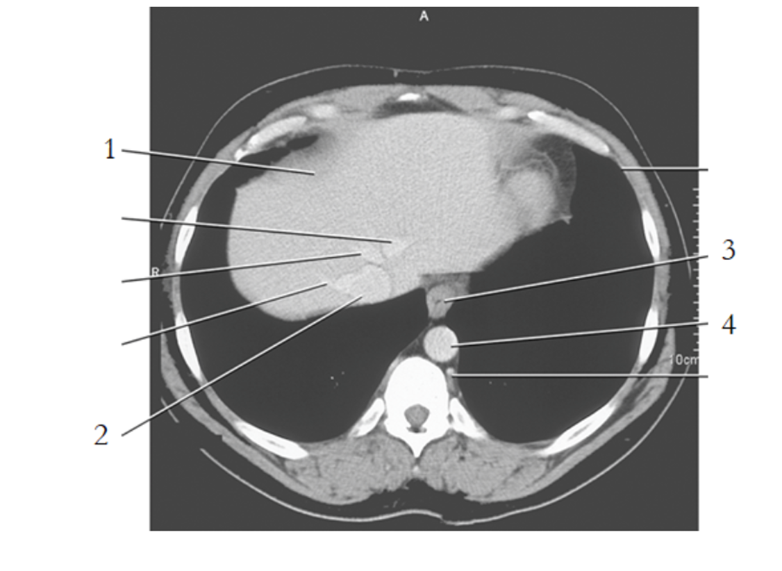
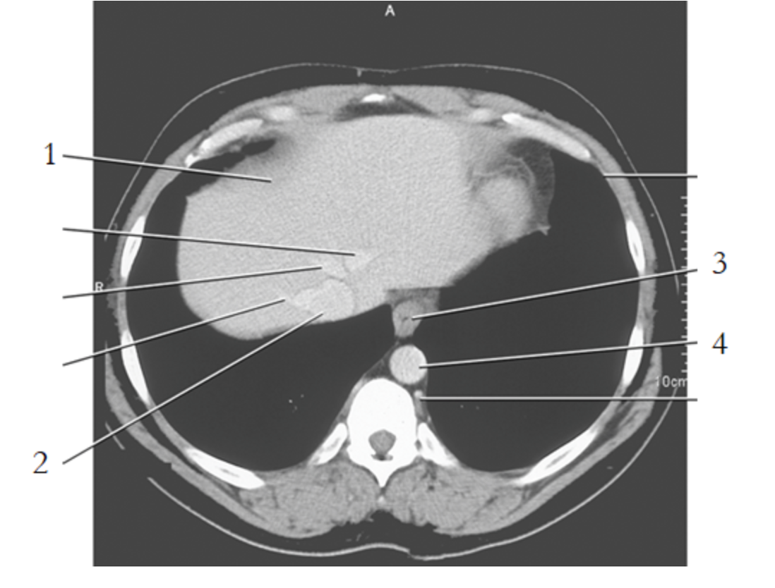
1
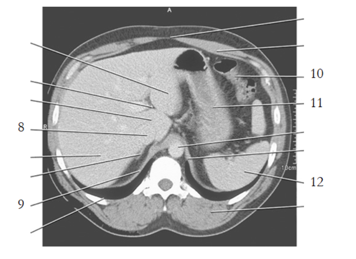
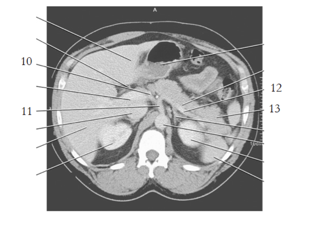
liver

3
esophagus

11
stomach

12
spleen

9
crus of diaphragm

8
IVC

13
pancreas tail

16
kidney

14
gallbladder

4
left renal artery

20
small bowel

21
large bowel

25
spleen