1/47
Looks like no tags are added yet.
Name | Mastery | Learn | Test | Matching | Spaced |
|---|
No study sessions yet.

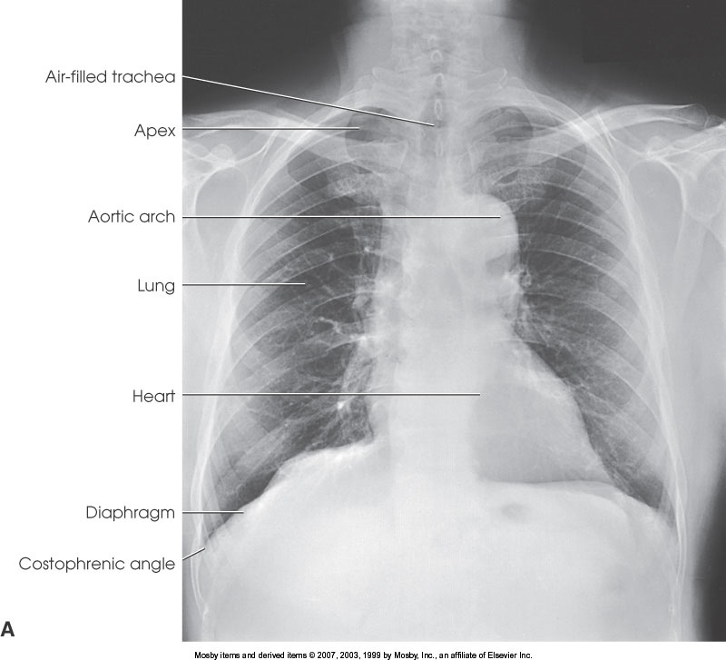
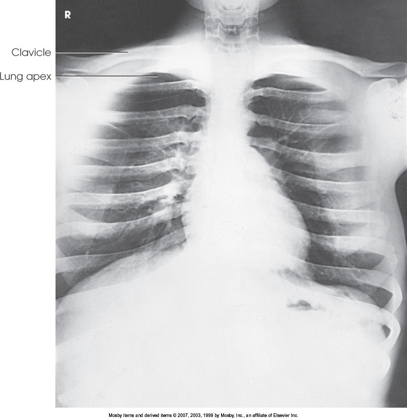
What position is demonstrated?
PA Chest

What position is demonstrated?
Lateral Chest

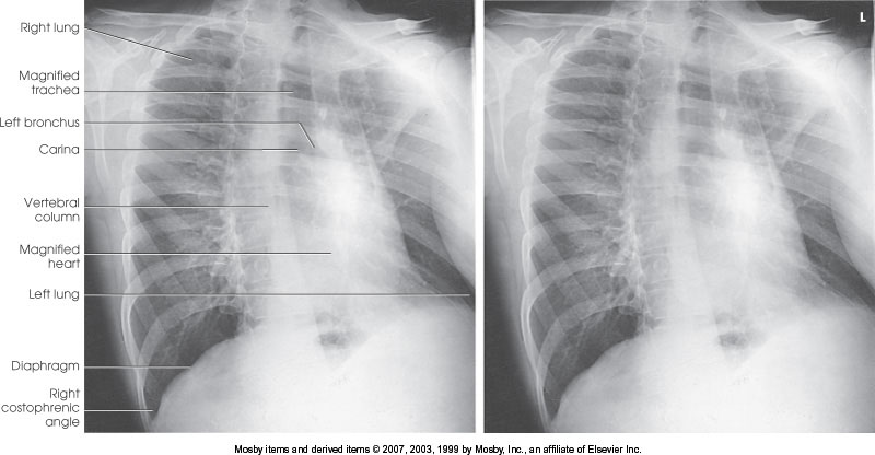
What position is demonstrated?
RAO Chest

What position is demonstrated?
LAO Chest

What position is demonstrated?
RPO Chest

What position is demonstrated?
LPO Chest

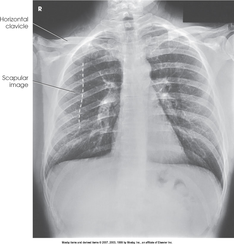
What position is demonstrated?
AP Chest

What position is demonstrated?
Right Lateral Decubitus Chest

What position is demonstrated?
Lordotic Chest

What position is demonstrated?
KUB (AP Abdomen)

What position is demonstrated?
AP Upright Abdomen

What position is demonstrated?
Left Lateral Decubitus Abdomen

What position is demonstrated?
PA Finger

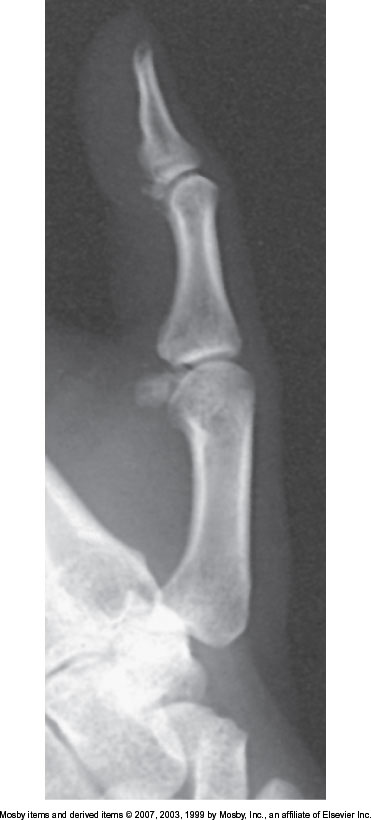
What position is demonstrated?
Lateral Finger

What position is demonstrated?
AP Thumb

What position is demonstrated?
Lateral Thumb

What position is demonstrated?
PA Oblique Thumb

What position is demonstrated?
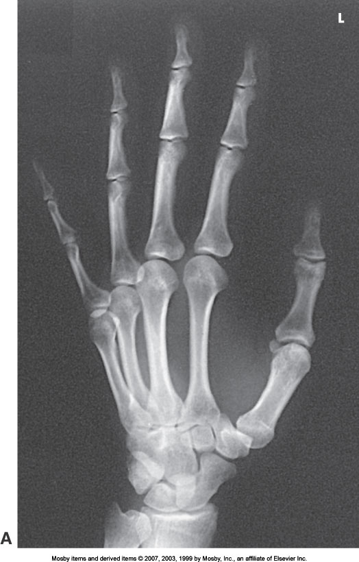
PA Hand

What position is demonstrated?
Lateral Hand

What position is demonstrated?
PA Oblique Hand

What position is demonstrated?
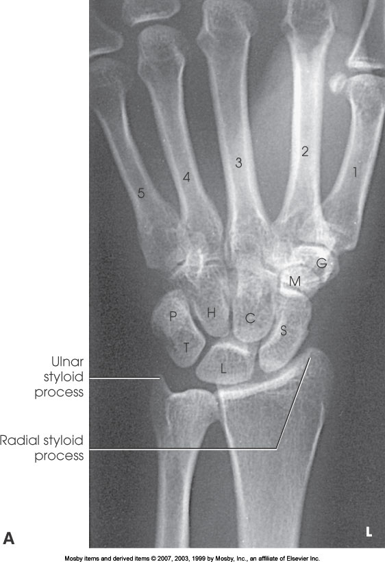
PA Wrist

What position is demonstrated?
Lateral Wrist

What position is demonstrated?
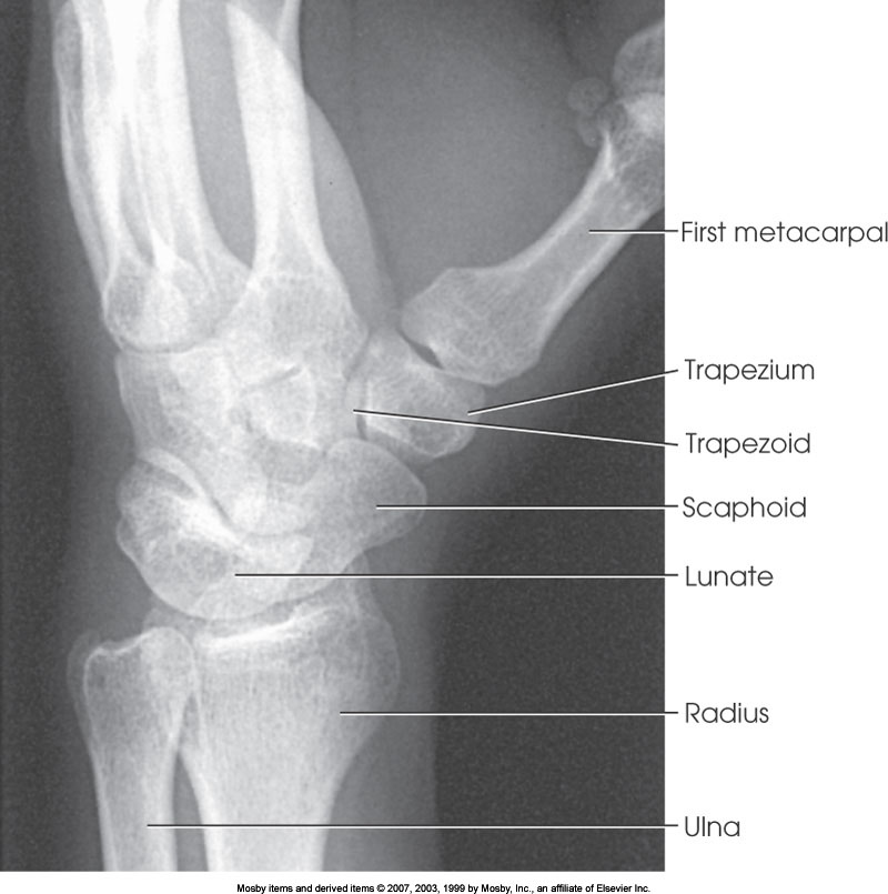
PA Oblique Wrist

What position is demonstrated?
AP Oblique Wrist

What position is demonstrated?
Ulnar Deviation Wrist (Navicular)

What position is demonstrated?
Radial Deviation Wrist

What position is demonstrated?
Axial Wrist (Stetcher Method)

What position is demonstrated?
Tangential Wrist (Gaynor-Hart Method)

What position is demonstrated?
AP Forearm

What position is demonstrated?
Lateral Forearm

What position is demonstrated?
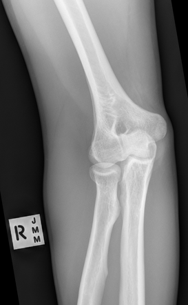
AP Elbow

What position is demonstrated?
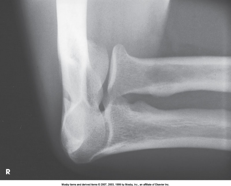
Lateral Elbow

What position is demonstrated?
AP Oblique Elbow (External Rotation)

What position is demonstrated?
AP Oblique Elbow (Internal Rotation)

What position is demonstrated?
AP Trauma Elbow (Acute Flexion/Coyle’s Method)

What position is demonstrated?
AP Humerus

What position is demonstrated?
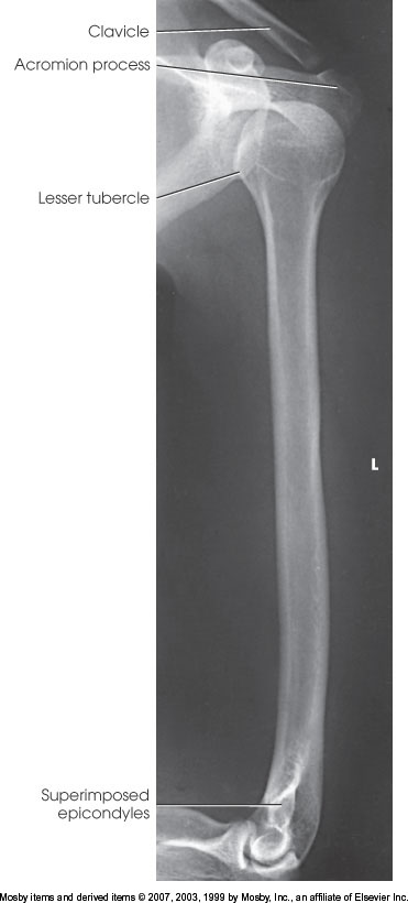
Lateral Humerus

What position is demonstrated?
AP Shoulder (External Rotation)

What position is demonstrated?
AP Shoulder (Internal Rotation)

What position is demonstrated?
Inferosuperior Axial Shoulder (Lawrence Method)

What position is demonstrated?
PA Oblique Shoulder (Y-View)

What position is demonstrated?
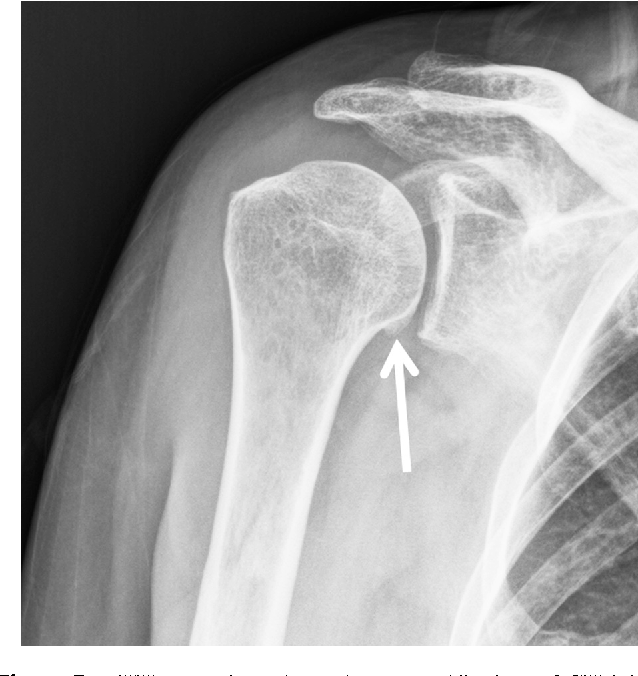
PA Oblique Shoulder (Grashey Method)

What position is demonstrated?
Tangential Shoulder (Intertubercular/Bicipital Groove)

What position is demonstrated?
AP Scapula

What position is demonstrated?
Lateral Scapula

What position is demonstrated?
AP Axial Clavicle

What position is demonstrated?
PA Clavicle

What articulation is demonstrated
AC Joint