1/16
Looks like no tags are added yet.
Name | Mastery | Learn | Test | Matching | Spaced | Call with Kai |
|---|
No analytics yet
Send a link to your students to track their progress

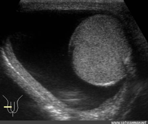
THIS IMAGE REPRESENTS WHICH OF THE FOLLOWING:
testicular trauma
free fluid in the testicle
hydrocele
normal scrotum
hydrocele

THIS IMAGE REPRESENTS WHICH OF THE FOLLOWING:
transverse image of the testicle
sagittal image of the testicle
transverse image of the testicle with a hydrocele
sagittal image of the testicle with an epididymal cyst
sagittal image of the testicle
THIS IMAGE REPRESENTS WHICH OF THE FOLLOWING:
transverse view of the thyroid
transverse view of the testicles
dual image of the scrotum
a longitudinal view of the left testicle
transverse view of the testicles
THIS IMAGE REPRESENTS WHICH OF THE FOLLOWING:
a transverse image of the testicle appropriate to measure the length of the testicle
a transverse image of the scrotum appropriate to do AP, length and width measurements.
a sagittal image of the testicle appropriate to do AP, Length and width measurements
a sagittal image of the testicle appropriate to do AP and length measurements only
a sagittal image of the testicle appropriate to do AP and length measurements only
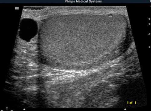
THIS IMAGE REPRESENTS WHICH OF THE FOLLOWING:
cystocele
hydrocele
varicocele
lymphocele
varicocele
The testes are classified as:
endocrine and seminal glands.
exocrine and seminal glands.
exocrine and endocrine glands.
none of these.
exocrine and endocrine glands.
In an adult, testicular volume is _____, and testicular weight is _____.
5 mL; 2 to 3 g
10 mL; 4 to 5 g
15 mL; 8 to 10 g
25 mL; 10 to 15 g
25 mL; 10 to 15 g
The epididymis empties into the:
urinary bladder.
ductus deferens.
testis.
seminal vesicles.
ductus deferens.
The epididymis is connected to which portion of the testis?
Superior
Inferior
Medial
Lateral
Superior
The median raphe divides the:
testicle into 200 to 300 lobules.
tunica vaginalis from the tunica albuginea.
tunica dartos from the cremaster muscle.
scrotum into two testicles.
scrotum into two testicles.
The scrotum consists of the:
testicles.
testicles and epididymis.
testicles, epididymis, and distal vas deferens.
testicles, epididymis, and proximal vas deferens.
testicles, epididymis, and proximal vas deferens.
About 60% of semen is composed of:
spermatozoa produced by the testes.
alkaline fluid rich in fructose, produced by the seminal vesicles.
acidic fluid rich in fructose, produced by the seminal vesicles.
alkaline fluid rich in fructose, produced by the testes.
alkaline fluid rich in fructose, produced by the seminal vesicles.
Testicular parenchyma on ultrasound is:
homogeneous.
heterogeneous.
anechoic.
mixed solid appearance.
homogeneous.

What is the echogenicity of the mediastinum testis?
Low-level echoes
Medium-level echoes
High echogenicity
It cannot be identified on ultrasound.
High echogenicity
What is the echogenicity of the epididymis?
Low-level echoes
Medium-level echoes
High echogenicity
It cannot be identified on ultrasound.
Medium-level echoes
What is the echogenicity of the spermatic cord?
Low-level echoes
Medium-level echoes
High echogenicity
It cannot be identified on ultrasound.
Low-level echoes

Match the number with the correct anatomy term;
1=vas deferens
2=seminal vesicle
3=prostate
4=ejaculatory duct
5=epididymis
6=testicle
7=urethra